About   Help   FAQ
Gene Expression Data
Assay Details
Assay
Reference: J:153498 Diez-Roux G, et al., A high-resolution anatomical atlas of the transcriptome in the mouse embryo. PLoS Biol. 2011;9(1):e1000582
Assay type: RNA in situ
MGI Accession ID: MGI:4825125
Gene symbol: Gmpr
Gene name: guanosine monophosphate reductase
Probe: IMAGE clone 1550302
Probe preparation: Antisense labelled with digoxigenin RNA
Visualized with: Alkaline phosphatase
Assay notes: Cryosections of fresh frozen material were fixed in 4% paraformaldehyde for 20 min. before further processing. A tyramide-biotin/streptavidin amplification step was included in the in situ hybridization procedure.
Results
Specimen euxassay_008827_01: embryonic day 14.5 (more )
Structure Level Pattern Image Note
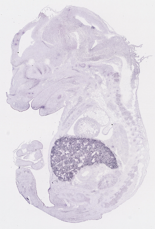
TS23: liver Strong Regionally restricted euxassay_008827_01

Specimen euxassay_008827_02: embryonic day 14.5 (more )
Structure Level Pattern Image Note
TS23: liver Strong Regionally restricted euxassay_008827_02

Specimen euxassay_008827_03: embryonic day 14.5 (more )
Structure Level Pattern Image Note
TS23: liver Strong Regionally restricted euxassay_008827_03

Specimen euxassay_008827_04: embryonic day 14.5 (more )
Structure Level Pattern Image Note
TS23: liver Strong Regionally restricted euxassay_008827_04

Specimen euxassay_008827_05: embryonic day 14.5 (more )
Structure Level Pattern Image Note
TS23: liver Strong Regionally restricted euxassay_008827_05

Specimen euxassay_008827_06: embryonic day 14.5 (more )
Structure Level Pattern Image Note
TS23: liver Strong Regionally restricted euxassay_008827_06

Specimen euxassay_008827_07: embryonic day 14.5 (more )
Structure Level Pattern Image Note
TS23: liver Strong Regionally restricted euxassay_008827_07

Specimen euxassay_008827_08: embryonic day 14.5 (more )
Structure Level Pattern Image Note
TS23: liver Strong Regionally restricted euxassay_008827_08

Specimen euxassay_008827_09: embryonic day 14.5 (more )
Structure Level Pattern Image Note
TS23: liver Strong Regionally restricted euxassay_008827_09

Specimen euxassay_008827_10: embryonic day 14.5 (more )
Structure Level Pattern Image Note
TS23: liver Strong Regionally restricted euxassay_008827_10

Specimen euxassay_008827_11: embryonic day 14.5 (more )
Structure Level Pattern Image Note
TS23: liver Strong Regionally restricted euxassay_008827_11

Specimen euxassay_008827_12: embryonic day 14.5 (more )
Structure Level Pattern Image Note
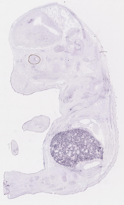
TS23: liver Strong Regionally restricted euxassay_008827_12
TS23: thymus primordium Moderate Regionally restricted euxassay_008827_12

Specimen euxassay_008827_13: embryonic day 14.5 (more )
Structure Level Pattern Image Note
TS23: liver Strong Regionally restricted euxassay_008827_13
TS23: thymus primordium Moderate Regionally restricted euxassay_008827_13

Specimen euxassay_008827_14: embryonic day 14.5 (more )
Structure Level Pattern Image Note
TS23: liver Strong Regionally restricted euxassay_008827_14
TS23: thymus primordium Moderate Regionally restricted euxassay_008827_14

Specimen euxassay_008827_15: embryonic day 14.5 (more )
Structure Level Pattern Image Note
TS23: liver Strong Regionally restricted euxassay_008827_15
TS23: thymus primordium Moderate Regionally restricted euxassay_008827_15

Specimen euxassay_008827_16: embryonic day 14.5 (more )
Structure Level Pattern Image Note
TS23: liver Strong Regionally restricted euxassay_008827_16

Specimen euxassay_008827_17: embryonic day 14.5 (more )
Structure Level Pattern Image Note
TS23: liver Strong Regionally restricted euxassay_008827_17

Specimen euxassay_008827_18: embryonic day 14.5 (more )
Structure Level Pattern Image Note
TS23: liver Strong Regionally restricted euxassay_008827_18

Specimen euxassay_008827_19: embryonic day 14.5 (more )
Structure Level Pattern Image Note
TS23: liver Strong Regionally restricted euxassay_008827_19

Specimen euxassay_008827_20: embryonic day 14.5 (more )
Structure Level Pattern Image Note
TS23: liver Strong Regionally restricted euxassay_008827_20

Specimen euxassay_008827_21: embryonic day 14.5 (more )
Structure Level Pattern Image Note
TS23: liver Strong Regionally restricted euxassay_008827_21

Specimen euxassay_008827_22: embryonic day 14.5 (more )
Structure Level Pattern Image Note
TS23: liver Strong Regionally restricted euxassay_008827_22

Specimen euxassay_008827_23: embryonic day 14.5 (more )
Structure Level Pattern Image Note
TS23: liver Strong Regionally restricted euxassay_008827_23


Contributing Projects:
Mouse Genome Database (MGD), Gene Expression Database (GXD), Mouse Models of Human Cancer database (MMHCdb) (formerly Mouse Tumor Biology (MTB)), Gene Ontology (GO)
Citing These Resources
Funding Information
Warranty Disclaimer, Privacy Notice, Licensing, & Copyright
Send questions and comments to User Support.
last database update
01/06/2026
MGI 6.24
The Jackson Laboratory