About   Help   FAQ
Gene Expression Data
Assay Details
Assay
Reference: J:153498 Diez-Roux G, et al., A high-resolution anatomical atlas of the transcriptome in the mouse embryo. PLoS Biol. 2011;9(1):e1000582
Assay type: RNA in situ
MGI Accession ID: MGI:4825159
Gene symbol: Gpd1
Gene name: glycerol-3-phosphate dehydrogenase 1 (soluble)
Probe: MGC clone 25620
Probe preparation: Antisense labelled with digoxigenin RNA
Visualized with: Alkaline phosphatase
Assay notes: Cryosections of fresh frozen material were fixed in 4% paraformaldehyde for 20 min. before further processing. A tyramide-biotin/streptavidin amplification step was included in the in situ hybridization procedure.
Results
Specimen euxassay_006861_01: embryonic day 14.5 (more )
Structure Level Pattern Image Note
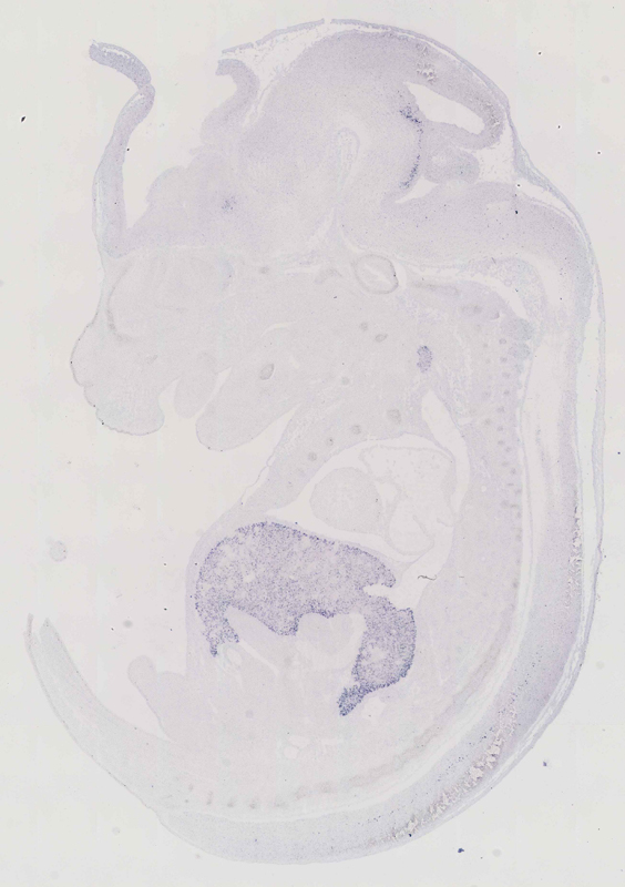
TS23: liver left lobe Moderate Regionally restricted euxassay_006861_01

Specimen euxassay_006861_02: embryonic day 14.5 (more )
Structure Level Pattern Image Note
TS23: liver left lobe Moderate Regionally restricted euxassay_006861_02

Specimen euxassay_006861_03: embryonic day 14.5 (more )
Structure Level Pattern Image Note
TS23: liver left lobe Moderate Regionally restricted euxassay_006861_03

Specimen euxassay_006861_04: embryonic day 14.5 (more )
Structure Level Pattern Image Note
TS23: liver left lobe Moderate Regionally restricted euxassay_006861_04
TS23: axial musculature Strong Regionally restricted euxassay_006861_04

Specimen euxassay_006861_05: embryonic day 14.5 (more )
Structure Level Pattern Image Note
TS23: liver left lobe Moderate Regionally restricted euxassay_006861_05
TS23: axial musculature Strong Regionally restricted euxassay_006861_05

Specimen euxassay_006861_06: embryonic day 14.5 (more )
Structure Level Pattern Image Note
TS23: liver left lobe Moderate Regionally restricted euxassay_006861_06
TS23: axial musculature Strong Regionally restricted euxassay_006861_06

Specimen euxassay_006861_07: embryonic day 14.5 (more )
Structure Level Pattern Image Note
TS23: liver left lobe Moderate Regionally restricted euxassay_006861_07
TS23: axial musculature Strong Regionally restricted euxassay_006861_07

Specimen euxassay_006861_08: embryonic day 14.5 (more )
Structure Level Pattern Image Note
TS23: liver left lobe Moderate Regionally restricted euxassay_006861_08
TS23: axial musculature Strong Regionally restricted euxassay_006861_08
TS23: midbrain mantle layer Weak Regionally restricted euxassay_006861_08

Specimen euxassay_006861_09: embryonic day 14.5 (more )
Structure Level Pattern Image Note
TS23: liver left lobe Moderate Regionally restricted euxassay_006861_09
TS23: renal calyx Strong Regionally restricted euxassay_006861_09
TS23: pons ventricular layer Strong Single cells euxassay_006861_09
TS23: midbrain ventricular layer Strong Single cells euxassay_006861_09

Specimen euxassay_006861_10: embryonic day 14.5 (more )
Structure Level Pattern Image Note
TS23: liver left lobe Moderate Regionally restricted euxassay_006861_10
TS23: renal calyx Moderate Regionally restricted euxassay_006861_10
TS23: medulla oblongata basal plate mantle layer Strong Single cells euxassay_006861_10
TS23: pons ventricular layer Strong Single cells euxassay_006861_10
TS23: midbrain ventricular layer Strong Single cells euxassay_006861_10
TS23: thyroid gland Moderate Regionally restricted euxassay_006861_10

Specimen euxassay_006861_11: embryonic day 14.5 (more )
Structure Level Pattern Image Note
TS23: liver left lobe Moderate Regionally restricted euxassay_006861_11
TS23: midbrain mantle layer Strong Single cells euxassay_006861_11
TS23: pons mantle layer Strong Single cells euxassay_006861_11
TS23: medulla oblongata basal plate mantle layer Strong Single cells euxassay_006861_11
TS23: spinal cord ventricular layer Strong Single cells euxassay_006861_11
TS23: thyroid gland Moderate Regionally restricted euxassay_006861_11

Specimen euxassay_006861_12: embryonic day 14.5 (more )
Structure Level Pattern Image Note
TS23: liver right lobe Moderate Regionally restricted euxassay_006861_12
TS23: spinal cord ventricular layer Strong Single cells euxassay_006861_12

Specimen euxassay_006861_13: embryonic day 14.5 (more )
Structure Level Pattern Image Note
TS23: liver right lobe Moderate Regionally restricted euxassay_006861_13
TS23: medulla oblongata basal plate mantle layer Strong Single cells euxassay_006861_13
TS23: pons mantle layer Moderate Single cells euxassay_006861_13
TS23: midbrain mantle layer Moderate Single cells euxassay_006861_13
TS23: spinal cord ventricular layer Strong Single cells euxassay_006861_13

Specimen euxassay_006861_14: embryonic day 14.5 (more )
Structure Level Pattern Image Note
TS23: liver right lobe Moderate Regionally restricted euxassay_006861_14
TS23: pons ventricular layer Strong Regionally restricted euxassay_006861_14
TS23: midbrain ventricular layer Strong Regionally restricted euxassay_006861_14
TS23: midbrain mantle layer Strong Regionally restricted euxassay_006861_14
TS23: medulla oblongata basal plate mantle layer Strong Single cells euxassay_006861_14
TS23: spinal cord ventricular layer Strong Single cells euxassay_006861_14

Specimen euxassay_006861_15: embryonic day 14.5 (more )
Structure Level Pattern Image Note
TS23: liver right lobe Moderate Regionally restricted euxassay_006861_15
TS23: pons ventricular layer Strong Regionally restricted euxassay_006861_15
TS23: midbrain ventricular layer Strong Regionally restricted euxassay_006861_15
TS23: spinal cord ventricular layer Strong Single cells euxassay_006861_15
TS23: thyroid gland Moderate Regionally restricted euxassay_006861_15

Specimen euxassay_006861_16: embryonic day 14.5 (more )
Structure Level Pattern Image Note
TS23: liver right lobe Moderate Regionally restricted euxassay_006861_16
TS23: pons ventricular layer Strong Regionally restricted euxassay_006861_16
TS23: midbrain ventricular layer Strong Regionally restricted euxassay_006861_16
TS23: spinal cord ventricular layer Strong Single cells euxassay_006861_16
TS23: thyroid gland Moderate Regionally restricted euxassay_006861_16

Specimen euxassay_006861_17: embryonic day 14.5 (more )
Structure Level Pattern Image Note
TS23: liver right lobe Moderate Regionally restricted euxassay_006861_17

Specimen euxassay_006861_18: embryonic day 14.5 (more )
Structure Level Pattern Image Note
TS23: liver right lobe Moderate Regionally restricted euxassay_006861_18

Specimen euxassay_006861_19: embryonic day 14.5 (more )
Structure Level Pattern Image Note
TS23: liver right lobe Moderate Regionally restricted euxassay_006861_19

Specimen euxassay_006861_20: embryonic day 14.5 (more )
Structure Level Pattern Image Note
TS23: liver right lobe Moderate Regionally restricted euxassay_006861_20
TS23: axial musculature Strong Regionally restricted euxassay_006861_20
TS23: renal calyx Weak Regionally restricted euxassay_006861_20

Specimen euxassay_006861_21: embryonic day 14.5 (more )
Structure Level Pattern Image Note
TS23: liver right lobe Moderate Regionally restricted euxassay_006861_21
TS23: renal calyx Moderate Regionally restricted euxassay_006861_21

Specimen euxassay_006861_22: embryonic day 14.5 (more )
Structure Level Pattern Image Note
TS23: liver right lobe Moderate Regionally restricted euxassay_006861_22
TS23: axial musculature Strong Regionally restricted euxassay_006861_22

Specimen euxassay_006861_23: embryonic day 14.5 (more )
Structure Level Pattern Image Note
TS23: liver right lobe Moderate Regionally restricted euxassay_006861_23


Contributing Projects:
Mouse Genome Database (MGD), Gene Expression Database (GXD), Mouse Models of Human Cancer database (MMHCdb) (formerly Mouse Tumor Biology (MTB)), Gene Ontology (GO)
Citing These Resources
Funding Information
Warranty Disclaimer, Privacy Notice, Licensing, & Copyright
Send questions and comments to User Support.
last database update
01/20/2026
MGI 6.24
The Jackson Laboratory