About   Help   FAQ
Gene Expression Data
Assay Details
Assay
Reference: J:153498 Diez-Roux G, et al., A high-resolution anatomical atlas of the transcriptome in the mouse embryo. PLoS Biol. 2011;9(1):e1000582
Assay type: RNA in situ
MGI Accession ID: MGI:4825290
Gene symbol: Gyg1
Gene name: glycogenin 1
Probe: MGC clone 35999
Probe preparation: Antisense labelled with digoxigenin RNA
Visualized with: Alkaline phosphatase
Assay notes: Cryosections of fresh frozen material were fixed in 4% paraformaldehyde for 20 min. before further processing. A tyramide-biotin/streptavidin amplification step was included in the in situ hybridization procedure.
Results
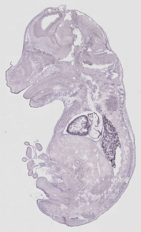
Specimen euxassay_006069_01: embryonic day 14.5 (more )
Structure Level Pattern Image Note
TS23: left lung Moderate Regionally restricted euxassay_006069_01

Specimen euxassay_006069_02: embryonic day 14.5 (more )
Structure Level Pattern Image Note
TS23: heart ventricle Moderate Regionally restricted euxassay_006069_02
TS23: heart atrium Moderate Regionally restricted euxassay_006069_02
TS23: left lung Moderate Regionally restricted euxassay_006069_02

Specimen euxassay_006069_03: embryonic day 14.5 (more )
Structure Level Pattern Image Note
TS23: heart atrium Moderate Regionally restricted euxassay_006069_03
TS23: heart ventricle Moderate Regionally restricted euxassay_006069_03
TS23: left lung Moderate Regionally restricted euxassay_006069_03

Specimen euxassay_006069_04: embryonic day 14.5 (more )
Structure Level Pattern Image Note
TS23: heart ventricle Moderate Regionally restricted euxassay_006069_04
TS23: heart atrium Moderate Regionally restricted euxassay_006069_04
TS23: left lung Moderate Regionally restricted euxassay_006069_04

Specimen euxassay_006069_05: embryonic day 14.5 (more )
Structure Level Pattern Image Note
TS23: heart ventricle Moderate Regionally restricted euxassay_006069_05
TS23: heart atrium Moderate Regionally restricted euxassay_006069_05
TS23: left lung Moderate Regionally restricted euxassay_006069_05

Specimen euxassay_006069_06: embryonic day 14.5 (more )
Structure Level Pattern Image Note
TS23: heart ventricle Moderate Regionally restricted euxassay_006069_06
TS23: heart atrium Moderate Regionally restricted euxassay_006069_06
TS23: left lung Moderate Regionally restricted euxassay_006069_06

Specimen euxassay_006069_07: embryonic day 14.5 (more )
Structure Level Pattern Image Note
TS23: heart atrium Moderate Regionally restricted euxassay_006069_07
TS23: heart ventricle Moderate Regionally restricted euxassay_006069_07
TS23: left lung Moderate Regionally restricted euxassay_006069_07

Specimen euxassay_006069_08: embryonic day 14.5 (more )
Structure Level Pattern Image Note
TS23: heart ventricle Moderate Regionally restricted euxassay_006069_08
TS23: left lung Moderate Regionally restricted euxassay_006069_08

Specimen euxassay_006069_09: embryonic day 14.5 (more )
Structure Level Pattern Image Note
TS23: heart ventricle Moderate Regionally restricted euxassay_006069_09
TS23: right lung Moderate Regionally restricted euxassay_006069_09

Specimen euxassay_006069_10: embryonic day 14.5 (more )
Structure Level Pattern Image Note
TS23: heart ventricle Moderate Regionally restricted euxassay_006069_10
TS23: right lung Moderate Regionally restricted euxassay_006069_10

Specimen euxassay_006069_11: embryonic day 14.5 (more )
Structure Level Pattern Image Note
TS23: heart ventricle Moderate Regionally restricted euxassay_006069_11
TS23: right lung Moderate Regionally restricted euxassay_006069_11

Specimen euxassay_006069_12: embryonic day 14.5 (more )
Structure Level Pattern Image Note
TS23: heart ventricle Moderate Regionally restricted euxassay_006069_12
TS23: heart atrium Moderate Regionally restricted euxassay_006069_12
TS23: right lung Moderate Regionally restricted euxassay_006069_12

Specimen euxassay_006069_13: embryonic day 14.5 (more )
Structure Level Pattern Image Note
TS23: heart ventricle Moderate Regionally restricted euxassay_006069_13
TS23: heart atrium Moderate Regionally restricted euxassay_006069_13
TS23: right lung Moderate Regionally restricted euxassay_006069_13

Specimen euxassay_006069_14: embryonic day 14.5 (more )
Structure Level Pattern Image Note
TS23: heart ventricle Moderate Regionally restricted euxassay_006069_14
TS23: heart atrium Moderate Regionally restricted euxassay_006069_14
TS23: right lung Moderate Regionally restricted euxassay_006069_14

Specimen euxassay_006069_15: embryonic day 14.5 (more )
Structure Level Pattern Image Note
TS23: heart atrium Moderate Regionally restricted euxassay_006069_15
TS23: heart ventricle Moderate Regionally restricted euxassay_006069_15
TS23: right lung Moderate Regionally restricted euxassay_006069_15

Specimen euxassay_006069_16: embryonic day 14.5 (more )
Structure Level Pattern Image Note
TS23: heart atrium Moderate Regionally restricted euxassay_006069_16
TS23: right lung Moderate Regionally restricted euxassay_006069_16

Specimen euxassay_006069_17: embryonic day 14.5 (more )
Structure Level Pattern Image Note
TS23: heart atrium Moderate Regionally restricted euxassay_006069_17
TS23: right lung Moderate Regionally restricted euxassay_006069_17

Specimen euxassay_006069_18: embryonic day 14.5 (more )
Structure Level Pattern Image Note
TS23: heart atrium Moderate Regionally restricted euxassay_006069_18
TS23: right lung Moderate Regionally restricted euxassay_006069_18

Specimen euxassay_006069_19: embryonic day 14.5 (more )
Structure Level Pattern Image Note
TS23: heart atrium Moderate Regionally restricted euxassay_006069_19
TS23: right lung Moderate Regionally restricted euxassay_006069_19

Specimen euxassay_006069_20: embryonic day 14.5 (more )
Structure Level Pattern Image Note
TS23: right lung Moderate Regionally restricted euxassay_006069_20


Contributing Projects:
Mouse Genome Database (MGD), Gene Expression Database (GXD), Mouse Models of Human Cancer database (MMHCdb) (formerly Mouse Tumor Biology (MTB)), Gene Ontology (GO)
Citing These Resources
Funding Information
Warranty Disclaimer, Privacy Notice, Licensing, & Copyright
Send questions and comments to User Support.
last database update
01/06/2026
MGI 6.24
The Jackson Laboratory