About   Help   FAQ
Gene Expression Data
Assay Details
Assay
Reference: J:153498 Diez-Roux G, et al., A high-resolution anatomical atlas of the transcriptome in the mouse embryo. PLoS Biol. 2011;9(1):e1000582
Assay type: RNA in situ
MGI Accession ID: MGI:4825256
Gene symbol: Gsta4
Gene name: glutathione S-transferase, alpha 4
Probe: IMAGE clone 1889069
Probe preparation: Antisense labelled with digoxigenin RNA
Visualized with: Alkaline phosphatase
Assay notes: Cryosections of fresh frozen material were fixed in 4% paraformaldehyde for 20 min. before further processing. A tyramide-biotin/streptavidin amplification step was included in the in situ hybridization procedure.
Results
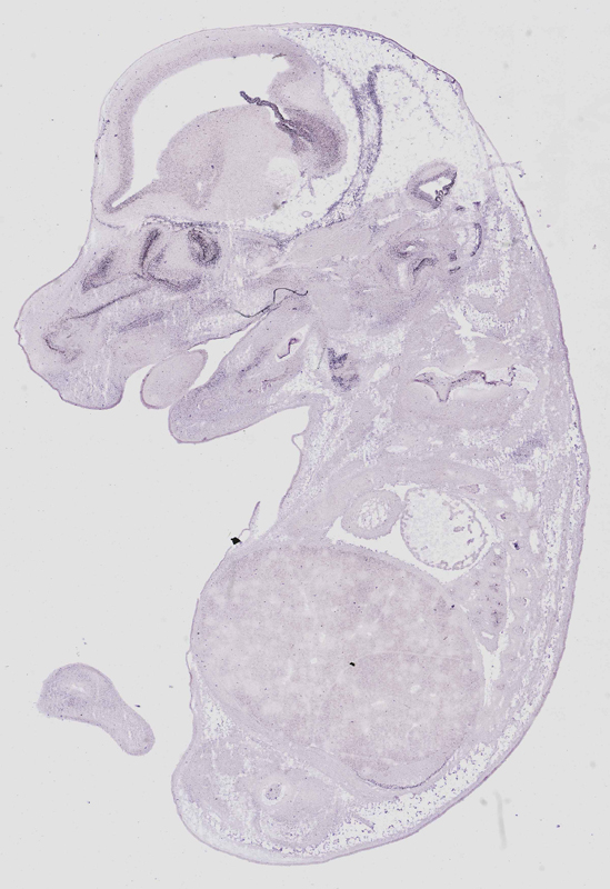
Specimen euxassay_006220_01: embryonic day 14.5 (more )
Structure Level Pattern Image Note
TS23: stomach Strong Regionally restricted euxassay_006220_01
TS23: 4th ventricle Strong Regionally restricted euxassay_006220_01
TS23: telencephalon ventricular layer Weak Regionally restricted euxassay_006220_01
TS23: cochlea Moderate Regionally restricted euxassay_006220_01
TS23: left lung Moderate Regionally restricted euxassay_006220_01

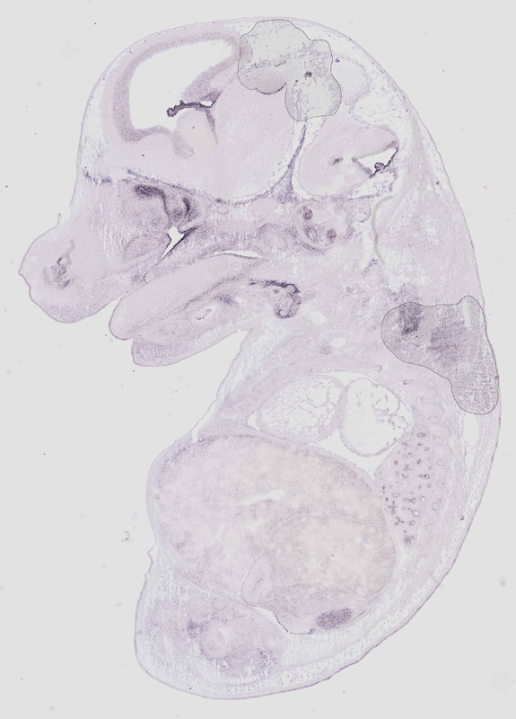
Specimen euxassay_006220_02: embryonic day 14.5 (more )
Structure Level Pattern Image Note
TS23: stomach Strong Regionally restricted euxassay_006220_02
TS23: 4th ventricle Strong Regionally restricted euxassay_006220_02
TS23: telencephalon ventricular layer Weak Regionally restricted euxassay_006220_02
TS23: cochlea Moderate Regionally restricted euxassay_006220_02
TS23: left lung Moderate Regionally restricted euxassay_006220_02
TS23: renal cortex Moderate Regionally restricted euxassay_006220_02

Specimen euxassay_006220_03: embryonic day 14.5 (more )
Structure Level Pattern Image Note
TS23: stomach Strong Regionally restricted euxassay_006220_03
TS23: 4th ventricle Strong Regionally restricted euxassay_006220_03
TS23: telencephalon ventricular layer Weak Regionally restricted euxassay_006220_03
TS23: cochlea Moderate Regionally restricted euxassay_006220_03
TS23: left lung Moderate Regionally restricted euxassay_006220_03
TS23: renal cortex Moderate Regionally restricted euxassay_006220_03
TS23: pons ventricular layer Weak Regionally restricted euxassay_006220_03

Specimen euxassay_006220_04: embryonic day 14.5 (more )
Structure Level Pattern Image Note
TS23: stomach Strong Regionally restricted euxassay_006220_04
TS23: 4th ventricle Strong Regionally restricted euxassay_006220_04
TS23: telencephalon ventricular layer Weak Regionally restricted euxassay_006220_04
TS23: cochlea Weak Regionally restricted euxassay_006220_04
TS23: left lung Moderate Regionally restricted euxassay_006220_04
TS23: renal cortex Moderate Regionally restricted euxassay_006220_04
TS23: pons ventricular layer Weak Regionally restricted euxassay_006220_04

Specimen euxassay_006220_05: embryonic day 14.5 (more )
Structure Level Pattern Image Note
TS23: stomach Strong Regionally restricted euxassay_006220_05
TS23: lateral ventricle choroid plexus Strong Regionally restricted euxassay_006220_05
TS23: 4th ventricle Strong Regionally restricted euxassay_006220_05
TS23: telencephalon ventricular layer Weak Regionally restricted euxassay_006220_05
TS23: cochlea Moderate Regionally restricted euxassay_006220_05
TS23: left lung Moderate Regionally restricted euxassay_006220_05
TS23: renal cortex Moderate Regionally restricted euxassay_006220_05
TS23: midbrain ventricular layer Weak Regionally restricted euxassay_006220_05
TS23: pons ventricular layer Weak Regionally restricted euxassay_006220_05
TS23: medulla oblongata basal plate ventricular layer Weak Regionally restricted euxassay_006220_05

Specimen euxassay_006220_06: embryonic day 14.5 (more )
Structure Level Pattern Image Note
TS23: stomach Strong Regionally restricted euxassay_006220_06
TS23: lateral ventricle choroid plexus Strong Regionally restricted euxassay_006220_06
TS23: 4th ventricle Strong Regionally restricted euxassay_006220_06
TS23: telencephalon ventricular layer Weak Regionally restricted euxassay_006220_06
TS23: cochlea Moderate Regionally restricted euxassay_006220_06
TS23: submandibular gland primordium Moderate Regionally restricted euxassay_006220_06
TS23: left lung Moderate Regionally restricted euxassay_006220_06
TS23: renal cortex Moderate Regionally restricted euxassay_006220_06
TS23: midbrain ventricular layer Weak Regionally restricted euxassay_006220_06
TS23: medulla oblongata basal plate ventricular layer Weak Regionally restricted euxassay_006220_06
TS23: pons ventricular layer Weak Regionally restricted euxassay_006220_06

Specimen euxassay_006220_07: embryonic day 14.5 (more )
Structure Level Pattern Image Note
TS23: stomach Strong Regionally restricted euxassay_006220_07
TS23: lateral ventricle choroid plexus Strong Regionally restricted euxassay_006220_07
TS23: 4th ventricle Strong Regionally restricted euxassay_006220_07
TS23: telencephalon ventricular layer Weak Regionally restricted euxassay_006220_07
TS23: cochlea Moderate Regionally restricted euxassay_006220_07
TS23: submandibular gland primordium Moderate Regionally restricted euxassay_006220_07
TS23: left lung Moderate Regionally restricted euxassay_006220_07
TS23: spinal cord ventricular layer Strong Regionally restricted euxassay_006220_07
TS23: midbrain ventricular layer Weak Regionally restricted euxassay_006220_07
TS23: medulla oblongata basal plate ventricular layer Weak Regionally restricted euxassay_006220_07
TS23: pons ventricular layer Weak Regionally restricted euxassay_006220_07

Specimen euxassay_006220_08: embryonic day 14.5 (more )
Structure Level Pattern Image Note
TS23: stomach Strong Regionally restricted euxassay_006220_08
TS23: lateral ventricle choroid plexus Strong Regionally restricted euxassay_006220_08
TS23: 4th ventricle Strong Regionally restricted euxassay_006220_08
TS23: telencephalon ventricular layer Weak Regionally restricted euxassay_006220_08
TS23: thymus primordium Moderate Regionally restricted euxassay_006220_08
TS23: submandibular gland primordium Moderate Regionally restricted euxassay_006220_08
TS23: left lung Moderate Regionally restricted euxassay_006220_08
TS23: spinal cord ventricular layer Strong Regionally restricted euxassay_006220_08
TS23: midbrain ventricular layer Weak Regionally restricted euxassay_006220_08
TS23: medulla oblongata basal plate ventricular layer Weak Regionally restricted euxassay_006220_08
TS23: pons ventricular layer Weak Regionally restricted euxassay_006220_08

Specimen euxassay_006220_09: embryonic day 14.5 (more )
Structure Level Pattern Image Note
TS23: lateral ventricle choroid plexus Strong Regionally restricted euxassay_006220_09
TS23: 4th ventricle Strong Regionally restricted euxassay_006220_09
TS23: olfactory epithelium Moderate Regionally restricted euxassay_006220_09
TS23: telencephalon ventricular layer Weak Regionally restricted euxassay_006220_09
TS23: thymus primordium Moderate Regionally restricted euxassay_006220_09
TS23: esophagus Strong Regionally restricted euxassay_006220_09
TS23: bladder fundus Strong Regionally restricted euxassay_006220_09
TS23: left lung Moderate Regionally restricted euxassay_006220_09
TS23: spinal cord ventricular layer Strong Regionally restricted euxassay_006220_09
TS23: midbrain ventricular layer Weak Regionally restricted euxassay_006220_09
TS23: medulla oblongata basal plate ventricular layer Weak Regionally restricted euxassay_006220_09
TS23: pons ventricular layer Weak Regionally restricted euxassay_006220_09
TS23: pituitary gland Moderate Regionally restricted euxassay_006220_09

Specimen euxassay_006220_10: embryonic day 14.5 (more )
Structure Level Pattern Image Note
TS23: lateral ventricle choroid plexus Strong Regionally restricted euxassay_006220_10
TS23: 4th ventricle Strong Regionally restricted euxassay_006220_10
TS23: olfactory epithelium Strong Regionally restricted euxassay_006220_10
TS23: telencephalon ventricular layer Weak Regionally restricted euxassay_006220_10
TS23: diencephalon lateral wall ventricular layer Weak Regionally restricted euxassay_006220_10
TS23: thymus primordium Moderate Regionally restricted euxassay_006220_10
TS23: esophagus Strong Regionally restricted euxassay_006220_10
TS23: trachea Moderate Regionally restricted euxassay_006220_10
TS23: bladder fundus Strong Regionally restricted euxassay_006220_10
TS23: urethra Moderate Regionally restricted euxassay_006220_10 Originally this result was annotated to a male-specific term, but as the specimen was not sexed, it is likely the data annotator intended to use a non-sex specific term.
TS23: right lung Moderate Regionally restricted euxassay_006220_10
TS23: midbrain ventricular layer Weak Regionally restricted euxassay_006220_10
TS23: medulla oblongata basal plate ventricular layer Weak Regionally restricted euxassay_006220_10
TS23: pons ventricular layer Weak Regionally restricted euxassay_006220_10
TS23: pituitary gland Moderate Regionally restricted euxassay_006220_10

Specimen euxassay_006220_11: embryonic day 14.5 (more )
Structure Level Pattern Image Note
TS23: lateral ventricle choroid plexus Strong Regionally restricted euxassay_006220_11
TS23: 4th ventricle Strong Regionally restricted euxassay_006220_11
TS23: olfactory epithelium Strong Regionally restricted euxassay_006220_11
TS23: telencephalon ventricular layer Weak Regionally restricted euxassay_006220_11
TS23: diencephalon lateral wall ventricular layer Weak Regionally restricted euxassay_006220_11
TS23: hypothalamus ventricular layer Weak Regionally restricted euxassay_006220_11
TS23: thymus primordium Moderate Regionally restricted euxassay_006220_11
TS23: trachea Moderate Regionally restricted euxassay_006220_11
TS23: bladder fundus Strong Regionally restricted euxassay_006220_11
TS23: urethra Moderate Regionally restricted euxassay_006220_11 Originally this result was annotated to a male-specific term, but as the specimen was not sexed, it is likely the data annotator intended to use a non-sex specific term.
TS23: right lung Moderate Regionally restricted euxassay_006220_11
TS23: midbrain ventricular layer Weak Regionally restricted euxassay_006220_11
TS23: medulla oblongata basal plate ventricular layer Weak Regionally restricted euxassay_006220_11
TS23: pons ventricular layer Weak Regionally restricted euxassay_006220_11
TS23: pituitary gland Moderate Regionally restricted euxassay_006220_11

Specimen euxassay_006220_12: embryonic day 14.5 (more )
Structure Level Pattern Image Note
TS23: lateral ventricle choroid plexus Strong Regionally restricted euxassay_006220_12
TS23: 4th ventricle Strong Regionally restricted euxassay_006220_12
TS23: olfactory epithelium Moderate Regionally restricted euxassay_006220_12
TS23: olfactory cortex ventricular layer Weak Regionally restricted euxassay_006220_12
TS23: telencephalon ventricular layer Weak Regionally restricted euxassay_006220_12
TS23: diencephalon lateral wall ventricular layer Weak Regionally restricted euxassay_006220_12
TS23: hypothalamus ventricular layer Weak Regionally restricted euxassay_006220_12
TS23: thymus primordium Moderate Regionally restricted euxassay_006220_12
TS23: right lung Moderate Regionally restricted euxassay_006220_12
TS23: renal cortex Moderate Regionally restricted euxassay_006220_12
TS23: midbrain ventricular layer Weak Regionally restricted euxassay_006220_12
TS23: medulla oblongata basal plate ventricular layer Weak Regionally restricted euxassay_006220_12
TS23: pons ventricular layer Weak Regionally restricted euxassay_006220_12
TS23: pituitary gland Moderate Regionally restricted euxassay_006220_12

Specimen euxassay_006220_13: embryonic day 14.5 (more )
Structure Level Pattern Image Note
TS23: lateral ventricle choroid plexus Strong Regionally restricted euxassay_006220_13
TS23: 4th ventricle Strong Regionally restricted euxassay_006220_13
TS23: olfactory epithelium Strong Spotted euxassay_006220_13
TS23: hypothalamus ventricular layer Moderate Regionally restricted euxassay_006220_13
TS23: diencephalon lateral wall ventricular layer Moderate Regionally restricted euxassay_006220_13
TS23: olfactory cortex ventricular layer Weak Regionally restricted euxassay_006220_13
TS23: telencephalon ventricular layer Weak Regionally restricted euxassay_006220_13
TS23: right lung Moderate Regionally restricted euxassay_006220_13
TS23: renal cortex Moderate Regionally restricted euxassay_006220_13
TS23: pons ventricular layer Weak Regionally restricted euxassay_006220_13
TS23: pituitary gland Moderate Regionally restricted euxassay_006220_13

Specimen euxassay_006220_14: embryonic day 14.5 (more )
Structure Level Pattern Image Note
TS23: lateral ventricle choroid plexus Strong Regionally restricted euxassay_006220_14
TS23: 4th ventricle Strong Regionally restricted euxassay_006220_14
TS23: olfactory epithelium Strong Spotted euxassay_006220_14
TS23: hypothalamus ventricular layer Moderate Uniform euxassay_006220_14
TS23: right lung Moderate Regionally restricted euxassay_006220_14
TS23: renal cortex Moderate Regionally restricted euxassay_006220_14
TS23: pons ventricular layer Weak Regionally restricted euxassay_006220_14
TS23: pituitary gland Moderate Regionally restricted euxassay_006220_14

Specimen euxassay_006220_15: embryonic day 14.5 (more )
Structure Level Pattern Image Note
TS23: lateral ventricle choroid plexus Strong Regionally restricted euxassay_006220_15
TS23: 4th ventricle Strong Regionally restricted euxassay_006220_15
TS23: posterior naris Strong Spotted euxassay_006220_15
TS23: telencephalon ventricular layer Weak Uniform euxassay_006220_15
TS23: cochlea Moderate Regionally restricted euxassay_006220_15
TS23: right lung Moderate Regionally restricted euxassay_006220_15
TS23: renal cortex Moderate Regionally restricted euxassay_006220_15
TS23: pons ventricular layer Weak Regionally restricted euxassay_006220_15

Specimen euxassay_006220_16: embryonic day 14.5 (more )
Structure Level Pattern Image Note
TS23: lateral ventricle choroid plexus Strong Regionally restricted euxassay_006220_16
TS23: 4th ventricle Strong Regionally restricted euxassay_006220_16
TS23: olfactory epithelium Strong Spotted euxassay_006220_16
TS23: telencephalon ventricular layer Weak Uniform euxassay_006220_16
TS23: cochlea Moderate Regionally restricted euxassay_006220_16
TS23: submandibular gland primordium Moderate Regionally restricted euxassay_006220_16
TS23: right lung Moderate Regionally restricted euxassay_006220_16
TS23: renal cortex Moderate Regionally restricted euxassay_006220_16
TS23: pons ventricular layer Weak Regionally restricted euxassay_006220_16

Specimen euxassay_006220_17: embryonic day 14.5 (more )
Structure Level Pattern Image Note
TS23: lateral ventricle choroid plexus Strong Regionally restricted euxassay_006220_17
TS23: 4th ventricle Strong Regionally restricted euxassay_006220_17
TS23: olfactory epithelium Strong Spotted euxassay_006220_17
TS23: posterior naris Strong Spotted euxassay_006220_17
TS23: olfactory cortex ventricular layer Weak Uniform euxassay_006220_17
TS23: telencephalon ventricular layer Weak Uniform euxassay_006220_17
TS23: cochlea Weak Regionally restricted euxassay_006220_17
TS23: submandibular gland primordium Moderate Regionally restricted euxassay_006220_17
TS23: right lung Weak Regionally restricted euxassay_006220_17

Specimen euxassay_006220_18: embryonic day 14.5 (more )
Structure Level Pattern Image Note
TS23: 4th ventricle Strong Regionally restricted euxassay_006220_18
TS23: lateral ventricle choroid plexus Strong Regionally restricted euxassay_006220_18
TS23: olfactory epithelium Strong Spotted euxassay_006220_18
TS23: telencephalon ventricular layer Weak Uniform euxassay_006220_18
TS23: olfactory cortex ventricular layer Weak Uniform euxassay_006220_18
TS23: cochlea Weak Regionally restricted euxassay_006220_18
TS23: submandibular gland primordium Moderate Regionally restricted euxassay_006220_18
TS23: right lung Weak Regionally restricted euxassay_006220_18

Specimen euxassay_006220_19: embryonic day 14.5 (more )
Structure Level Pattern Image Note
TS23: olfactory epithelium Strong Spotted euxassay_006220_19
TS23: telencephalon ventricular layer Weak Uniform euxassay_006220_19

Specimen euxassay_006220_20: embryonic day 14.5 (more )
Structure Level Pattern Image Note
TS23: olfactory epithelium Strong Spotted euxassay_006220_20
TS23: telencephalon ventricular layer Weak Uniform euxassay_006220_20

Specimen euxassay_006220_21: embryonic day 14.5 (more )
Structure Level Pattern Image Note
TS23: telencephalon ventricular layer Weak Uniform euxassay_006220_21


Contributing Projects:
Mouse Genome Database (MGD), Gene Expression Database (GXD), Mouse Models of Human Cancer database (MMHCdb) (formerly Mouse Tumor Biology (MTB)), Gene Ontology (GO)
Citing These Resources
Funding Information
Warranty Disclaimer, Privacy Notice, Licensing, & Copyright
Send questions and comments to User Support.
last database update
03/24/2026
MGI 6.24
The Jackson Laboratory