| Assay |
|
||||||||||||||||||||||||||||||||||||||||||||||||||||||||||||||||||||||||||||||||||||||||||||||||||||||||||||||||||||||||||||||||||||||||||||||||||||||||||||||||||||||||||||||||||||||||||||||||||||||||||||||||||||||||||||||||||||||||||||||||||||||||||||||||||||||||||||||||||||||||||||||||||||||||||||||||||||||||||||||||||||||||||||||||||||||||||||||||||||||||||||||||||||||||||||||||||||||||||||||||||||||||||||||||||||||||||||||||||||||||||||||||||||||||||||||||||||||||||||||||||||||||||||||||||||||||||||||||||||||||||||||||||||||||||||||||||||||||||||||||||||||||||||||||||||
| Results |
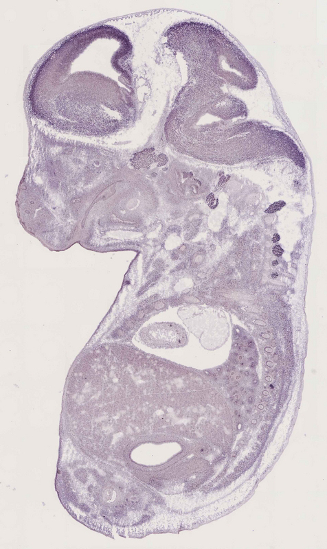
Specimen
euxassay_013785_01:
embryonic day 14.5
(more
)
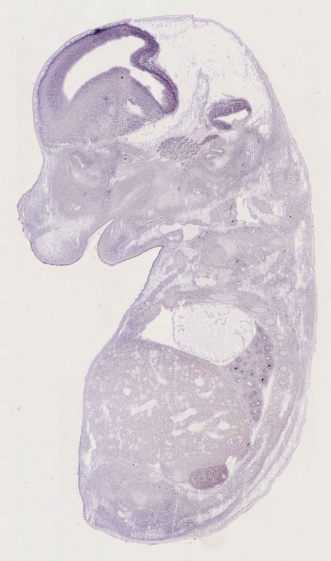
Specimen
euxassay_013785_02:
embryonic day 14.5
(more
)
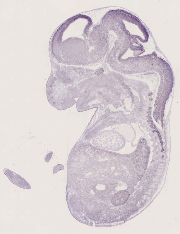
Specimen
euxassay_013785_03:
embryonic day 14.5
(more
)
Specimen
euxassay_013785_04:
embryonic day 14.5
(more
)
Specimen
euxassay_013785_05:
embryonic day 14.5
(more
)
Specimen
euxassay_013785_06:
embryonic day 14.5
(more
)
Specimen
euxassay_013785_07:
embryonic day 14.5
(more
)
Specimen
euxassay_013785_08:
embryonic day 14.5
(more
)
Specimen
euxassay_013785_09:
embryonic day 14.5
(more
)
Specimen
euxassay_013785_10:
embryonic day 14.5
(more
)
Specimen
euxassay_013785_11:
embryonic day 14.5
(more
)
Specimen
euxassay_013785_12:
embryonic day 14.5
(more
)
Specimen
euxassay_013785_13:
embryonic day 14.5
(more
)
Specimen
euxassay_013785_14:
embryonic day 14.5
(more
)
Specimen
euxassay_013785_15:
embryonic day 14.5
(more
)
Specimen
euxassay_013785_16:
embryonic day 14.5
(more
)
Specimen
euxassay_013785_17:
embryonic day 14.5
(more
)
Specimen
euxassay_013785_18:
embryonic day 14.5
(more
)
Specimen
euxassay_013785_19:
embryonic day 14.5
(more
)
Specimen
euxassay_013785_20:
embryonic day 14.5
(more
)
Specimen
euxassay_013785_21:
embryonic day 14.5
(more
)
Specimen
euxassay_013785_22:
embryonic day 14.5
(more
)
Specimen
euxassay_013785_23:
embryonic day 14.5
(more
)
Specimen
euxassay_013785_24:
embryonic day 14.5
(more
)
|
Mouse Genome Database (MGD), Gene Expression Database (GXD), Mouse Models of Human Cancer database (MMHCdb) (formerly Mouse Tumor Biology (MTB)), Gene Ontology (GO) |
||
|
Citing These Resources Funding Information Warranty Disclaimer, Privacy Notice, Licensing, & Copyright Send questions and comments to User Support. |
last database update 01/28/2026 MGI 6.24 |
|
|
|
||