About   Help   FAQ
Gene Expression Data
Assay Details
Assay
Reference: J:153498 Diez-Roux G, et al., A high-resolution anatomical atlas of the transcriptome in the mouse embryo. PLoS Biol. 2011;9(1):e1000582
Assay type: RNA in situ
MGI Accession ID: MGI:4825091
Gene symbol: Prob1
Gene name: proline rich basic protein 1
Probe: T39794
Probe preparation: Antisense labelled with digoxigenin RNA
Visualized with: Alkaline phosphatase
Assay notes: Cryosections of fresh frozen material were fixed in 4% paraformaldehyde for 20 min. before further processing. A tyramide-biotin/streptavidin amplification step was included in the in situ hybridization procedure.
Results
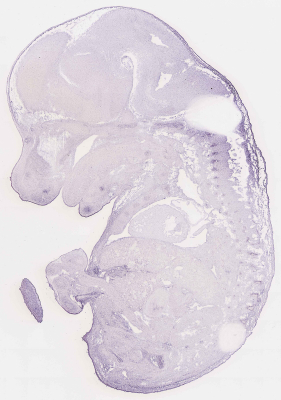
Specimen euxassay_016086_01: embryonic day 14.5 (more )
Structure Level Pattern Image Note
TS23: humerus Weak Regionally restricted euxassay_016086_01
TS23: tibia Moderate Regionally restricted euxassay_016086_01
TS23: fibula Moderate Regionally restricted euxassay_016086_01

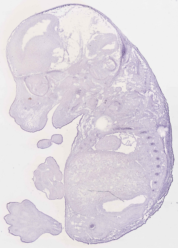
Specimen euxassay_016086_02: embryonic day 14.5 (more )
Structure Level Pattern Image Note
TS23: humerus Weak Regionally restricted euxassay_016086_02
TS23: rib Moderate Regionally restricted euxassay_016086_02
TS23: femur Moderate Regionally restricted euxassay_016086_02

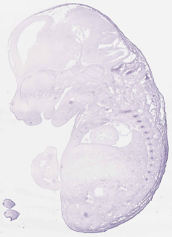
Specimen euxassay_016086_03: embryonic day 14.5 (more )
Structure Level Pattern Image Note
TS23: humerus Weak Regionally restricted euxassay_016086_03
TS23: rib Moderate Regionally restricted euxassay_016086_03
TS23: femur Moderate Regionally restricted euxassay_016086_03
TS23: scapula Weak Regionally restricted euxassay_016086_03

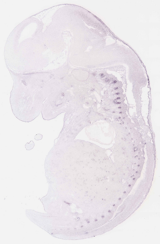
Specimen euxassay_016086_04: embryonic day 14.5 (more )
Structure Level Pattern Image Note
TS23: humerus Weak Regionally restricted euxassay_016086_04
TS23: rib Moderate Regionally restricted euxassay_016086_04
TS23: femur Weak Regionally restricted euxassay_016086_04
TS23: scapula Weak Regionally restricted euxassay_016086_04
TS23: Meckel's cartilage Weak Regionally restricted euxassay_016086_04

Specimen euxassay_016086_05: embryonic day 14.5 (more )
Structure Level Pattern Image Note
TS23: rib Moderate Regionally restricted euxassay_016086_05
TS23: femur Weak Regionally restricted euxassay_016086_05

Specimen euxassay_016086_06: embryonic day 14.5 (more )
Structure Level Pattern Image Note
TS23: rib Moderate Regionally restricted euxassay_016086_06
TS23: femur Weak Regionally restricted euxassay_016086_06
TS23: Meckel's cartilage Weak Regionally restricted euxassay_016086_06

Specimen euxassay_016086_07: embryonic day 14.5 (more )
Structure Level Pattern Image Note
TS23: rib Moderate Regionally restricted euxassay_016086_07
TS23: femur Weak Regionally restricted euxassay_016086_07
TS23: Meckel's cartilage Weak Regionally restricted euxassay_016086_07

Specimen euxassay_016086_08: embryonic day 14.5 (more )
Structure Level Pattern Image Note
TS23: axial skeleton Weak Regionally restricted euxassay_016086_08
TS23: rib Weak Regionally restricted euxassay_016086_08
TS23: femur Weak Regionally restricted euxassay_016086_08
TS23: Meckel's cartilage Weak Regionally restricted euxassay_016086_08

Specimen euxassay_016086_09: embryonic day 14.5 (more )
Structure Level Pattern Image Note
TS23: axial skeleton Weak Regionally restricted euxassay_016086_09
TS23: pelvic girdle skeleton Weak Regionally restricted euxassay_016086_09
TS23: Meckel's cartilage Weak Regionally restricted euxassay_016086_09

Specimen euxassay_016086_10: embryonic day 14.5 (more )
Structure Level Pattern Image Note
TS23: axial skeleton Weak Regionally restricted euxassay_016086_10

Specimen euxassay_016086_11: embryonic day 14.5 (more )
Structure Level Pattern Image Note
TS23: axial skeleton Weak Regionally restricted euxassay_016086_11
TS23: Meckel's cartilage Weak Regionally restricted euxassay_016086_11

Specimen euxassay_016086_12: embryonic day 14.5 (more )
Structure Level Pattern Image Note
TS23: axial skeleton Moderate Regionally restricted euxassay_016086_12
TS23: Meckel's cartilage Weak Regionally restricted euxassay_016086_12

Specimen euxassay_016086_13: embryonic day 14.5 (more )
Structure Level Pattern Image Note
TS23: axial skeleton Moderate Regionally restricted euxassay_016086_13
TS23: Meckel's cartilage Weak Regionally restricted euxassay_016086_13

Specimen euxassay_016086_14: embryonic day 14.5 (more )
Structure Level Pattern Image Note
TS23: axial skeleton Moderate Regionally restricted euxassay_016086_14
TS23: Meckel's cartilage Weak Regionally restricted euxassay_016086_14

Specimen euxassay_016086_15: embryonic day 14.5 (more )
Structure Level Pattern Image Note
TS23: axial skeleton Moderate Regionally restricted euxassay_016086_15
TS23: Meckel's cartilage Weak Regionally restricted euxassay_016086_15

Specimen euxassay_016086_16: embryonic day 14.5 (more )
Structure Level Pattern Image Note
TS23: axial skeleton Moderate Regionally restricted euxassay_016086_16
TS23: pelvic girdle skeleton Moderate Regionally restricted euxassay_016086_16
TS23: Meckel's cartilage Weak Regionally restricted euxassay_016086_16

Specimen euxassay_016086_17: embryonic day 14.5 (more )
Structure Level Pattern Image Note
TS23: rib Moderate Regionally restricted euxassay_016086_17
TS23: femur Weak Regionally restricted euxassay_016086_17

Specimen euxassay_016086_18: embryonic day 14.5 (more )
Structure Level Pattern Image Note
TS23: humerus Weak Regionally restricted euxassay_016086_18
TS23: rib Moderate Regionally restricted euxassay_016086_18
TS23: femur Weak Regionally restricted euxassay_016086_18

Specimen euxassay_016086_19: embryonic day 14.5 (more )
Structure Level Pattern Image Note
TS23: humerus Weak Regionally restricted euxassay_016086_19
TS23: rib Weak Regionally restricted euxassay_016086_19
TS23: femur Moderate Regionally restricted euxassay_016086_19
TS23: scapula Weak Regionally restricted euxassay_016086_19

Specimen euxassay_016086_20: embryonic day 14.5 (more )
Structure Level Pattern Image Note
TS23: humerus Weak Regionally restricted euxassay_016086_20
TS23: rib Weak Regionally restricted euxassay_016086_20
TS23: femur Weak Regionally restricted euxassay_016086_20
TS23: scapula Weak Regionally restricted euxassay_016086_20

Specimen euxassay_016086_21: embryonic day 14.5 (more )
Structure Level Pattern Image Note
TS23: humerus Weak Regionally restricted euxassay_016086_21
TS23: rib Weak Regionally restricted euxassay_016086_21
TS23: femur Weak Regionally restricted euxassay_016086_21
TS23: scapula Weak Regionally restricted euxassay_016086_21


Contributing Projects:
Mouse Genome Database (MGD), Gene Expression Database (GXD), Mouse Models of Human Cancer database (MMHCdb) (formerly Mouse Tumor Biology (MTB)), Gene Ontology (GO)
Citing These Resources
Funding Information
Warranty Disclaimer, Privacy Notice, Licensing, & Copyright
Send questions and comments to User Support.
last database update
12/30/2025
MGI 6.24
The Jackson Laboratory