About   Help   FAQ
Gene Expression Data
Assay Details
Assay
Reference: J:153498 Diez-Roux G, et al., A high-resolution anatomical atlas of the transcriptome in the mouse embryo. PLoS Biol. 2011;9(1):e1000582
Assay type: RNA in situ
MGI Accession ID: MGI:4825301
Gene symbol: H2-Aa
Gene name: histocompatibility 2, class II antigen A, alpha
Probe: MGC clone 30249
Probe preparation: Antisense labelled with digoxigenin RNA
Visualized with: Alkaline phosphatase
Assay notes: Cryosections of fresh frozen material were fixed in 4% paraformaldehyde for 20 min. before further processing. A tyramide-biotin/streptavidin amplification step was included in the in situ hybridization procedure.
Results
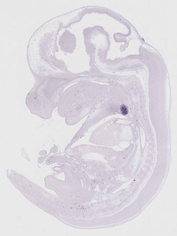
Specimen euxassay_003483_12: embryonic day 14.5 (more )
Structure Level Pattern Image Note
TS23: thymus primordium Strong Uniform euxassay_003483_12

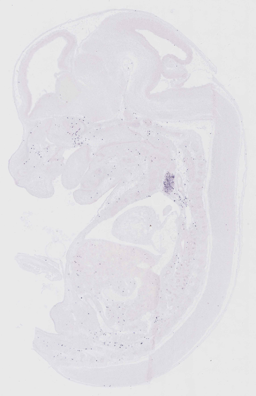
Specimen euxassay_003483_13: embryonic day 14.5 (more )
Structure Level Pattern Image Note
TS23: thymus primordium Strong Uniform euxassay_003483_13

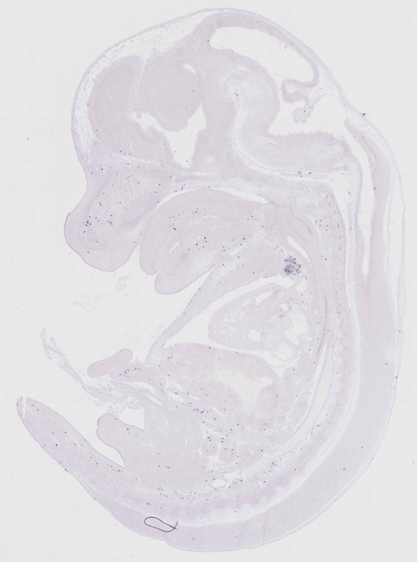
Specimen euxassay_003483_14: embryonic day 14.5 (more )
Structure Level Pattern Image Note
TS23: thymus primordium Strong Uniform euxassay_003483_14

Specimen euxassay_003483_15: embryonic day 14.5 (more )
Structure Level Pattern Image Note
TS23: thymus primordium Strong Uniform euxassay_003483_15

Specimen euxassay_003483_16: embryonic day 14.5 (more )
Structure Level Pattern Image Note
TS23: thymus primordium Strong Uniform euxassay_003483_16


Contributing Projects:
Mouse Genome Database (MGD), Gene Expression Database (GXD), Mouse Models of Human Cancer database (MMHCdb) (formerly Mouse Tumor Biology (MTB)), Gene Ontology (GO)
Citing These Resources
Funding Information
Warranty Disclaimer, Privacy Notice, Licensing, & Copyright
Send questions and comments to User Support.
last database update
01/20/2026
MGI 6.24
The Jackson Laboratory