About   Help   FAQ
Gene Expression Data
Assay Details
Assay
Reference: J:153498 Diez-Roux G, et al., A high-resolution anatomical atlas of the transcriptome in the mouse embryo. PLoS Biol. 2011;9(1):e1000582
Assay type: RNA in situ
MGI Accession ID: MGI:4825189
Gene symbol: Gpr50
Gene name: G-protein-coupled receptor 50
Probe: T35213
Probe preparation: Antisense labelled with digoxigenin RNA
Visualized with: Alkaline phosphatase
Assay notes: Cryosections of fresh frozen material were fixed in 4% paraformaldehyde for 20 min. before further processing. A tyramide-biotin/streptavidin amplification step was included in the in situ hybridization procedure.
Results
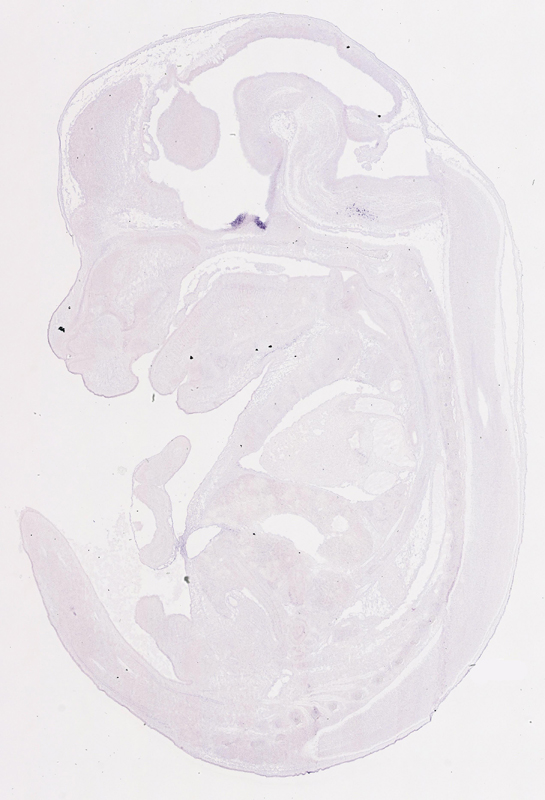
Specimen euxassay_008378_04: embryonic day 14.5 (more )
Structure Level Pattern Image Note
TS23: pons mantle layer Moderate Single cells euxassay_008378_04

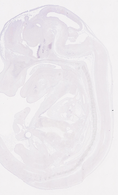
Specimen euxassay_008378_05: embryonic day 14.5 (more )
Structure Level Pattern Image Note
TS23: pons mantle layer Strong Single cells euxassay_008378_05
TS23: tubotympanic recess Moderate Regionally restricted euxassay_008378_05

Specimen euxassay_008378_06: embryonic day 14.5 (more )
Structure Level Pattern Image Note
TS23: pons mantle layer Strong Single cells euxassay_008378_06
TS23: tubotympanic recess Moderate Regionally restricted euxassay_008378_06

Specimen euxassay_008378_07: embryonic day 14.5 (more )
Structure Level Pattern Image Note
TS23: pons mantle layer Strong Single cells euxassay_008378_07
TS23: tubotympanic recess Moderate Regionally restricted euxassay_008378_07

Specimen euxassay_008378_08: embryonic day 14.5 (more )
Structure Level Pattern Image Note
TS23: pons mantle layer Strong Single cells euxassay_008378_08
TS23: tubotympanic recess Moderate Regionally restricted euxassay_008378_08

Specimen euxassay_008378_11: embryonic day 14.5 (more )
Structure Level Pattern Image Note
TS23: medulla oblongata basal plate mantle layer Strong Single cells euxassay_008378_11
TS23: hypothalamus mantle layer Strong Single cells euxassay_008378_11
TS23: diencephalon lateral wall mantle layer Strong Single cells euxassay_008378_11

Specimen euxassay_008378_12: embryonic day 14.5 (more )
Structure Level Pattern Image Note
TS23: hypothalamus mantle layer Strong Single cells euxassay_008378_12

Specimen euxassay_008378_13: embryonic day 14.5 (more )
Structure Level Pattern Image Note
TS23: hypothalamus ventricular layer Strong Single cells euxassay_008378_13
TS23: medulla oblongata basal plate mantle layer Strong Single cells euxassay_008378_13

Specimen euxassay_008378_14: embryonic day 14.5 (more )
Structure Level Pattern Image Note
TS23: medulla oblongata basal plate mantle layer Strong Single cells euxassay_008378_14
TS23: hypothalamus mantle layer Strong Single cells euxassay_008378_14
TS23: hypothalamus ventricular layer Weak Single cells euxassay_008378_14

Specimen euxassay_008378_15: embryonic day 14.5 (more )
Structure Level Pattern Image Note
TS23: hypothalamus mantle layer Strong Single cells euxassay_008378_15

Specimen euxassay_008378_17: embryonic day 14.5 (more )
Structure Level Pattern Image Note
TS23: pons mantle layer Strong Single cells euxassay_008378_17

Specimen euxassay_008378_18: embryonic day 14.5 (more )
Structure Level Pattern Image Note
TS23: pons mantle layer Strong Single cells euxassay_008378_18

Specimen euxassay_008378_19: embryonic day 14.5 (more )
Structure Level Pattern Image Note
TS23: pons mantle layer Strong Single cells euxassay_008378_19
TS23: tubotympanic recess Moderate Regionally restricted euxassay_008378_19

Specimen euxassay_008378_20: embryonic day 14.5 (more )
Structure Level Pattern Image Note
TS23: pons mantle layer Moderate Single cells euxassay_008378_20
TS23: tubotympanic recess Moderate Regionally restricted euxassay_008378_20

Specimen euxassay_008378_21: embryonic day 14.5 (more )
Structure Level Pattern Image Note
TS23: tubotympanic recess Moderate Regionally restricted euxassay_008378_21


Contributing Projects:
Mouse Genome Database (MGD), Gene Expression Database (GXD), Mouse Models of Human Cancer database (MMHCdb) (formerly Mouse Tumor Biology (MTB)), Gene Ontology (GO)
Citing These Resources
Funding Information
Warranty Disclaimer, Privacy Notice, Licensing, & Copyright
Send questions and comments to User Support.
last database update
12/30/2025
MGI 6.24
The Jackson Laboratory