About   Help   FAQ
Gene Expression Data
Assay Details
Assay
Reference: J:153498 Diez-Roux G, et al., A high-resolution anatomical atlas of the transcriptome in the mouse embryo. PLoS Biol. 2011;9(1):e1000582
Assay type: RNA in situ
MGI Accession ID: MGI:4825122
Gene symbol: Gmds
Gene name: GDP-mannose 4, 6-dehydratase
Probe: MGC clone 18773
Probe preparation: Antisense labelled with digoxigenin RNA
Visualized with: Alkaline phosphatase
Assay notes: Cryosections of fresh frozen material were fixed in 4% paraformaldehyde for 20 min. before further processing. A tyramide-biotin/streptavidin amplification step was included in the in situ hybridization procedure.
Results
Specimen euxassay_003883_01: embryonic day 14.5 (more )
Structure Level Pattern Image Note
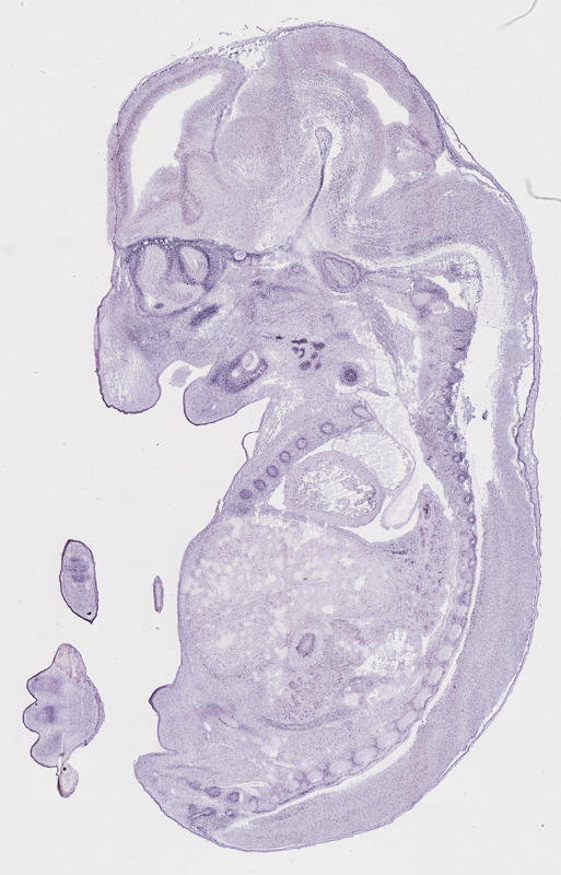
TS23: rib Moderate Regionally restricted euxassay_003883_01

Specimen euxassay_003883_02: embryonic day 14.5 (more )
Structure Level Pattern Image Note
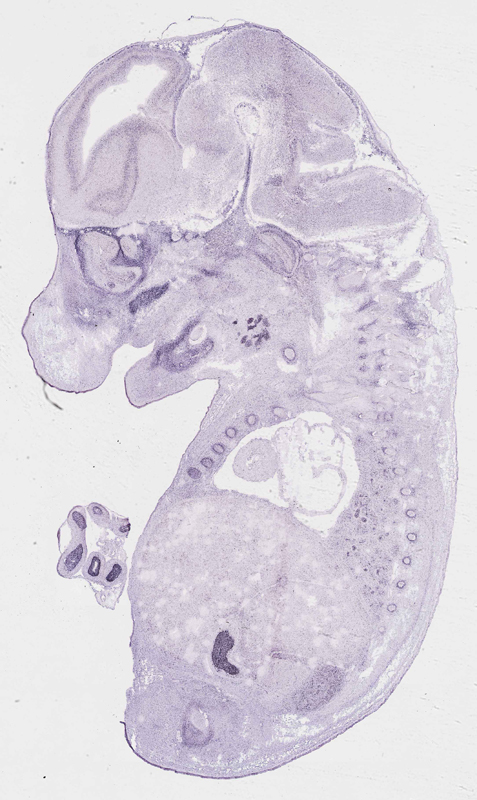
TS23: rib Moderate Regionally restricted euxassay_003883_02

Specimen euxassay_003883_03: embryonic day 14.5 (more )
Structure Level Pattern Image Note
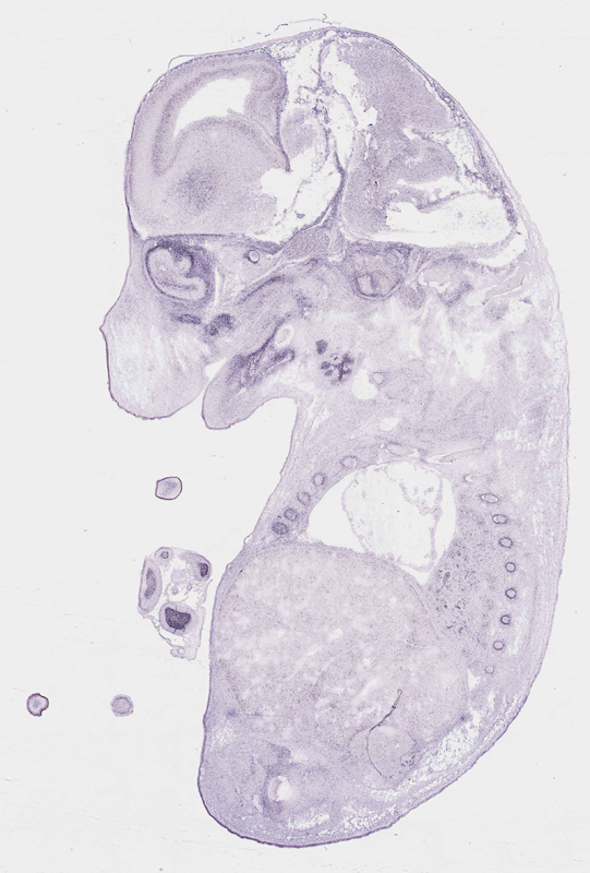
TS23: rib Moderate Regionally restricted euxassay_003883_03
TS23: Meckel's cartilage Moderate Regionally restricted euxassay_003883_03

Specimen euxassay_003883_04: embryonic day 14.5 (more )
Structure Level Pattern Image Note
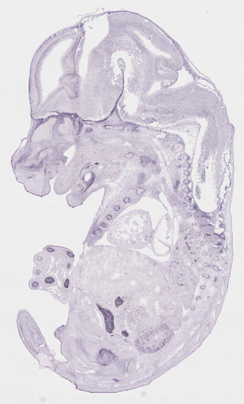
TS23: rib Moderate Regionally restricted euxassay_003883_04
TS23: Meckel's cartilage Moderate Regionally restricted euxassay_003883_04

Specimen euxassay_003883_05: embryonic day 14.5 (more )
Structure Level Pattern Image Note
TS23: rib Moderate Regionally restricted euxassay_003883_05
TS23: stomach Weak Regionally restricted euxassay_003883_05
TS23: Meckel's cartilage Moderate Regionally restricted euxassay_003883_05

Specimen euxassay_003883_06: embryonic day 14.5 (more )
Structure Level Pattern Image Note
TS23: rib Moderate Regionally restricted euxassay_003883_06
TS23: submandibular gland primordium Moderate Regionally restricted euxassay_003883_06
TS23: stomach Weak Regionally restricted euxassay_003883_06
TS23: Meckel's cartilage Moderate Regionally restricted euxassay_003883_06

Specimen euxassay_003883_07: embryonic day 14.5 (more )
Structure Level Pattern Image Note
TS23: rib Moderate Regionally restricted euxassay_003883_07
TS23: submandibular gland primordium Moderate Regionally restricted euxassay_003883_07
TS23: stomach Weak Regionally restricted euxassay_003883_07
TS23: turbinate bone primordium Moderate Regionally restricted euxassay_003883_07
TS23: Meckel's cartilage Moderate Regionally restricted euxassay_003883_07

Specimen euxassay_003883_08: embryonic day 14.5 (more )
Structure Level Pattern Image Note
TS23: rib Moderate Regionally restricted euxassay_003883_08
TS23: submandibular gland primordium Moderate Regionally restricted euxassay_003883_08
TS23: stomach Moderate Regionally restricted euxassay_003883_08
TS23: clavicle Moderate Regionally restricted euxassay_003883_08
TS23: turbinate bone primordium Moderate Regionally restricted euxassay_003883_08
TS23: Meckel's cartilage Moderate Regionally restricted euxassay_003883_08

Specimen euxassay_003883_09: embryonic day 14.5 (more )
Structure Level Pattern Image Note
TS23: rib Moderate Regionally restricted euxassay_003883_09
TS23: submandibular gland primordium Moderate Regionally restricted euxassay_003883_09
TS23: clavicle Moderate Regionally restricted euxassay_003883_09
TS23: turbinate bone primordium Moderate Regionally restricted euxassay_003883_09
TS23: Meckel's cartilage Moderate Regionally restricted euxassay_003883_09

Specimen euxassay_003883_10: embryonic day 14.5 (more )
Structure Level Pattern Image Note
TS23: rib Moderate Regionally restricted euxassay_003883_10
TS23: midgut Moderate Regionally restricted euxassay_003883_10
TS23: hindgut Moderate Regionally restricted euxassay_003883_10
TS23: turbinate bone primordium Moderate Regionally restricted euxassay_003883_10
TS23: Meckel's cartilage Moderate Regionally restricted euxassay_003883_10

Specimen euxassay_003883_11: embryonic day 14.5 (more )
Structure Level Pattern Image Note
TS23: rib Moderate Regionally restricted euxassay_003883_11
TS23: midgut Moderate Regionally restricted euxassay_003883_11
TS23: hindgut Moderate Regionally restricted euxassay_003883_11
TS23: turbinate bone primordium Moderate Regionally restricted euxassay_003883_11
TS23: Meckel's cartilage Moderate Regionally restricted euxassay_003883_11
TS23: rectum Moderate Regionally restricted euxassay_003883_11

Specimen euxassay_003883_12: embryonic day 14.5 (more )
Structure Level Pattern Image Note
TS23: rib Moderate Regionally restricted euxassay_003883_12
TS23: midgut Moderate Regionally restricted euxassay_003883_12
TS23: hindgut Moderate Regionally restricted euxassay_003883_12

Specimen euxassay_003883_13: embryonic day 14.5 (more )
Structure Level Pattern Image Note
TS23: midgut Strong Regionally restricted euxassay_003883_13
TS23: hindgut Strong Regionally restricted euxassay_003883_13
TS23: trachea Moderate Regionally restricted euxassay_003883_13

Specimen euxassay_003883_14: embryonic day 14.5 (more )
Structure Level Pattern Image Note
TS23: rib Moderate Regionally restricted euxassay_003883_14
TS23: midgut Strong Regionally restricted euxassay_003883_14
TS23: hindgut Strong Regionally restricted euxassay_003883_14

Specimen euxassay_003883_15: embryonic day 14.5 (more )
Structure Level Pattern Image Note
TS23: rib Moderate Regionally restricted euxassay_003883_15
TS23: midgut Strong Regionally restricted euxassay_003883_15
TS23: hindgut Strong Regionally restricted euxassay_003883_15
TS23: turbinate bone primordium Moderate Regionally restricted euxassay_003883_15
TS23: Meckel's cartilage Moderate Regionally restricted euxassay_003883_15

Specimen euxassay_003883_16: embryonic day 14.5 (more )
Structure Level Pattern Image Note
TS23: rib Moderate Regionally restricted euxassay_003883_16
TS23: submandibular gland primordium Moderate Regionally restricted euxassay_003883_16
TS23: midgut Strong Regionally restricted euxassay_003883_16
TS23: hindgut Strong Regionally restricted euxassay_003883_16
TS23: clavicle Moderate Regionally restricted euxassay_003883_16
TS23: turbinate bone primordium Moderate Regionally restricted euxassay_003883_16
TS23: Meckel's cartilage Moderate Regionally restricted euxassay_003883_16

Specimen euxassay_003883_17: embryonic day 14.5 (more )
Structure Level Pattern Image Note
TS23: rib Moderate Regionally restricted euxassay_003883_17
TS23: submandibular gland primordium Moderate Regionally restricted euxassay_003883_17
TS23: midgut Strong Regionally restricted euxassay_003883_17
TS23: hindgut Strong Regionally restricted euxassay_003883_17
TS23: turbinate bone primordium Moderate Regionally restricted euxassay_003883_17
TS23: Meckel's cartilage Moderate Regionally restricted euxassay_003883_17

Specimen euxassay_003883_18: embryonic day 14.5 (more )
Structure Level Pattern Image Note
TS23: rib Moderate Regionally restricted euxassay_003883_18
TS23: submandibular gland primordium Moderate Regionally restricted euxassay_003883_18
TS23: midgut Strong Regionally restricted euxassay_003883_18
TS23: turbinate bone primordium Moderate Regionally restricted euxassay_003883_18
TS23: Meckel's cartilage Moderate Regionally restricted euxassay_003883_18

Specimen euxassay_003883_19: embryonic day 14.5 (more )
Structure Level Pattern Image Note
TS23: rib Moderate Regionally restricted euxassay_003883_19
TS23: submandibular gland primordium Moderate Regionally restricted euxassay_003883_19
TS23: midgut Strong Regionally restricted euxassay_003883_19
TS23: Meckel's cartilage Moderate Regionally restricted euxassay_003883_19

Specimen euxassay_003883_20: embryonic day 14.5 (more )
Structure Level Pattern Image Note
TS23: rib Moderate Regionally restricted euxassay_003883_20
TS23: Meckel's cartilage Moderate Regionally restricted euxassay_003883_20

Specimen euxassay_003883_21: embryonic day 14.5 (more )
Structure Level Pattern Image Note
TS23: rib Moderate Regionally restricted euxassay_003883_21
TS23: Meckel's cartilage Moderate Regionally restricted euxassay_003883_21

Specimen euxassay_003883_22: embryonic day 14.5 (more )
Structure Level Pattern Image Note
TS23: rib Moderate Regionally restricted euxassay_003883_22
TS23: Meckel's cartilage Moderate Regionally restricted euxassay_003883_22

Specimen euxassay_003883_23: embryonic day 14.5 (more )
Structure Level Pattern Image Note
TS23: rib Moderate Regionally restricted euxassay_003883_23

Specimen euxassay_003883_24: embryonic day 14.5 (more )
Structure Level Pattern Image Note
TS23: rib Moderate Regionally restricted euxassay_003883_24


Contributing Projects:
Mouse Genome Database (MGD), Gene Expression Database (GXD), Mouse Models of Human Cancer database (MMHCdb) (formerly Mouse Tumor Biology (MTB)), Gene Ontology (GO)
Citing These Resources
Funding Information
Warranty Disclaimer, Privacy Notice, Licensing, & Copyright
Send questions and comments to User Support.
last database update
03/24/2026
MGI 6.24
The Jackson Laboratory