About   Help   FAQ
Gene Expression Data
Assay Details
Assay
Reference: J:153498 Diez-Roux G, et al., A high-resolution anatomical atlas of the transcriptome in the mouse embryo. PLoS Biol. 2011;9(1):e1000582
Assay type: RNA in situ
MGI Accession ID: MGI:4825084
Gene symbol: Zfp663
Gene name: zinc finger protein 663
Probe: MGC clone 86131
Probe preparation: Antisense labelled with digoxigenin RNA
Visualized with: Alkaline phosphatase
Assay notes: Cryosections of fresh frozen material were fixed in 4% paraformaldehyde for 20 min. before further processing. A tyramide-biotin/streptavidin amplification step was included in the in situ hybridization procedure.
Results
Specimen euxassay_006315_01: embryonic day 14.5 (more )
Structure Level Pattern Image Note
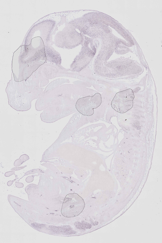
TS23: brain Moderate Regionally restricted euxassay_006315_01
TS23: cranial musculature Moderate Spotted euxassay_006315_01

Specimen euxassay_006315_02: embryonic day 14.5 (more )
Structure Level Pattern Image Note
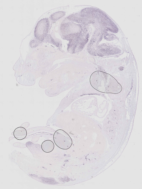
TS23: trigeminal ganglion Moderate Regionally restricted euxassay_006315_02
TS23: brain Moderate Regionally restricted euxassay_006315_02
TS23: retina Moderate Regionally restricted euxassay_006315_02
TS23: lung Weak Spotted euxassay_006315_02
TS23: pectoral girdle and thoracic body wall musculature Moderate Spotted euxassay_006315_02
TS23: cranial musculature Moderate Spotted euxassay_006315_02
TS23: pelvic girdle musculature Moderate Spotted euxassay_006315_02

Specimen euxassay_006315_03: embryonic day 14.5 (more )
Structure Level Pattern Image Note
TS23: trigeminal ganglion Moderate Regionally restricted euxassay_006315_03
TS23: facial ganglion Moderate Regionally restricted euxassay_006315_03
TS23: brain Moderate Regionally restricted euxassay_006315_03
TS23: spinal cord Moderate Regionally restricted euxassay_006315_03
TS23: dorsal root ganglion Moderate Regionally restricted euxassay_006315_03
TS23: retina Moderate Regionally restricted euxassay_006315_03
TS23: anterior abdominal wall musculature Moderate Regionally restricted euxassay_006315_03
TS23: lung Weak Spotted euxassay_006315_03
TS23: pelvic girdle musculature Moderate Spotted euxassay_006315_03

Specimen euxassay_006315_04: embryonic day 14.5 (more )
Structure Level Pattern Image Note
TS23: trigeminal ganglion Moderate Regionally restricted euxassay_006315_04
TS23: facial ganglion Moderate Regionally restricted euxassay_006315_04
TS23: glossopharyngeal ganglion Moderate Regionally restricted euxassay_006315_04
TS23: vestibulo-cochlear ganglion Moderate Regionally restricted euxassay_006315_04
TS23: brain Moderate Regionally restricted euxassay_006315_04
TS23: spinal cord Moderate Regionally restricted euxassay_006315_04
TS23: dorsal root ganglion Moderate Regionally restricted euxassay_006315_04
TS23: retina Moderate Regionally restricted euxassay_006315_04
TS23: anterior abdominal wall musculature Moderate Regionally restricted euxassay_006315_04
TS23: lung Weak Spotted euxassay_006315_04
TS23: pelvic girdle musculature Moderate Spotted euxassay_006315_04
TS23: cranial musculature Moderate Spotted euxassay_006315_04

Specimen euxassay_006315_05: embryonic day 14.5 (more )
Structure Level Pattern Image Note
TS23: glossopharyngeal ganglion Moderate Regionally restricted euxassay_006315_05
TS23: vestibulo-cochlear ganglion Moderate Regionally restricted euxassay_006315_05
TS23: brain Moderate Regionally restricted euxassay_006315_05
TS23: spinal cord Moderate Regionally restricted euxassay_006315_05
TS23: dorsal root ganglion Moderate Regionally restricted euxassay_006315_05
TS23: cervical ganglion Moderate Regionally restricted euxassay_006315_05
TS23: lung Weak Spotted euxassay_006315_05
TS23: pelvic girdle musculature Moderate Spotted euxassay_006315_05
TS23: cranial musculature Moderate Spotted euxassay_006315_05

Specimen euxassay_006315_06: embryonic day 14.5 (more )
Structure Level Pattern Image Note
TS23: trigeminal ganglion Moderate Regionally restricted euxassay_006315_06
TS23: vestibulo-cochlear ganglion Moderate Regionally restricted euxassay_006315_06
TS23: brain Moderate Regionally restricted euxassay_006315_06
TS23: spinal cord Moderate Regionally restricted euxassay_006315_06
TS23: dorsal root ganglion Moderate Regionally restricted euxassay_006315_06
TS23: cervico-thoracic ganglion Moderate Regionally restricted euxassay_006315_06
TS23: cervical ganglion Moderate Regionally restricted euxassay_006315_06
TS23: lung Weak Spotted euxassay_006315_06
TS23: cranial musculature Moderate Spotted euxassay_006315_06
TS23: pelvic girdle musculature Moderate Spotted euxassay_006315_06

Specimen euxassay_006315_07: embryonic day 14.5 (more )
Structure Level Pattern Image Note
TS23: trigeminal ganglion Moderate Regionally restricted euxassay_006315_07
TS23: brain Moderate Regionally restricted euxassay_006315_07
TS23: spinal cord Moderate Regionally restricted euxassay_006315_07
TS23: dorsal root ganglion Moderate Regionally restricted euxassay_006315_07
TS23: lung Weak Spotted euxassay_006315_07
TS23: pelvic girdle musculature Moderate Spotted euxassay_006315_07
TS23: cranial musculature Moderate Spotted euxassay_006315_07
TS23: pectoral girdle and thoracic body wall musculature Moderate Spotted euxassay_006315_07

Specimen euxassay_006315_08: embryonic day 14.5 (more )
Structure Level Pattern Image Note
TS23: trigeminal ganglion Moderate Regionally restricted euxassay_006315_08
TS23: brain Moderate Regionally restricted euxassay_006315_08
TS23: spinal cord Moderate Regionally restricted euxassay_006315_08
TS23: dorsal root ganglion Moderate Regionally restricted euxassay_006315_08
TS23: thoracic ganglion Weak Regionally restricted euxassay_006315_08
TS23: lung Weak Spotted euxassay_006315_08
TS23: pelvic girdle musculature Moderate Spotted euxassay_006315_08
TS23: pectoral girdle and thoracic body wall musculature Moderate Spotted euxassay_006315_08
TS23: cranial musculature Moderate Spotted euxassay_006315_08

Specimen euxassay_006315_09: embryonic day 14.5 (more )
Structure Level Pattern Image Note
TS23: brain Moderate Regionally restricted euxassay_006315_09
TS23: spinal cord Moderate Regionally restricted euxassay_006315_09
TS23: dorsal root ganglion Moderate Regionally restricted euxassay_006315_09
TS23: thoracic ganglion Weak Regionally restricted euxassay_006315_09
TS23: lung Weak Spotted euxassay_006315_09
TS23: pelvic girdle musculature Moderate Spotted euxassay_006315_09
TS23: pectoral girdle and thoracic body wall musculature Moderate Spotted euxassay_006315_09
TS23: cranial musculature Moderate Spotted euxassay_006315_09

Specimen euxassay_006315_10: embryonic day 14.5 (more )
Structure Level Pattern Image Note
TS23: brain Moderate Regionally restricted euxassay_006315_10
TS23: spinal cord Moderate Regionally restricted euxassay_006315_10
TS23: dorsal root ganglion Moderate Regionally restricted euxassay_006315_10
TS23: lung Weak Spotted euxassay_006315_10
TS23: pectoral girdle and thoracic body wall musculature Moderate Spotted euxassay_006315_10
TS23: pelvic girdle musculature Moderate Spotted euxassay_006315_10
TS23: cranial musculature Moderate Spotted euxassay_006315_10

Specimen euxassay_006315_11: embryonic day 14.5 (more )
Structure Level Pattern Image Note
TS23: brain Moderate Regionally restricted euxassay_006315_11
TS23: spinal cord Moderate Regionally restricted euxassay_006315_11
TS23: dorsal root ganglion Moderate Regionally restricted euxassay_006315_11
TS23: cervico-thoracic ganglion Weak Regionally restricted euxassay_006315_11
TS23: lung Weak Spotted euxassay_006315_11
TS23: pelvic girdle musculature Moderate Spotted euxassay_006315_11

Specimen euxassay_006315_12: embryonic day 14.5 (more )
Structure Level Pattern Image Note
TS23: brain Moderate Regionally restricted euxassay_006315_12
TS23: spinal cord Moderate Regionally restricted euxassay_006315_12
TS23: dorsal root ganglion Moderate Regionally restricted euxassay_006315_12
TS23: tongue Weak Spotted euxassay_006315_12
TS23: lung Weak Spotted euxassay_006315_12
TS23: pelvic girdle musculature Moderate Spotted euxassay_006315_12

Specimen euxassay_006315_13: embryonic day 14.5 (more )
Structure Level Pattern Image Note
TS23: brain Moderate Regionally restricted euxassay_006315_13
TS23: spinal cord Moderate Regionally restricted euxassay_006315_13
TS23: dorsal root ganglion Moderate Regionally restricted euxassay_006315_13
TS23: tongue Weak Spotted euxassay_006315_13
TS23: glans of male genital tubercle Moderate Regionally restricted euxassay_006315_13
TS23: cervical ganglion Moderate Regionally restricted euxassay_006315_13
TS23: pelvic girdle musculature Moderate Spotted euxassay_006315_13
TS23: cranial musculature Moderate Spotted euxassay_006315_13

Specimen euxassay_006315_14: embryonic day 14.5 (more )
Structure Level Pattern Image Note
TS23: vestibulo-cochlear ganglion Moderate Regionally restricted euxassay_006315_14
TS23: glossopharyngeal ganglion Moderate Regionally restricted euxassay_006315_14
TS23: vagus ganglion Moderate Regionally restricted euxassay_006315_14
TS23: brain Moderate Regionally restricted euxassay_006315_14
TS23: spinal cord Moderate Regionally restricted euxassay_006315_14
TS23: dorsal root ganglion Moderate Regionally restricted euxassay_006315_14
TS23: tongue Weak Spotted euxassay_006315_14
TS23: glans of male genital tubercle Moderate Regionally restricted euxassay_006315_14
TS23: lung Weak Spotted euxassay_006315_14
TS23: pelvic girdle musculature Moderate Spotted euxassay_006315_14
TS23: cranial musculature Moderate Spotted euxassay_006315_14

Specimen euxassay_006315_15: embryonic day 14.5 (more )
Structure Level Pattern Image Note
TS23: trigeminal ganglion Moderate Regionally restricted euxassay_006315_15
TS23: vestibulo-cochlear ganglion Moderate Regionally restricted euxassay_006315_15
TS23: glossopharyngeal ganglion Moderate Regionally restricted euxassay_006315_15
TS23: brain Moderate Regionally restricted euxassay_006315_15
TS23: tongue Weak Spotted euxassay_006315_15
TS23: glans of male genital tubercle Moderate Regionally restricted euxassay_006315_15
TS23: lung Weak Spotted euxassay_006315_15
TS23: pelvic girdle musculature Moderate Spotted euxassay_006315_15
TS23: cranial musculature Moderate Spotted euxassay_006315_15

Specimen euxassay_006315_16: embryonic day 14.5 (more )
Structure Level Pattern Image Note
TS23: trigeminal ganglion Moderate Regionally restricted euxassay_006315_16
TS23: facial ganglion Moderate Regionally restricted euxassay_006315_16
TS23: vestibulo-cochlear ganglion Moderate Regionally restricted euxassay_006315_16
TS23: brain Moderate Regionally restricted euxassay_006315_16
TS23: glans of male genital tubercle Moderate Regionally restricted euxassay_006315_16
TS23: lung Moderate Spotted euxassay_006315_16
TS23: pelvic girdle musculature Moderate Spotted euxassay_006315_16
TS23: cranial musculature Moderate Spotted euxassay_006315_16

Specimen euxassay_006315_17: embryonic day 14.5 (more )
Structure Level Pattern Image Note
TS23: trigeminal ganglion Moderate Regionally restricted euxassay_006315_17
TS23: brain Moderate Regionally restricted euxassay_006315_17
TS23: lung Moderate Spotted euxassay_006315_17
TS23: pelvic girdle musculature Moderate Spotted euxassay_006315_17
TS23: pectoral girdle and thoracic body wall musculature Moderate Spotted euxassay_006315_17
TS23: cranial musculature Moderate Spotted euxassay_006315_17

Specimen euxassay_006315_18: embryonic day 14.5 (more )
Structure Level Pattern Image Note
TS23: trigeminal ganglion Moderate Regionally restricted euxassay_006315_18
TS23: brain Moderate Regionally restricted euxassay_006315_18
TS23: lung Moderate Spotted euxassay_006315_18
TS23: pelvic girdle musculature Moderate Spotted euxassay_006315_18
TS23: cranial musculature Moderate Spotted euxassay_006315_18
TS23: pectoral girdle and thoracic body wall musculature Moderate Spotted euxassay_006315_18

Specimen euxassay_006315_19: embryonic day 14.5 (more )
Structure Level Pattern Image Note
TS23: trigeminal ganglion Moderate Regionally restricted euxassay_006315_19
TS23: brain Moderate Regionally restricted euxassay_006315_19
TS23: lung Moderate Spotted euxassay_006315_19
TS23: pelvic girdle musculature Moderate Spotted euxassay_006315_19
TS23: pectoral girdle and thoracic body wall musculature Moderate Spotted euxassay_006315_19
TS23: cranial musculature Moderate Spotted euxassay_006315_19

Specimen euxassay_006315_20: embryonic day 14.5 (more )
Structure Level Pattern Image Note
TS23: trigeminal ganglion Moderate Regionally restricted euxassay_006315_20
TS23: brain Moderate Regionally restricted euxassay_006315_20
TS23: pelvic girdle musculature Moderate Spotted euxassay_006315_20
TS23: pectoral girdle and thoracic body wall musculature Moderate Spotted euxassay_006315_20
TS23: cranial musculature Moderate Spotted euxassay_006315_20

Specimen euxassay_006315_21: embryonic day 14.5 (more )
Structure Level Pattern Image Note
TS23: brain Moderate Regionally restricted euxassay_006315_21
TS23: pelvic girdle musculature Moderate Spotted euxassay_006315_21
TS23: pectoral girdle and thoracic body wall musculature Moderate Spotted euxassay_006315_21
TS23: cranial musculature Moderate Spotted euxassay_006315_21

Specimen euxassay_006315_22: embryonic day 14.5 (more )
Structure Level Pattern Image Note
TS23: brain Moderate Regionally restricted euxassay_006315_22
TS23: retina Moderate Regionally restricted euxassay_006315_22
TS23: pelvic girdle musculature Moderate Spotted euxassay_006315_22
TS23: pectoral girdle and thoracic body wall musculature Moderate Spotted euxassay_006315_22
TS23: cranial musculature Moderate Spotted euxassay_006315_22


Contributing Projects:
Mouse Genome Database (MGD), Gene Expression Database (GXD), Mouse Models of Human Cancer database (MMHCdb) (formerly Mouse Tumor Biology (MTB)), Gene Ontology (GO)
Citing These Resources
Funding Information
Warranty Disclaimer, Privacy Notice, Licensing, & Copyright
Send questions and comments to User Support.
last database update
12/30/2025
MGI 6.24
The Jackson Laboratory