About   Help   FAQ
Gene Expression Data
Assay Details
Assay
Reference: J:153498 Diez-Roux G, et al., A high-resolution anatomical atlas of the transcriptome in the mouse embryo. PLoS Biol. 2011;9(1):e1000582
Assay type: RNA in situ
MGI Accession ID: MGI:4825088
Gene symbol: Hectd4
Gene name: HECT domain E3 ubiquitin protein ligase 4
Probe: T32122
Probe preparation: Antisense labelled with digoxigenin RNA
Visualized with: Alkaline phosphatase
Assay notes: Cryosections of fresh frozen material were fixed in 4% paraformaldehyde for 20 min. before further processing. A tyramide-biotin/streptavidin amplification step was included in the in situ hybridization procedure.
Results
Specimen euxassay_010071_01: embryonic day 14.5 (more )
Structure Level Pattern Image Note
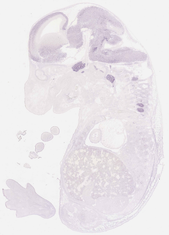
TS23: neural retina Moderate Regionally restricted euxassay_010071_01
TS23: brain Moderate Regionally restricted euxassay_010071_01

Specimen euxassay_010071_02: embryonic day 14.5 (more )
Structure Level Pattern Image Note
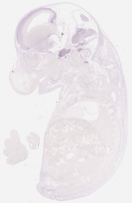
TS23: neural retina Moderate Regionally restricted euxassay_010071_02
TS23: brain Moderate Regionally restricted euxassay_010071_02

Specimen euxassay_010071_03: embryonic day 14.5 (more )
Structure Level Pattern Image Note
TS23: trigeminal ganglion Moderate Regionally restricted euxassay_010071_03
TS23: brain Moderate Regionally restricted euxassay_010071_03

Specimen euxassay_010071_04: embryonic day 14.5 (more )
Structure Level Pattern Image Note
TS23: trigeminal ganglion Moderate Regionally restricted euxassay_010071_04
TS23: brain Moderate Regionally restricted euxassay_010071_04

Specimen euxassay_010071_05: embryonic day 14.5 (more )
Structure Level Pattern Image Note
TS23: trigeminal ganglion Moderate Regionally restricted euxassay_010071_05
TS23: brain Moderate Regionally restricted euxassay_010071_05

Specimen euxassay_010071_06: embryonic day 14.5 (more )
Structure Level Pattern Image Note
TS23: trigeminal ganglion Moderate Regionally restricted euxassay_010071_06
TS23: vestibulo-cochlear ganglion Moderate Regionally restricted euxassay_010071_06
TS23: brain Moderate Regionally restricted euxassay_010071_06

Specimen euxassay_010071_07: embryonic day 14.5 (more )
Structure Level Pattern Image Note
TS23: glossopharyngeal ganglion Moderate Regionally restricted euxassay_010071_07
TS23: trigeminal ganglion Moderate Regionally restricted euxassay_010071_07
TS23: vestibulo-cochlear ganglion Moderate Regionally restricted euxassay_010071_07
TS23: brain Moderate Regionally restricted euxassay_010071_07
TS23: dorsal root ganglion Moderate Regionally restricted euxassay_010071_07

Specimen euxassay_010071_08: embryonic day 14.5 (more )
Structure Level Pattern Image Note
TS23: trigeminal nerve Moderate Regionally restricted euxassay_010071_08
TS23: vestibulo-cochlear ganglion Moderate Regionally restricted euxassay_010071_08
TS23: trigeminal ganglion Moderate Regionally restricted euxassay_010071_08
TS23: glossopharyngeal ganglion Moderate Regionally restricted euxassay_010071_08
TS23: brain Moderate Regionally restricted euxassay_010071_08
TS23: spinal cord Moderate Regionally restricted euxassay_010071_08
TS23: dorsal root ganglion Moderate Regionally restricted euxassay_010071_08

Specimen euxassay_010071_09: embryonic day 14.5 (more )
Structure Level Pattern Image Note
TS23: spinal cord Moderate Regionally restricted euxassay_010071_09
TS23: brain Moderate Regionally restricted euxassay_010071_09
TS23: dorsal root ganglion Moderate Regionally restricted euxassay_010071_09
TS23: cervico-thoracic ganglion Weak Regionally restricted euxassay_010071_09
TS23: cervical ganglion Weak Regionally restricted euxassay_010071_09

Specimen euxassay_010071_10: embryonic day 14.5 (more )
Structure Level Pattern Image Note
TS23: spinal cord Moderate Regionally restricted euxassay_010071_10
TS23: brain Moderate Regionally restricted euxassay_010071_10

Specimen euxassay_010071_11: embryonic day 14.5 (more )
Structure Level Pattern Image Note
TS23: spinal cord Moderate Regionally restricted euxassay_010071_11
TS23: brain Moderate Regionally restricted euxassay_010071_11
TS23: dorsal root ganglion Moderate Regionally restricted euxassay_010071_11

Specimen euxassay_010071_12: embryonic day 14.5 (more )
Structure Level Pattern Image Note
TS23: spinal cord Moderate Regionally restricted euxassay_010071_12
TS23: brain Moderate Regionally restricted euxassay_010071_12
TS23: dorsal root ganglion Moderate Regionally restricted euxassay_010071_12

Specimen euxassay_010071_13: embryonic day 14.5 (more )
Structure Level Pattern Image Note
TS23: spinal cord Moderate Regionally restricted euxassay_010071_13
TS23: brain Moderate Regionally restricted euxassay_010071_13
TS23: dorsal root ganglion Moderate Regionally restricted euxassay_010071_13

Specimen euxassay_010071_14: embryonic day 14.5 (more )
Structure Level Pattern Image Note
TS23: spinal cord Moderate Regionally restricted euxassay_010071_14
TS23: brain Moderate Regionally restricted euxassay_010071_14
TS23: dorsal root ganglion Moderate Regionally restricted euxassay_010071_14

Specimen euxassay_010071_15: embryonic day 14.5 (more )
Structure Level Pattern Image Note
TS23: spinal cord Moderate Regionally restricted euxassay_010071_15
TS23: brain Moderate Regionally restricted euxassay_010071_15
TS23: dorsal root ganglion Moderate Regionally restricted euxassay_010071_15

Specimen euxassay_010071_16: embryonic day 14.5 (more )
Structure Level Pattern Image Note
TS23: trigeminal ganglion Moderate Regionally restricted euxassay_010071_16
TS23: trigeminal nerve Moderate Regionally restricted euxassay_010071_16
TS23: spinal cord Moderate Regionally restricted euxassay_010071_16
TS23: brain Moderate Regionally restricted euxassay_010071_16
TS23: dorsal root ganglion Moderate Regionally restricted euxassay_010071_16
TS23: cervico-thoracic ganglion Weak Regionally restricted euxassay_010071_16

Specimen euxassay_010071_17: embryonic day 14.5 (more )
Structure Level Pattern Image Note
TS23: trigeminal ganglion Moderate Regionally restricted euxassay_010071_17
TS23: spinal cord Moderate Regionally restricted euxassay_010071_17
TS23: brain Moderate Regionally restricted euxassay_010071_17
TS23: dorsal root ganglion Moderate Regionally restricted euxassay_010071_17
TS23: cervical ganglion Weak Regionally restricted euxassay_010071_17

Specimen euxassay_010071_18: embryonic day 14.5 (more )
Structure Level Pattern Image Note
TS23: vestibulo-cochlear ganglion Moderate Regionally restricted euxassay_010071_18
TS23: vagus ganglion Moderate Regionally restricted euxassay_010071_18
TS23: trigeminal ganglion Moderate Regionally restricted euxassay_010071_18
TS23: brain Moderate Regionally restricted euxassay_010071_18
TS23: dorsal root ganglion Moderate Regionally restricted euxassay_010071_18

Specimen euxassay_010071_19: embryonic day 14.5 (more )
Structure Level Pattern Image Note
TS23: trigeminal ganglion Moderate Regionally restricted euxassay_010071_19
TS23: vestibulo-cochlear ganglion Moderate Regionally restricted euxassay_010071_19
TS23: glossopharyngeal ganglion Moderate Regionally restricted euxassay_010071_19
TS23: brain Moderate Regionally restricted euxassay_010071_19
TS23: dorsal root ganglion Moderate Regionally restricted euxassay_010071_19

Specimen euxassay_010071_20: embryonic day 14.5 (more )
Structure Level Pattern Image Note
TS23: trigeminal ganglion Moderate Regionally restricted euxassay_010071_20
TS23: facial ganglion Moderate Regionally restricted euxassay_010071_20
TS23: brain Moderate Regionally restricted euxassay_010071_20

Specimen euxassay_010071_21: embryonic day 14.5 (more )
Structure Level Pattern Image Note
TS23: trigeminal ganglion Moderate Regionally restricted euxassay_010071_21
TS23: facial ganglion Moderate Regionally restricted euxassay_010071_21
TS23: brain Moderate Regionally restricted euxassay_010071_21

Specimen euxassay_010071_22: embryonic day 14.5 (more )
Structure Level Pattern Image Note
TS23: neural retina Moderate Regionally restricted euxassay_010071_22
TS23: trigeminal ganglion Moderate Regionally restricted euxassay_010071_22
TS23: brain Moderate Regionally restricted euxassay_010071_22

Specimen euxassay_010071_23: embryonic day 14.5 (more )
Structure Level Pattern Image Note
TS23: neural retina Moderate Regionally restricted euxassay_010071_23
TS23: brain Moderate Regionally restricted euxassay_010071_23

Specimen euxassay_010071_24: embryonic day 14.5 (more )
Structure Level Pattern Image Note
TS23: neural retina Moderate Regionally restricted euxassay_010071_24
TS23: brain Moderate Regionally restricted euxassay_010071_24


Contributing Projects:
Mouse Genome Database (MGD), Gene Expression Database (GXD), Mouse Models of Human Cancer database (MMHCdb) (formerly Mouse Tumor Biology (MTB)), Gene Ontology (GO)
Citing These Resources
Funding Information
Warranty Disclaimer, Privacy Notice, Licensing, & Copyright
Send questions and comments to User Support.
last database update
12/30/2025
MGI 6.24
The Jackson Laboratory