About   Help   FAQ
Gene Expression Data
Assay Details
Assay
Reference: J:153498 Diez-Roux G, et al., A high-resolution anatomical atlas of the transcriptome in the mouse embryo. PLoS Biol. 2011;9(1):e1000582
Assay type: RNA in situ
MGI Accession ID: MGI:4825171
Gene symbol: Adgra3
Gene name: adhesion G protein-coupled receptor A3
Probe: T35189
Probe preparation: Antisense labelled with digoxigenin RNA
Visualized with: Alkaline phosphatase
Assay notes: Cryosections of fresh frozen material were fixed in 4% paraformaldehyde for 20 min. before further processing. A tyramide-biotin/streptavidin amplification step was included in the in situ hybridization procedure.
Results
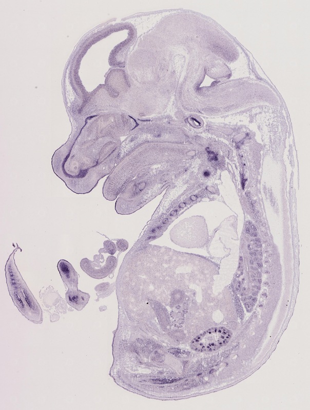
Specimen euxassay_008255_01: embryonic day 14.5 (more )
Structure Level Pattern Image Note
TS23: forearm mesenchyme Strong Regionally restricted euxassay_008255_01
TS23: upper arm mesenchyme Strong Regionally restricted euxassay_008255_01
TS23: upper leg mesenchyme Strong Regionally restricted euxassay_008255_01
TS23: lower leg mesenchyme Strong Regionally restricted euxassay_008255_01

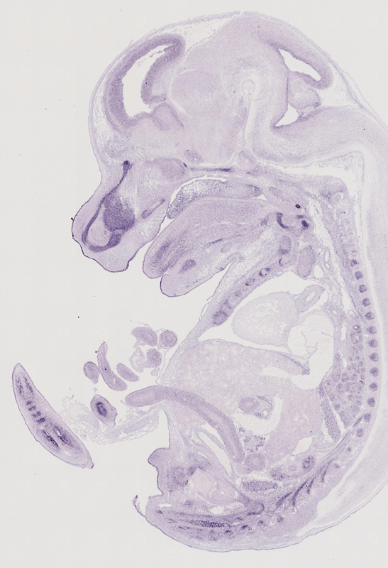
Specimen euxassay_008255_02: embryonic day 14.5 (more )
Structure Level Pattern Image Note
TS23: upper arm mesenchyme Strong Regionally restricted euxassay_008255_02
TS23: forearm mesenchyme Strong Regionally restricted euxassay_008255_02
TS23: hand Strong Regionally restricted euxassay_008255_02
TS23: foot Strong Regionally restricted euxassay_008255_02
TS23: lower leg mesenchyme Strong Regionally restricted euxassay_008255_02
TS23: upper leg mesenchyme Strong Regionally restricted euxassay_008255_02
TS23: orbito-sphenoid Strong Regionally restricted euxassay_008255_02
TS23: temporal bone petrous part Moderate Regionally restricted euxassay_008255_02
TS23: mandible Moderate Regionally restricted euxassay_008255_02

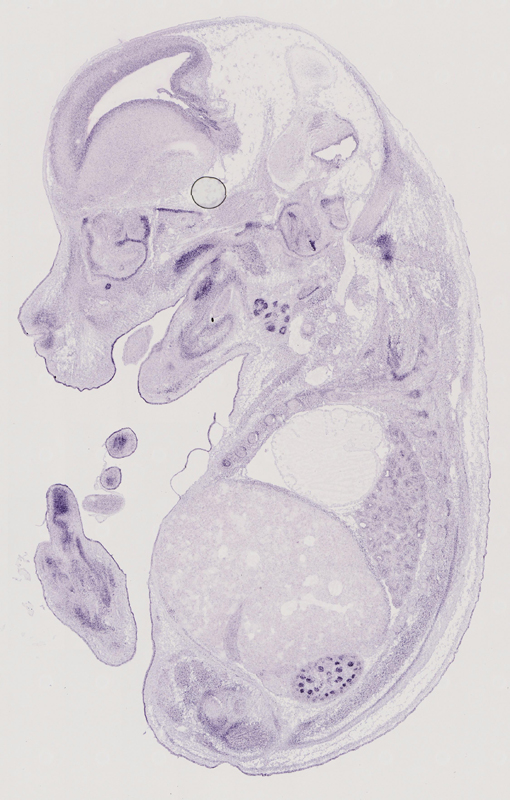
Specimen euxassay_008255_03: embryonic day 14.5 (more )
Structure Level Pattern Image Note
TS23: forearm mesenchyme Strong Regionally restricted euxassay_008255_03
TS23: upper arm mesenchyme Strong Regionally restricted euxassay_008255_03
TS23: hand Strong Regionally restricted euxassay_008255_03
TS23: upper leg mesenchyme Strong Regionally restricted euxassay_008255_03
TS23: foot Strong Regionally restricted euxassay_008255_03
TS23: orbito-sphenoid Strong Regionally restricted euxassay_008255_03
TS23: temporal bone petrous part Moderate Regionally restricted euxassay_008255_03
TS23: mandible Moderate Regionally restricted euxassay_008255_03

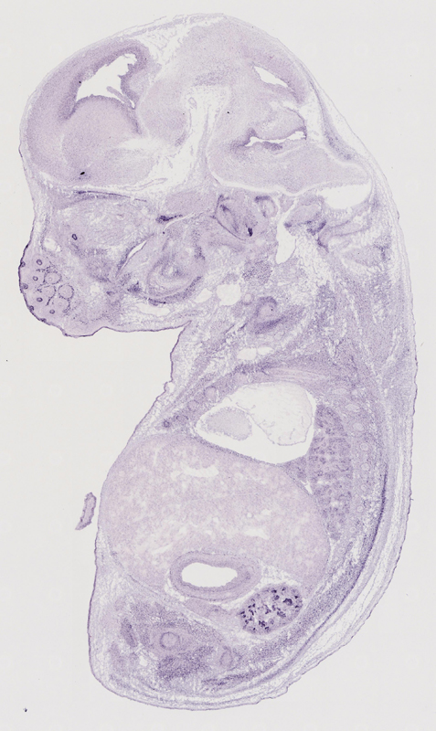
Specimen euxassay_008255_04: embryonic day 14.5 (more )
Structure Level Pattern Image Note
TS23: upper arm mesenchyme Strong Regionally restricted euxassay_008255_04
TS23: hand Strong Regionally restricted euxassay_008255_04
TS23: upper leg mesenchyme Strong Regionally restricted euxassay_008255_04
TS23: foot Strong Regionally restricted euxassay_008255_04
TS23: orbito-sphenoid Strong Regionally restricted euxassay_008255_04
TS23: temporal bone petrous part Moderate Regionally restricted euxassay_008255_04
TS23: mandible Strong Regionally restricted euxassay_008255_04
TS23: maxilla Strong Regionally restricted euxassay_008255_04

Specimen euxassay_008255_05: embryonic day 14.5 (more )
Structure Level Pattern Image Note
TS23: upper arm mesenchyme Strong Regionally restricted euxassay_008255_05
TS23: hand Strong Regionally restricted euxassay_008255_05
TS23: upper leg mesenchyme Strong Regionally restricted euxassay_008255_05
TS23: foot Strong Regionally restricted euxassay_008255_05
TS23: naso-lacrimal duct Strong Regionally restricted euxassay_008255_05
TS23: orbito-sphenoid Strong Regionally restricted euxassay_008255_05
TS23: temporal bone petrous part Strong Regionally restricted euxassay_008255_05
TS23: utricle Strong Regionally restricted euxassay_008255_05
TS23: mandible Strong Regionally restricted euxassay_008255_05
TS23: maxilla Strong Regionally restricted euxassay_008255_05

Specimen euxassay_008255_06: embryonic day 14.5 (more )
Structure Level Pattern Image Note
TS23: upper arm mesenchyme Strong Regionally restricted euxassay_008255_06
TS23: upper leg mesenchyme Strong Regionally restricted euxassay_008255_06
TS23: renal cortex Strong Regionally restricted euxassay_008255_06
TS23: vibrissa Strong Regionally restricted euxassay_008255_06
TS23: naso-lacrimal duct Strong Regionally restricted euxassay_008255_06
TS23: temporal bone petrous part Strong Regionally restricted euxassay_008255_06
TS23: utricle Strong Regionally restricted euxassay_008255_06
TS23: mandible Strong Regionally restricted euxassay_008255_06
TS23: maxilla Strong Regionally restricted euxassay_008255_06

Specimen euxassay_008255_07: embryonic day 14.5 (more )
Structure Level Pattern Image Note
TS23: upper arm mesenchyme Moderate Regionally restricted euxassay_008255_07
TS23: upper leg mesenchyme Strong Regionally restricted euxassay_008255_07
TS23: renal cortex Strong Regionally restricted euxassay_008255_07
TS23: vibrissa Strong Regionally restricted euxassay_008255_07
TS23: naso-lacrimal duct Strong Regionally restricted euxassay_008255_07
TS23: orbito-sphenoid Strong Regionally restricted euxassay_008255_07
TS23: utricle Strong Regionally restricted euxassay_008255_07
TS23: mandible Strong Regionally restricted euxassay_008255_07
TS23: maxilla Strong Regionally restricted euxassay_008255_07

Specimen euxassay_008255_08: embryonic day 14.5 (more )
Structure Level Pattern Image Note
TS23: renal cortex Strong Regionally restricted euxassay_008255_08
TS23: upper jaw molar Strong Regionally restricted euxassay_008255_08
TS23: lower jaw molar Strong Regionally restricted euxassay_008255_08
TS23: vibrissa Strong Regionally restricted euxassay_008255_08
TS23: naso-lacrimal duct Strong Regionally restricted euxassay_008255_08
TS23: orbito-sphenoid Strong Regionally restricted euxassay_008255_08
TS23: otic capsule Strong Regionally restricted euxassay_008255_08
TS23: cochlea Strong Regionally restricted euxassay_008255_08
TS23: utricle Strong Regionally restricted euxassay_008255_08
TS23: mandible Strong Regionally restricted euxassay_008255_08
TS23: maxilla Strong Regionally restricted euxassay_008255_08
TS23: submandibular gland primordium Strong Regionally restricted euxassay_008255_08

Specimen euxassay_008255_09: embryonic day 14.5 (more )
Structure Level Pattern Image Note
TS23: renal cortex Strong Regionally restricted euxassay_008255_09
TS23: lower jaw molar Strong Regionally restricted euxassay_008255_09
TS23: upper jaw molar Strong Regionally restricted euxassay_008255_09
TS23: vibrissa Strong Regionally restricted euxassay_008255_09
TS23: naso-lacrimal duct Strong Regionally restricted euxassay_008255_09
TS23: turbinate bone primordium Strong Regionally restricted euxassay_008255_09
TS23: orbito-sphenoid Strong Regionally restricted euxassay_008255_09
TS23: otic capsule Strong Regionally restricted euxassay_008255_09
TS23: cochlea Strong Regionally restricted euxassay_008255_09
TS23: mandible Strong Regionally restricted euxassay_008255_09
TS23: maxilla Strong Regionally restricted euxassay_008255_09
TS23: submandibular gland primordium Strong Regionally restricted euxassay_008255_09
TS23: axial skeleton Strong Regionally restricted euxassay_008255_09

Specimen euxassay_008255_10: embryonic day 14.5 (more )
Structure Level Pattern Image Note
TS23: renal cortex Strong Regionally restricted euxassay_008255_10
TS23: vibrissa Strong Regionally restricted euxassay_008255_10
TS23: turbinate bone primordium Strong Regionally restricted euxassay_008255_10
TS23: naso-lacrimal duct Strong Regionally restricted euxassay_008255_10
TS23: orbito-sphenoid Strong Regionally restricted euxassay_008255_10
TS23: otic capsule Strong Regionally restricted euxassay_008255_10
TS23: cochlea Strong Regionally restricted euxassay_008255_10
TS23: mandible Strong Regionally restricted euxassay_008255_10
TS23: maxilla Strong Regionally restricted euxassay_008255_10
TS23: submandibular gland primordium Strong Regionally restricted euxassay_008255_10
TS23: rib Strong Regionally restricted euxassay_008255_10
TS23: axial skeleton Strong Regionally restricted euxassay_008255_10

Specimen euxassay_008255_11: embryonic day 14.5 (more )
Structure Level Pattern Image Note
TS23: turbinate bone primordium Strong Regionally restricted euxassay_008255_11
TS23: naso-lacrimal duct Strong Regionally restricted euxassay_008255_11
TS23: mandible Moderate Regionally restricted euxassay_008255_11
TS23: submandibular gland primordium Strong Regionally restricted euxassay_008255_11
TS23: axial skeleton Strong Regionally restricted euxassay_008255_11
TS23: rib Strong Regionally restricted euxassay_008255_11

Specimen euxassay_008255_12: embryonic day 14.5 (more )
Structure Level Pattern Image Note
TS23: turbinate bone primordium Strong Regionally restricted euxassay_008255_12
TS23: mandible Moderate Regionally restricted euxassay_008255_12
TS23: submandibular gland primordium Strong Regionally restricted euxassay_008255_12
TS23: axial skeleton Moderate Regionally restricted euxassay_008255_12
TS23: rib Moderate Regionally restricted euxassay_008255_12

Specimen euxassay_008255_13: embryonic day 14.5 (more )
Structure Level Pattern Image Note
TS23: lower jaw incisor Strong Regionally restricted euxassay_008255_13
TS23: upper jaw incisor Strong Regionally restricted euxassay_008255_13
TS23: turbinate bone primordium Strong Regionally restricted euxassay_008255_13
TS23: basisphenoid bone Strong Regionally restricted euxassay_008255_13
TS23: mandible Strong Regionally restricted euxassay_008255_13
TS23: maxilla Strong Regionally restricted euxassay_008255_13
TS23: tongue muscle Moderate Regionally restricted euxassay_008255_13
TS23: axial skeleton Moderate Regionally restricted euxassay_008255_13
TS23: rib Moderate Regionally restricted euxassay_008255_13

Specimen euxassay_008255_14: embryonic day 14.5 (more )
Structure Level Pattern Image Note
TS23: lower jaw incisor Strong Regionally restricted euxassay_008255_14
TS23: upper jaw incisor Strong Regionally restricted euxassay_008255_14
TS23: turbinate bone primordium Strong Regionally restricted euxassay_008255_14
TS23: basisphenoid bone Strong Regionally restricted euxassay_008255_14
TS23: mandible Strong Regionally restricted euxassay_008255_14
TS23: maxilla Strong Regionally restricted euxassay_008255_14
TS23: tongue muscle Moderate Regionally restricted euxassay_008255_14
TS23: sternum Moderate Regionally restricted euxassay_008255_14
TS23: rib Moderate Regionally restricted euxassay_008255_14
TS23: axial skeleton Moderate Regionally restricted euxassay_008255_14

Specimen euxassay_008255_15: embryonic day 14.5 (more )
Structure Level Pattern Image Note
TS23: lower jaw incisor Strong Regionally restricted euxassay_008255_15
TS23: upper jaw incisor Strong Regionally restricted euxassay_008255_15
TS23: turbinate bone primordium Strong Regionally restricted euxassay_008255_15
TS23: nasal septum Strong Regionally restricted euxassay_008255_15
TS23: basisphenoid bone Strong Regionally restricted euxassay_008255_15
TS23: mandible Strong Regionally restricted euxassay_008255_15
TS23: maxilla Strong Regionally restricted euxassay_008255_15
TS23: tongue muscle Strong Regionally restricted euxassay_008255_15
TS23: axial skeleton Moderate Regionally restricted euxassay_008255_15
TS23: rib Strong Regionally restricted euxassay_008255_15
TS23: sternum Strong Regionally restricted euxassay_008255_15

Specimen euxassay_008255_16: embryonic day 14.5 (more )
Structure Level Pattern Image Note
TS23: lower jaw incisor Strong Regionally restricted euxassay_008255_16
TS23: nasal septum Strong Regionally restricted euxassay_008255_16
TS23: basisphenoid bone Strong Regionally restricted euxassay_008255_16
TS23: mandible Strong Regionally restricted euxassay_008255_16
TS23: maxilla Strong Regionally restricted euxassay_008255_16
TS23: tongue muscle Strong Regionally restricted euxassay_008255_16
TS23: rib Strong Regionally restricted euxassay_008255_16
TS23: axial skeleton Strong Regionally restricted euxassay_008255_16

Specimen euxassay_008255_17: embryonic day 14.5 (more )
Structure Level Pattern Image Note
TS23: renal cortex Strong Regionally restricted euxassay_008255_17
TS23: nasal septum Strong Regionally restricted euxassay_008255_17
TS23: basisphenoid bone Strong Regionally restricted euxassay_008255_17
TS23: cochlea Strong Regionally restricted euxassay_008255_17
TS23: otic capsule Strong Regionally restricted euxassay_008255_17
TS23: mandible Strong Regionally restricted euxassay_008255_17
TS23: maxilla Strong Regionally restricted euxassay_008255_17
TS23: tongue muscle Moderate Regionally restricted euxassay_008255_17
TS23: rib Strong Regionally restricted euxassay_008255_17

Specimen euxassay_008255_19: embryonic day 14.5 (more )
Structure Level Pattern Image Note
TS23: upper leg mesenchyme Strong Regionally restricted euxassay_008255_19
TS23: foot Strong Regionally restricted euxassay_008255_19
TS23: renal cortex Strong Regionally restricted euxassay_008255_19
TS23: lower jaw incisor Strong Regionally restricted euxassay_008255_19
TS23: upper jaw incisor Strong Regionally restricted euxassay_008255_19
TS23: turbinate bone primordium Strong Regionally restricted euxassay_008255_19
TS23: otic capsule Strong Regionally restricted euxassay_008255_19
TS23: cochlea Strong Regionally restricted euxassay_008255_19
TS23: mandible Strong Regionally restricted euxassay_008255_19
TS23: maxilla Strong Regionally restricted euxassay_008255_19
TS23: submandibular gland primordium Strong Regionally restricted euxassay_008255_19
TS23: rib Strong Regionally restricted euxassay_008255_19

Specimen euxassay_008255_20: embryonic day 14.5 (more )
Structure Level Pattern Image Note
TS23: upper leg mesenchyme Strong Regionally restricted euxassay_008255_20
TS23: foot Strong Regionally restricted euxassay_008255_20
TS23: renal cortex Strong Regionally restricted euxassay_008255_20
TS23: lower jaw molar Strong Regionally restricted euxassay_008255_20
TS23: upper jaw molar Strong Regionally restricted euxassay_008255_20
TS23: naso-lacrimal duct Strong Regionally restricted euxassay_008255_20
TS23: turbinate bone primordium Strong Regionally restricted euxassay_008255_20
TS23: cochlea Strong Regionally restricted euxassay_008255_20
TS23: otic capsule Strong Regionally restricted euxassay_008255_20
TS23: mandible Moderate Regionally restricted euxassay_008255_20
TS23: maxilla Moderate Regionally restricted euxassay_008255_20
TS23: submandibular gland primordium Strong Regionally restricted euxassay_008255_20
TS23: rib Strong Regionally restricted euxassay_008255_20

Specimen euxassay_008255_21: embryonic day 14.5 (more )
Structure Level Pattern Image Note
TS23: hand Strong Regionally restricted euxassay_008255_21
TS23: upper arm mesenchyme Strong Regionally restricted euxassay_008255_21
TS23: upper leg mesenchyme Strong Regionally restricted euxassay_008255_21
TS23: lower leg mesenchyme Strong Regionally restricted euxassay_008255_21
TS23: foot Strong Regionally restricted euxassay_008255_21
TS23: lower jaw molar Strong Regionally restricted euxassay_008255_21
TS23: upper jaw molar Strong Regionally restricted euxassay_008255_21
TS23: naso-lacrimal duct Strong Regionally restricted euxassay_008255_21
TS23: turbinate bone primordium Strong Regionally restricted euxassay_008255_21
TS23: orbito-sphenoid Strong Regionally restricted euxassay_008255_21
TS23: temporal bone petrous part Strong Regionally restricted euxassay_008255_21
TS23: utricle Strong Regionally restricted euxassay_008255_21
TS23: cochlea Strong Regionally restricted euxassay_008255_21
TS23: mandible Strong Regionally restricted euxassay_008255_21
TS23: maxilla Strong Regionally restricted euxassay_008255_21
TS23: submandibular gland primordium Strong Regionally restricted euxassay_008255_21
TS23: rib Strong Regionally restricted euxassay_008255_21

Specimen euxassay_008255_22: embryonic day 14.5 (more )
Structure Level Pattern Image Note
TS23: upper arm mesenchyme Strong Regionally restricted euxassay_008255_22
TS23: hand Strong Regionally restricted euxassay_008255_22
TS23: upper leg mesenchyme Strong Regionally restricted euxassay_008255_22
TS23: lower leg mesenchyme Strong Regionally restricted euxassay_008255_22
TS23: foot Strong Regionally restricted euxassay_008255_22
TS23: upper jaw molar Strong Regionally restricted euxassay_008255_22
TS23: vibrissa Strong Regionally restricted euxassay_008255_22
TS23: turbinate bone primordium Strong Regionally restricted euxassay_008255_22
TS23: naso-lacrimal duct Strong Regionally restricted euxassay_008255_22
TS23: orbito-sphenoid Strong Regionally restricted euxassay_008255_22
TS23: temporal bone petrous part Strong Regionally restricted euxassay_008255_22
TS23: utricle Strong Regionally restricted euxassay_008255_22
TS23: mandible Moderate Regionally restricted euxassay_008255_22
TS23: maxilla Moderate Regionally restricted euxassay_008255_22
TS23: rib Strong Regionally restricted euxassay_008255_22

Specimen euxassay_008255_23: embryonic day 14.5 (more )
Structure Level Pattern Image Note
TS23: upper arm mesenchyme Strong Regionally restricted euxassay_008255_23
TS23: hand Strong Regionally restricted euxassay_008255_23
TS23: upper leg mesenchyme Strong Regionally restricted euxassay_008255_23
TS23: lower leg mesenchyme Strong Regionally restricted euxassay_008255_23
TS23: foot Strong Regionally restricted euxassay_008255_23
TS23: vibrissa Strong Regionally restricted euxassay_008255_23
TS23: naso-lacrimal duct Strong Regionally restricted euxassay_008255_23
TS23: orbito-sphenoid Strong Regionally restricted euxassay_008255_23
TS23: temporal bone petrous part Strong Regionally restricted euxassay_008255_23
TS23: utricle Strong Regionally restricted euxassay_008255_23
TS23: mandible Moderate Regionally restricted euxassay_008255_23
TS23: maxilla Moderate Regionally restricted euxassay_008255_23
TS23: rib Strong Regionally restricted euxassay_008255_23

Specimen euxassay_008255_24: embryonic day 14.5 (more )
Structure Level Pattern Image Note
TS23: upper arm mesenchyme Strong Regionally restricted euxassay_008255_24
TS23: hand Strong Regionally restricted euxassay_008255_24
TS23: upper leg mesenchyme Strong Regionally restricted euxassay_008255_24
TS23: lower leg mesenchyme Strong Regionally restricted euxassay_008255_24
TS23: foot Strong Regionally restricted euxassay_008255_24
TS23: vibrissa Strong Regionally restricted euxassay_008255_24
TS23: naso-lacrimal duct Strong Regionally restricted euxassay_008255_24
TS23: orbito-sphenoid Moderate Regionally restricted euxassay_008255_24
TS23: temporal bone petrous part Moderate Regionally restricted euxassay_008255_24
TS23: utricle Moderate Regionally restricted euxassay_008255_24
TS23: mandible Moderate Regionally restricted euxassay_008255_24
TS23: maxilla Moderate Regionally restricted euxassay_008255_24


Contributing Projects:
Mouse Genome Database (MGD), Gene Expression Database (GXD), Mouse Models of Human Cancer database (MMHCdb) (formerly Mouse Tumor Biology (MTB)), Gene Ontology (GO)
Citing These Resources
Funding Information
Warranty Disclaimer, Privacy Notice, Licensing, & Copyright
Send questions and comments to User Support.
last database update
12/30/2025
MGI 6.24
The Jackson Laboratory