About   Help   FAQ
Gene Expression Data
Assay Details
Assay
Reference: J:153498 Diez-Roux G, et al., A high-resolution anatomical atlas of the transcriptome in the mouse embryo. PLoS Biol. 2011;9(1):e1000582
Assay type: RNA in situ
MGI Accession ID: MGI:4825205
Gene symbol: Gpx2
Gene name: glutathione peroxidase 2
Probe: MGC clone 49159
Probe preparation: Antisense labelled with digoxigenin RNA
Visualized with: Alkaline phosphatase
Assay notes: Cryosections of fresh frozen material were fixed in 4% paraformaldehyde for 20 min. before further processing. A tyramide-biotin/streptavidin amplification step was included in the in situ hybridization procedure.
Results
Specimen euxassay_002002_01: embryonic day 14.5 (more )
Structure Level Pattern Image Note
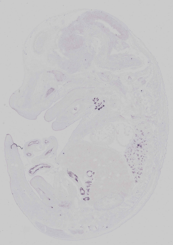
TS23: stomach Strong Regionally restricted euxassay_002002_01

Specimen euxassay_002002_02: embryonic day 14.5 (more )
Structure Level Pattern Image Note
TS23: stomach Strong Regionally restricted euxassay_002002_02

Specimen euxassay_002002_03: embryonic day 14.5 (more )
Structure Level Pattern Image Note
TS23: stomach Strong Regionally restricted euxassay_002002_03

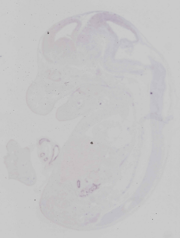
Specimen euxassay_002002_04: embryonic day 14.5 (more )
Structure Level Pattern Image Note
TS23: stomach Strong Regionally restricted euxassay_002002_04

Specimen euxassay_002002_05: embryonic day 14.5 (more )
Structure Level Pattern Image Note
TS23: stomach Moderate Regionally restricted euxassay_002002_05
TS23: submandibular gland primordium Strong Regionally restricted euxassay_002002_05

Specimen euxassay_002002_06: embryonic day 14.5 (more )
Structure Level Pattern Image Note
TS23: stomach Moderate Regionally restricted euxassay_002002_06
TS23: submandibular gland primordium Strong Regionally restricted euxassay_002002_06

Specimen euxassay_002002_07: embryonic day 14.5 (more )
Structure Level Pattern Image Note
TS23: stomach Moderate Regionally restricted euxassay_002002_07
TS23: submandibular gland primordium Strong Regionally restricted euxassay_002002_07
TS23: pancreas Moderate Regionally restricted euxassay_002002_07

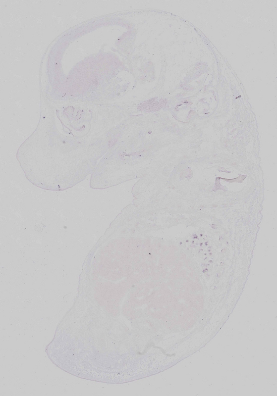
Specimen euxassay_002002_08: embryonic day 14.5 (more )
Structure Level Pattern Image Note
TS23: midgut Moderate Regionally restricted euxassay_002002_08
TS23: submandibular gland primordium Strong Regionally restricted euxassay_002002_08
TS23: pancreas Moderate Regionally restricted euxassay_002002_08

Specimen euxassay_002002_09: embryonic day 14.5 (more )
Structure Level Pattern Image Note
TS23: midgut Moderate Regionally restricted euxassay_002002_09
TS23: pancreas Moderate Regionally restricted euxassay_002002_09

Specimen euxassay_002002_10: embryonic day 14.5 (more )
Structure Level Pattern Image Note
TS23: midgut Moderate Regionally restricted euxassay_002002_10
TS23: hindgut Moderate Regionally restricted euxassay_002002_10
TS23: pancreas Moderate Regionally restricted euxassay_002002_10
TS23: lung Moderate Spotted euxassay_002002_10

Specimen euxassay_002002_11: embryonic day 14.5 (more )
Structure Level Pattern Image Note
TS23: midgut Strong Regionally restricted euxassay_002002_11
TS23: hindgut Strong Regionally restricted euxassay_002002_11
TS23: lung Moderate Spotted euxassay_002002_11
TS23: olfactory epithelium Weak Regionally restricted euxassay_002002_11

Specimen euxassay_002002_12: embryonic day 14.5 (more )
Structure Level Pattern Image Note
TS23: midgut Strong Regionally restricted euxassay_002002_12
TS23: hindgut Strong Regionally restricted euxassay_002002_12
TS23: foregut-midgut junction Strong Regionally restricted euxassay_002002_12
TS23: lung Moderate Spotted euxassay_002002_12
TS23: olfactory epithelium Weak Regionally restricted euxassay_002002_12

Specimen euxassay_002002_13: embryonic day 14.5 (more )
Structure Level Pattern Image Note
TS23: midgut Strong Regionally restricted euxassay_002002_13
TS23: hindgut Strong Regionally restricted euxassay_002002_13
TS23: foregut-midgut junction Strong Regionally restricted euxassay_002002_13
TS23: submandibular gland primordium Strong Regionally restricted euxassay_002002_13
TS23: urethra Weak Regionally restricted euxassay_002002_13 Originally this result was annotated to a male-specific term, but as the specimen was not sexed, it is likely the data annotator intended to use a non-sex specific term.
TS23: lung Moderate Spotted euxassay_002002_13

Specimen euxassay_002002_14: embryonic day 14.5 (more )
Structure Level Pattern Image Note
TS23: midgut Strong Regionally restricted euxassay_002002_14
TS23: hindgut Strong Regionally restricted euxassay_002002_14
TS23: foregut-midgut junction Strong Regionally restricted euxassay_002002_14
TS23: submandibular gland primordium Strong Regionally restricted euxassay_002002_14
TS23: urethra Weak Regionally restricted euxassay_002002_14 Originally this result was annotated to a male-specific term, but as the specimen was not sexed, it is likely the data annotator intended to use a non-sex specific term.
TS23: lung Moderate Spotted euxassay_002002_14
TS23: olfactory epithelium Weak Regionally restricted euxassay_002002_14

Specimen euxassay_002002_15: embryonic day 14.5 (more )
Structure Level Pattern Image Note
TS23: midgut Strong Regionally restricted euxassay_002002_15
TS23: hindgut Strong Regionally restricted euxassay_002002_15
TS23: submandibular gland primordium Strong Regionally restricted euxassay_002002_15
TS23: lung Moderate Spotted euxassay_002002_15
TS23: olfactory epithelium Weak Regionally restricted euxassay_002002_15

Specimen euxassay_002002_16: embryonic day 14.5 (more )
Structure Level Pattern Image Note
TS23: midgut Strong Regionally restricted euxassay_002002_16
TS23: submandibular gland primordium Strong Regionally restricted euxassay_002002_16
TS23: lung Moderate Spotted euxassay_002002_16
TS23: olfactory epithelium Weak Regionally restricted euxassay_002002_16

Specimen euxassay_002002_17: embryonic day 14.5 (more )
Structure Level Pattern Image Note
TS23: midgut Strong Regionally restricted euxassay_002002_17
TS23: submandibular gland primordium Strong Regionally restricted euxassay_002002_17
TS23: lung Moderate Spotted euxassay_002002_17
TS23: olfactory epithelium Weak Regionally restricted euxassay_002002_17

Specimen euxassay_002002_18: embryonic day 14.5 (more )
Structure Level Pattern Image Note
TS23: lung Moderate Spotted euxassay_002002_18
TS23: olfactory epithelium Weak Regionally restricted euxassay_002002_18

Specimen euxassay_002002_19: embryonic day 14.5 (more )
Structure Level Pattern Image Note
TS23: lung Moderate Spotted euxassay_002002_19


Contributing Projects:
Mouse Genome Database (MGD), Gene Expression Database (GXD), Mouse Models of Human Cancer database (MMHCdb) (formerly Mouse Tumor Biology (MTB)), Gene Ontology (GO)
Citing These Resources
Funding Information
Warranty Disclaimer, Privacy Notice, Licensing, & Copyright
Send questions and comments to User Support.
last database update
01/06/2026
MGI 6.24
The Jackson Laboratory