About   Help   FAQ
Gene Expression Data
Assay Details
Assay
Reference: J:153498 Diez-Roux G, et al., A high-resolution anatomical atlas of the transcriptome in the mouse embryo. PLoS Biol. 2011;9(1):e1000582
Assay type: RNA in situ
MGI Accession ID: MGI:4825165
Gene symbol: Gpm6b
Gene name: glycoprotein m6b
Probe: T30307
Probe preparation: Antisense labelled with digoxigenin RNA
Visualized with: Alkaline phosphatase
Assay notes: Cryosections of fresh frozen material were fixed in 4% paraformaldehyde for 20 min. before further processing. A tyramide-biotin/streptavidin amplification step was included in the in situ hybridization procedure.
Results
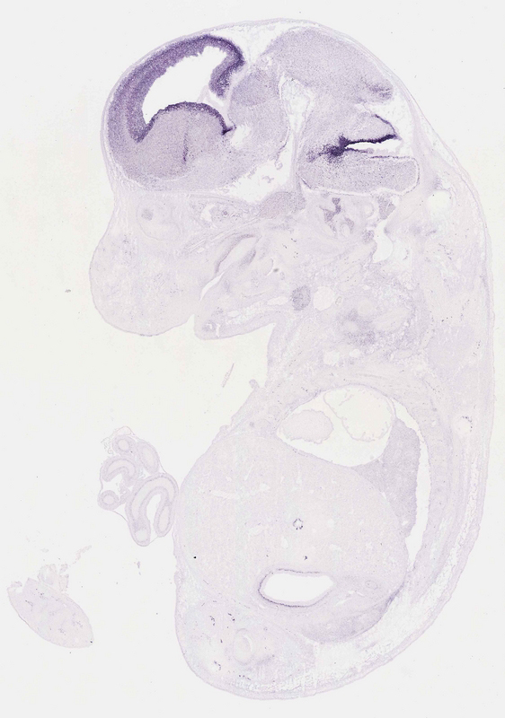
Specimen euxassay_011476_01: embryonic day 14.5 (more )
Structure Level Pattern Image Note
TS23: telencephalon mantle layer Strong Regionally restricted euxassay_011476_01

Specimen euxassay_011476_02: embryonic day 14.5 (more )
Structure Level Pattern Image Note
TS23: telencephalon ventricular layer Strong Regionally restricted euxassay_011476_02
TS23: telencephalon mantle layer Strong Regionally restricted euxassay_011476_02

Specimen euxassay_011476_03: embryonic day 14.5 (more )
Structure Level Pattern Image Note
TS23: telencephalon ventricular layer Strong Regionally restricted euxassay_011476_03
TS23: telencephalon mantle layer Strong Regionally restricted euxassay_011476_03

Specimen euxassay_011476_04: embryonic day 14.5 (more )
Structure Level Pattern Image Note
TS23: telencephalon ventricular layer Strong Regionally restricted euxassay_011476_04
TS23: telencephalon mantle layer Strong Regionally restricted euxassay_011476_04
TS23: rest of cerebellum ventricular layer Strong Regionally restricted euxassay_011476_04

Specimen euxassay_011476_05: embryonic day 14.5 (more )
Structure Level Pattern Image Note
TS23: telencephalon ventricular layer Strong Regionally restricted euxassay_011476_05
TS23: telencephalon mantle layer Strong Regionally restricted euxassay_011476_05
TS23: rest of cerebellum ventricular layer Strong Regionally restricted euxassay_011476_05
TS23: rest of cerebellum marginal layer Strong Regionally restricted euxassay_011476_05

Specimen euxassay_011476_06: embryonic day 14.5 (more )
Structure Level Pattern Image Note
TS23: telencephalon ventricular layer Strong Regionally restricted euxassay_011476_06
TS23: telencephalon mantle layer Strong Regionally restricted euxassay_011476_06
TS23: pons ventricular layer Strong Regionally restricted euxassay_011476_06
TS23: rest of cerebellum ventricular layer Strong Regionally restricted euxassay_011476_06
TS23: rest of cerebellum marginal layer Strong Regionally restricted euxassay_011476_06

Specimen euxassay_011476_07: embryonic day 14.5 (more )
Structure Level Pattern Image Note
TS23: telencephalon ventricular layer Strong Regionally restricted euxassay_011476_07
TS23: telencephalon mantle layer Strong Regionally restricted euxassay_011476_07
TS23: pons ventricular layer Strong Regionally restricted euxassay_011476_07
TS23: rest of cerebellum ventricular layer Strong Regionally restricted euxassay_011476_07
TS23: rest of cerebellum marginal layer Strong Regionally restricted euxassay_011476_07

Specimen euxassay_011476_08: embryonic day 14.5 (more )
Structure Level Pattern Image Note
TS23: telencephalon ventricular layer Strong Regionally restricted euxassay_011476_08
TS23: telencephalon mantle layer Strong Regionally restricted euxassay_011476_08
TS23: pons ventricular layer Strong Regionally restricted euxassay_011476_08
TS23: rest of cerebellum ventricular layer Strong Regionally restricted euxassay_011476_08
TS23: rest of cerebellum marginal layer Strong Regionally restricted euxassay_011476_08

Specimen euxassay_011476_09: embryonic day 14.5 (more )
Structure Level Pattern Image Note
TS23: telencephalon ventricular layer Strong Regionally restricted euxassay_011476_09
TS23: telencephalon mantle layer Strong Regionally restricted euxassay_011476_09
TS23: rest of cerebellum ventricular layer Strong Regionally restricted euxassay_011476_09
TS23: rest of cerebellum marginal layer Strong Regionally restricted euxassay_011476_09
TS23: pons ventricular layer Strong Regionally restricted euxassay_011476_09
TS23: midbrain ventricular layer Strong Regionally restricted euxassay_011476_09
TS23: medulla oblongata basal plate ventricular layer Strong Regionally restricted euxassay_011476_09

Specimen euxassay_011476_10: embryonic day 14.5 (more )
Structure Level Pattern Image Note
TS23: telencephalon ventricular layer Strong Regionally restricted euxassay_011476_10
TS23: olfactory cortex ventricular layer Strong Regionally restricted euxassay_011476_10
TS23: telencephalon mantle layer Strong Regionally restricted euxassay_011476_10
TS23: rest of cerebellum ventricular layer Strong Regionally restricted euxassay_011476_10
TS23: rest of cerebellum marginal layer Strong Regionally restricted euxassay_011476_10
TS23: pons ventricular layer Strong Regionally restricted euxassay_011476_10
TS23: midbrain ventricular layer Strong Regionally restricted euxassay_011476_10
TS23: medulla oblongata basal plate ventricular layer Strong Regionally restricted euxassay_011476_10

Specimen euxassay_011476_11: embryonic day 14.5 (more )
Structure Level Pattern Image Note
TS23: telencephalon ventricular layer Strong Regionally restricted euxassay_011476_11
TS23: olfactory cortex ventricular layer Strong Regionally restricted euxassay_011476_11
TS23: telencephalon mantle layer Strong Regionally restricted euxassay_011476_11
TS23: rest of cerebellum ventricular layer Strong Regionally restricted euxassay_011476_11
TS23: rest of cerebellum marginal layer Strong Regionally restricted euxassay_011476_11
TS23: pons ventricular layer Strong Regionally restricted euxassay_011476_11
TS23: midbrain ventricular layer Strong Regionally restricted euxassay_011476_11
TS23: medulla oblongata basal plate ventricular layer Strong Regionally restricted euxassay_011476_11
TS23: diencephalon lateral wall ventricular layer Strong Regionally restricted euxassay_011476_11
TS23: hypothalamus ventricular layer Strong Regionally restricted euxassay_011476_11

Specimen euxassay_011476_12: embryonic day 14.5 (more )
Structure Level Pattern Image Note
TS23: telencephalon ventricular layer Strong Regionally restricted euxassay_011476_12
TS23: pons ventricular layer Strong Regionally restricted euxassay_011476_12
TS23: rest of cerebellum ventricular layer Strong Regionally restricted euxassay_011476_12
TS23: rest of cerebellum marginal layer Strong Regionally restricted euxassay_011476_12
TS23: medulla oblongata basal plate ventricular layer Strong Regionally restricted euxassay_011476_12
TS23: midbrain ventricular layer Strong Regionally restricted euxassay_011476_12
TS23: hypothalamus ventricular layer Strong Regionally restricted euxassay_011476_12
TS23: diencephalon lateral wall ventricular layer Strong Regionally restricted euxassay_011476_12
TS23: ventral grey horn Strong Regionally restricted euxassay_011476_12

Specimen euxassay_011476_13: embryonic day 14.5 (more )
Structure Level Pattern Image Note
TS23: telencephalon ventricular layer Strong Regionally restricted euxassay_011476_13
TS23: rest of cerebellum ventricular layer Strong Regionally restricted euxassay_011476_13
TS23: pons ventricular layer Strong Regionally restricted euxassay_011476_13
TS23: midbrain ventricular layer Strong Regionally restricted euxassay_011476_13
TS23: medulla oblongata basal plate ventricular layer Strong Regionally restricted euxassay_011476_13
TS23: hypothalamus ventricular layer Strong Regionally restricted euxassay_011476_13
TS23: diencephalon lateral wall ventricular layer Strong Regionally restricted euxassay_011476_13
TS23: ventral grey horn Strong Regionally restricted euxassay_011476_13
TS23: intermediate grey horn Strong Regionally restricted euxassay_011476_13

Specimen euxassay_011476_14: embryonic day 14.5 (more )
Structure Level Pattern Image Note
TS23: telencephalon ventricular layer Strong Regionally restricted euxassay_011476_14
TS23: telencephalon mantle layer Strong Regionally restricted euxassay_011476_14
TS23: rest of cerebellum ventricular layer Strong Regionally restricted euxassay_011476_14
TS23: pons ventricular layer Strong Regionally restricted euxassay_011476_14
TS23: midbrain ventricular layer Strong Regionally restricted euxassay_011476_14
TS23: medulla oblongata basal plate ventricular layer Strong Regionally restricted euxassay_011476_14
TS23: diencephalon lateral wall ventricular layer Strong Regionally restricted euxassay_011476_14
TS23: hypothalamus ventricular layer Strong Regionally restricted euxassay_011476_14
TS23: ventral grey horn Strong Regionally restricted euxassay_011476_14
TS23: intermediate grey horn Strong Regionally restricted euxassay_011476_14

Specimen euxassay_011476_15: embryonic day 14.5 (more )
Structure Level Pattern Image Note
TS23: telencephalon ventricular layer Strong Regionally restricted euxassay_011476_15
TS23: olfactory cortex ventricular layer Strong Regionally restricted euxassay_011476_15
TS23: telencephalon mantle layer Strong Regionally restricted euxassay_011476_15
TS23: rest of cerebellum ventricular layer Strong Regionally restricted euxassay_011476_15
TS23: pons ventricular layer Strong Regionally restricted euxassay_011476_15
TS23: midbrain ventricular layer Strong Regionally restricted euxassay_011476_15
TS23: medulla oblongata basal plate ventricular layer Strong Regionally restricted euxassay_011476_15
TS23: hypothalamus ventricular layer Strong Regionally restricted euxassay_011476_15
TS23: ventral grey horn Strong Regionally restricted euxassay_011476_15
TS23: intermediate grey horn Strong Regionally restricted euxassay_011476_15

Specimen euxassay_011476_16: embryonic day 14.5 (more )
Structure Level Pattern Image Note
TS23: telencephalon ventricular layer Strong Regionally restricted euxassay_011476_16
TS23: olfactory cortex ventricular layer Strong Regionally restricted euxassay_011476_16
TS23: pons ventricular layer Strong Regionally restricted euxassay_011476_16
TS23: rest of cerebellum ventricular layer Strong Regionally restricted euxassay_011476_16
TS23: rest of cerebellum marginal layer Strong Regionally restricted euxassay_011476_16
TS23: midbrain ventricular layer Strong Regionally restricted euxassay_011476_16
TS23: medulla oblongata basal plate ventricular layer Strong Regionally restricted euxassay_011476_16
TS23: ventral grey horn Strong Regionally restricted euxassay_011476_16
TS23: intermediate grey horn Strong Regionally restricted euxassay_011476_16

Specimen euxassay_011476_17: embryonic day 14.5 (more )
Structure Level Pattern Image Note
TS23: olfactory cortex ventricular layer Strong Regionally restricted euxassay_011476_17
TS23: telencephalon ventricular layer Strong Regionally restricted euxassay_011476_17
TS23: telencephalon mantle layer Strong Regionally restricted euxassay_011476_17
TS23: rest of cerebellum ventricular layer Strong Regionally restricted euxassay_011476_17
TS23: pons ventricular layer Strong Regionally restricted euxassay_011476_17
TS23: rest of cerebellum marginal layer Strong Regionally restricted euxassay_011476_17
TS23: midbrain ventricular layer Strong Regionally restricted euxassay_011476_17
TS23: medulla oblongata basal plate ventricular layer Strong Regionally restricted euxassay_011476_17
TS23: ventral grey horn Strong Regionally restricted euxassay_011476_17

Specimen euxassay_011476_18: embryonic day 14.5 (more )
Structure Level Pattern Image Note
TS23: telencephalon ventricular layer Strong Regionally restricted euxassay_011476_18
TS23: telencephalon mantle layer Strong Regionally restricted euxassay_011476_18
TS23: pons ventricular layer Strong Regionally restricted euxassay_011476_18
TS23: rest of cerebellum ventricular layer Strong Regionally restricted euxassay_011476_18
TS23: rest of cerebellum marginal layer Strong Regionally restricted euxassay_011476_18
TS23: medulla oblongata basal plate ventricular layer Strong Regionally restricted euxassay_011476_18

Specimen euxassay_011476_19: embryonic day 14.5 (more )
Structure Level Pattern Image Note
TS23: telencephalon ventricular layer Strong Regionally restricted euxassay_011476_19
TS23: telencephalon mantle layer Strong Regionally restricted euxassay_011476_19
TS23: rest of cerebellum ventricular layer Strong Regionally restricted euxassay_011476_19
TS23: pons ventricular layer Strong Regionally restricted euxassay_011476_19

Specimen euxassay_011476_20: embryonic day 14.5 (more )
Structure Level Pattern Image Note
TS23: telencephalon ventricular layer Strong Regionally restricted euxassay_011476_20
TS23: telencephalon mantle layer Strong Regionally restricted euxassay_011476_20
TS23: rest of cerebellum ventricular layer Strong Regionally restricted euxassay_011476_20
TS23: rest of cerebellum marginal layer Strong Regionally restricted euxassay_011476_20

Specimen euxassay_011476_21: embryonic day 14.5 (more )
Structure Level Pattern Image Note
TS23: telencephalon ventricular layer Strong Regionally restricted euxassay_011476_21
TS23: telencephalon mantle layer Strong Regionally restricted euxassay_011476_21
TS23: rest of cerebellum ventricular layer Strong Regionally restricted euxassay_011476_21
TS23: rest of cerebellum marginal layer Strong Regionally restricted euxassay_011476_21

Specimen euxassay_011476_22: embryonic day 14.5 (more )
Structure Level Pattern Image Note
TS23: telencephalon ventricular layer Strong Regionally restricted euxassay_011476_22
TS23: telencephalon mantle layer Strong Regionally restricted euxassay_011476_22
TS23: rest of cerebellum ventricular layer Strong Regionally restricted euxassay_011476_22
TS23: rest of cerebellum marginal layer Strong Regionally restricted euxassay_011476_22

Specimen euxassay_011476_23: embryonic day 14.5 (more )
Structure Level Pattern Image Note
TS23: telencephalon ventricular layer Strong Regionally restricted euxassay_011476_23
TS23: telencephalon mantle layer Strong Regionally restricted euxassay_011476_23


Contributing Projects:
Mouse Genome Database (MGD), Gene Expression Database (GXD), Mouse Models of Human Cancer database (MMHCdb) (formerly Mouse Tumor Biology (MTB)), Gene Ontology (GO)
Citing These Resources
Funding Information
Warranty Disclaimer, Privacy Notice, Licensing, & Copyright
Send questions and comments to User Support.
last database update
01/20/2026
MGI 6.24
The Jackson Laboratory