About   Help   FAQ
Gene Expression Data
Assay Details
Assay
Reference: J:153498 Diez-Roux G, et al., A high-resolution anatomical atlas of the transcriptome in the mouse embryo. PLoS Biol. 2011;9(1):e1000582
Assay type: RNA in situ
MGI Accession ID: MGI:4825057
Gene symbol: Gja5
Gene name: gap junction protein, alpha 5
Probe: MGC clone 62338
Probe preparation: Antisense labelled with digoxigenin RNA
Visualized with: Alkaline phosphatase
Assay notes: Cryosections of fresh frozen material were fixed in 4% paraformaldehyde for 20 min. before further processing. A tyramide-biotin/streptavidin amplification step was included in the in situ hybridization procedure.
Results
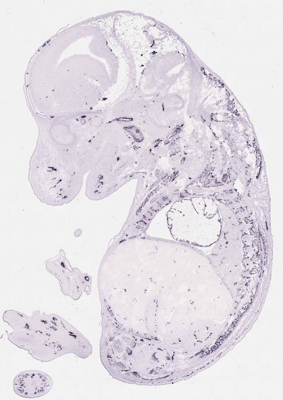
Specimen euxassay_004691_01: embryonic day 14.5 (more )
Structure Level Pattern Image Note
TS23: vertebral axis musculature Strong Regionally restricted euxassay_004691_01
TS23: lower leg mesenchyme Strong Regionally restricted euxassay_004691_01
TS23: upper arm mesenchyme Strong Regionally restricted euxassay_004691_01

Specimen euxassay_004691_02: embryonic day 14.5 (more )
Structure Level Pattern Image Note
TS23: vertebral axis musculature Strong Regionally restricted euxassay_004691_02
TS23: upper arm mesenchyme Strong Regionally restricted euxassay_004691_02
TS23: lower leg mesenchyme Strong Regionally restricted euxassay_004691_02

Specimen euxassay_004691_03: embryonic day 14.5 (more )
Structure Level Pattern Image Note
TS23: vertebral axis musculature Strong Regionally restricted euxassay_004691_03
TS23: lower leg mesenchyme Strong Regionally restricted euxassay_004691_03
TS23: hand mesenchyme Strong Regionally restricted euxassay_004691_03

Specimen euxassay_004691_04: embryonic day 14.5 (more )
Structure Level Pattern Image Note
TS23: vertebral axis musculature Strong Regionally restricted euxassay_004691_04
TS23: foot mesenchyme Strong Regionally restricted euxassay_004691_04
TS23: hand mesenchyme Strong Regionally restricted euxassay_004691_04

Specimen euxassay_004691_05: embryonic day 14.5 (more )
Structure Level Pattern Image Note
TS23: vertebral axis musculature Strong Regionally restricted euxassay_004691_05
TS23: heart atrium Moderate Regionally restricted euxassay_004691_05
TS23: foot mesenchyme Strong Regionally restricted euxassay_004691_05
TS23: hand mesenchyme Strong Regionally restricted euxassay_004691_05

Specimen euxassay_004691_06: embryonic day 14.5 (more )
Structure Level Pattern Image Note
TS23: vertebral axis musculature Strong Regionally restricted euxassay_004691_06
TS23: heart atrium Moderate Regionally restricted euxassay_004691_06
TS23: foot mesenchyme Strong Regionally restricted euxassay_004691_06

Specimen euxassay_004691_07: embryonic day 14.5 (more )
Structure Level Pattern Image Note
TS23: vertebral axis musculature Strong Regionally restricted euxassay_004691_07
TS23: heart atrium Moderate Regionally restricted euxassay_004691_07
TS23: heart ventricle Moderate Regionally restricted euxassay_004691_07
TS23: foot mesenchyme Strong Regionally restricted euxassay_004691_07

Specimen euxassay_004691_08: embryonic day 14.5 (more )
Structure Level Pattern Image Note
TS23: vertebral axis musculature Strong Regionally restricted euxassay_004691_08
TS23: heart atrium Moderate Regionally restricted euxassay_004691_08
TS23: heart ventricle Moderate Regionally restricted euxassay_004691_08

Specimen euxassay_004691_09: embryonic day 14.5 (more )
Structure Level Pattern Image Note
TS23: vertebral axis musculature Strong Regionally restricted euxassay_004691_09
TS23: heart ventricle Moderate Regionally restricted euxassay_004691_09
TS23: heart atrium Moderate Regionally restricted euxassay_004691_09

Specimen euxassay_004691_10: embryonic day 14.5 (more )
Structure Level Pattern Image Note
TS23: vertebral axis musculature Strong Regionally restricted euxassay_004691_10
TS23: heart ventricle Moderate Regionally restricted euxassay_004691_10
TS23: heart atrium Moderate Regionally restricted euxassay_004691_10

Specimen euxassay_004691_11: embryonic day 14.5 (more )
Structure Level Pattern Image Note
TS23: vertebral axis musculature Strong Regionally restricted euxassay_004691_11
TS23: heart atrium Moderate Regionally restricted euxassay_004691_11
TS23: heart ventricle Moderate Regionally restricted euxassay_004691_11
TS23: tongue muscle Moderate Regionally restricted euxassay_004691_11

Specimen euxassay_004691_12: embryonic day 14.5 (more )
Structure Level Pattern Image Note
TS23: vertebral axis musculature Strong Regionally restricted euxassay_004691_12
TS23: heart ventricle Moderate Regionally restricted euxassay_004691_12
TS23: tongue muscle Moderate Regionally restricted euxassay_004691_12

Specimen euxassay_004691_13: embryonic day 14.5 (more )
Structure Level Pattern Image Note
TS23: heart ventricle Moderate Regionally restricted euxassay_004691_13
TS23: tongue muscle Strong Regionally restricted euxassay_004691_13

Specimen euxassay_004691_14: embryonic day 14.5 (more )
Structure Level Pattern Image Note
TS23: heart ventricle Moderate Regionally restricted euxassay_004691_14
TS23: tongue muscle Strong Regionally restricted euxassay_004691_14

Specimen euxassay_004691_15: embryonic day 14.5 (more )
Structure Level Pattern Image Note
TS23: tongue muscle Strong Regionally restricted euxassay_004691_15

Specimen euxassay_004691_16: embryonic day 14.5 (more )
Structure Level Pattern Image Note
TS23: heart ventricle Moderate Regionally restricted euxassay_004691_16
TS23: heart atrium Moderate Regionally restricted euxassay_004691_16
TS23: tongue muscle Moderate Regionally restricted euxassay_004691_16

Specimen euxassay_004691_17: embryonic day 14.5 (more )
Structure Level Pattern Image Note
TS23: heart ventricle Moderate Regionally restricted euxassay_004691_17
TS23: heart atrium Moderate Regionally restricted euxassay_004691_17

Specimen euxassay_004691_18: embryonic day 14.5 (more )
Structure Level Pattern Image Note
TS23: heart atrium Moderate Regionally restricted euxassay_004691_18

Specimen euxassay_004691_19: embryonic day 14.5 (more )
Structure Level Pattern Image Note
TS23: heart atrium Moderate Regionally restricted euxassay_004691_19
TS23: foot mesenchyme Strong Regionally restricted euxassay_004691_19

Specimen euxassay_004691_20: embryonic day 14.5 (more )
Structure Level Pattern Image Note
TS23: heart atrium Moderate Regionally restricted euxassay_004691_20
TS23: foot mesenchyme Strong Regionally restricted euxassay_004691_20

Specimen euxassay_004691_21: embryonic day 14.5 (more )
Structure Level Pattern Image Note
TS23: heart atrium Moderate Regionally restricted euxassay_004691_21

Specimen euxassay_004691_22: embryonic day 14.5 (more )
Structure Level Pattern Image Note
TS23: heart atrium Moderate Regionally restricted euxassay_004691_22
TS23: lower leg mesenchyme Strong Regionally restricted euxassay_004691_22

Specimen euxassay_004691_23: embryonic day 14.5 (more )
Structure Level Pattern Image Note
TS23: lower leg mesenchyme Strong Regionally restricted euxassay_004691_23
TS23: hand mesenchyme Strong Regionally restricted euxassay_004691_23

Specimen euxassay_004691_24: embryonic day 14.5 (more )
Structure Level Pattern Image Note
TS23: hand mesenchyme Strong Regionally restricted euxassay_004691_24


Contributing Projects:
Mouse Genome Database (MGD), Gene Expression Database (GXD), Mouse Models of Human Cancer database (MMHCdb) (formerly Mouse Tumor Biology (MTB)), Gene Ontology (GO)
Citing These Resources
Funding Information
Warranty Disclaimer, Privacy Notice, Licensing, & Copyright
Send questions and comments to User Support.
last database update
01/20/2026
MGI 6.24
The Jackson Laboratory