About   Help   FAQ
Gene Expression Data
Assay Details
Assay
Reference: J:153498 Diez-Roux G, et al., A high-resolution anatomical atlas of the transcriptome in the mouse embryo. PLoS Biol. 2011;9(1):e1000582
Assay type: RNA in situ
MGI Accession ID: MGI:4825285
Gene symbol: Gucy1b1
Gene name: guanylate cyclase 1, soluble, beta 1
Probe: MGC clone 66964
Probe preparation: Antisense labelled with digoxigenin RNA
Visualized with: Alkaline phosphatase
Assay notes: Cryosections of fresh frozen material were fixed in 4% paraformaldehyde for 20 min. before further processing. A tyramide-biotin/streptavidin amplification step was included in the in situ hybridization procedure.
Results
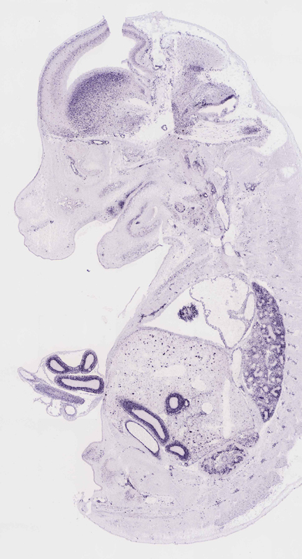
Specimen euxassay_006987_01: embryonic day 14.5 (more )
Structure Level Pattern Image Note
TS23: lens Strong Regionally restricted euxassay_006987_01
TS23: liver Strong Spotted euxassay_006987_01
TS23: telencephalon mantle layer Moderate Regionally restricted euxassay_006987_01
TS23: telencephalon ventricular layer Moderate Regionally restricted euxassay_006987_01

Specimen euxassay_006987_02: embryonic day 14.5 (more )
Structure Level Pattern Image Note
TS23: stomach Moderate Regionally restricted euxassay_006987_02
TS23: liver Strong Spotted euxassay_006987_02
TS23: telencephalon ventricular layer Moderate Regionally restricted euxassay_006987_02
TS23: telencephalon mantle layer Moderate Regionally restricted euxassay_006987_02
TS23: cerebral cortex marginal layer Weak Regionally restricted euxassay_006987_02

Specimen euxassay_006987_03: embryonic day 14.5 (more )
Structure Level Pattern Image Note
TS23: stomach Moderate Regionally restricted euxassay_006987_03
TS23: liver Strong Spotted euxassay_006987_03
TS23: telencephalon ventricular layer Moderate Regionally restricted euxassay_006987_03
TS23: telencephalon mantle layer Moderate Regionally restricted euxassay_006987_03
TS23: rest of cerebellum ventricular layer Strong Regionally restricted euxassay_006987_03
TS23: cerebral cortex marginal layer Weak Regionally restricted euxassay_006987_03

Specimen euxassay_006987_04: embryonic day 14.5 (more )
Structure Level Pattern Image Note
TS23: stomach Moderate Regionally restricted euxassay_006987_04
TS23: lung Moderate Regionally restricted euxassay_006987_04
TS23: liver Strong Spotted euxassay_006987_04
TS23: telencephalon ventricular layer Moderate Regionally restricted euxassay_006987_04
TS23: telencephalon mantle layer Moderate Regionally restricted euxassay_006987_04
TS23: rest of cerebellum ventricular layer Strong Regionally restricted euxassay_006987_04
TS23: cerebral cortex marginal layer Weak Regionally restricted euxassay_006987_04

Specimen euxassay_006987_05: embryonic day 14.5 (more )
Structure Level Pattern Image Note
TS23: eye skeletal muscle Moderate Regionally restricted euxassay_006987_05
TS23: stomach Moderate Regionally restricted euxassay_006987_05
TS23: lung Moderate Regionally restricted euxassay_006987_05
TS23: liver Strong Spotted euxassay_006987_05
TS23: upper lip Weak Regionally restricted euxassay_006987_05
TS23: telencephalon ventricular layer Moderate Regionally restricted euxassay_006987_05
TS23: telencephalon mantle layer Moderate Regionally restricted euxassay_006987_05
TS23: rest of cerebellum ventricular layer Strong Regionally restricted euxassay_006987_05
TS23: cerebral cortex marginal layer Weak Regionally restricted euxassay_006987_05

Specimen euxassay_006987_06: embryonic day 14.5 (more )
Structure Level Pattern Image Note
TS23: eye skeletal muscle Moderate Regionally restricted euxassay_006987_06
TS23: stomach Moderate Regionally restricted euxassay_006987_06
TS23: testis Weak Regionally restricted euxassay_006987_06
TS23: lung Moderate Regionally restricted euxassay_006987_06
TS23: vibrissa Weak Regionally restricted euxassay_006987_06
TS23: liver Strong Spotted euxassay_006987_06
TS23: upper lip Weak Regionally restricted euxassay_006987_06
TS23: telencephalon ventricular layer Moderate Regionally restricted euxassay_006987_06
TS23: telencephalon mantle layer Moderate Regionally restricted euxassay_006987_06
TS23: rest of cerebellum ventricular layer Strong Regionally restricted euxassay_006987_06
TS23: pons mantle layer Moderate Regionally restricted euxassay_006987_06
TS23: midbrain mantle layer Moderate Regionally restricted euxassay_006987_06
TS23: cerebral cortex marginal layer Weak Regionally restricted euxassay_006987_06

Specimen euxassay_006987_07: embryonic day 14.5 (more )
Structure Level Pattern Image Note
TS23: eye skeletal muscle Moderate Regionally restricted euxassay_006987_07
TS23: stomach Moderate Regionally restricted euxassay_006987_07
TS23: testis Weak Regionally restricted euxassay_006987_07
TS23: lung Moderate Regionally restricted euxassay_006987_07
TS23: vibrissa Weak Regionally restricted euxassay_006987_07
TS23: liver Strong Spotted euxassay_006987_07
TS23: upper lip Weak Regionally restricted euxassay_006987_07
TS23: lower lip Weak Regionally restricted euxassay_006987_07
TS23: telencephalon ventricular layer Moderate Regionally restricted euxassay_006987_07
TS23: telencephalon mantle layer Moderate Regionally restricted euxassay_006987_07
TS23: rest of cerebellum ventricular layer Moderate Regionally restricted euxassay_006987_07
TS23: pons mantle layer Moderate Regionally restricted euxassay_006987_07
TS23: midbrain mantle layer Moderate Regionally restricted euxassay_006987_07
TS23: cerebral cortex marginal layer Weak Regionally restricted euxassay_006987_07

Specimen euxassay_006987_08: embryonic day 14.5 (more )
Structure Level Pattern Image Note
TS23: metanephros Moderate Regionally restricted euxassay_006987_08
TS23: stomach Moderate Regionally restricted euxassay_006987_08
TS23: midgut Moderate Regionally restricted euxassay_006987_08
TS23: testis Weak Regionally restricted euxassay_006987_08
TS23: lung Moderate Regionally restricted euxassay_006987_08
TS23: heart ventricle Moderate Regionally restricted euxassay_006987_08
TS23: liver Strong Spotted euxassay_006987_08
TS23: upper lip Weak Regionally restricted euxassay_006987_08
TS23: lower lip Weak Regionally restricted euxassay_006987_08
TS23: telencephalon ventricular layer Moderate Regionally restricted euxassay_006987_08
TS23: telencephalon mantle layer Moderate Regionally restricted euxassay_006987_08
TS23: rest of cerebellum ventricular layer Moderate Regionally restricted euxassay_006987_08
TS23: pons mantle layer Moderate Regionally restricted euxassay_006987_08
TS23: diencephalon lateral wall mantle layer Moderate Regionally restricted euxassay_006987_08
TS23: midbrain mantle layer Moderate Regionally restricted euxassay_006987_08
TS23: cerebral cortex marginal layer Weak Regionally restricted euxassay_006987_08

Specimen euxassay_006987_09: embryonic day 14.5 (more )
Structure Level Pattern Image Note
TS23: metanephros Moderate Regionally restricted euxassay_006987_09
TS23: midgut Strong Regionally restricted euxassay_006987_09
TS23: stomach Strong Regionally restricted euxassay_006987_09
TS23: testis Weak Regionally restricted euxassay_006987_09
TS23: lung Moderate Regionally restricted euxassay_006987_09
TS23: olfactory epithelium Weak Regionally restricted euxassay_006987_09
TS23: heart ventricle Moderate Regionally restricted euxassay_006987_09
TS23: adrenal medulla Weak Regionally restricted euxassay_006987_09
TS23: liver Strong Spotted euxassay_006987_09
TS23: telencephalon ventricular layer Moderate Regionally restricted euxassay_006987_09
TS23: telencephalon mantle layer Moderate Regionally restricted euxassay_006987_09
TS23: rest of cerebellum ventricular layer Moderate Regionally restricted euxassay_006987_09
TS23: medulla oblongata basal plate mantle layer Moderate Regionally restricted euxassay_006987_09
TS23: pons mantle layer Moderate Regionally restricted euxassay_006987_09
TS23: midbrain mantle layer Moderate Regionally restricted euxassay_006987_09
TS23: diencephalon lateral wall mantle layer Moderate Regionally restricted euxassay_006987_09
TS23: cerebral cortex marginal layer Moderate Regionally restricted euxassay_006987_09

Specimen euxassay_006987_10: embryonic day 14.5 (more )
Structure Level Pattern Image Note
TS23: metanephros Moderate Regionally restricted euxassay_006987_10
TS23: midgut Strong Regionally restricted euxassay_006987_10
TS23: stomach Strong Regionally restricted euxassay_006987_10
TS23: lung Moderate Regionally restricted euxassay_006987_10
TS23: olfactory epithelium Weak Regionally restricted euxassay_006987_10
TS23: heart ventricle Moderate Regionally restricted euxassay_006987_10
TS23: adrenal medulla Weak Regionally restricted euxassay_006987_10
TS23: liver Strong Spotted euxassay_006987_10
TS23: pancreas Weak Regionally restricted euxassay_006987_10
TS23: telencephalon ventricular layer Moderate Regionally restricted euxassay_006987_10
TS23: telencephalon mantle layer Moderate Regionally restricted euxassay_006987_10
TS23: rest of cerebellum ventricular layer Moderate Regionally restricted euxassay_006987_10
TS23: medulla oblongata basal plate mantle layer Moderate Regionally restricted euxassay_006987_10
TS23: pons mantle layer Moderate Regionally restricted euxassay_006987_10
TS23: midbrain mantle layer Moderate Regionally restricted euxassay_006987_10
TS23: diencephalon lateral wall mantle layer Moderate Regionally restricted euxassay_006987_10
TS23: cerebral cortex marginal layer Moderate Regionally restricted euxassay_006987_10
TS23: olfactory cortex marginal layer Moderate Regionally restricted euxassay_006987_10

Specimen euxassay_006987_11: embryonic day 14.5 (more )
Structure Level Pattern Image Note
TS23: metanephros Moderate Regionally restricted euxassay_006987_11
TS23: midgut Strong Regionally restricted euxassay_006987_11
TS23: stomach Moderate Regionally restricted euxassay_006987_11
TS23: lung Moderate Regionally restricted euxassay_006987_11
TS23: olfactory epithelium Weak Regionally restricted euxassay_006987_11
TS23: heart ventricle Moderate Regionally restricted euxassay_006987_11
TS23: tongue Weak Regionally restricted euxassay_006987_11
TS23: adrenal medulla Weak Regionally restricted euxassay_006987_11
TS23: liver Strong Spotted euxassay_006987_11
TS23: pancreas Weak Regionally restricted euxassay_006987_11
TS23: telencephalon ventricular layer Moderate Regionally restricted euxassay_006987_11
TS23: telencephalon mantle layer Moderate Regionally restricted euxassay_006987_11
TS23: rest of cerebellum ventricular layer Moderate Regionally restricted euxassay_006987_11
TS23: diencephalon lateral wall mantle layer Moderate Regionally restricted euxassay_006987_11
TS23: midbrain mantle layer Moderate Regionally restricted euxassay_006987_11
TS23: ventral grey horn Moderate Regionally restricted euxassay_006987_11
TS23: olfactory cortex marginal layer Moderate Regionally restricted euxassay_006987_11
TS23: cerebral cortex marginal layer Moderate Regionally restricted euxassay_006987_11

Specimen euxassay_006987_12: embryonic day 14.5 (more )
Structure Level Pattern Image Note
TS23: stomach Moderate Regionally restricted euxassay_006987_12
TS23: midgut Strong Regionally restricted euxassay_006987_12
TS23: lung Moderate Regionally restricted euxassay_006987_12
TS23: heart ventricle Moderate Regionally restricted euxassay_006987_12
TS23: tongue Weak Regionally restricted euxassay_006987_12
TS23: liver Strong Spotted euxassay_006987_12
TS23: pancreas Weak Regionally restricted euxassay_006987_12
TS23: pituitary gland Weak Regionally restricted euxassay_006987_12
TS23: telencephalon mantle layer Moderate Regionally restricted euxassay_006987_12
TS23: rest of cerebellum ventricular layer Moderate Regionally restricted euxassay_006987_12
TS23: medulla oblongata basal plate mantle layer Moderate Regionally restricted euxassay_006987_12
TS23: midbrain mantle layer Moderate Regionally restricted euxassay_006987_12
TS23: ventral grey horn Moderate Regionally restricted euxassay_006987_12
TS23: olfactory cortex marginal layer Moderate Regionally restricted euxassay_006987_12
TS23: cerebral cortex marginal layer Moderate Regionally restricted euxassay_006987_12

Specimen euxassay_006987_13: embryonic day 14.5 (more )
Structure Level Pattern Image Note
TS23: midgut Strong Regionally restricted euxassay_006987_13
TS23: hindgut Strong Regionally restricted euxassay_006987_13
TS23: lung Moderate Regionally restricted euxassay_006987_13
TS23: heart ventricle Moderate Regionally restricted euxassay_006987_13
TS23: tongue Moderate Regionally restricted euxassay_006987_13
TS23: aorta Moderate Regionally restricted euxassay_006987_13
TS23: thymus primordium Moderate Regionally restricted euxassay_006987_13
TS23: liver Strong Spotted euxassay_006987_13
TS23: pituitary gland Weak Regionally restricted euxassay_006987_13
TS23: telencephalon mantle layer Moderate Regionally restricted euxassay_006987_13
TS23: rest of cerebellum ventricular layer Moderate Regionally restricted euxassay_006987_13
TS23: medulla oblongata basal plate mantle layer Moderate Regionally restricted euxassay_006987_13
TS23: midbrain mantle layer Moderate Regionally restricted euxassay_006987_13
TS23: diencephalon lateral wall mantle layer Moderate Regionally restricted euxassay_006987_13
TS23: ventral grey horn Moderate Regionally restricted euxassay_006987_13
TS23: dorsal grey horn Moderate Regionally restricted euxassay_006987_13

Specimen euxassay_006987_14: embryonic day 14.5 (more )
Structure Level Pattern Image Note
TS23: midgut Strong Regionally restricted euxassay_006987_14
TS23: hindgut Strong Regionally restricted euxassay_006987_14
TS23: lung Moderate Regionally restricted euxassay_006987_14
TS23: heart ventricle Moderate Regionally restricted euxassay_006987_14
TS23: tongue Moderate Regionally restricted euxassay_006987_14
TS23: esophagus Strong Regionally restricted euxassay_006987_14
TS23: aorta Moderate Regionally restricted euxassay_006987_14
TS23: bladder Weak Regionally restricted euxassay_006987_14
TS23: thymus primordium Weak Regionally restricted euxassay_006987_14
TS23: liver Strong Spotted euxassay_006987_14
TS23: pituitary gland Weak Regionally restricted euxassay_006987_14
TS23: telencephalon mantle layer Moderate Regionally restricted euxassay_006987_14
TS23: rest of cerebellum ventricular layer Moderate Regionally restricted euxassay_006987_14
TS23: pons mantle layer Moderate Regionally restricted euxassay_006987_14
TS23: medulla oblongata basal plate mantle layer Moderate Regionally restricted euxassay_006987_14
TS23: diencephalon lateral wall mantle layer Moderate Regionally restricted euxassay_006987_14
TS23: midbrain mantle layer Moderate Regionally restricted euxassay_006987_14
TS23: dorsal grey horn Moderate Regionally restricted euxassay_006987_14
TS23: ventral grey horn Moderate Regionally restricted euxassay_006987_14
TS23: cerebral cortex marginal layer Moderate Regionally restricted euxassay_006987_14

Specimen euxassay_006987_15: embryonic day 14.5 (more )
Structure Level Pattern Image Note
TS23: midgut Strong Regionally restricted euxassay_006987_15
TS23: rectum Strong Regionally restricted euxassay_006987_15
TS23: hindgut Strong Regionally restricted euxassay_006987_15
TS23: lung Moderate Regionally restricted euxassay_006987_15
TS23: heart ventricle Moderate Regionally restricted euxassay_006987_15
TS23: tongue Moderate Regionally restricted euxassay_006987_15
TS23: aorta Moderate Regionally restricted euxassay_006987_15
TS23: urethra Moderate Regionally restricted euxassay_006987_15 Originally this result was annotated to a male-specific term, but as the specimen was not sexed, it is likely the data annotator intended to use a non-sex specific term.
TS23: bladder Weak Regionally restricted euxassay_006987_15
TS23: thymus primordium Weak Regionally restricted euxassay_006987_15
TS23: liver Strong Spotted euxassay_006987_15
TS23: pituitary gland Weak Regionally restricted euxassay_006987_15
TS23: telencephalon ventricular layer Moderate Regionally restricted euxassay_006987_15
TS23: telencephalon mantle layer Moderate Regionally restricted euxassay_006987_15
TS23: rest of cerebellum ventricular layer Moderate Regionally restricted euxassay_006987_15
TS23: medulla oblongata basal plate mantle layer Moderate Regionally restricted euxassay_006987_15
TS23: pons mantle layer Moderate Regionally restricted euxassay_006987_15
TS23: midbrain mantle layer Moderate Regionally restricted euxassay_006987_15
TS23: diencephalon lateral wall mantle layer Moderate Regionally restricted euxassay_006987_15
TS23: ventral grey horn Moderate Regionally restricted euxassay_006987_15
TS23: olfactory cortex marginal layer Moderate Regionally restricted euxassay_006987_15
TS23: cerebral cortex marginal layer Moderate Regionally restricted euxassay_006987_15

Specimen euxassay_006987_16: embryonic day 14.5 (more )
Structure Level Pattern Image Note
TS23: rectum Strong Regionally restricted euxassay_006987_16
TS23: hindgut Strong Regionally restricted euxassay_006987_16
TS23: midgut Strong Regionally restricted euxassay_006987_16
TS23: lung Moderate Regionally restricted euxassay_006987_16
TS23: heart ventricle Moderate Regionally restricted euxassay_006987_16
TS23: tongue Weak Regionally restricted euxassay_006987_16
TS23: aorta Moderate Regionally restricted euxassay_006987_16
TS23: urethra Moderate Regionally restricted euxassay_006987_16 Originally this result was annotated to a male-specific term, but as the specimen was not sexed, it is likely the data annotator intended to use a non-sex specific term.
TS23: bladder Weak Regionally restricted euxassay_006987_16
TS23: thymus primordium Moderate Regionally restricted euxassay_006987_16
TS23: liver Strong Spotted euxassay_006987_16
TS23: pituitary gland Weak Regionally restricted euxassay_006987_16
TS23: telencephalon ventricular layer Moderate Regionally restricted euxassay_006987_16
TS23: telencephalon mantle layer Moderate Regionally restricted euxassay_006987_16
TS23: rest of cerebellum ventricular layer Moderate Regionally restricted euxassay_006987_16
TS23: pons mantle layer Moderate Regionally restricted euxassay_006987_16
TS23: medulla oblongata basal plate mantle layer Moderate Regionally restricted euxassay_006987_16
TS23: midbrain mantle layer Moderate Regionally restricted euxassay_006987_16
TS23: diencephalon lateral wall mantle layer Moderate Regionally restricted euxassay_006987_16
TS23: ventral grey horn Moderate Regionally restricted euxassay_006987_16
TS23: olfactory cortex marginal layer Moderate Regionally restricted euxassay_006987_16
TS23: cerebral cortex marginal layer Moderate Regionally restricted euxassay_006987_16

Specimen euxassay_006987_17: embryonic day 14.5 (more )
Structure Level Pattern Image Note
TS23: midgut Strong Regionally restricted euxassay_006987_17
TS23: lung Moderate Regionally restricted euxassay_006987_17
TS23: olfactory epithelium Weak Regionally restricted euxassay_006987_17
TS23: heart ventricle Moderate Regionally restricted euxassay_006987_17
TS23: tongue Weak Regionally restricted euxassay_006987_17
TS23: aorta Moderate Regionally restricted euxassay_006987_17
TS23: urethra Moderate Regionally restricted euxassay_006987_17 Originally this result was annotated to a male-specific term, but as the specimen was not sexed, it is likely the data annotator intended to use a non-sex specific term.
TS23: bladder Weak Regionally restricted euxassay_006987_17
TS23: thymus primordium Weak Regionally restricted euxassay_006987_17
TS23: liver Strong Spotted euxassay_006987_17
TS23: telencephalon ventricular layer Moderate Regionally restricted euxassay_006987_17
TS23: telencephalon mantle layer Moderate Regionally restricted euxassay_006987_17
TS23: rest of cerebellum ventricular layer Moderate Regionally restricted euxassay_006987_17
TS23: medulla oblongata basal plate mantle layer Moderate Regionally restricted euxassay_006987_17
TS23: pons mantle layer Moderate Regionally restricted euxassay_006987_17
TS23: midbrain mantle layer Moderate Regionally restricted euxassay_006987_17
TS23: diencephalon lateral wall mantle layer Moderate Regionally restricted euxassay_006987_17
TS23: ventral grey horn Moderate Regionally restricted euxassay_006987_17
TS23: olfactory cortex marginal layer Moderate Regionally restricted euxassay_006987_17
TS23: cerebral cortex marginal layer Moderate Regionally restricted euxassay_006987_17

Specimen euxassay_006987_18: embryonic day 14.5 (more )
Structure Level Pattern Image Note
TS23: metanephros Moderate Regionally restricted euxassay_006987_18
TS23: midgut Strong Regionally restricted euxassay_006987_18
TS23: lung Moderate Regionally restricted euxassay_006987_18
TS23: olfactory epithelium Weak Regionally restricted euxassay_006987_18
TS23: heart ventricle Moderate Regionally restricted euxassay_006987_18
TS23: tongue Weak Regionally restricted euxassay_006987_18
TS23: liver Strong Spotted euxassay_006987_18
TS23: telencephalon ventricular layer Moderate Regionally restricted euxassay_006987_18
TS23: telencephalon mantle layer Moderate Regionally restricted euxassay_006987_18
TS23: rest of cerebellum ventricular layer Moderate Regionally restricted euxassay_006987_18
TS23: pons mantle layer Moderate Regionally restricted euxassay_006987_18
TS23: medulla oblongata basal plate mantle layer Moderate Regionally restricted euxassay_006987_18
TS23: midbrain mantle layer Moderate Regionally restricted euxassay_006987_18
TS23: cerebral cortex marginal layer Moderate Regionally restricted euxassay_006987_18
TS23: olfactory cortex marginal layer Moderate Regionally restricted euxassay_006987_18

Specimen euxassay_006987_19: embryonic day 14.5 (more )
Structure Level Pattern Image Note
TS23: metanephros Moderate Regionally restricted euxassay_006987_19
TS23: midgut Strong Regionally restricted euxassay_006987_19
TS23: lung Moderate Regionally restricted euxassay_006987_19
TS23: heart ventricle Moderate Regionally restricted euxassay_006987_19
TS23: adrenal medulla Weak Regionally restricted euxassay_006987_19
TS23: liver Strong Spotted euxassay_006987_19
TS23: telencephalon ventricular layer Moderate Regionally restricted euxassay_006987_19
TS23: telencephalon mantle layer Moderate Regionally restricted euxassay_006987_19
TS23: rest of cerebellum ventricular layer Strong Regionally restricted euxassay_006987_19
TS23: pons mantle layer Moderate Regionally restricted euxassay_006987_19
TS23: midbrain mantle layer Moderate Regionally restricted euxassay_006987_19
TS23: cerebral cortex marginal layer Weak Regionally restricted euxassay_006987_19

Specimen euxassay_006987_20: embryonic day 14.5 (more )
Structure Level Pattern Image Note
TS23: metanephros Moderate Regionally restricted euxassay_006987_20
TS23: midgut Strong Regionally restricted euxassay_006987_20
TS23: lung Moderate Regionally restricted euxassay_006987_20
TS23: adrenal medulla Weak Regionally restricted euxassay_006987_20
TS23: liver Strong Spotted euxassay_006987_20
TS23: telencephalon ventricular layer Moderate Regionally restricted euxassay_006987_20
TS23: telencephalon mantle layer Moderate Regionally restricted euxassay_006987_20
TS23: rest of cerebellum ventricular layer Moderate Regionally restricted euxassay_006987_20
TS23: pons mantle layer Moderate Regionally restricted euxassay_006987_20
TS23: cerebral cortex marginal layer Weak Regionally restricted euxassay_006987_20

Specimen euxassay_006987_21: embryonic day 14.5 (more )
Structure Level Pattern Image Note
TS23: eye skeletal muscle Moderate Regionally restricted euxassay_006987_21
TS23: metanephros Moderate Regionally restricted euxassay_006987_21
TS23: midgut Strong Regionally restricted euxassay_006987_21
TS23: testis Weak Regionally restricted euxassay_006987_21
TS23: lung Moderate Regionally restricted euxassay_006987_21
TS23: adrenal medulla Weak Regionally restricted euxassay_006987_21
TS23: liver Strong Spotted euxassay_006987_21
TS23: telencephalon ventricular layer Moderate Regionally restricted euxassay_006987_21
TS23: telencephalon mantle layer Moderate Regionally restricted euxassay_006987_21
TS23: rest of cerebellum ventricular layer Strong Regionally restricted euxassay_006987_21
TS23: cerebral cortex marginal layer Weak Regionally restricted euxassay_006987_21

Specimen euxassay_006987_22: embryonic day 14.5 (more )
Structure Level Pattern Image Note
TS23: eye skeletal muscle Moderate Regionally restricted euxassay_006987_22
TS23: testis Weak Regionally restricted euxassay_006987_22
TS23: lung Moderate Regionally restricted euxassay_006987_22
TS23: vibrissa Weak Regionally restricted euxassay_006987_22
TS23: liver Strong Spotted euxassay_006987_22
TS23: upper lip Weak Regionally restricted euxassay_006987_22
TS23: lower lip Weak Regionally restricted euxassay_006987_22
TS23: telencephalon mantle layer Moderate Regionally restricted euxassay_006987_22
TS23: cerebral cortex marginal layer Weak Regionally restricted euxassay_006987_22

Specimen euxassay_006987_23: embryonic day 14.5 (more )
Structure Level Pattern Image Note
TS23: lung Moderate Regionally restricted euxassay_006987_23
TS23: vibrissa Weak Regionally restricted euxassay_006987_23
TS23: liver Strong Spotted euxassay_006987_23
TS23: telencephalon mantle layer Moderate Regionally restricted euxassay_006987_23


Contributing Projects:
Mouse Genome Database (MGD), Gene Expression Database (GXD), Mouse Models of Human Cancer database (MMHCdb) (formerly Mouse Tumor Biology (MTB)), Gene Ontology (GO)
Citing These Resources
Funding Information
Warranty Disclaimer, Privacy Notice, Licensing, & Copyright
Send questions and comments to User Support.
last database update
01/20/2026
MGI 6.24
The Jackson Laboratory