About   Help   FAQ
Gene Expression Data
Assay Details
Assay
Reference: J:153498 Diez-Roux G, et al., A high-resolution anatomical atlas of the transcriptome in the mouse embryo. PLoS Biol. 2011;9(1):e1000582
Assay type: RNA in situ
MGI Accession ID: MGI:4825307
Gene symbol: H2-M3
Gene name: histocompatibility 2, M region locus 3
Probe: MGC clone 18978
Probe preparation: Antisense labelled with digoxigenin RNA
Visualized with: Alkaline phosphatase
Assay notes: Cryosections of fresh frozen material were fixed in 4% paraformaldehyde for 20 min. before further processing. A tyramide-biotin/streptavidin amplification step was included in the in situ hybridization procedure.
Results
Specimen euxassay_003704_04: embryonic day 14.5 (more )
Structure Level Pattern Image Note
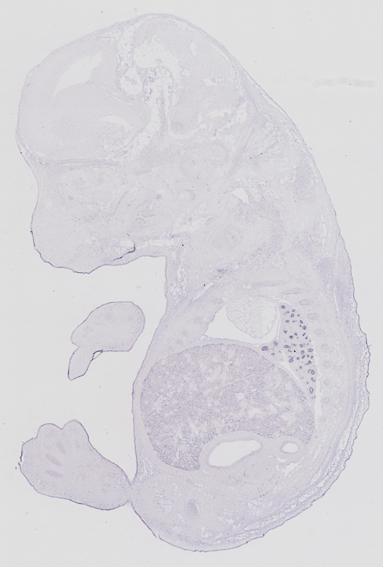
TS23: left lung Moderate Regionally restricted euxassay_003704_04

Specimen euxassay_003704_05: embryonic day 14.5 (more )
Structure Level Pattern Image Note
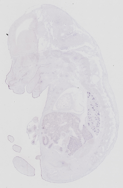
TS23: left lung Strong Regionally restricted euxassay_003704_05

Specimen euxassay_003704_06: embryonic day 14.5 (more )
Structure Level Pattern Image Note
TS23: left lung Strong Regionally restricted euxassay_003704_06

Specimen euxassay_003704_07: embryonic day 14.5 (more )
Structure Level Pattern Image Note
TS23: left lung Strong Regionally restricted euxassay_003704_07

Specimen euxassay_003704_08: embryonic day 14.5 (more )
Structure Level Pattern Image Note
TS23: left lung Strong Regionally restricted euxassay_003704_08

Specimen euxassay_003704_09: embryonic day 14.5 (more )
Structure Level Pattern Image Note
TS23: left lung Strong Regionally restricted euxassay_003704_09

Specimen euxassay_003704_10: embryonic day 14.5 (more )
Structure Level Pattern Image Note
TS23: left lung Moderate Regionally restricted euxassay_003704_10

Specimen euxassay_003704_11: embryonic day 14.5 (more )
Structure Level Pattern Image Note
TS23: left lung Moderate Regionally restricted euxassay_003704_11

Specimen euxassay_003704_12: embryonic day 14.5 (more )
Structure Level Pattern Image Note
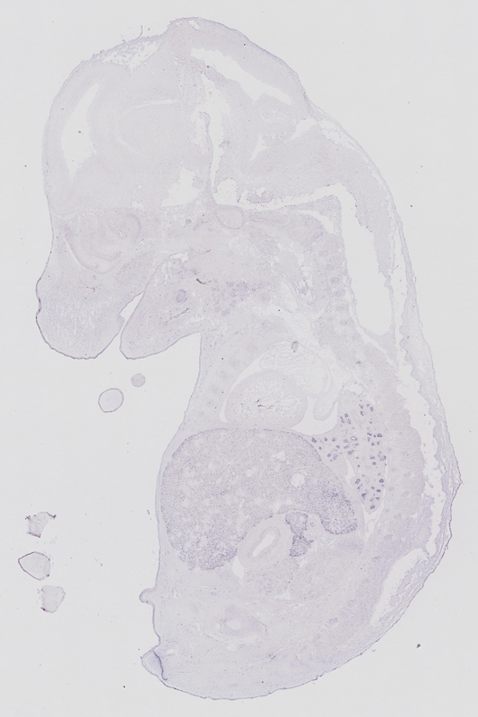
TS23: right lung Moderate Regionally restricted euxassay_003704_12
TS23: thymus primordium Moderate Regionally restricted euxassay_003704_12

Specimen euxassay_003704_13: embryonic day 14.5 (more )
Structure Level Pattern Image Note
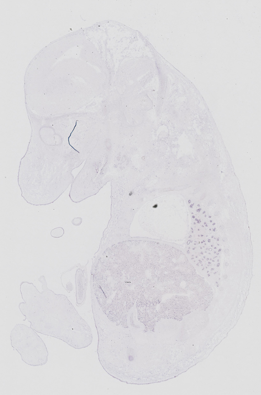
TS23: thymus primordium Moderate Regionally restricted euxassay_003704_13

Specimen euxassay_003704_14: embryonic day 14.5 (more )
Structure Level Pattern Image Note
TS23: right lung Weak Regionally restricted euxassay_003704_14
TS23: thymus primordium Weak Regionally restricted euxassay_003704_14

Specimen euxassay_003704_15: embryonic day 14.5 (more )
Structure Level Pattern Image Note
TS23: right lung Moderate Regionally restricted euxassay_003704_15
TS23: thymus primordium Moderate Regionally restricted euxassay_003704_15

Specimen euxassay_003704_16: embryonic day 14.5 (more )
Structure Level Pattern Image Note
TS23: right lung Moderate Regionally restricted euxassay_003704_16
TS23: thymus primordium Weak Regionally restricted euxassay_003704_16

Specimen euxassay_003704_17: embryonic day 14.5 (more )
Structure Level Pattern Image Note
TS23: right lung Moderate Regionally restricted euxassay_003704_17

Specimen euxassay_003704_18: embryonic day 14.5 (more )
Structure Level Pattern Image Note
TS23: right lung Strong Regionally restricted euxassay_003704_18

Specimen euxassay_003704_19: embryonic day 14.5 (more )
Structure Level Pattern Image Note
TS23: right lung Strong Regionally restricted euxassay_003704_19

Specimen euxassay_003704_20: embryonic day 14.5 (more )
Structure Level Pattern Image Note
TS23: right lung Strong Regionally restricted euxassay_003704_20

Specimen euxassay_003704_21: embryonic day 14.5 (more )
Structure Level Pattern Image Note
TS23: right lung Strong Regionally restricted euxassay_003704_21

Specimen euxassay_003704_22: embryonic day 14.5 (more )
Structure Level Pattern Image Note
TS23: right lung Strong Regionally restricted euxassay_003704_22

Specimen euxassay_003704_23: embryonic day 14.5 (more )
Structure Level Pattern Image Note
TS23: right lung Strong Regionally restricted euxassay_003704_23

Specimen euxassay_003704_24: embryonic day 14.5 (more )
Structure Level Pattern Image Note
TS23: right lung Moderate Regionally restricted euxassay_003704_24


Contributing Projects:
Mouse Genome Database (MGD), Gene Expression Database (GXD), Mouse Models of Human Cancer database (MMHCdb) (formerly Mouse Tumor Biology (MTB)), Gene Ontology (GO)
Citing These Resources
Funding Information
Warranty Disclaimer, Privacy Notice, Licensing, & Copyright
Send questions and comments to User Support.
last database update
01/20/2026
MGI 6.24
The Jackson Laboratory