About   Help   FAQ
Gene Expression Data
Assay Details
Assay
Reference: J:153498 Diez-Roux G, et al., A high-resolution anatomical atlas of the transcriptome in the mouse embryo. PLoS Biol. 2011;9(1):e1000582
Assay type: RNA in situ
MGI Accession ID: MGI:4825177
Gene symbol: Gpr153
Gene name: G protein-coupled receptor 153
Probe: T3333
Probe preparation: Antisense labelled with digoxigenin RNA
Visualized with: Alkaline phosphatase
Assay notes: Cryosections of fresh frozen material were fixed in 4% paraformaldehyde for 20 min. before further processing. A tyramide-biotin/streptavidin amplification step was included in the in situ hybridization procedure.
Results
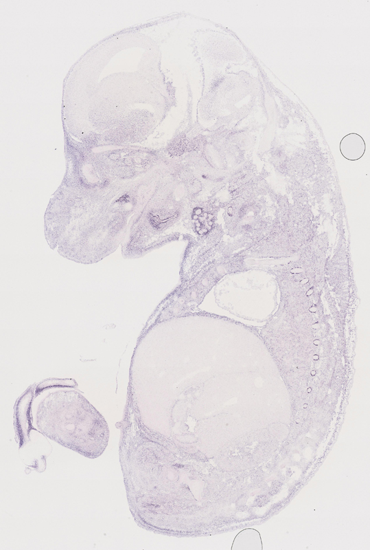
Specimen euxassay_007373_01: embryonic day 14.5 (more )
Structure Level Pattern Image Note
TS23: vault of skull Moderate Regionally restricted euxassay_007373_01
TS23: orbito-sphenoid Moderate Regionally restricted euxassay_007373_01
TS23: embryo mesenchyme Moderate Regionally restricted euxassay_007373_01

Specimen euxassay_007373_02: embryonic day 14.5 (more )
Structure Level Pattern Image Note
TS23: orbito-sphenoid Moderate Regionally restricted euxassay_007373_02
TS23: vault of skull Moderate Regionally restricted euxassay_007373_02
TS23: temporal bone petrous part Moderate Regionally restricted euxassay_007373_02
TS23: neural retina Moderate Regionally restricted euxassay_007373_02
TS23: embryo mesenchyme Moderate Regionally restricted euxassay_007373_02

Specimen euxassay_007373_03: embryonic day 14.5 (more )
Structure Level Pattern Image Note
TS23: orbito-sphenoid Strong Regionally restricted euxassay_007373_03
TS23: vault of skull Moderate Regionally restricted euxassay_007373_03
TS23: neural retina Moderate Regionally restricted euxassay_007373_03
TS23: rib Strong Regionally restricted euxassay_007373_03
TS23: embryo mesenchyme Moderate Regionally restricted euxassay_007373_03

Specimen euxassay_007373_04: embryonic day 14.5 (more )
Structure Level Pattern Image Note
TS23: orbito-sphenoid Strong Regionally restricted euxassay_007373_04
TS23: neural retina Strong Regionally restricted euxassay_007373_04
TS23: rib Strong Regionally restricted euxassay_007373_04
TS23: embryo mesenchyme Moderate Regionally restricted euxassay_007373_04

Specimen euxassay_007373_05: embryonic day 14.5 (more )
Structure Level Pattern Image Note
TS23: orbito-sphenoid Strong Regionally restricted euxassay_007373_05
TS23: mandible Strong Regionally restricted euxassay_007373_05
TS23: rib Strong Regionally restricted euxassay_007373_05
TS23: embryo mesenchyme Moderate Regionally restricted euxassay_007373_05

Specimen euxassay_007373_06: embryonic day 14.5 (more )
Structure Level Pattern Image Note
TS23: orbito-sphenoid Strong Regionally restricted euxassay_007373_06
TS23: mandible Strong Regionally restricted euxassay_007373_06
TS23: maxilla Strong Regionally restricted euxassay_007373_06
TS23: rib Strong Regionally restricted euxassay_007373_06
TS23: submandibular gland primordium mesenchyme Strong Regionally restricted euxassay_007373_06
TS23: embryo mesenchyme Moderate Regionally restricted euxassay_007373_06

Specimen euxassay_007373_07: embryonic day 14.5 (more )
Structure Level Pattern Image Note
TS23: mandible Strong Regionally restricted euxassay_007373_07
TS23: maxilla Strong Regionally restricted euxassay_007373_07
TS23: rib Strong Regionally restricted euxassay_007373_07
TS23: submandibular gland primordium mesenchyme Strong Regionally restricted euxassay_007373_07
TS23: embryo mesenchyme Moderate Regionally restricted euxassay_007373_07

Specimen euxassay_007373_08: embryonic day 14.5 (more )
Structure Level Pattern Image Note
TS23: mandible Strong Regionally restricted euxassay_007373_08
TS23: maxilla Strong Regionally restricted euxassay_007373_08
TS23: rib Strong Regionally restricted euxassay_007373_08
TS23: submandibular gland primordium mesenchyme Strong Regionally restricted euxassay_007373_08
TS23: embryo mesenchyme Moderate Regionally restricted euxassay_007373_08

Specimen euxassay_007373_09: embryonic day 14.5 (more )
Structure Level Pattern Image Note
TS23: mandible Strong Regionally restricted euxassay_007373_09
TS23: maxilla Strong Regionally restricted euxassay_007373_09
TS23: rib Strong Regionally restricted euxassay_007373_09
TS23: submandibular gland primordium mesenchyme Strong Regionally restricted euxassay_007373_09
TS23: embryo mesenchyme Moderate Regionally restricted euxassay_007373_09

Specimen euxassay_007373_10: embryonic day 14.5 (more )
Structure Level Pattern Image Note
TS23: mandible Strong Regionally restricted euxassay_007373_10
TS23: maxilla Strong Regionally restricted euxassay_007373_10
TS23: submandibular gland primordium mesenchyme Strong Regionally restricted euxassay_007373_10
TS23: embryo mesenchyme Moderate Regionally restricted euxassay_007373_10

Specimen euxassay_007373_11: embryonic day 14.5 (more )
Structure Level Pattern Image Note
TS23: mandible Strong Regionally restricted euxassay_007373_11
TS23: maxilla Strong Regionally restricted euxassay_007373_11
TS23: submandibular gland primordium mesenchyme Strong Regionally restricted euxassay_007373_11
TS23: embryo mesenchyme Moderate Regionally restricted euxassay_007373_11

Specimen euxassay_007373_12: embryonic day 14.5 (more )
Structure Level Pattern Image Note
TS23: mandible Moderate Regionally restricted euxassay_007373_12
TS23: maxilla Moderate Regionally restricted euxassay_007373_12
TS23: heart valve Strong Regionally restricted euxassay_007373_12
TS23: embryo mesenchyme Moderate Regionally restricted euxassay_007373_12

Specimen euxassay_007373_13: embryonic day 14.5 (more )
Structure Level Pattern Image Note
TS23: mandible Moderate Regionally restricted euxassay_007373_13
TS23: maxilla Moderate Regionally restricted euxassay_007373_13
TS23: esophagus Strong Regionally restricted euxassay_007373_13
TS23: heart valve Moderate Regionally restricted euxassay_007373_13
TS23: embryo mesenchyme Moderate Regionally restricted euxassay_007373_13

Specimen euxassay_007373_14: embryonic day 14.5 (more )
Structure Level Pattern Image Note
TS23: mandible Moderate Regionally restricted euxassay_007373_14
TS23: bladder Strong Regionally restricted euxassay_007373_14
TS23: esophagus Strong Regionally restricted euxassay_007373_14
TS23: embryo mesenchyme Moderate Regionally restricted euxassay_007373_14

Specimen euxassay_007373_15: embryonic day 14.5 (more )
Structure Level Pattern Image Note
TS23: bladder Strong Regionally restricted euxassay_007373_15
TS23: esophagus Strong Regionally restricted euxassay_007373_15
TS23: heart valve Moderate Regionally restricted euxassay_007373_15
TS23: embryo mesenchyme Moderate Regionally restricted euxassay_007373_15

Specimen euxassay_007373_16: embryonic day 14.5 (more )
Structure Level Pattern Image Note
TS23: mandible Moderate Regionally restricted euxassay_007373_16
TS23: maxilla Moderate Regionally restricted euxassay_007373_16
TS23: bladder Strong Regionally restricted euxassay_007373_16
TS23: embryo mesenchyme Moderate Regionally restricted euxassay_007373_16

Specimen euxassay_007373_17: embryonic day 14.5 (more )
Structure Level Pattern Image Note
TS23: mandible Moderate Regionally restricted euxassay_007373_17
TS23: maxilla Moderate Regionally restricted euxassay_007373_17
TS23: bladder Strong Regionally restricted euxassay_007373_17
TS23: embryo mesenchyme Moderate Regionally restricted euxassay_007373_17

Specimen euxassay_007373_18: embryonic day 14.5 (more )
Structure Level Pattern Image Note
TS23: mandible Moderate Regionally restricted euxassay_007373_18
TS23: maxilla Moderate Regionally restricted euxassay_007373_18
TS23: submandibular gland primordium mesenchyme Strong Regionally restricted euxassay_007373_18
TS23: embryo mesenchyme Moderate Regionally restricted euxassay_007373_18

Specimen euxassay_007373_19: embryonic day 14.5 (more )
Structure Level Pattern Image Note
TS23: mandible Strong Regionally restricted euxassay_007373_19
TS23: maxilla Strong Regionally restricted euxassay_007373_19
TS23: submandibular gland primordium mesenchyme Strong Regionally restricted euxassay_007373_19
TS23: embryo mesenchyme Moderate Regionally restricted euxassay_007373_19

Specimen euxassay_007373_20: embryonic day 14.5 (more )
Structure Level Pattern Image Note
TS23: mandible Strong Regionally restricted euxassay_007373_20
TS23: maxilla Strong Regionally restricted euxassay_007373_20
TS23: rib Strong Regionally restricted euxassay_007373_20
TS23: submandibular gland primordium mesenchyme Strong Regionally restricted euxassay_007373_20
TS23: embryo mesenchyme Moderate Regionally restricted euxassay_007373_20

Specimen euxassay_007373_21: embryonic day 14.5 (more )
Structure Level Pattern Image Note
TS23: mandible Strong Regionally restricted euxassay_007373_21
TS23: maxilla Strong Regionally restricted euxassay_007373_21
TS23: rib Strong Regionally restricted euxassay_007373_21
TS23: submandibular gland primordium mesenchyme Strong Regionally restricted euxassay_007373_21
TS23: embryo mesenchyme Moderate Regionally restricted euxassay_007373_21

Specimen euxassay_007373_22: embryonic day 14.5 (more )
Structure Level Pattern Image Note
TS23: orbito-sphenoid Strong Regionally restricted euxassay_007373_22
TS23: mandible Strong Regionally restricted euxassay_007373_22
TS23: maxilla Strong Regionally restricted euxassay_007373_22
TS23: rib Strong Regionally restricted euxassay_007373_22
TS23: submandibular gland primordium mesenchyme Strong Regionally restricted euxassay_007373_22
TS23: embryo mesenchyme Moderate Regionally restricted euxassay_007373_22

Specimen euxassay_007373_23: embryonic day 14.5 (more )
Structure Level Pattern Image Note
TS23: orbito-sphenoid Strong Regionally restricted euxassay_007373_23
TS23: mandible Strong Regionally restricted euxassay_007373_23
TS23: maxilla Strong Regionally restricted euxassay_007373_23
TS23: rib Strong Regionally restricted euxassay_007373_23
TS23: embryo mesenchyme Moderate Regionally restricted euxassay_007373_23

Specimen euxassay_007373_24: embryonic day 14.5 (more )
Structure Level Pattern Image Note
TS23: orbito-sphenoid Strong Regionally restricted euxassay_007373_24
TS23: mandible Strong Regionally restricted euxassay_007373_24
TS23: neural retina Moderate Regionally restricted euxassay_007373_24
TS23: rib Strong Regionally restricted euxassay_007373_24
TS23: embryo mesenchyme Moderate Regionally restricted euxassay_007373_24


Contributing Projects:
Mouse Genome Database (MGD), Gene Expression Database (GXD), Mouse Models of Human Cancer database (MMHCdb) (formerly Mouse Tumor Biology (MTB)), Gene Ontology (GO)
Citing These Resources
Funding Information
Warranty Disclaimer, Privacy Notice, Licensing, & Copyright
Send questions and comments to User Support.
last database update
01/20/2026
MGI 6.24
The Jackson Laboratory