About   Help   FAQ
Gene Expression Data
Assay Details
Assay
Reference: J:153498 Diez-Roux G, et al., A high-resolution anatomical atlas of the transcriptome in the mouse embryo. PLoS Biol. 2011;9(1):e1000582
Assay type: RNA in situ
MGI Accession ID: MGI:4825305
Gene symbol: H2-T13
Gene name: histocompatibility 2, T region locus 13
Probe: T31793
Probe preparation: Antisense labelled with digoxigenin RNA
Visualized with: Alkaline phosphatase
Assay notes: Cryosections of fresh frozen material were fixed in 4% paraformaldehyde for 20 min. before further processing. A tyramide-biotin/streptavidin amplification step was included in the in situ hybridization procedure.
Results
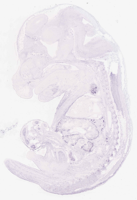
Specimen euxassay_010046_01: embryonic day 14.5 (more )
Structure Level Pattern Image Note
TS23: liver lobe Strong Regionally restricted euxassay_010046_01
TS23: orbito-sphenoid Moderate Regionally restricted euxassay_010046_01

Specimen euxassay_010046_02: embryonic day 14.5 (more )
Structure Level Pattern Image Note
TS23: liver lobe Strong Regionally restricted euxassay_010046_02
TS23: orbito-sphenoid Moderate Regionally restricted euxassay_010046_02

Specimen euxassay_010046_03: embryonic day 14.5 (more )
Structure Level Pattern Image Note
TS23: liver lobe Strong Regionally restricted euxassay_010046_03
TS23: lung Strong Regionally restricted euxassay_010046_03
TS23: orbito-sphenoid Moderate Regionally restricted euxassay_010046_03

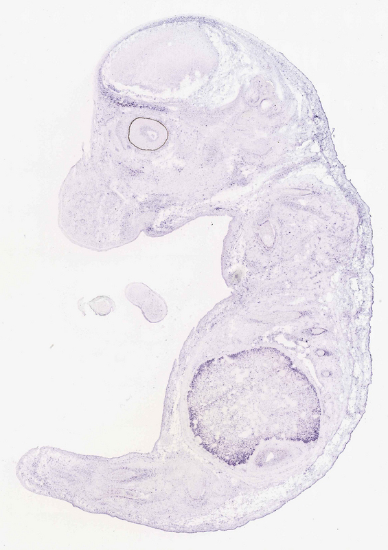
Specimen euxassay_010046_04: embryonic day 14.5 (more )
Structure Level Pattern Image Note
TS23: liver lobe Strong Regionally restricted euxassay_010046_04
TS23: lung Strong Regionally restricted euxassay_010046_04

Specimen euxassay_010046_05: embryonic day 14.5 (more )
Structure Level Pattern Image Note
TS23: liver lobe Strong Regionally restricted euxassay_010046_05
TS23: lung Strong Regionally restricted euxassay_010046_05

Specimen euxassay_010046_06: embryonic day 14.5 (more )
Structure Level Pattern Image Note
TS23: liver lobe Strong Regionally restricted euxassay_010046_06
TS23: lung Strong Regionally restricted euxassay_010046_06
TS23: midgut Weak Regionally restricted euxassay_010046_06

Specimen euxassay_010046_07: embryonic day 14.5 (more )
Structure Level Pattern Image Note
TS23: liver lobe Strong Regionally restricted euxassay_010046_07
TS23: lung Strong Regionally restricted euxassay_010046_07
TS23: midgut Moderate Regionally restricted euxassay_010046_07

Specimen euxassay_010046_08: embryonic day 14.5 (more )
Structure Level Pattern Image Note
TS23: liver lobe Strong Regionally restricted euxassay_010046_08
TS23: lung Strong Regionally restricted euxassay_010046_08
TS23: midgut Moderate Regionally restricted euxassay_010046_08

Specimen euxassay_010046_09: embryonic day 14.5 (more )
Structure Level Pattern Image Note
TS23: liver lobe Strong Regionally restricted euxassay_010046_09
TS23: lung Strong Regionally restricted euxassay_010046_09
TS23: midgut Moderate Regionally restricted euxassay_010046_09

Specimen euxassay_010046_10: embryonic day 14.5 (more )
Structure Level Pattern Image Note
TS23: liver lobe Strong Regionally restricted euxassay_010046_10
TS23: lung Strong Regionally restricted euxassay_010046_10
TS23: midgut Moderate Regionally restricted euxassay_010046_10

Specimen euxassay_010046_11: embryonic day 14.5 (more )
Structure Level Pattern Image Note
TS23: liver lobe Strong Regionally restricted euxassay_010046_11
TS23: lung Strong Regionally restricted euxassay_010046_11
TS23: thymus primordium Strong Regionally restricted euxassay_010046_11
TS23: midgut Moderate Regionally restricted euxassay_010046_11

Specimen euxassay_010046_12: embryonic day 14.5 (more )
Structure Level Pattern Image Note
TS23: liver lobe Strong Regionally restricted euxassay_010046_12
TS23: lung Strong Regionally restricted euxassay_010046_12
TS23: thymus primordium Moderate Regionally restricted euxassay_010046_12
TS23: midgut Moderate Regionally restricted euxassay_010046_12

Specimen euxassay_010046_13: embryonic day 14.5 (more )
Structure Level Pattern Image Note
TS23: liver lobe Strong Regionally restricted euxassay_010046_13
TS23: lung Strong Regionally restricted euxassay_010046_13
TS23: thymus primordium Moderate Regionally restricted euxassay_010046_13
TS23: midgut Moderate Regionally restricted euxassay_010046_13
TS23: rectum Moderate Regionally restricted euxassay_010046_13
TS23: hindgut Moderate Regionally restricted euxassay_010046_13

Specimen euxassay_010046_14: embryonic day 14.5 (more )
Structure Level Pattern Image Note
TS23: liver lobe Strong Regionally restricted euxassay_010046_14
TS23: lung Strong Regionally restricted euxassay_010046_14
TS23: thymus primordium Strong Regionally restricted euxassay_010046_14
TS23: midgut Moderate Regionally restricted euxassay_010046_14
TS23: rectum Moderate Regionally restricted euxassay_010046_14
TS23: hindgut Moderate Regionally restricted euxassay_010046_14

Specimen euxassay_010046_15: embryonic day 14.5 (more )
Structure Level Pattern Image Note
TS23: liver lobe Strong Regionally restricted euxassay_010046_15
TS23: lung Strong Regionally restricted euxassay_010046_15
TS23: thymus primordium Strong Regionally restricted euxassay_010046_15
TS23: midgut Moderate Regionally restricted euxassay_010046_15

Specimen euxassay_010046_16: embryonic day 14.5 (more )
Structure Level Pattern Image Note
TS23: liver lobe Strong Regionally restricted euxassay_010046_16
TS23: lung Strong Regionally restricted euxassay_010046_16
TS23: midgut Moderate Regionally restricted euxassay_010046_16

Specimen euxassay_010046_17: embryonic day 14.5 (more )
Structure Level Pattern Image Note
TS23: liver lobe Strong Regionally restricted euxassay_010046_17
TS23: lung Strong Regionally restricted euxassay_010046_17
TS23: midgut Moderate Regionally restricted euxassay_010046_17

Specimen euxassay_010046_18: embryonic day 14.5 (more )
Structure Level Pattern Image Note
TS23: liver lobe Strong Regionally restricted euxassay_010046_18
TS23: lung Strong Regionally restricted euxassay_010046_18

Specimen euxassay_010046_19: embryonic day 14.5 (more )
Structure Level Pattern Image Note
TS23: liver lobe Moderate Regionally restricted euxassay_010046_19
TS23: lung Strong Regionally restricted euxassay_010046_19

Specimen euxassay_010046_20: embryonic day 14.5 (more )
Structure Level Pattern Image Note
TS23: liver lobe Moderate Regionally restricted euxassay_010046_20
TS23: lung Strong Regionally restricted euxassay_010046_20
TS23: orbito-sphenoid Moderate Regionally restricted euxassay_010046_20

Specimen euxassay_010046_21: embryonic day 14.5 (more )
Structure Level Pattern Image Note
TS23: liver lobe Strong Regionally restricted euxassay_010046_21
TS23: lung Strong Regionally restricted euxassay_010046_21
TS23: orbito-sphenoid Moderate Regionally restricted euxassay_010046_21

Specimen euxassay_010046_22: embryonic day 14.5 (more )
Structure Level Pattern Image Note
TS23: liver lobe Moderate Regionally restricted euxassay_010046_22
TS23: lung Strong Regionally restricted euxassay_010046_22
TS23: orbito-sphenoid Moderate Regionally restricted euxassay_010046_22

Specimen euxassay_010046_23: embryonic day 14.5 (more )
Structure Level Pattern Image Note
TS23: liver lobe Moderate Regionally restricted euxassay_010046_23
TS23: lung Strong Regionally restricted euxassay_010046_23
TS23: orbito-sphenoid Moderate Regionally restricted euxassay_010046_23

Specimen euxassay_010046_24: embryonic day 14.5 (more )
Structure Level Pattern Image Note
TS23: liver lobe Weak Regionally restricted euxassay_010046_24
TS23: lung Strong Regionally restricted euxassay_010046_24
TS23: orbito-sphenoid Moderate Regionally restricted euxassay_010046_24


Contributing Projects:
Mouse Genome Database (MGD), Gene Expression Database (GXD), Mouse Models of Human Cancer database (MMHCdb) (formerly Mouse Tumor Biology (MTB)), Gene Ontology (GO)
Citing These Resources
Funding Information
Warranty Disclaimer, Privacy Notice, Licensing, & Copyright
Send questions and comments to User Support.
last database update
01/28/2026
MGI 6.24
The Jackson Laboratory