About   Help   FAQ
Gene Expression Data
Assay Details
Assay
Reference: J:153498 Diez-Roux G, et al., A high-resolution anatomical atlas of the transcriptome in the mouse embryo. PLoS Biol. 2011;9(1):e1000582
Assay type: RNA in situ
MGI Accession ID: MGI:4825124
Gene symbol: Gmnn
Gene name: geminin
Probe: T31997
Probe preparation: Antisense labelled with digoxigenin RNA
Visualized with: Alkaline phosphatase
Assay notes: Cryosections of fresh frozen material were fixed in 4% paraformaldehyde for 20 min. before further processing. A tyramide-biotin/streptavidin amplification step was included in the in situ hybridization procedure.
Results
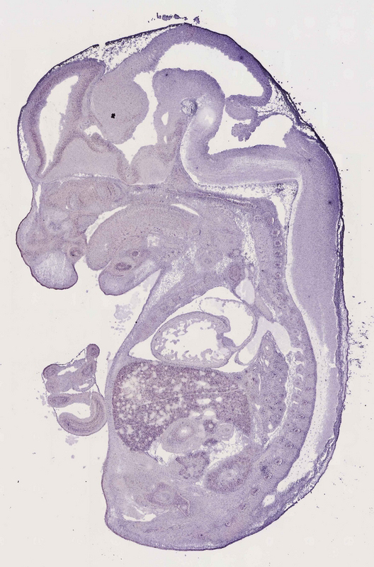
Specimen euxassay_013652_01: embryonic day 14.5 (more )
Structure Level Pattern Image Note
TS23: telencephalon ventricular layer Weak Uniform euxassay_013652_01
TS23: liver lobe Weak Regionally restricted euxassay_013652_01

Specimen euxassay_013652_02: embryonic day 14.5 (more )
Structure Level Pattern Image Note
TS23: telencephalon ventricular layer Weak Uniform euxassay_013652_02
TS23: liver lobe Weak Regionally restricted euxassay_013652_02

Specimen euxassay_013652_03: embryonic day 14.5 (more )
Structure Level Pattern Image Note
TS23: telencephalon ventricular layer Moderate Uniform euxassay_013652_03
TS23: liver lobe Weak Regionally restricted euxassay_013652_03

Specimen euxassay_013652_04: embryonic day 14.5 (more )
Structure Level Pattern Image Note
TS23: telencephalon ventricular layer Moderate Uniform euxassay_013652_04
TS23: vibrissa Weak Regionally restricted euxassay_013652_04
TS23: liver lobe Weak Regionally restricted euxassay_013652_04
TS23: lung Moderate Spotted euxassay_013652_04

Specimen euxassay_013652_05: embryonic day 14.5 (more )
Structure Level Pattern Image Note
TS23: telencephalon ventricular layer Moderate Uniform euxassay_013652_05
TS23: upper jaw molar Weak Regionally restricted euxassay_013652_05
TS23: lower jaw molar Weak Regionally restricted euxassay_013652_05
TS23: vibrissa Weak Regionally restricted euxassay_013652_05
TS23: liver lobe Weak Regionally restricted euxassay_013652_05
TS23: lung Moderate Spotted euxassay_013652_05

Specimen euxassay_013652_06: embryonic day 14.5 (more )
Structure Level Pattern Image Note
TS23: telencephalon ventricular layer Moderate Uniform euxassay_013652_06
TS23: submandibular gland primordium Moderate Regionally restricted euxassay_013652_06
TS23: upper jaw molar Weak Regionally restricted euxassay_013652_06
TS23: lower jaw molar Weak Regionally restricted euxassay_013652_06
TS23: vibrissa Weak Regionally restricted euxassay_013652_06
TS23: liver lobe Weak Regionally restricted euxassay_013652_06
TS23: testis Weak Regionally restricted euxassay_013652_06
TS23: lung Moderate Spotted euxassay_013652_06

Specimen euxassay_013652_07: embryonic day 14.5 (more )
Structure Level Pattern Image Note
TS23: telencephalon ventricular layer Moderate Uniform euxassay_013652_07
TS23: submandibular gland primordium Moderate Regionally restricted euxassay_013652_07
TS23: liver lobe Weak Regionally restricted euxassay_013652_07
TS23: testis Weak Regionally restricted euxassay_013652_07
TS23: renal cortex Weak Regionally restricted euxassay_013652_07
TS23: lung Moderate Spotted euxassay_013652_07

Specimen euxassay_013652_08: embryonic day 14.5 (more )
Structure Level Pattern Image Note
TS23: telencephalon ventricular layer Moderate Uniform euxassay_013652_08
TS23: submandibular gland primordium Weak Regionally restricted euxassay_013652_08
TS23: liver lobe Weak Regionally restricted euxassay_013652_08
TS23: testis Weak Regionally restricted euxassay_013652_08
TS23: renal cortex Weak Regionally restricted euxassay_013652_08
TS23: lung Weak Spotted euxassay_013652_08

Specimen euxassay_013652_09: embryonic day 14.5 (more )
Structure Level Pattern Image Note
TS23: olfactory cortex ventricular layer Moderate Uniform euxassay_013652_09
TS23: telencephalon ventricular layer Moderate Uniform euxassay_013652_09
TS23: submandibular gland primordium Weak Regionally restricted euxassay_013652_09
TS23: liver lobe Weak Regionally restricted euxassay_013652_09
TS23: pancreas Weak Regionally restricted euxassay_013652_09
TS23: renal cortex Weak Regionally restricted euxassay_013652_09
TS23: lung Weak Spotted euxassay_013652_09

Specimen euxassay_013652_10: embryonic day 14.5 (more )
Structure Level Pattern Image Note
TS23: olfactory cortex ventricular layer Moderate Uniform euxassay_013652_10
TS23: telencephalon ventricular layer Moderate Uniform euxassay_013652_10
TS23: lower jaw incisor Weak Regionally restricted euxassay_013652_10
TS23: upper jaw incisor Weak Regionally restricted euxassay_013652_10
TS23: thymus primordium Weak Regionally restricted euxassay_013652_10
TS23: thyroid gland Weak Regionally restricted euxassay_013652_10
TS23: liver lobe Weak Regionally restricted euxassay_013652_10
TS23: pancreas Weak Regionally restricted euxassay_013652_10
TS23: renal cortex Weak Regionally restricted euxassay_013652_10
TS23: lung Weak Spotted euxassay_013652_10

Specimen euxassay_013652_11: embryonic day 14.5 (more )
Structure Level Pattern Image Note
TS23: telencephalon ventricular layer Moderate Uniform euxassay_013652_11
TS23: lower jaw incisor Weak Regionally restricted euxassay_013652_11
TS23: upper jaw incisor Weak Regionally restricted euxassay_013652_11
TS23: thymus primordium Weak Regionally restricted euxassay_013652_11
TS23: liver lobe Weak Regionally restricted euxassay_013652_11
TS23: pancreas Weak Regionally restricted euxassay_013652_11
TS23: renal cortex Weak Regionally restricted euxassay_013652_11
TS23: lung Weak Spotted euxassay_013652_11

Specimen euxassay_013652_12: embryonic day 14.5 (more )
Structure Level Pattern Image Note
TS23: telencephalon ventricular layer Moderate Uniform euxassay_013652_12
TS23: thymus primordium Weak Regionally restricted euxassay_013652_12
TS23: liver lobe Weak Regionally restricted euxassay_013652_12
TS23: lung Weak Spotted euxassay_013652_12

Specimen euxassay_013652_13: embryonic day 14.5 (more )
Structure Level Pattern Image Note
TS23: telencephalon ventricular layer Moderate Uniform euxassay_013652_13
TS23: thymus primordium Weak Regionally restricted euxassay_013652_13
TS23: liver lobe Weak Regionally restricted euxassay_013652_13

Specimen euxassay_013652_14: embryonic day 14.5 (more )
Structure Level Pattern Image Note
TS23: telencephalon ventricular layer Moderate Uniform euxassay_013652_14
TS23: olfactory cortex ventricular layer Moderate Uniform euxassay_013652_14
TS23: lower jaw incisor Weak Regionally restricted euxassay_013652_14
TS23: thymus primordium Weak Regionally restricted euxassay_013652_14
TS23: thyroid gland Weak Regionally restricted euxassay_013652_14
TS23: liver lobe Weak Regionally restricted euxassay_013652_14
TS23: lung Weak Spotted euxassay_013652_14

Specimen euxassay_013652_15: embryonic day 14.5 (more )
Structure Level Pattern Image Note
TS23: telencephalon ventricular layer Moderate Uniform euxassay_013652_15
TS23: olfactory cortex ventricular layer Moderate Uniform euxassay_013652_15
TS23: submandibular gland primordium Moderate Regionally restricted euxassay_013652_15
TS23: upper jaw incisor Weak Regionally restricted euxassay_013652_15
TS23: lower jaw incisor Weak Regionally restricted euxassay_013652_15
TS23: thymus primordium Weak Regionally restricted euxassay_013652_15
TS23: thyroid gland Weak Regionally restricted euxassay_013652_15
TS23: liver lobe Weak Regionally restricted euxassay_013652_15
TS23: lung Weak Spotted euxassay_013652_15

Specimen euxassay_013652_16: embryonic day 14.5 (more )
Structure Level Pattern Image Note
TS23: telencephalon ventricular layer Weak Uniform euxassay_013652_16
TS23: olfactory cortex ventricular layer Weak Uniform euxassay_013652_16
TS23: submandibular gland primordium Moderate Regionally restricted euxassay_013652_16
TS23: liver lobe Weak Regionally restricted euxassay_013652_16
TS23: pancreas Weak Regionally restricted euxassay_013652_16
TS23: lung Weak Spotted euxassay_013652_16

Specimen euxassay_013652_17: embryonic day 14.5 (more )
Structure Level Pattern Image Note
TS23: telencephalon ventricular layer Weak Uniform euxassay_013652_17
TS23: submandibular gland primordium Moderate Regionally restricted euxassay_013652_17
TS23: upper jaw molar Weak Regionally restricted euxassay_013652_17
TS23: lower jaw molar Weak Regionally restricted euxassay_013652_17
TS23: liver lobe Weak Regionally restricted euxassay_013652_17
TS23: renal cortex Weak Regionally restricted euxassay_013652_17
TS23: lung Weak Spotted euxassay_013652_17

Specimen euxassay_013652_18: embryonic day 14.5 (more )
Structure Level Pattern Image Note
TS23: telencephalon ventricular layer Weak Uniform euxassay_013652_18
TS23: submandibular gland primordium Moderate Regionally restricted euxassay_013652_18
TS23: upper jaw molar Weak Regionally restricted euxassay_013652_18
TS23: lower jaw molar Weak Regionally restricted euxassay_013652_18
TS23: liver lobe Weak Regionally restricted euxassay_013652_18
TS23: renal cortex Weak Regionally restricted euxassay_013652_18
TS23: lung Weak Spotted euxassay_013652_18

Specimen euxassay_013652_19: embryonic day 14.5 (more )
Structure Level Pattern Image Note
TS23: telencephalon ventricular layer Weak Uniform euxassay_013652_19
TS23: upper jaw molar Weak Regionally restricted euxassay_013652_19
TS23: lower jaw molar Weak Regionally restricted euxassay_013652_19
TS23: liver lobe Weak Regionally restricted euxassay_013652_19
TS23: testis Weak Regionally restricted euxassay_013652_19
TS23: renal cortex Weak Regionally restricted euxassay_013652_19
TS23: lung Weak Spotted euxassay_013652_19

Specimen euxassay_013652_20: embryonic day 14.5 (more )
Structure Level Pattern Image Note
TS23: telencephalon ventricular layer Weak Uniform euxassay_013652_20
TS23: vibrissa Weak Regionally restricted euxassay_013652_20
TS23: liver lobe Weak Regionally restricted euxassay_013652_20
TS23: testis Weak Regionally restricted euxassay_013652_20
TS23: lung Weak Spotted euxassay_013652_20

Specimen euxassay_013652_21: embryonic day 14.5 (more )
Structure Level Pattern Image Note
TS23: telencephalon ventricular layer Weak Uniform euxassay_013652_21
TS23: vibrissa Weak Regionally restricted euxassay_013652_21
TS23: liver lobe Weak Regionally restricted euxassay_013652_21
TS23: testis Weak Regionally restricted euxassay_013652_21
TS23: lung Weak Spotted euxassay_013652_21

Specimen euxassay_013652_22: embryonic day 14.5 (more )
Structure Level Pattern Image Note
TS23: liver lobe Weak Regionally restricted euxassay_013652_22

Specimen euxassay_013652_23: embryonic day 14.5 (more )
Structure Level Pattern Image Note
TS23: liver lobe Weak Regionally restricted euxassay_013652_23
TS23: lung Weak Spotted euxassay_013652_23

Specimen euxassay_013652_24: embryonic day 14.5 (more )
Structure Level Pattern Image Note
TS23: liver lobe Weak Regionally restricted euxassay_013652_24


Contributing Projects:
Mouse Genome Database (MGD), Gene Expression Database (GXD), Mouse Models of Human Cancer database (MMHCdb) (formerly Mouse Tumor Biology (MTB)), Gene Ontology (GO)
Citing These Resources
Funding Information
Warranty Disclaimer, Privacy Notice, Licensing, & Copyright
Send questions and comments to User Support.
last database update
01/20/2026
MGI 6.24
The Jackson Laboratory