About   Help   FAQ
Gene Expression Data
Assay Details
Assay
Reference: J:153498 Diez-Roux G, et al., A high-resolution anatomical atlas of the transcriptome in the mouse embryo. PLoS Biol. 2011;9(1):e1000582
Assay type: RNA in situ
MGI Accession ID: MGI:4825255
Gene symbol: Gss
Gene name: glutathione synthetase
Probe: MGC clone 6012
Probe preparation: Antisense labelled with digoxigenin RNA
Visualized with: Alkaline phosphatase
Assay notes: Cryosections of fresh frozen material were fixed in 4% paraformaldehyde for 20 min. before further processing. A tyramide-biotin/streptavidin amplification step was included in the in situ hybridization procedure.
Results
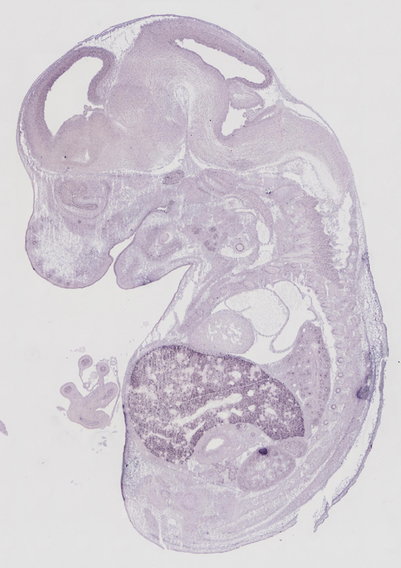
Specimen euxassay_006502_01: embryonic day 14.5 (more )
Structure Level Pattern Image Note
TS23: liver Strong Regionally restricted euxassay_006502_01
TS23: lens Strong Regionally restricted euxassay_006502_01

Specimen euxassay_006502_02: embryonic day 14.5 (more )
Structure Level Pattern Image Note
TS23: liver Strong Regionally restricted euxassay_006502_02
TS23: lens Strong Regionally restricted euxassay_006502_02

Specimen euxassay_006502_03: embryonic day 14.5 (more )
Structure Level Pattern Image Note
TS23: liver Strong Regionally restricted euxassay_006502_03
TS23: lens Strong Regionally restricted euxassay_006502_03

Specimen euxassay_006502_04: embryonic day 14.5 (more )
Structure Level Pattern Image Note
TS23: liver Strong Regionally restricted euxassay_006502_04

Specimen euxassay_006502_05: embryonic day 14.5 (more )
Structure Level Pattern Image Note
TS23: liver Strong Regionally restricted euxassay_006502_05

Specimen euxassay_006502_06: embryonic day 14.5 (more )
Structure Level Pattern Image Note
TS23: liver Strong Regionally restricted euxassay_006502_06

Specimen euxassay_006502_07: embryonic day 14.5 (more )
Structure Level Pattern Image Note
TS23: liver Strong Regionally restricted euxassay_006502_07

Specimen euxassay_006502_08: embryonic day 14.5 (more )
Structure Level Pattern Image Note
TS23: liver Strong Regionally restricted euxassay_006502_08

Specimen euxassay_006502_09: embryonic day 14.5 (more )
Structure Level Pattern Image Note
TS23: liver Strong Regionally restricted euxassay_006502_09

Specimen euxassay_006502_10: embryonic day 14.5 (more )
Structure Level Pattern Image Note
TS23: liver Strong Regionally restricted euxassay_006502_10

Specimen euxassay_006502_11: embryonic day 14.5 (more )
Structure Level Pattern Image Note
TS23: liver Strong Regionally restricted euxassay_006502_11

Specimen euxassay_006502_12: embryonic day 14.5 (more )
Structure Level Pattern Image Note
TS23: liver Strong Regionally restricted euxassay_006502_12

Specimen euxassay_006502_13: embryonic day 14.5 (more )
Structure Level Pattern Image Note
TS23: liver Strong Regionally restricted euxassay_006502_13

Specimen euxassay_006502_14: embryonic day 14.5 (more )
Structure Level Pattern Image Note
TS23: liver Strong Regionally restricted euxassay_006502_14

Specimen euxassay_006502_15: embryonic day 14.5 (more )
Structure Level Pattern Image Note
TS23: liver Strong Regionally restricted euxassay_006502_15

Specimen euxassay_006502_16: embryonic day 14.5 (more )
Structure Level Pattern Image Note
TS23: liver Strong Regionally restricted euxassay_006502_16

Specimen euxassay_006502_17: embryonic day 14.5 (more )
Structure Level Pattern Image Note
TS23: liver Strong Regionally restricted euxassay_006502_17

Specimen euxassay_006502_18: embryonic day 14.5 (more )
Structure Level Pattern Image Note
TS23: liver Strong Regionally restricted euxassay_006502_18

Specimen euxassay_006502_19: embryonic day 14.5 (more )
Structure Level Pattern Image Note
TS23: liver Strong Regionally restricted euxassay_006502_19

Specimen euxassay_006502_20: embryonic day 14.5 (more )
Structure Level Pattern Image Note
TS23: liver Strong Regionally restricted euxassay_006502_20

Specimen euxassay_006502_21: embryonic day 14.5 (more )
Structure Level Pattern Image Note
TS23: liver Strong Regionally restricted euxassay_006502_21

Specimen euxassay_006502_22: embryonic day 14.5 (more )
Structure Level Pattern Image Note
TS23: liver Strong Regionally restricted euxassay_006502_22


Contributing Projects:
Mouse Genome Database (MGD), Gene Expression Database (GXD), Mouse Models of Human Cancer database (MMHCdb) (formerly Mouse Tumor Biology (MTB)), Gene Ontology (GO)
Citing These Resources
Funding Information
Warranty Disclaimer, Privacy Notice, Licensing, & Copyright
Send questions and comments to User Support.
last database update
01/20/2026
MGI 6.24
The Jackson Laboratory