About   Help   FAQ
Gene Expression Data
Assay Details
Assay
Reference: J:153498 Diez-Roux G, et al., A high-resolution anatomical atlas of the transcriptome in the mouse embryo. PLoS Biol. 2011;9(1):e1000582
Assay type: RNA in situ
MGI Accession ID: MGI:4825150
Gene symbol: Got1
Gene name: glutamic-oxaloacetic transaminase 1, soluble
Probe: MGC clone 6100
Probe preparation: Antisense labelled with digoxigenin RNA
Visualized with: Alkaline phosphatase
Assay notes: Cryosections of fresh frozen material were fixed in 4% paraformaldehyde for 20 min. before further processing. A tyramide-biotin/streptavidin amplification step was included in the in situ hybridization procedure.
Results
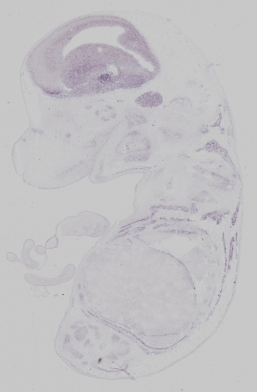
Specimen euxassay_002196_01: embryonic day 14.5 (more )
Structure Level Pattern Image Note
TS23: brain Weak Uniform euxassay_002196_01
TS23: diaphragm Moderate Regionally restricted euxassay_002196_01
TS23: oral epithelium Moderate Regionally restricted euxassay_002196_01
TS23: neural retina Weak Regionally restricted euxassay_002196_01

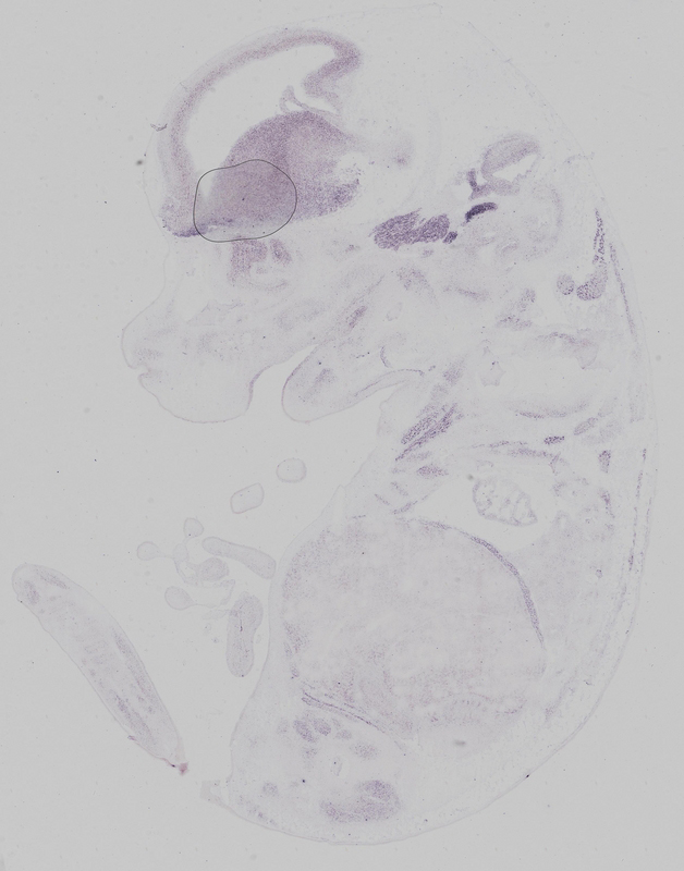
Specimen euxassay_002196_02: embryonic day 14.5 (more )
Structure Level Pattern Image Note
TS23: brain Weak Uniform euxassay_002196_02
TS23: diaphragm Moderate Regionally restricted euxassay_002196_02
TS23: vertebral axis musculature Moderate Regionally restricted euxassay_002196_02
TS23: neural retina Moderate Regionally restricted euxassay_002196_02

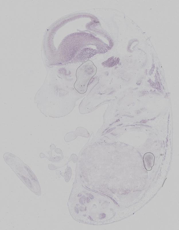
Specimen euxassay_002196_03: embryonic day 14.5 (more )
Structure Level Pattern Image Note
TS23: brain Weak Uniform euxassay_002196_03
TS23: trigeminal ganglion Moderate Regionally restricted euxassay_002196_03
TS23: diaphragm Moderate Regionally restricted euxassay_002196_03
TS23: neural retina Moderate Regionally restricted euxassay_002196_03

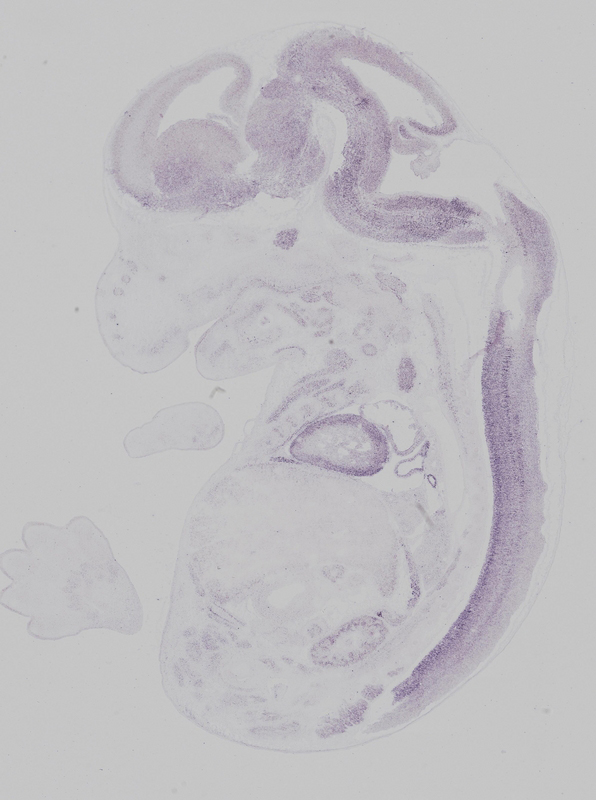
Specimen euxassay_002196_04: embryonic day 14.5 (more )
Structure Level Pattern Image Note
TS23: brain Weak Uniform euxassay_002196_04
TS23: spinal cord Weak Uniform euxassay_002196_04
TS23: glossopharyngeal ganglion Moderate Regionally restricted euxassay_002196_04
TS23: trigeminal ganglion Moderate Regionally restricted euxassay_002196_04
TS23: dorsal root ganglion Moderate Regionally restricted euxassay_002196_04
TS23: diaphragm Moderate Regionally restricted euxassay_002196_04
TS23: vertebral axis musculature Moderate Regionally restricted euxassay_002196_04
TS23: neural retina Weak Regionally restricted euxassay_002196_04

Specimen euxassay_002196_05: embryonic day 14.5 (more )
Structure Level Pattern Image Note
TS23: spinal cord Moderate Uniform euxassay_002196_05
TS23: brain Moderate Uniform euxassay_002196_05
TS23: trigeminal ganglion Moderate Regionally restricted euxassay_002196_05
TS23: vagus ganglion Moderate Regionally restricted euxassay_002196_05
TS23: dorsal root ganglion Moderate Regionally restricted euxassay_002196_05
TS23: adrenal gland Strong Uniform euxassay_002196_05
TS23: renal cortex Weak Regionally restricted euxassay_002196_05
TS23: diaphragm Moderate Regionally restricted euxassay_002196_05
TS23: vertebral axis musculature Moderate Regionally restricted euxassay_002196_05

Specimen euxassay_002196_06: embryonic day 14.5 (more )
Structure Level Pattern Image Note
TS23: spinal cord Moderate Uniform euxassay_002196_06
TS23: brain Moderate Uniform euxassay_002196_06
TS23: trigeminal ganglion Moderate Regionally restricted euxassay_002196_06
TS23: heart ventricle Moderate Regionally restricted euxassay_002196_06
TS23: dorsal root ganglion Moderate Regionally restricted euxassay_002196_06
TS23: adrenal gland Strong Uniform euxassay_002196_06
TS23: renal cortex Weak Regionally restricted euxassay_002196_06
TS23: diaphragm Moderate Regionally restricted euxassay_002196_06
TS23: vertebral axis musculature Moderate Regionally restricted euxassay_002196_06

Specimen euxassay_002196_07: embryonic day 14.5 (more )
Structure Level Pattern Image Note
TS23: spinal cord Moderate Uniform euxassay_002196_07
TS23: brain Moderate Uniform euxassay_002196_07
TS23: trigeminal ganglion Moderate Regionally restricted euxassay_002196_07
TS23: heart ventricle Moderate Regionally restricted euxassay_002196_07
TS23: thymus primordium Moderate Uniform euxassay_002196_07
TS23: dorsal root ganglion Moderate Regionally restricted euxassay_002196_07
TS23: renal cortex Weak Regionally restricted euxassay_002196_07
TS23: vertebral axis musculature Moderate Regionally restricted euxassay_002196_07

Specimen euxassay_002196_08: embryonic day 14.5 (more )
Structure Level Pattern Image Note
TS23: spinal cord Moderate Uniform euxassay_002196_08
TS23: brain Moderate Uniform euxassay_002196_08
TS23: heart ventricle Moderate Regionally restricted euxassay_002196_08
TS23: thymus primordium Moderate Uniform euxassay_002196_08
TS23: dorsal root ganglion Moderate Regionally restricted euxassay_002196_08
TS23: vertebral axis musculature Moderate Regionally restricted euxassay_002196_08

Specimen euxassay_002196_09: embryonic day 14.5 (more )
Structure Level Pattern Image Note
TS23: spinal cord Moderate Uniform euxassay_002196_09
TS23: brain Moderate Uniform euxassay_002196_09
TS23: heart ventricle Moderate Regionally restricted euxassay_002196_09
TS23: thymus primordium Moderate Uniform euxassay_002196_09
TS23: olfactory epithelium Weak Regionally restricted euxassay_002196_09

Specimen euxassay_002196_10: embryonic day 14.5 (more )
Structure Level Pattern Image Note
TS23: spinal cord Moderate Uniform euxassay_002196_10
TS23: brain Moderate Uniform euxassay_002196_10
TS23: heart ventricle Moderate Regionally restricted euxassay_002196_10
TS23: thymus primordium Moderate Uniform euxassay_002196_10
TS23: oral epithelium Moderate Regionally restricted euxassay_002196_10
TS23: olfactory epithelium Weak Regionally restricted euxassay_002196_10

Specimen euxassay_002196_11: embryonic day 14.5 (more )
Structure Level Pattern Image Note
TS23: spinal cord Moderate Uniform euxassay_002196_11
TS23: brain Moderate Uniform euxassay_002196_11
TS23: heart ventricle Moderate Regionally restricted euxassay_002196_11
TS23: thymus primordium Moderate Uniform euxassay_002196_11
TS23: dorsal root ganglion Moderate Regionally restricted euxassay_002196_11
TS23: oral epithelium Moderate Regionally restricted euxassay_002196_11
TS23: olfactory epithelium Weak Regionally restricted euxassay_002196_11

Specimen euxassay_002196_12: embryonic day 14.5 (more )
Structure Level Pattern Image Note
TS23: spinal cord Moderate Uniform euxassay_002196_12
TS23: brain Moderate Uniform euxassay_002196_12
TS23: heart ventricle Moderate Regionally restricted euxassay_002196_12
TS23: dorsal root ganglion Moderate Regionally restricted euxassay_002196_12
TS23: adrenal gland Strong Uniform euxassay_002196_12
TS23: oral epithelium Moderate Regionally restricted euxassay_002196_12
TS23: vertebral axis musculature Moderate Regionally restricted euxassay_002196_12
TS23: olfactory epithelium Weak Regionally restricted euxassay_002196_12

Specimen euxassay_002196_13: embryonic day 14.5 (more )
Structure Level Pattern Image Note
TS23: spinal cord Moderate Uniform euxassay_002196_13
TS23: brain Moderate Uniform euxassay_002196_13
TS23: vagus ganglion Moderate Regionally restricted euxassay_002196_13
TS23: heart ventricle Moderate Regionally restricted euxassay_002196_13
TS23: dorsal root ganglion Moderate Regionally restricted euxassay_002196_13
TS23: adrenal gland Strong Uniform euxassay_002196_13
TS23: renal cortex Moderate Regionally restricted euxassay_002196_13
TS23: oral epithelium Moderate Regionally restricted euxassay_002196_13
TS23: vertebral axis musculature Moderate Regionally restricted euxassay_002196_13

Specimen euxassay_002196_14: embryonic day 14.5 (more )
Structure Level Pattern Image Note
TS23: brain Moderate Uniform euxassay_002196_14
TS23: glossopharyngeal ganglion Moderate Regionally restricted euxassay_002196_14
TS23: heart ventricle Moderate Regionally restricted euxassay_002196_14
TS23: adrenal gland Strong Uniform euxassay_002196_14
TS23: renal cortex Weak Regionally restricted euxassay_002196_14
TS23: oral epithelium Moderate Regionally restricted euxassay_002196_14
TS23: vertebral axis musculature Moderate Regionally restricted euxassay_002196_14
TS23: olfactory epithelium Weak Regionally restricted euxassay_002196_14

Specimen euxassay_002196_15: embryonic day 14.5 (more )
Structure Level Pattern Image Note
TS23: brain Moderate Uniform euxassay_002196_15
TS23: trigeminal ganglion Moderate Regionally restricted euxassay_002196_15
TS23: heart ventricle Moderate Regionally restricted euxassay_002196_15
TS23: renal cortex Weak Regionally restricted euxassay_002196_15
TS23: diaphragm Moderate Regionally restricted euxassay_002196_15
TS23: oral epithelium Moderate Regionally restricted euxassay_002196_15
TS23: vertebral axis musculature Moderate Regionally restricted euxassay_002196_15
TS23: olfactory epithelium Weak Regionally restricted euxassay_002196_15

Specimen euxassay_002196_16: embryonic day 14.5 (more )
Structure Level Pattern Image Note
TS23: brain Moderate Uniform euxassay_002196_16
TS23: trigeminal ganglion Moderate Regionally restricted euxassay_002196_16
TS23: heart ventricle Moderate Regionally restricted euxassay_002196_16
TS23: renal cortex Weak Regionally restricted euxassay_002196_16
TS23: diaphragm Moderate Regionally restricted euxassay_002196_16
TS23: vertebral axis musculature Moderate Regionally restricted euxassay_002196_16
TS23: olfactory epithelium Weak Regionally restricted euxassay_002196_16

Specimen euxassay_002196_17: embryonic day 14.5 (more )
Structure Level Pattern Image Note
TS23: brain Moderate Uniform euxassay_002196_17
TS23: trigeminal ganglion Moderate Regionally restricted euxassay_002196_17
TS23: diaphragm Moderate Regionally restricted euxassay_002196_17
TS23: vertebral axis musculature Moderate Regionally restricted euxassay_002196_17
TS23: olfactory epithelium Weak Regionally restricted euxassay_002196_17

Specimen euxassay_002196_18: embryonic day 14.5 (more )
Structure Level Pattern Image Note
TS23: brain Moderate Uniform euxassay_002196_18
TS23: trigeminal ganglion Moderate Regionally restricted euxassay_002196_18
TS23: diaphragm Weak Regionally restricted euxassay_002196_18
TS23: vertebral axis musculature Moderate Regionally restricted euxassay_002196_18

Specimen euxassay_002196_19: embryonic day 14.5 (more )
Structure Level Pattern Image Note
TS23: brain Moderate Uniform euxassay_002196_19
TS23: trigeminal ganglion Moderate Regionally restricted euxassay_002196_19
TS23: diaphragm Weak Regionally restricted euxassay_002196_19
TS23: vertebral axis musculature Moderate Regionally restricted euxassay_002196_19

Specimen euxassay_002196_20: embryonic day 14.5 (more )
Structure Level Pattern Image Note
TS23: brain Moderate Uniform euxassay_002196_20
TS23: trigeminal ganglion Moderate Regionally restricted euxassay_002196_20
TS23: diaphragm Weak Regionally restricted euxassay_002196_20
TS23: vertebral axis musculature Moderate Regionally restricted euxassay_002196_20

Specimen euxassay_002196_21: embryonic day 14.5 (more )
Structure Level Pattern Image Note
TS23: brain Moderate Uniform euxassay_002196_21
TS23: vertebral axis musculature Moderate Regionally restricted euxassay_002196_21
TS23: neural retina Moderate Regionally restricted euxassay_002196_21

Specimen euxassay_002196_22: embryonic day 14.5 (more )
Structure Level Pattern Image Note
TS23: brain Moderate Uniform euxassay_002196_22
TS23: vertebral axis musculature Moderate Regionally restricted euxassay_002196_22
TS23: neural retina Moderate Regionally restricted euxassay_002196_22


Contributing Projects:
Mouse Genome Database (MGD), Gene Expression Database (GXD), Mouse Models of Human Cancer database (MMHCdb) (formerly Mouse Tumor Biology (MTB)), Gene Ontology (GO)
Citing These Resources
Funding Information
Warranty Disclaimer, Privacy Notice, Licensing, & Copyright
Send questions and comments to User Support.
last database update
12/30/2025
MGI 6.24
The Jackson Laboratory