About   Help   FAQ
Gene Expression Data
Assay Details
Assay
Reference: J:153498 Diez-Roux G, et al., A high-resolution anatomical atlas of the transcriptome in the mouse embryo. PLoS Biol. 2011;9(1):e1000582
Assay type: RNA in situ
MGI Accession ID: MGI:4825092
Gene symbol: Natd1
Gene name: N-acetyltransferase domain containing 1
Probe: MGC clone 46800
Probe preparation: Antisense labelled with digoxigenin RNA
Visualized with: Alkaline phosphatase
Assay notes: Cryosections of fresh frozen material were fixed in 4% paraformaldehyde for 20 min. before further processing. A tyramide-biotin/streptavidin amplification step was included in the in situ hybridization procedure.
Results
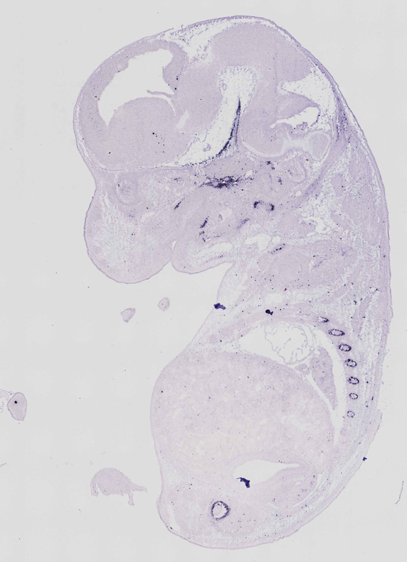
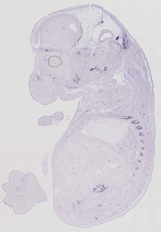
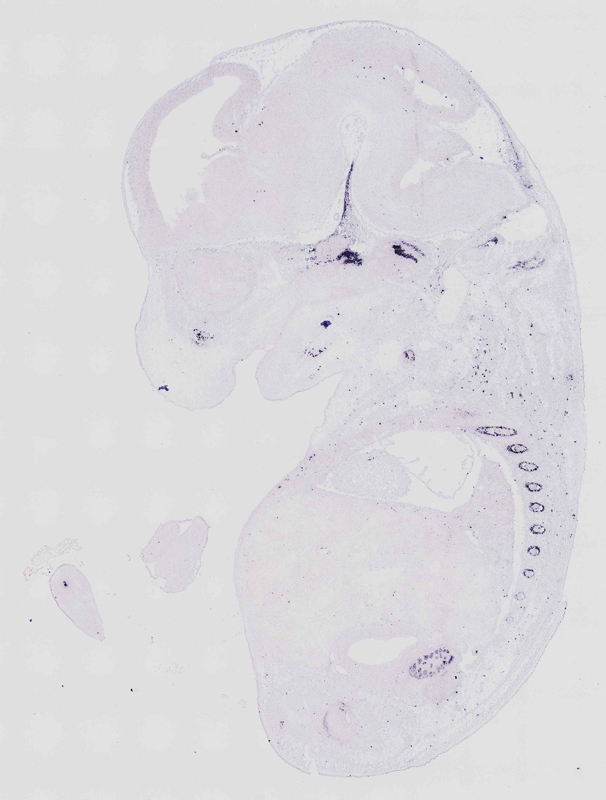
Specimen euxassay_007115_01: embryonic day 14.5 (more )
Structure Level Pattern Image Note
TS23: humerus Strong Regionally restricted euxassay_007115_01
TS23: telencephalon meninges Strong Regionally restricted euxassay_007115_01
TS23: trunk mesenchyme Strong Spotted euxassay_007115_01

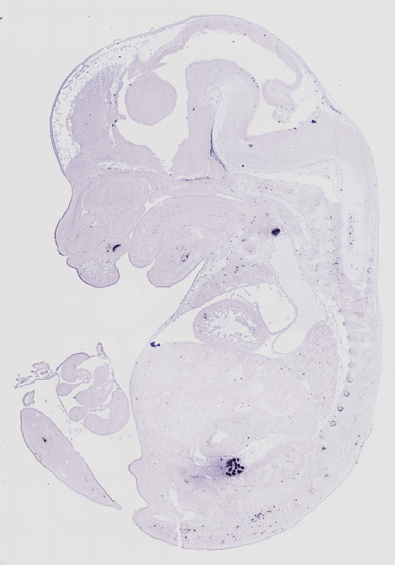
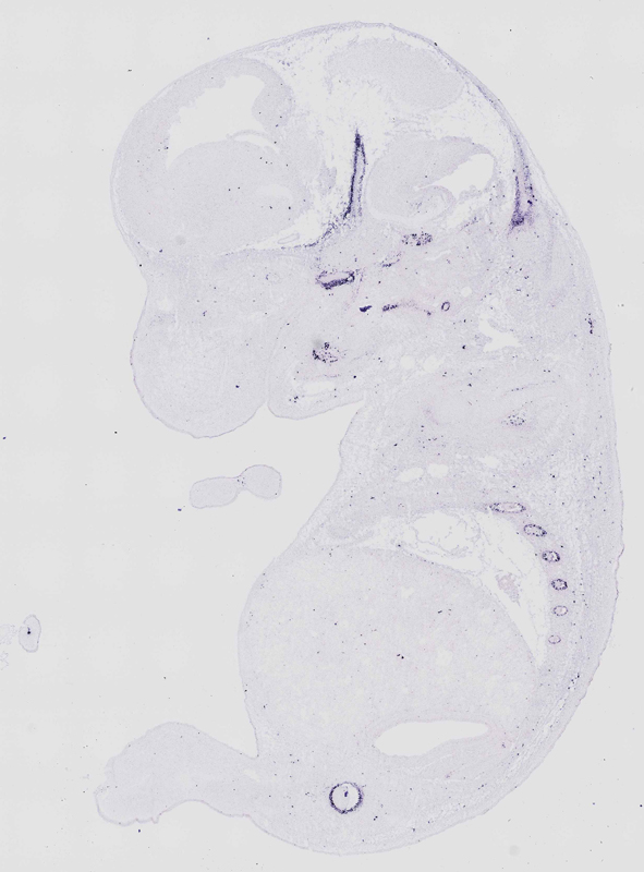
Specimen euxassay_007115_02: embryonic day 14.5 (more )
Structure Level Pattern Image Note
TS23: humerus Strong Regionally restricted euxassay_007115_02
TS23: rib Moderate Regionally restricted euxassay_007115_02
TS23: telencephalon meninges Strong Regionally restricted euxassay_007115_02
TS23: trunk mesenchyme Strong Spotted euxassay_007115_02

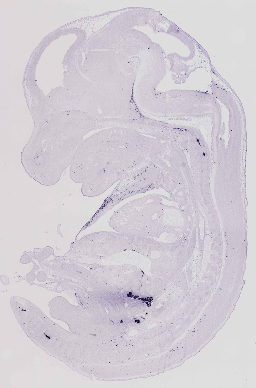
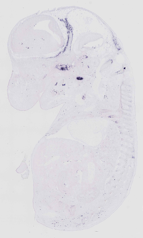
Specimen euxassay_007115_03: embryonic day 14.5 (more )
Structure Level Pattern Image Note
TS23: rib Moderate Regionally restricted euxassay_007115_03
TS23: telencephalon meninges Strong Regionally restricted euxassay_007115_03
TS23: mandible Strong Single cells euxassay_007115_03
TS23: trunk mesenchyme Strong Spotted euxassay_007115_03

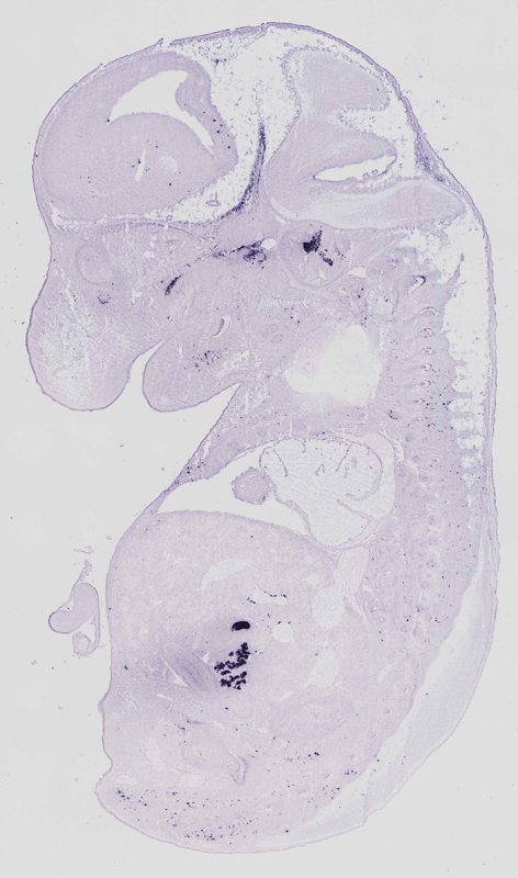
Specimen euxassay_007115_04: embryonic day 14.5 (more )
Structure Level Pattern Image Note
TS23: femur Strong Regionally restricted euxassay_007115_04
TS23: rib Strong Regionally restricted euxassay_007115_04
TS23: telencephalon meninges Strong Regionally restricted euxassay_007115_04
TS23: mandible Strong Single cells euxassay_007115_04
TS23: trunk mesenchyme Strong Spotted euxassay_007115_04

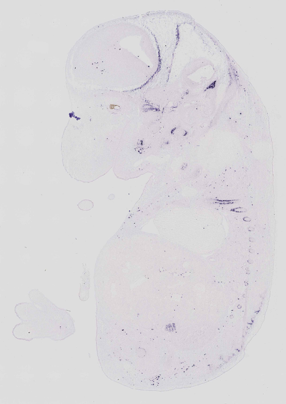
Specimen euxassay_007115_05: embryonic day 14.5 (more )
Structure Level Pattern Image Note
TS23: femur Strong Regionally restricted euxassay_007115_05
TS23: rib Strong Regionally restricted euxassay_007115_05
TS23: telencephalon meninges Strong Regionally restricted euxassay_007115_05
TS23: mandible Strong Single cells euxassay_007115_05
TS23: trunk mesenchyme Strong Spotted euxassay_007115_05

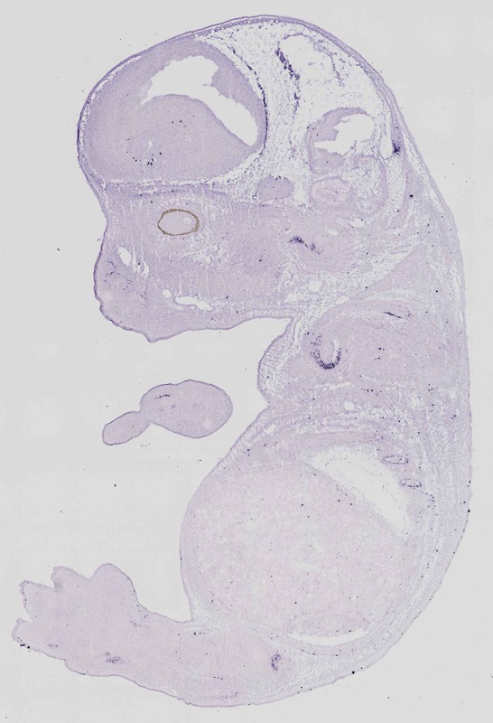
Specimen euxassay_007115_06: embryonic day 14.5 (more )
Structure Level Pattern Image Note
TS23: femur Strong Regionally restricted euxassay_007115_06
TS23: rib Strong Regionally restricted euxassay_007115_06
TS23: testis Moderate Regionally restricted euxassay_007115_06
TS23: telencephalon meninges Strong Regionally restricted euxassay_007115_06
TS23: mandible Strong Single cells euxassay_007115_06
TS23: clavicle Moderate Single cells euxassay_007115_06
TS23: trunk mesenchyme Strong Spotted euxassay_007115_06

Specimen euxassay_007115_07: embryonic day 14.5 (more )
Structure Level Pattern Image Note
TS23: rib Strong Regionally restricted euxassay_007115_07
TS23: testis Moderate Regionally restricted euxassay_007115_07
TS23: telencephalon meninges Strong Regionally restricted euxassay_007115_07
TS23: mandible Strong Single cells euxassay_007115_07
TS23: maxilla Strong Single cells euxassay_007115_07
TS23: clavicle Strong Single cells euxassay_007115_07
TS23: trunk mesenchyme Strong Spotted euxassay_007115_07

Specimen euxassay_007115_08: embryonic day 14.5 (more )
Structure Level Pattern Image Note
TS23: rib Strong Regionally restricted euxassay_007115_08
TS23: testis Moderate Regionally restricted euxassay_007115_08
TS23: telencephalon meninges Strong Regionally restricted euxassay_007115_08
TS23: maxilla Strong Single cells euxassay_007115_08
TS23: mandible Strong Single cells euxassay_007115_08
TS23: clavicle Strong Single cells euxassay_007115_08
TS23: trunk mesenchyme Strong Spotted euxassay_007115_08

Specimen euxassay_007115_09: embryonic day 14.5 (more )
Structure Level Pattern Image Note
TS23: rib Moderate Regionally restricted euxassay_007115_09
TS23: testis Moderate Regionally restricted euxassay_007115_09
TS23: maxilla Strong Single cells euxassay_007115_09
TS23: mandible Strong Single cells euxassay_007115_09
TS23: clavicle Moderate Single cells euxassay_007115_09
TS23: trunk mesenchyme Strong Spotted euxassay_007115_09

Specimen euxassay_007115_10: embryonic day 14.5 (more )
Structure Level Pattern Image Note
TS23: rib Moderate Regionally restricted euxassay_007115_10
TS23: pancreas Strong Regionally restricted euxassay_007115_10
TS23: trunk mesenchyme Strong Spotted euxassay_007115_10

Specimen euxassay_007115_11: embryonic day 14.5 (more )
Structure Level Pattern Image Note
TS23: pancreas Strong Regionally restricted euxassay_007115_11
TS23: trunk mesenchyme Strong Spotted euxassay_007115_11

Specimen euxassay_007115_12: embryonic day 14.5 (more )
Structure Level Pattern Image Note
TS23: pancreas Strong Regionally restricted euxassay_007115_12
TS23: trunk mesenchyme Strong Spotted euxassay_007115_12

Specimen euxassay_007115_13: embryonic day 14.5 (more )
Structure Level Pattern Image Note
TS23: pancreas Strong Regionally restricted euxassay_007115_13
TS23: trunk mesenchyme Strong Spotted euxassay_007115_13

Specimen euxassay_007115_14: embryonic day 14.5 (more )
Structure Level Pattern Image Note
TS23: pancreas Strong Regionally restricted euxassay_007115_14
TS23: trunk mesenchyme Strong Spotted euxassay_007115_14

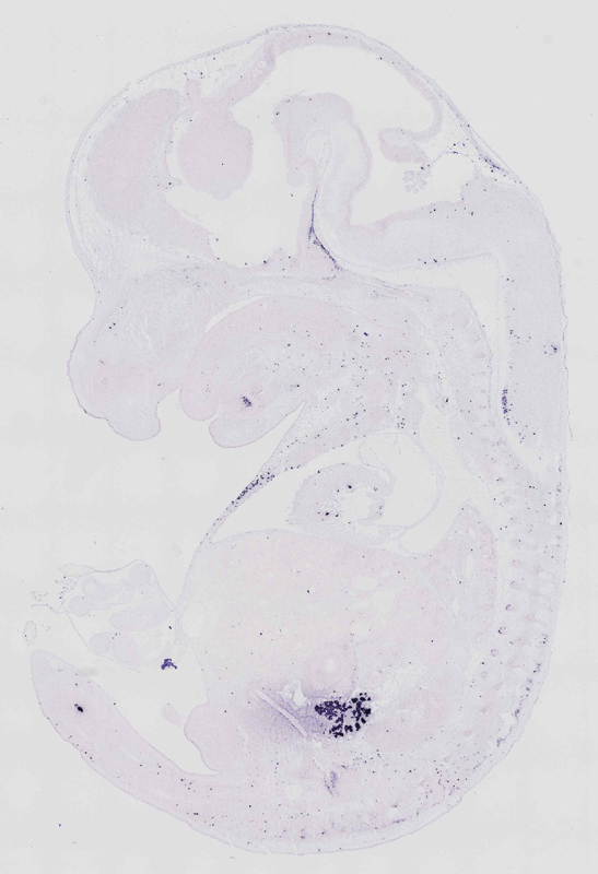
Specimen euxassay_007115_15: embryonic day 14.5 (more )
Structure Level Pattern Image Note
TS23: telencephalon meninges Strong Regionally restricted euxassay_007115_15
TS23: trunk mesenchyme Strong Spotted euxassay_007115_15

Specimen euxassay_007115_16: embryonic day 14.5 (more )
Structure Level Pattern Image Note
TS23: pancreas Strong Regionally restricted euxassay_007115_16
TS23: telencephalon meninges Strong Regionally restricted euxassay_007115_16
TS23: maxilla Strong Single cells euxassay_007115_16
TS23: trunk mesenchyme Strong Spotted euxassay_007115_16

Specimen euxassay_007115_17: embryonic day 14.5 (more )
Structure Level Pattern Image Note
TS23: pancreas Strong Regionally restricted euxassay_007115_17
TS23: telencephalon meninges Strong Regionally restricted euxassay_007115_17
TS23: maxilla Strong Single cells euxassay_007115_17
TS23: mandible Strong Single cells euxassay_007115_17
TS23: trunk mesenchyme Strong Spotted euxassay_007115_17

Specimen euxassay_007115_18: embryonic day 14.5 (more )
Structure Level Pattern Image Note
TS23: pancreas Strong Regionally restricted euxassay_007115_18
TS23: telencephalon meninges Strong Regionally restricted euxassay_007115_18
TS23: mandible Strong Single cells euxassay_007115_18
TS23: trunk mesenchyme Strong Spotted euxassay_007115_18

Specimen euxassay_007115_19: embryonic day 14.5 (more )
Structure Level Pattern Image Note
TS23: telencephalon meninges Strong Regionally restricted euxassay_007115_19
TS23: mandible Strong Single cells euxassay_007115_19
TS23: clavicle Strong Single cells euxassay_007115_19
TS23: trunk mesenchyme Strong Spotted euxassay_007115_19

Specimen euxassay_007115_20: embryonic day 14.5 (more )
Structure Level Pattern Image Note
TS23: rib Moderate Regionally restricted euxassay_007115_20
TS23: testis Moderate Regionally restricted euxassay_007115_20
TS23: telencephalon meninges Strong Regionally restricted euxassay_007115_20
TS23: mandible Strong Single cells euxassay_007115_20
TS23: clavicle Moderate Single cells euxassay_007115_20
TS23: trunk mesenchyme Strong Spotted euxassay_007115_20

Specimen euxassay_007115_21: embryonic day 14.5 (more )
Structure Level Pattern Image Note
TS23: rib Strong Regionally restricted euxassay_007115_21
TS23: testis Moderate Regionally restricted euxassay_007115_21
TS23: telencephalon meninges Strong Regionally restricted euxassay_007115_21
TS23: mandible Strong Single cells euxassay_007115_21
TS23: trunk mesenchyme Strong Spotted euxassay_007115_21

Specimen euxassay_007115_22: embryonic day 14.5 (more )
Structure Level Pattern Image Note
TS23: femur Strong Regionally restricted euxassay_007115_22
TS23: rib Strong Regionally restricted euxassay_007115_22
TS23: testis Moderate Regionally restricted euxassay_007115_22
TS23: telencephalon meninges Strong Regionally restricted euxassay_007115_22
TS23: mandible Strong Single cells euxassay_007115_22
TS23: trunk mesenchyme Strong Spotted euxassay_007115_22

Specimen euxassay_007115_23: embryonic day 14.5 (more )
Structure Level Pattern Image Note
TS23: femur Strong Regionally restricted euxassay_007115_23
TS23: rib Strong Regionally restricted euxassay_007115_23
TS23: testis Moderate Regionally restricted euxassay_007115_23
TS23: telencephalon meninges Strong Regionally restricted euxassay_007115_23
TS23: trunk mesenchyme Strong Spotted euxassay_007115_23

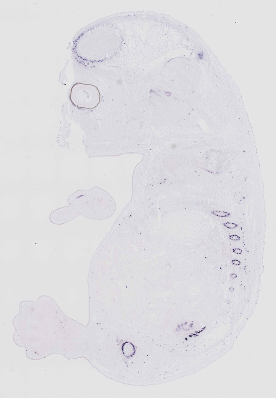
Specimen euxassay_007115_24: embryonic day 14.5 (more )
Structure Level Pattern Image Note
TS23: humerus Strong Regionally restricted euxassay_007115_24
TS23: femur Moderate Regionally restricted euxassay_007115_24
TS23: rib Moderate Regionally restricted euxassay_007115_24
TS23: trunk mesenchyme Strong Spotted euxassay_007115_24


Contributing Projects:
Mouse Genome Database (MGD), Gene Expression Database (GXD), Mouse Models of Human Cancer database (MMHCdb) (formerly Mouse Tumor Biology (MTB)), Gene Ontology (GO)
Citing These Resources
Funding Information
Warranty Disclaimer, Privacy Notice, Licensing, & Copyright
Send questions and comments to User Support.
last database update
12/30/2025
MGI 6.24
The Jackson Laboratory