About   Help   FAQ
Gene Expression Data
Assay Details
Assay
Reference: J:153498 Diez-Roux G, et al., A high-resolution anatomical atlas of the transcriptome in the mouse embryo. PLoS Biol. 2011;9(1):e1000582
Assay type: RNA in situ
MGI Accession ID: MGI:4825199
Gene symbol: Gprc5a
Gene name: G protein-coupled receptor, family C, group 5, member A
Probe: IMAGE clone 2123111
Probe preparation: Antisense labelled with digoxigenin RNA
Visualized with: Alkaline phosphatase
Assay notes: Cryosections of fresh frozen material were fixed in 4% paraformaldehyde for 20 min. before further processing. A tyramide-biotin/streptavidin amplification step was included in the in situ hybridization procedure.
Results
Specimen euxassay_002930_04: embryonic day 14.5 (more )
Structure Level Pattern Image Note
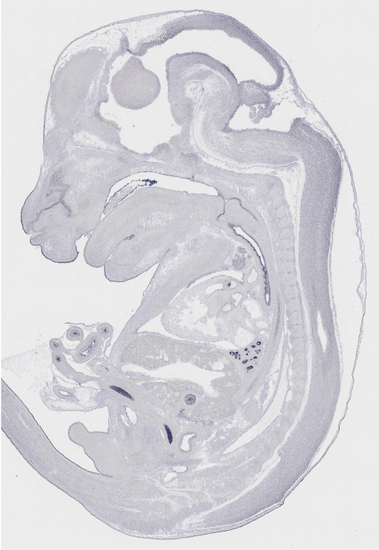
TS23: lung Strong Regionally restricted euxassay_002930_04

Specimen euxassay_002930_05: embryonic day 14.5 (more )
Structure Level Pattern Image Note
TS23: lung Strong Regionally restricted euxassay_002930_05

Specimen euxassay_002930_06: embryonic day 14.5 (more )
Structure Level Pattern Image Note
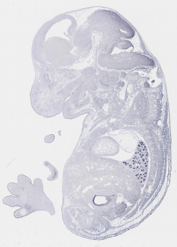
TS23: lung Strong Regionally restricted euxassay_002930_06
TS23: stomach Moderate Regionally restricted euxassay_002930_06

Specimen euxassay_002930_07: embryonic day 14.5 (more )
Structure Level Pattern Image Note
TS23: lung Strong Regionally restricted euxassay_002930_07
TS23: stomach Moderate Regionally restricted euxassay_002930_07

Specimen euxassay_002930_08: embryonic day 14.5 (more )
Structure Level Pattern Image Note
TS23: lung Strong Regionally restricted euxassay_002930_08
TS23: midgut Moderate Regionally restricted euxassay_002930_08
TS23: stomach Moderate Regionally restricted euxassay_002930_08

Specimen euxassay_002930_09: embryonic day 14.5 (more )
Structure Level Pattern Image Note
TS23: lung Strong Regionally restricted euxassay_002930_09
TS23: submandibular gland primordium Weak Regionally restricted euxassay_002930_09
TS23: renal calyx Moderate Regionally restricted euxassay_002930_09
TS23: midgut Moderate Regionally restricted euxassay_002930_09
TS23: stomach Moderate Regionally restricted euxassay_002930_09

Specimen euxassay_002930_10: embryonic day 14.5 (more )
Structure Level Pattern Image Note
TS23: lung Strong Regionally restricted euxassay_002930_10
TS23: submandibular gland primordium Weak Regionally restricted euxassay_002930_10
TS23: olfactory epithelium Weak Regionally restricted euxassay_002930_10
TS23: renal calyx Moderate Regionally restricted euxassay_002930_10
TS23: midgut Moderate Regionally restricted euxassay_002930_10
TS23: stomach Moderate Regionally restricted euxassay_002930_10

Specimen euxassay_002930_11: embryonic day 14.5 (more )
Structure Level Pattern Image Note
TS23: lung Strong Regionally restricted euxassay_002930_11
TS23: olfactory epithelium Weak Regionally restricted euxassay_002930_11
TS23: renal calyx Moderate Regionally restricted euxassay_002930_11
TS23: stomach Moderate Regionally restricted euxassay_002930_11
TS23: midgut Moderate Regionally restricted euxassay_002930_11

Specimen euxassay_002930_12: embryonic day 14.5 (more )
Structure Level Pattern Image Note
TS23: lung Strong Regionally restricted euxassay_002930_12
TS23: olfactory epithelium Weak Regionally restricted euxassay_002930_12
TS23: renal calyx Moderate Regionally restricted euxassay_002930_12
TS23: midgut Moderate Regionally restricted euxassay_002930_12

Specimen euxassay_002930_13: embryonic day 14.5 (more )
Structure Level Pattern Image Note
TS23: lung Strong Regionally restricted euxassay_002930_13
TS23: trachea Strong Regionally restricted euxassay_002930_13
TS23: olfactory epithelium Weak Regionally restricted euxassay_002930_13
TS23: midgut Moderate Regionally restricted euxassay_002930_13
TS23: hindgut Moderate Regionally restricted euxassay_002930_13

Specimen euxassay_002930_14: embryonic day 14.5 (more )
Structure Level Pattern Image Note
TS23: lung Strong Regionally restricted euxassay_002930_14
TS23: trachea Strong Regionally restricted euxassay_002930_14
TS23: naris Weak Regionally restricted euxassay_002930_14
TS23: olfactory epithelium Weak Regionally restricted euxassay_002930_14
TS23: midgut Moderate Regionally restricted euxassay_002930_14
TS23: hindgut Moderate Regionally restricted euxassay_002930_14

Specimen euxassay_002930_15: embryonic day 14.5 (more )
Structure Level Pattern Image Note
TS23: lung Strong Regionally restricted euxassay_002930_15
TS23: trachea Strong Regionally restricted euxassay_002930_15
TS23: naris Weak Regionally restricted euxassay_002930_15
TS23: hindgut Moderate Regionally restricted euxassay_002930_15
TS23: midgut Moderate Regionally restricted euxassay_002930_15
TS23: urethra Weak Regionally restricted euxassay_002930_15 Originally this result was annotated to a male-specific term, but as the specimen was not sexed, it is likely the data annotator intended to use a non-sex specific term.
TS23: bladder Weak Regionally restricted euxassay_002930_15

Specimen euxassay_002930_16: embryonic day 14.5 (more )
Structure Level Pattern Image Note
TS23: lung Strong Regionally restricted euxassay_002930_16
TS23: trachea Strong Regionally restricted euxassay_002930_16
TS23: olfactory epithelium Weak Regionally restricted euxassay_002930_16
TS23: rectum Moderate Regionally restricted euxassay_002930_16
TS23: midgut Moderate Regionally restricted euxassay_002930_16
TS23: hindgut Moderate Regionally restricted euxassay_002930_16
TS23: urethra Weak Regionally restricted euxassay_002930_16 Originally this result was annotated to a male-specific term, but as the specimen was not sexed, it is likely the data annotator intended to use a non-sex specific term.
TS23: bladder Weak Regionally restricted euxassay_002930_16

Specimen euxassay_002930_17: embryonic day 14.5 (more )
Structure Level Pattern Image Note
TS23: lung Strong Regionally restricted euxassay_002930_17
TS23: submandibular gland primordium Moderate Regionally restricted euxassay_002930_17
TS23: olfactory epithelium Weak Regionally restricted euxassay_002930_17
TS23: midgut Moderate Regionally restricted euxassay_002930_17

Specimen euxassay_002930_18: embryonic day 14.5 (more )
Structure Level Pattern Image Note
TS23: lung Strong Regionally restricted euxassay_002930_18
TS23: submandibular gland primordium Moderate Regionally restricted euxassay_002930_18
TS23: olfactory epithelium Weak Regionally restricted euxassay_002930_18
TS23: midgut Moderate Regionally restricted euxassay_002930_18

Specimen euxassay_002930_19: embryonic day 14.5 (more )
Structure Level Pattern Image Note
TS23: lung Strong Regionally restricted euxassay_002930_19
TS23: submandibular gland primordium Moderate Regionally restricted euxassay_002930_19
TS23: olfactory epithelium Weak Regionally restricted euxassay_002930_19

Specimen euxassay_002930_20: embryonic day 14.5 (more )
Structure Level Pattern Image Note
TS23: lung Strong Regionally restricted euxassay_002930_20
TS23: olfactory epithelium Weak Regionally restricted euxassay_002930_20
TS23: renal calyx Moderate Regionally restricted euxassay_002930_20

Specimen euxassay_002930_21: embryonic day 14.5 (more )
Structure Level Pattern Image Note
TS23: lung Strong Regionally restricted euxassay_002930_21
TS23: olfactory epithelium Weak Regionally restricted euxassay_002930_21
TS23: renal calyx Moderate Regionally restricted euxassay_002930_21

Specimen euxassay_002930_22: embryonic day 14.5 (more )
Structure Level Pattern Image Note
TS23: lung Strong Regionally restricted euxassay_002930_22
TS23: renal calyx Moderate Regionally restricted euxassay_002930_22

Specimen euxassay_002930_23: embryonic day 14.5 (more )
Structure Level Pattern Image Note
TS23: lung Strong Regionally restricted euxassay_002930_23
TS23: renal calyx Moderate Regionally restricted euxassay_002930_23

Specimen euxassay_002930_24: embryonic day 14.5 (more )
Structure Level Pattern Image Note
TS23: lung Strong Regionally restricted euxassay_002930_24


Contributing Projects:
Mouse Genome Database (MGD), Gene Expression Database (GXD), Mouse Models of Human Cancer database (MMHCdb) (formerly Mouse Tumor Biology (MTB)), Gene Ontology (GO)
Citing These Resources
Funding Information
Warranty Disclaimer, Privacy Notice, Licensing, & Copyright
Send questions and comments to User Support.
last database update
01/06/2026
MGI 6.24
The Jackson Laboratory