About   Help   FAQ
Gene Expression Data
Assay Details
Assay
Reference: J:153498 Diez-Roux G, et al., A high-resolution anatomical atlas of the transcriptome in the mouse embryo. PLoS Biol. 2011;9(1):e1000582
Assay type: RNA in situ
MGI Accession ID: MGI:4825292
Gene symbol: Gypc
Gene name: glycophorin C
Probe: IMAGE clone 2087986
Probe preparation: Antisense labelled with digoxigenin RNA
Visualized with: Alkaline phosphatase
Assay notes: Cryosections of fresh frozen material were fixed in 4% paraformaldehyde for 20 min. before further processing. A tyramide-biotin/streptavidin amplification step was included in the in situ hybridization procedure.
Results
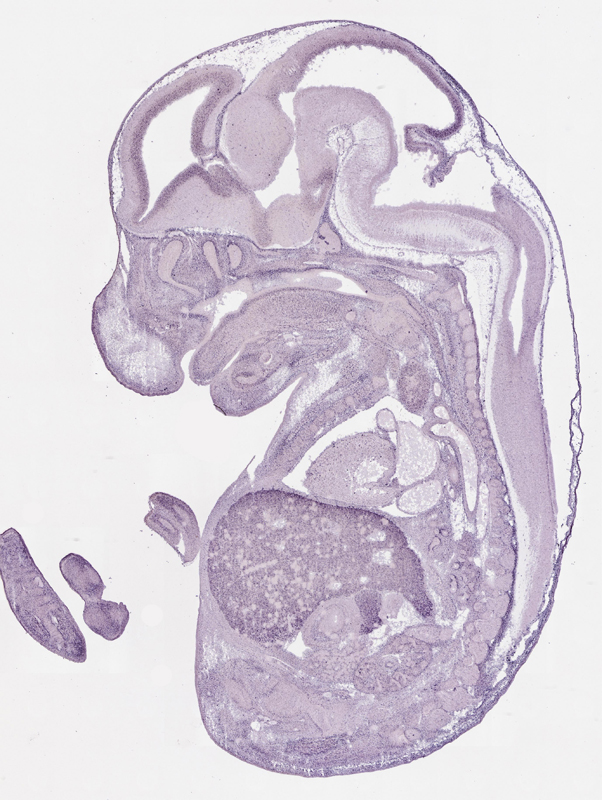
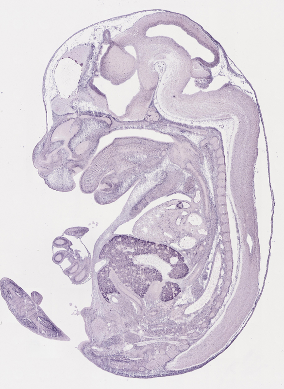
Specimen euxassay_000800_01: embryonic day 14.5 (more )
Note: Additional information for this specimen was included in the Eurexpress data submission file.
Structure Level Pattern Image Note
TS23: brain Moderate Uniform euxassay_000800_01
TS23: brain ventricular layer Present euxassay_000800_01
TS23: liver lobe Strong Uniform euxassay_000800_01

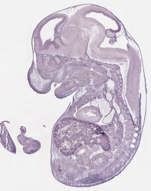
Specimen euxassay_000800_02: embryonic day 14.5 (more )
Note: Additional information for this specimen was included in the Eurexpress data submission file.
Structure Level Pattern Image Note
TS23: brain Moderate Uniform euxassay_000800_02
TS23: brain ventricular layer Present euxassay_000800_02
TS23: liver lobe Strong Uniform euxassay_000800_02

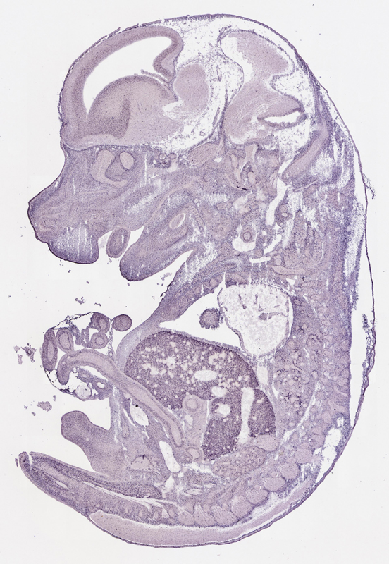
Specimen euxassay_000800_03: embryonic day 14.5 (more )
Note: Additional information for this specimen was included in the Eurexpress data submission file.
Structure Level Pattern Image Note
TS23: brain Moderate Uniform euxassay_000800_03
TS23: brain ventricular layer Present euxassay_000800_03
TS23: liver lobe Strong Uniform euxassay_000800_03

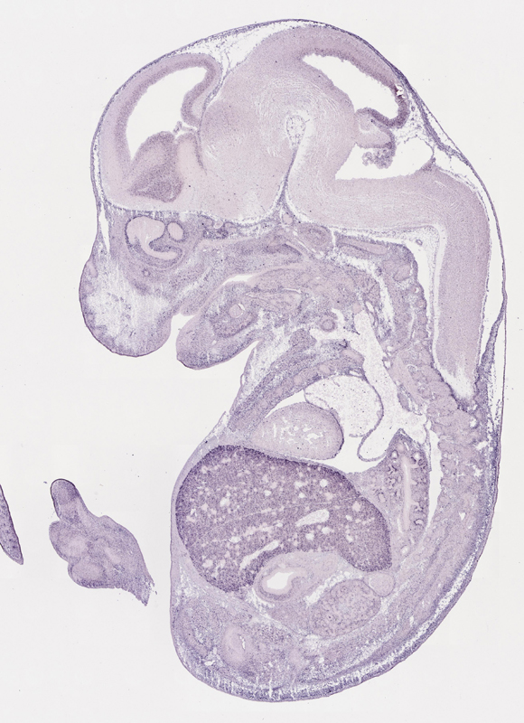
Specimen euxassay_000800_04: embryonic day 14.5 (more )
Note: Additional information for this specimen was included in the Eurexpress data submission file.
Structure Level Pattern Image Note
TS23: brain Moderate Uniform euxassay_000800_04
TS23: brain ventricular layer Present euxassay_000800_04
TS23: liver lobe Strong Uniform euxassay_000800_04

Specimen euxassay_000800_05: embryonic day 14.5 (more )
Note: Additional information for this specimen was included in the Eurexpress data submission file.
Structure Level Pattern Image Note
TS23: brain Moderate Uniform euxassay_000800_05
TS23: brain ventricular layer Present euxassay_000800_05
TS23: liver lobe Strong Uniform euxassay_000800_05

Specimen euxassay_000800_06: embryonic day 14.5 (more )
Note: Additional information for this specimen was included in the Eurexpress data submission file.
Structure Level Pattern Image Note
TS23: brain Moderate Uniform euxassay_000800_06
TS23: brain ventricular layer Present euxassay_000800_06
TS23: liver lobe Strong Uniform euxassay_000800_06

Specimen euxassay_000800_07: embryonic day 14.5 (more )
Note: Additional information for this specimen was included in the Eurexpress data submission file.
Structure Level Pattern Image Note
TS23: brain Strong Uniform euxassay_000800_07
TS23: brain ventricular layer Present euxassay_000800_07
TS23: liver lobe Strong Uniform euxassay_000800_07

Specimen euxassay_000800_08: embryonic day 14.5 (more )
Note: Additional information for this specimen was included in the Eurexpress data submission file.
Structure Level Pattern Image Note
TS23: brain Strong Uniform euxassay_000800_08
TS23: brain ventricular layer Present euxassay_000800_08
TS23: liver lobe Strong Uniform euxassay_000800_08

Specimen euxassay_000800_09: embryonic day 14.5 (more )
Note: Additional information for this specimen was included in the Eurexpress data submission file.
Structure Level Pattern Image Note
TS23: brain Strong Uniform euxassay_000800_09
TS23: brain ventricular layer Present euxassay_000800_09
TS23: liver lobe Strong Uniform euxassay_000800_09

Specimen euxassay_000800_10: embryonic day 14.5 (more )
Note: Additional information for this specimen was included in the Eurexpress data submission file.
Structure Level Pattern Image Note
TS23: brain Strong Uniform euxassay_000800_10
TS23: brain ventricular layer Present euxassay_000800_10
TS23: liver lobe Strong Uniform euxassay_000800_10

Specimen euxassay_000800_11: embryonic day 14.5 (more )
Note: Additional information for this specimen was included in the Eurexpress data submission file.
Structure Level Pattern Image Note
TS23: brain Strong Uniform euxassay_000800_11
TS23: brain ventricular layer Present euxassay_000800_11
TS23: liver lobe Strong Uniform euxassay_000800_11

Specimen euxassay_000800_12: embryonic day 14.5 (more )
Note: Additional information for this specimen was included in the Eurexpress data submission file.
Structure Level Pattern Image Note
TS23: brain Strong Uniform euxassay_000800_12
TS23: brain ventricular layer Present euxassay_000800_12
TS23: liver lobe Strong Uniform euxassay_000800_12

Specimen euxassay_000800_13: embryonic day 14.5 (more )
Note: Additional information for this specimen was included in the Eurexpress data submission file.
Structure Level Pattern Image Note
TS23: brain Strong Uniform euxassay_000800_13
TS23: brain ventricular layer Present euxassay_000800_13
TS23: liver lobe Strong Uniform euxassay_000800_13

Specimen euxassay_000800_14: embryonic day 14.5 (more )
Note: Additional information for this specimen was included in the Eurexpress data submission file.
Structure Level Pattern Image Note
TS23: brain Moderate Uniform euxassay_000800_14
TS23: brain ventricular layer Present euxassay_000800_14
TS23: liver lobe Strong Uniform euxassay_000800_14

Specimen euxassay_000800_15: embryonic day 14.5 (more )
Note: Additional information for this specimen was included in the Eurexpress data submission file.
Structure Level Pattern Image Note
TS23: brain Moderate Uniform euxassay_000800_15
TS23: brain ventricular layer Present euxassay_000800_15
TS23: liver lobe Strong Uniform euxassay_000800_15

Specimen euxassay_000800_16: embryonic day 14.5 (more )
Note: Additional information for this specimen was included in the Eurexpress data submission file.
Structure Level Pattern Image Note
TS23: brain Moderate Uniform euxassay_000800_16
TS23: brain ventricular layer Present euxassay_000800_16
TS23: liver lobe Strong Uniform euxassay_000800_16

Specimen euxassay_000800_17: embryonic day 14.5 (more )
Structure Level Pattern Image Note
TS23: liver lobe Strong Uniform euxassay_000800_17

Specimen euxassay_000800_18: embryonic day 14.5 (more )
Structure Level Pattern Image Note
TS23: liver lobe Strong Uniform euxassay_000800_18

Specimen euxassay_000800_19: embryonic day 14.5 (more )
Structure Level Pattern Image Note
TS23: liver lobe Strong Uniform euxassay_000800_19


Contributing Projects:
Mouse Genome Database (MGD), Gene Expression Database (GXD), Mouse Models of Human Cancer database (MMHCdb) (formerly Mouse Tumor Biology (MTB)), Gene Ontology (GO)
Citing These Resources
Funding Information
Warranty Disclaimer, Privacy Notice, Licensing, & Copyright
Send questions and comments to User Support.
last database update
03/24/2026
MGI 6.24
The Jackson Laboratory