About   Help   FAQ
Gene Expression Data
Assay Details
Assay
Reference: J:153498 Diez-Roux G, et al., A high-resolution anatomical atlas of the transcriptome in the mouse embryo. PLoS Biol. 2011;9(1):e1000582
Assay type: RNA in situ
MGI Accession ID: MGI:4825250
Gene symbol: Ppp1r17
Gene name: protein phosphatase 1, regulatory subunit 17
Probe: MGC clone 25251
Probe preparation: Antisense labelled with digoxigenin RNA
Visualized with: Alkaline phosphatase
Assay notes: Cryosections of fresh frozen material were fixed in 4% paraformaldehyde for 20 min. before further processing. A tyramide-biotin/streptavidin amplification step was included in the in situ hybridization procedure.
Results
Specimen euxassay_001162_01: embryonic day 14.5 (more )
Structure Level Pattern Image Note
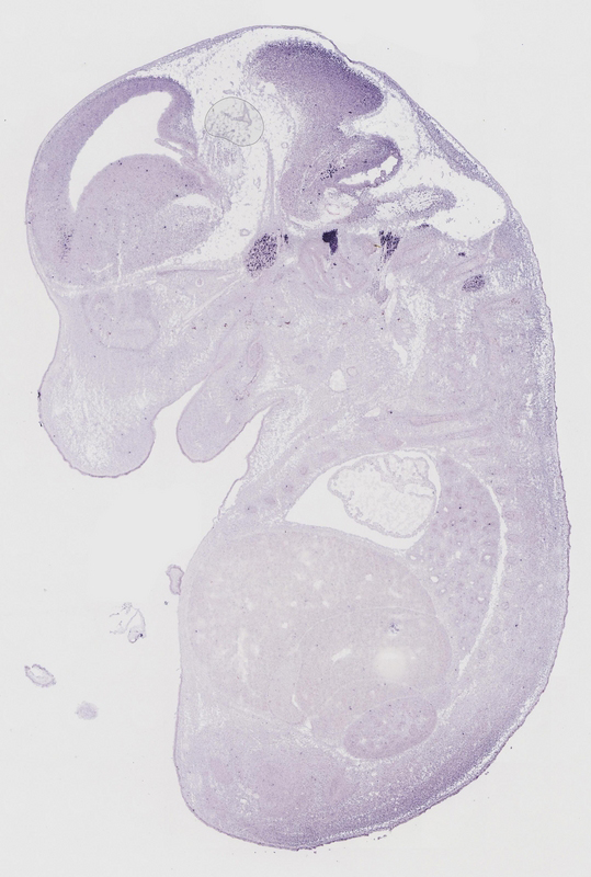
TS23: neural retina Weak Regionally restricted euxassay_001162_01

Specimen euxassay_001162_02: embryonic day 14.5 (more )
Structure Level Pattern Image Note
TS23: neural retina Weak Regionally restricted euxassay_001162_02

Specimen euxassay_001162_03: embryonic day 14.5 (more )
Structure Level Pattern Image Note
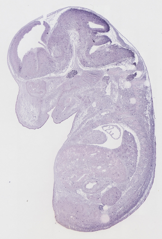
TS23: trigeminal ganglion Moderate Regionally restricted euxassay_001162_03
TS23: neural retina Weak Regionally restricted euxassay_001162_03

Specimen euxassay_001162_04: embryonic day 14.5 (more )
Structure Level Pattern Image Note
TS23: trigeminal ganglion Moderate Regionally restricted euxassay_001162_04

Specimen euxassay_001162_05: embryonic day 14.5 (more )
Structure Level Pattern Image Note
TS23: trigeminal ganglion Moderate Regionally restricted euxassay_001162_05

Specimen euxassay_001162_06: embryonic day 14.5 (more )
Structure Level Pattern Image Note
TS23: trigeminal ganglion Moderate Regionally restricted euxassay_001162_06
TS23: vestibulo-cochlear ganglion Moderate Regionally restricted euxassay_001162_06

Specimen euxassay_001162_07: embryonic day 14.5 (more )
Structure Level Pattern Image Note
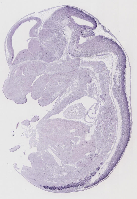
TS23: trigeminal ganglion Moderate Regionally restricted euxassay_001162_07
TS23: glossopharyngeal ganglion Moderate Regionally restricted euxassay_001162_07

Specimen euxassay_001162_08: embryonic day 14.5 (more )
Structure Level Pattern Image Note
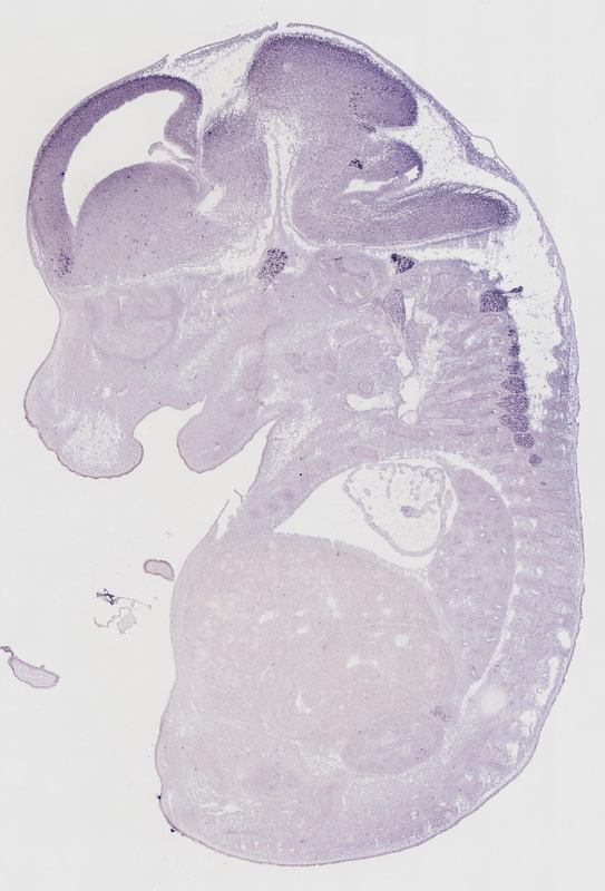
TS23: trigeminal ganglion Moderate Regionally restricted euxassay_001162_08
TS23: dorsal root ganglion Moderate Regionally restricted euxassay_001162_08

Specimen euxassay_001162_09: embryonic day 14.5 (more )
Structure Level Pattern Image Note
TS23: dorsal root ganglion Moderate Regionally restricted euxassay_001162_09
TS23: cervical ganglion Weak Regionally restricted euxassay_001162_09

Specimen euxassay_001162_10: embryonic day 14.5 (more )
Structure Level Pattern Image Note
TS23: dorsal root ganglion Moderate Regionally restricted euxassay_001162_10
TS23: cervico-thoracic ganglion Weak Regionally restricted euxassay_001162_10

Specimen euxassay_001162_11: embryonic day 14.5 (more )
Structure Level Pattern Image Note
TS23: dorsal root ganglion Moderate Regionally restricted euxassay_001162_11

Specimen euxassay_001162_12: embryonic day 14.5 (more )
Structure Level Pattern Image Note
TS23: thoracic ganglion Weak Regionally restricted euxassay_001162_12

Specimen euxassay_001162_14: embryonic day 14.5 (more )
Structure Level Pattern Image Note
TS23: thoracic ganglion Weak Regionally restricted euxassay_001162_14

Specimen euxassay_001162_15: embryonic day 14.5 (more )
Structure Level Pattern Image Note
TS23: dorsal root ganglion Moderate Regionally restricted euxassay_001162_15

Specimen euxassay_001162_16: embryonic day 14.5 (more )
Structure Level Pattern Image Note
TS23: dorsal root ganglion Moderate Regionally restricted euxassay_001162_16
TS23: cervico-thoracic ganglion Weak Regionally restricted euxassay_001162_16

Specimen euxassay_001162_17: embryonic day 14.5 (more )
Structure Level Pattern Image Note
TS23: dorsal root ganglion Moderate Regionally restricted euxassay_001162_17
TS23: cervical ganglion Weak Regionally restricted euxassay_001162_17

Specimen euxassay_001162_18: embryonic day 14.5 (more )
Structure Level Pattern Image Note
TS23: trigeminal ganglion Moderate Regionally restricted euxassay_001162_18
TS23: glossopharyngeal ganglion Moderate Regionally restricted euxassay_001162_18
TS23: dorsal root ganglion Moderate Regionally restricted euxassay_001162_18

Specimen euxassay_001162_19: embryonic day 14.5 (more )
Structure Level Pattern Image Note
TS23: trigeminal ganglion Moderate Regionally restricted euxassay_001162_19
TS23: glossopharyngeal ganglion Moderate Regionally restricted euxassay_001162_19
TS23: vestibulo-cochlear ganglion Moderate Regionally restricted euxassay_001162_19
TS23: dorsal root ganglion Moderate Regionally restricted euxassay_001162_19

Specimen euxassay_001162_20: embryonic day 14.5 (more )
Structure Level Pattern Image Note
TS23: trigeminal ganglion Moderate Regionally restricted euxassay_001162_20

Specimen euxassay_001162_21: embryonic day 14.5 (more )
Structure Level Pattern Image Note
TS23: trigeminal ganglion Moderate Regionally restricted euxassay_001162_21

Specimen euxassay_001162_22: embryonic day 14.5 (more )
Structure Level Pattern Image Note
TS23: trigeminal ganglion Moderate Regionally restricted euxassay_001162_22

Specimen euxassay_001162_23: embryonic day 14.5 (more )
Structure Level Pattern Image Note
TS23: trigeminal ganglion Moderate Regionally restricted euxassay_001162_23
TS23: neural retina Weak Regionally restricted euxassay_001162_23

Specimen euxassay_001162_24: embryonic day 14.5 (more )
Structure Level Pattern Image Note
TS23: neural retina Weak Regionally restricted euxassay_001162_24


Contributing Projects:
Mouse Genome Database (MGD), Gene Expression Database (GXD), Mouse Models of Human Cancer database (MMHCdb) (formerly Mouse Tumor Biology (MTB)), Gene Ontology (GO)
Citing These Resources
Funding Information
Warranty Disclaimer, Privacy Notice, Licensing, & Copyright
Send questions and comments to User Support.
last database update
01/20/2026
MGI 6.24
The Jackson Laboratory