About   Help   FAQ
Gene Expression Data
Assay Details
Assay
Reference: J:153498 Diez-Roux G, et al., A high-resolution anatomical atlas of the transcriptome in the mouse embryo. PLoS Biol. 2011;9(1):e1000582
Assay type: RNA in situ
MGI Accession ID: MGI:4825244
Gene symbol: Grpel1
Gene name: GrpE-like 1, mitochondrial
Probe: T31655
Probe preparation: Antisense labelled with digoxigenin RNA
Visualized with: Alkaline phosphatase
Assay notes: Cryosections of fresh frozen material were fixed in 4% paraformaldehyde for 20 min. before further processing. A tyramide-biotin/streptavidin amplification step was included in the in situ hybridization procedure.
Results
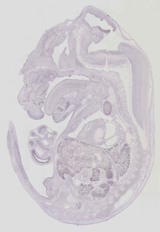
Specimen euxassay_011633_01: embryonic day 14.5 (more )
Structure Level Pattern Image Note
TS23: liver lobe Moderate Regionally restricted euxassay_011633_01

Specimen euxassay_011633_02: embryonic day 14.5 (more )
Structure Level Pattern Image Note
TS23: liver lobe Moderate Regionally restricted euxassay_011633_02
TS23: orbito-sphenoid Weak Regionally restricted euxassay_011633_02

Specimen euxassay_011633_03: embryonic day 14.5 (more )
Structure Level Pattern Image Note
TS23: liver lobe Moderate Regionally restricted euxassay_011633_03
TS23: mandible Weak Regionally restricted euxassay_011633_03
TS23: orbito-sphenoid Weak Regionally restricted euxassay_011633_03

Specimen euxassay_011633_04: embryonic day 14.5 (more )
Structure Level Pattern Image Note
TS23: liver lobe Moderate Regionally restricted euxassay_011633_04
TS23: mandible Weak Regionally restricted euxassay_011633_04
TS23: orbito-sphenoid Moderate Regionally restricted euxassay_011633_04

Specimen euxassay_011633_05: embryonic day 14.5 (more )
Structure Level Pattern Image Note
TS23: liver lobe Moderate Regionally restricted euxassay_011633_05
TS23: mandible Weak Regionally restricted euxassay_011633_05
TS23: orbito-sphenoid Moderate Regionally restricted euxassay_011633_05

Specimen euxassay_011633_06: embryonic day 14.5 (more )
Structure Level Pattern Image Note
TS23: liver lobe Moderate Regionally restricted euxassay_011633_06
TS23: vibrissa Weak Regionally restricted euxassay_011633_06
TS23: maxilla Weak Regionally restricted euxassay_011633_06
TS23: mandible Weak Regionally restricted euxassay_011633_06
TS23: orbito-sphenoid Moderate Regionally restricted euxassay_011633_06

Specimen euxassay_011633_07: embryonic day 14.5 (more )
Structure Level Pattern Image Note
TS23: liver lobe Moderate Regionally restricted euxassay_011633_07
TS23: submandibular gland primordium Moderate Regionally restricted euxassay_011633_07
TS23: vibrissa Weak Regionally restricted euxassay_011633_07
TS23: maxilla Weak Regionally restricted euxassay_011633_07
TS23: mandible Weak Regionally restricted euxassay_011633_07

Specimen euxassay_011633_08: embryonic day 14.5 (more )
Structure Level Pattern Image Note
TS23: liver lobe Moderate Regionally restricted euxassay_011633_08
TS23: submandibular gland primordium Moderate Regionally restricted euxassay_011633_08
TS23: vibrissa Weak Regionally restricted euxassay_011633_08
TS23: maxilla Weak Regionally restricted euxassay_011633_08
TS23: mandible Weak Regionally restricted euxassay_011633_08

Specimen euxassay_011633_09: embryonic day 14.5 (more )
Structure Level Pattern Image Note
TS23: liver lobe Moderate Regionally restricted euxassay_011633_09
TS23: submandibular gland primordium Moderate Regionally restricted euxassay_011633_09
TS23: mandible Weak Regionally restricted euxassay_011633_09
TS23: maxilla Weak Regionally restricted euxassay_011633_09
TS23: midgut Moderate Regionally restricted euxassay_011633_09
TS23: renal cortex Weak Regionally restricted euxassay_011633_09
TS23: adrenal gland Weak Regionally restricted euxassay_011633_09
TS23: midbrain ventricular layer Weak Regionally restricted euxassay_011633_09

Specimen euxassay_011633_10: embryonic day 14.5 (more )
Structure Level Pattern Image Note
TS23: liver lobe Moderate Regionally restricted euxassay_011633_10
TS23: submandibular gland primordium Moderate Regionally restricted euxassay_011633_10
TS23: mandible Weak Regionally restricted euxassay_011633_10
TS23: midgut Moderate Regionally restricted euxassay_011633_10
TS23: renal cortex Weak Regionally restricted euxassay_011633_10
TS23: adrenal gland Weak Regionally restricted euxassay_011633_10
TS23: midbrain ventricular layer Weak Regionally restricted euxassay_011633_10
TS23: clavicle Moderate Regionally restricted euxassay_011633_10

Specimen euxassay_011633_11: embryonic day 14.5 (more )
Structure Level Pattern Image Note
TS23: liver lobe Moderate Regionally restricted euxassay_011633_11
TS23: upper jaw incisor Weak Regionally restricted euxassay_011633_11
TS23: lower jaw incisor Weak Regionally restricted euxassay_011633_11
TS23: pancreas Weak Regionally restricted euxassay_011633_11
TS23: thyroid gland Weak Regionally restricted euxassay_011633_11
TS23: midgut Moderate Regionally restricted euxassay_011633_11
TS23: renal cortex Weak Regionally restricted euxassay_011633_11
TS23: adrenal gland Weak Regionally restricted euxassay_011633_11
TS23: midbrain ventricular layer Weak Regionally restricted euxassay_011633_11
TS23: clavicle Weak Regionally restricted euxassay_011633_11

Specimen euxassay_011633_12: embryonic day 14.5 (more )
Structure Level Pattern Image Note
TS23: liver lobe Weak Regionally restricted euxassay_011633_12
TS23: upper jaw incisor Weak Regionally restricted euxassay_011633_12
TS23: lower jaw incisor Weak Regionally restricted euxassay_011633_12
TS23: pancreas Weak Regionally restricted euxassay_011633_12
TS23: thymus primordium Moderate Regionally restricted euxassay_011633_12
TS23: thyroid gland Weak Regionally restricted euxassay_011633_12
TS23: midgut Moderate Regionally restricted euxassay_011633_12
TS23: renal cortex Weak Regionally restricted euxassay_011633_12
TS23: adrenal gland Weak Regionally restricted euxassay_011633_12
TS23: midbrain ventricular layer Weak Regionally restricted euxassay_011633_12

Specimen euxassay_011633_13: embryonic day 14.5 (more )
Structure Level Pattern Image Note
TS23: liver lobe Moderate Regionally restricted euxassay_011633_13
TS23: upper jaw incisor Weak Regionally restricted euxassay_011633_13
TS23: pancreas Weak Regionally restricted euxassay_011633_13
TS23: thymus primordium Moderate Regionally restricted euxassay_011633_13
TS23: midgut Moderate Regionally restricted euxassay_011633_13
TS23: midbrain ventricular layer Weak Regionally restricted euxassay_011633_13

Specimen euxassay_011633_14: embryonic day 14.5 (more )
Structure Level Pattern Image Note
TS23: liver lobe Moderate Regionally restricted euxassay_011633_14
TS23: pancreas Weak Regionally restricted euxassay_011633_14
TS23: thymus primordium Moderate Regionally restricted euxassay_011633_14
TS23: midgut Moderate Regionally restricted euxassay_011633_14
TS23: midbrain ventricular layer Weak Regionally restricted euxassay_011633_14

Specimen euxassay_011633_15: embryonic day 14.5 (more )
Structure Level Pattern Image Note
TS23: liver lobe Moderate Regionally restricted euxassay_011633_15
TS23: thymus primordium Moderate Regionally restricted euxassay_011633_15
TS23: midgut Moderate Regionally restricted euxassay_011633_15
TS23: midbrain ventricular layer Weak Regionally restricted euxassay_011633_15

Specimen euxassay_011633_16: embryonic day 14.5 (more )
Structure Level Pattern Image Note
TS23: liver lobe Weak Regionally restricted euxassay_011633_16
TS23: upper jaw incisor Weak Regionally restricted euxassay_011633_16
TS23: lower jaw incisor Weak Regionally restricted euxassay_011633_16
TS23: thymus primordium Weak Regionally restricted euxassay_011633_16
TS23: thyroid gland Weak Regionally restricted euxassay_011633_16
TS23: midgut Moderate Regionally restricted euxassay_011633_16
TS23: midbrain ventricular layer Weak Regionally restricted euxassay_011633_16

Specimen euxassay_011633_17: embryonic day 14.5 (more )
Structure Level Pattern Image Note
TS23: liver lobe Moderate Regionally restricted euxassay_011633_17
TS23: submandibular gland primordium Moderate Regionally restricted euxassay_011633_17
TS23: lower jaw incisor Weak Regionally restricted euxassay_011633_17
TS23: upper jaw incisor Weak Regionally restricted euxassay_011633_17
TS23: midgut Moderate Regionally restricted euxassay_011633_17
TS23: clavicle Weak Regionally restricted euxassay_011633_17

Specimen euxassay_011633_18: embryonic day 14.5 (more )
Structure Level Pattern Image Note
TS23: liver lobe Moderate Regionally restricted euxassay_011633_18
TS23: submandibular gland primordium Moderate Regionally restricted euxassay_011633_18
TS23: maxilla Weak Regionally restricted euxassay_011633_18
TS23: mandible Weak Regionally restricted euxassay_011633_18
TS23: midgut Moderate Regionally restricted euxassay_011633_18
TS23: adrenal gland Weak Regionally restricted euxassay_011633_18
TS23: clavicle Weak Regionally restricted euxassay_011633_18

Specimen euxassay_011633_19: embryonic day 14.5 (more )
Structure Level Pattern Image Note
TS23: liver lobe Moderate Regionally restricted euxassay_011633_19
TS23: submandibular gland primordium Moderate Regionally restricted euxassay_011633_19
TS23: maxilla Weak Regionally restricted euxassay_011633_19
TS23: mandible Weak Regionally restricted euxassay_011633_19
TS23: midgut Moderate Regionally restricted euxassay_011633_19
TS23: renal cortex Weak Regionally restricted euxassay_011633_19
TS23: adrenal gland Weak Regionally restricted euxassay_011633_19
TS23: clavicle Weak Regionally restricted euxassay_011633_19

Specimen euxassay_011633_20: embryonic day 14.5 (more )
Structure Level Pattern Image Note
TS23: liver lobe Weak Regionally restricted euxassay_011633_20
TS23: submandibular gland primordium Moderate Regionally restricted euxassay_011633_20
TS23: maxilla Weak Regionally restricted euxassay_011633_20
TS23: mandible Weak Regionally restricted euxassay_011633_20
TS23: midgut Moderate Regionally restricted euxassay_011633_20
TS23: renal cortex Weak Regionally restricted euxassay_011633_20
TS23: adrenal gland Weak Regionally restricted euxassay_011633_20

Specimen euxassay_011633_21: embryonic day 14.5 (more )
Structure Level Pattern Image Note
TS23: liver lobe Moderate Regionally restricted euxassay_011633_21
TS23: vibrissa Moderate Regionally restricted euxassay_011633_21
TS23: maxilla Weak Regionally restricted euxassay_011633_21
TS23: mandible Weak Regionally restricted euxassay_011633_21
TS23: renal cortex Weak Regionally restricted euxassay_011633_21

Specimen euxassay_011633_22: embryonic day 14.5 (more )
Structure Level Pattern Image Note
TS23: liver lobe Moderate Regionally restricted euxassay_011633_22
TS23: vibrissa Moderate Regionally restricted euxassay_011633_22
TS23: mandible Moderate Regionally restricted euxassay_011633_22
TS23: maxilla Moderate Regionally restricted euxassay_011633_22
TS23: renal cortex Weak Regionally restricted euxassay_011633_22
TS23: orbito-sphenoid Moderate Regionally restricted euxassay_011633_22

Specimen euxassay_011633_23: embryonic day 14.5 (more )
Structure Level Pattern Image Note
TS23: liver lobe Moderate Regionally restricted euxassay_011633_23
TS23: vibrissa Moderate Regionally restricted euxassay_011633_23
TS23: mandible Moderate Regionally restricted euxassay_011633_23
TS23: orbito-sphenoid Moderate Regionally restricted euxassay_011633_23

Specimen euxassay_011633_24: embryonic day 14.5 (more )
Structure Level Pattern Image Note
TS23: liver lobe Weak Regionally restricted euxassay_011633_24
TS23: mandible Moderate Regionally restricted euxassay_011633_24
TS23: orbito-sphenoid Weak Regionally restricted euxassay_011633_24


Contributing Projects:
Mouse Genome Database (MGD), Gene Expression Database (GXD), Mouse Models of Human Cancer database (MMHCdb) (formerly Mouse Tumor Biology (MTB)), Gene Ontology (GO)
Citing These Resources
Funding Information
Warranty Disclaimer, Privacy Notice, Licensing, & Copyright
Send questions and comments to User Support.
last database update
01/06/2026
MGI 6.24
The Jackson Laboratory