About   Help   FAQ
Gene Expression Data
Assay Details
Assay
Reference: J:153498 Diez-Roux G, et al., A high-resolution anatomical atlas of the transcriptome in the mouse embryo. PLoS Biol. 2011;9(1):e1000582
Assay type: RNA in situ
MGI Accession ID: MGI:4825324
Gene symbol: Hat1
Gene name: histone aminotransferase 1
Probe: IMAGE clone 907313
Probe preparation: Antisense labelled with digoxigenin RNA
Visualized with: Alkaline phosphatase
Assay notes: Cryosections of fresh frozen material were fixed in 4% paraformaldehyde for 20 min. before further processing. A tyramide-biotin/streptavidin amplification step was included in the in situ hybridization procedure.
Results
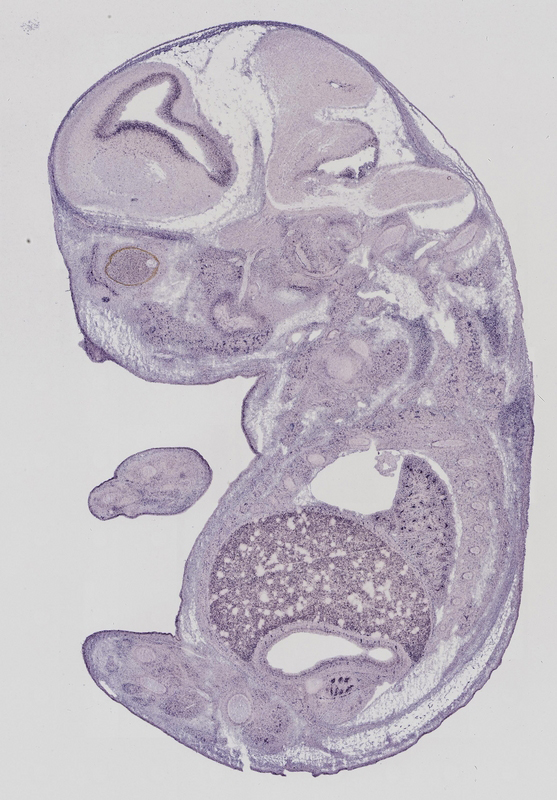
Specimen euxassay_000115_01: embryonic day 14.5 (more )
Structure Level Pattern Image Note
TS23: cerebral cortex Strong Uniform euxassay_000115_01
TS23: liver Moderate Spotted euxassay_000115_01
TS23: optic stalk Moderate Regionally restricted euxassay_000115_01
TS23: optic nerve Moderate Regionally restricted euxassay_000115_01
TS23: hindbrain Strong Uniform euxassay_000115_01

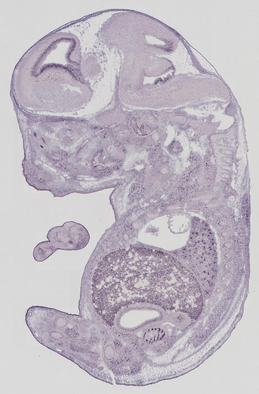
Specimen euxassay_000115_02: embryonic day 14.5 (more )
Structure Level Pattern Image Note
TS23: cerebral cortex Strong Uniform euxassay_000115_02
TS23: liver Moderate Spotted euxassay_000115_02

Specimen euxassay_000115_03: embryonic day 14.5 (more )
Structure Level Pattern Image Note
TS23: cerebral cortex Strong Uniform euxassay_000115_03
TS23: hindbrain Strong Uniform euxassay_000115_03
TS23: liver Moderate Spotted euxassay_000115_03

Specimen euxassay_000115_04: embryonic day 14.5 (more )
Structure Level Pattern Image Note
TS23: cerebral cortex Strong Uniform euxassay_000115_04
TS23: hindbrain Moderate Spotted euxassay_000115_04
TS23: liver Moderate Spotted euxassay_000115_04

Specimen euxassay_000115_05: embryonic day 14.5 (more )
Structure Level Pattern Image Note
TS23: liver Moderate Spotted euxassay_000115_05
TS23: testis Moderate Regionally restricted euxassay_000115_05
TS23: hindbrain Strong Uniform euxassay_000115_05
TS23: cerebral cortex Strong Uniform euxassay_000115_05

Specimen euxassay_000115_06: embryonic day 14.5 (more )
Structure Level Pattern Image Note
TS23: cerebral cortex Strong Graded euxassay_000115_06
TS23: hindbrain Strong Graded euxassay_000115_06
TS23: testis Moderate Regionally restricted euxassay_000115_06
TS23: liver Moderate Spotted euxassay_000115_06

Specimen euxassay_000115_07: embryonic day 14.5 (more )
Structure Level Pattern Image Note
TS23: telencephalon Strong Graded euxassay_000115_07
TS23: midbrain Strong Uniform euxassay_000115_07
TS23: testis Moderate Regionally restricted euxassay_000115_07
TS23: liver Moderate Spotted euxassay_000115_07

Specimen euxassay_000115_08: embryonic day 14.5 (more )
Structure Level Pattern Image Note
TS23: liver Moderate Spotted euxassay_000115_08
TS23: testis Moderate Regionally restricted euxassay_000115_08
TS23: midbrain Strong Graded euxassay_000115_08
TS23: cerebral cortex Strong Graded euxassay_000115_08

Specimen euxassay_000115_09: embryonic day 14.5 (more )
Structure Level Pattern Image Note
TS23: cerebral cortex Strong Graded euxassay_000115_09
TS23: telencephalon Strong Graded euxassay_000115_09
TS23: midbrain Strong Graded euxassay_000115_09
TS23: liver Moderate Spotted euxassay_000115_09
TS23: testis Moderate Regionally restricted euxassay_000115_09

Specimen euxassay_000115_10: embryonic day 14.5 (more )
Structure Level Pattern Image Note
TS23: liver Moderate Regionally restricted euxassay_000115_10
TS23: cerebral cortex Strong Graded euxassay_000115_10
TS23: midbrain Strong Regionally restricted euxassay_000115_10

Specimen euxassay_000115_11: embryonic day 14.5 (more )
Structure Level Pattern Image Note
TS23: cerebral cortex Strong Regionally restricted euxassay_000115_11
TS23: midbrain Strong Regionally restricted euxassay_000115_11
TS23: thymus primordium Moderate Uniform euxassay_000115_11
TS23: liver Moderate Spotted euxassay_000115_11

Specimen euxassay_000115_12: embryonic day 14.5 (more )
Structure Level Pattern Image Note
TS23: telencephalon Strong Regionally restricted euxassay_000115_12
TS23: diencephalon Strong Regionally restricted euxassay_000115_12
TS23: midbrain Strong Regionally restricted euxassay_000115_12
TS23: liver Moderate Spotted euxassay_000115_12
TS23: thymus primordium Weak Uniform euxassay_000115_12

Specimen euxassay_000115_13: embryonic day 14.5 (more )
Structure Level Pattern Image Note
TS23: diencephalon Strong Regionally restricted euxassay_000115_13
TS23: telencephalon Strong Regionally restricted euxassay_000115_13
TS23: midbrain Strong Regionally restricted euxassay_000115_13
TS23: liver Moderate Spotted euxassay_000115_13

Specimen euxassay_000115_14: embryonic day 14.5 (more )
Structure Level Pattern Image Note
TS23: midbrain Strong Regionally restricted euxassay_000115_14
TS23: hindbrain Strong Regionally restricted euxassay_000115_14
TS23: forebrain Strong Regionally restricted euxassay_000115_14
TS23: brain Strong Regionally restricted euxassay_000115_14
TS23: liver Moderate Spotted euxassay_000115_14
TS23: lung Moderate Spotted euxassay_000115_14

Specimen euxassay_000115_15: embryonic day 14.5 (more )
Structure Level Pattern Image Note
TS23: lung Moderate Spotted euxassay_000115_15
TS23: liver Moderate Spotted euxassay_000115_15
TS23: hindbrain Strong Regionally restricted euxassay_000115_15
TS23: forebrain Strong Regionally restricted euxassay_000115_15
TS23: diencephalon Strong Regionally restricted euxassay_000115_15

Specimen euxassay_000115_16: embryonic day 14.5 (more )
Structure Level Pattern Image Note
TS23: forebrain Strong Regionally restricted euxassay_000115_16
TS23: hindbrain Strong Regionally restricted euxassay_000115_16
TS23: liver Moderate Spotted euxassay_000115_16
TS23: lung Moderate Spotted euxassay_000115_16

Specimen euxassay_000115_17: embryonic day 14.5 (more )
Structure Level Pattern Image Note
TS23: brain Strong Regionally restricted euxassay_000115_17
TS23: liver Moderate Spotted euxassay_000115_17

Specimen euxassay_000115_18: embryonic day 14.5 (more )
Structure Level Pattern Image Note
TS23: brain Strong Regionally restricted euxassay_000115_18
TS23: liver Moderate Spotted euxassay_000115_18

Specimen euxassay_000115_19: embryonic day 14.5 (more )
Structure Level Pattern Image Note
TS23: brain Strong Regionally restricted euxassay_000115_19
TS23: liver Moderate Spotted euxassay_000115_19

Specimen euxassay_000115_20: embryonic day 14.5 (more )
Structure Level Pattern Image Note
TS23: brain Strong Regionally restricted euxassay_000115_20
TS23: liver Moderate Spotted euxassay_000115_20

Specimen euxassay_000115_21: embryonic day 14.5 (more )
Structure Level Pattern Image Note
TS23: brain Strong Regionally restricted euxassay_000115_21
TS23: testis medullary region Moderate Regionally restricted euxassay_000115_21
TS23: liver Moderate Spotted euxassay_000115_21

Specimen euxassay_000115_22: embryonic day 14.5 (more )
Structure Level Pattern Image Note
TS23: brain Strong Regionally restricted euxassay_000115_22
TS23: testis medullary region Moderate Regionally restricted euxassay_000115_22
TS23: liver Moderate Spotted euxassay_000115_22

Specimen euxassay_000115_23: embryonic day 14.5 (more )
Structure Level Pattern Image Note
TS23: brain Strong Regionally restricted euxassay_000115_23
TS23: testis medullary region Moderate Regionally restricted euxassay_000115_23
TS23: liver Moderate Spotted euxassay_000115_23

Specimen euxassay_000115_24: embryonic day 14.5 (more )
Structure Level Pattern Image Note
TS23: testis medullary region Moderate Regionally restricted euxassay_000115_24
TS23: liver Moderate Spotted euxassay_000115_24


Contributing Projects:
Mouse Genome Database (MGD), Gene Expression Database (GXD), Mouse Models of Human Cancer database (MMHCdb) (formerly Mouse Tumor Biology (MTB)), Gene Ontology (GO)
Citing These Resources
Funding Information
Warranty Disclaimer, Privacy Notice, Licensing, & Copyright
Send questions and comments to User Support.
last database update
01/20/2026
MGI 6.24
The Jackson Laboratory