About   Help   FAQ
Gene Expression Data
Assay Details
Assay
Reference: J:153498 Diez-Roux G, et al., A high-resolution anatomical atlas of the transcriptome in the mouse embryo. PLoS Biol. 2011;9(1):e1000582
Assay type: RNA in situ
MGI Accession ID: MGI:4825050
Gene symbol: Ggt7
Gene name: gamma-glutamyltransferase 7
Probe: MGC clone 12004
Probe preparation: Antisense labelled with digoxigenin RNA
Visualized with: Alkaline phosphatase
Assay notes: Cryosections of fresh frozen material were fixed in 4% paraformaldehyde for 20 min. before further processing. A tyramide-biotin/streptavidin amplification step was included in the in situ hybridization procedure.
Results
Specimen euxassay_003479_01: embryonic day 14.5 (more )
Structure Level Pattern Image Note
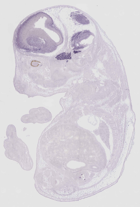
TS23: forebrain Moderate Uniform euxassay_003479_01
TS23: neural retina Strong Regionally restricted euxassay_003479_01

Specimen euxassay_003479_02: embryonic day 14.5 (more )
Structure Level Pattern Image Note
TS23: forebrain Moderate Uniform euxassay_003479_02
TS23: neural retina Strong Regionally restricted euxassay_003479_02

Specimen euxassay_003479_03: embryonic day 14.5 (more )
Structure Level Pattern Image Note
TS23: trigeminal ganglion Strong Regionally restricted euxassay_003479_03
TS23: forebrain Moderate Uniform euxassay_003479_03
TS23: neural retina Strong Regionally restricted euxassay_003479_03

Specimen euxassay_003479_04: embryonic day 14.5 (more )
Structure Level Pattern Image Note
TS23: trigeminal ganglion Strong Regionally restricted euxassay_003479_04
TS23: facial ganglion Strong Regionally restricted euxassay_003479_04
TS23: forebrain Moderate Uniform euxassay_003479_04
TS23: hindbrain Moderate Uniform euxassay_003479_04
TS23: neural retina Strong Regionally restricted euxassay_003479_04

Specimen euxassay_003479_05: embryonic day 14.5 (more )
Structure Level Pattern Image Note
TS23: trigeminal ganglion Strong Regionally restricted euxassay_003479_05
TS23: facial ganglion Strong Regionally restricted euxassay_003479_05
TS23: midbrain Moderate Uniform euxassay_003479_05
TS23: hindbrain Moderate Uniform euxassay_003479_05
TS23: forebrain Moderate Uniform euxassay_003479_05

Specimen euxassay_003479_06: embryonic day 14.5 (more )
Structure Level Pattern Image Note
TS23: trigeminal ganglion Strong Regionally restricted euxassay_003479_06
TS23: facial ganglion Strong Regionally restricted euxassay_003479_06
TS23: vestibulo-cochlear ganglion Strong Regionally restricted euxassay_003479_06
TS23: midbrain Moderate Uniform euxassay_003479_06
TS23: hindbrain Moderate Uniform euxassay_003479_06
TS23: forebrain Moderate Uniform euxassay_003479_06

Specimen euxassay_003479_07: embryonic day 14.5 (more )
Structure Level Pattern Image Note
TS23: trigeminal ganglion Strong Regionally restricted euxassay_003479_07
TS23: vestibulo-cochlear ganglion Strong Regionally restricted euxassay_003479_07
TS23: glossopharyngeal ganglion Strong Regionally restricted euxassay_003479_07
TS23: facial ganglion Strong Regionally restricted euxassay_003479_07
TS23: midbrain Moderate Uniform euxassay_003479_07
TS23: hindbrain Moderate Uniform euxassay_003479_07
TS23: forebrain Moderate Uniform euxassay_003479_07

Specimen euxassay_003479_08: embryonic day 14.5 (more )
Structure Level Pattern Image Note
TS23: vestibulo-cochlear ganglion Strong Regionally restricted euxassay_003479_08
TS23: trigeminal ganglion Strong Regionally restricted euxassay_003479_08
TS23: glossopharyngeal ganglion Strong Regionally restricted euxassay_003479_08
TS23: dorsal root ganglion Strong Regionally restricted euxassay_003479_08
TS23: midbrain Moderate Uniform euxassay_003479_08
TS23: hindbrain Moderate Uniform euxassay_003479_08
TS23: forebrain Moderate Uniform euxassay_003479_08

Specimen euxassay_003479_09: embryonic day 14.5 (more )
Structure Level Pattern Image Note
TS23: vagus ganglion Strong Regionally restricted euxassay_003479_09
TS23: trigeminal ganglion Strong Regionally restricted euxassay_003479_09
TS23: vestibulo-cochlear ganglion Strong Regionally restricted euxassay_003479_09
TS23: dorsal root ganglion Strong Regionally restricted euxassay_003479_09
TS23: midbrain Moderate Uniform euxassay_003479_09
TS23: hindbrain Moderate Uniform euxassay_003479_09
TS23: forebrain Moderate Uniform euxassay_003479_09
TS23: spinal cord Moderate Uniform euxassay_003479_09
TS23: olfactory epithelium Strong Regionally restricted euxassay_003479_09

Specimen euxassay_003479_10: embryonic day 14.5 (more )
Structure Level Pattern Image Note
TS23: trigeminal ganglion Strong Regionally restricted euxassay_003479_10
TS23: dorsal root ganglion Strong Regionally restricted euxassay_003479_10
TS23: spinal cord Moderate Uniform euxassay_003479_10
TS23: midbrain Moderate Uniform euxassay_003479_10
TS23: hindbrain Moderate Uniform euxassay_003479_10
TS23: forebrain Moderate Uniform euxassay_003479_10
TS23: olfactory epithelium Strong Regionally restricted euxassay_003479_10
TS23: cervical ganglion Moderate Regionally restricted euxassay_003479_10

Specimen euxassay_003479_11: embryonic day 14.5 (more )
Structure Level Pattern Image Note
TS23: dorsal root ganglion Strong Regionally restricted euxassay_003479_11
TS23: spinal cord Moderate Uniform euxassay_003479_11
TS23: hindbrain Moderate Uniform euxassay_003479_11
TS23: midbrain Moderate Uniform euxassay_003479_11
TS23: forebrain Moderate Uniform euxassay_003479_11
TS23: olfactory epithelium Strong Regionally restricted euxassay_003479_11
TS23: cervico-thoracic ganglion Moderate Regionally restricted euxassay_003479_11
TS23: glans of male genital tubercle Moderate Regionally restricted euxassay_003479_11

Specimen euxassay_003479_12: embryonic day 14.5 (more )
Structure Level Pattern Image Note
TS23: dorsal root ganglion Strong Regionally restricted euxassay_003479_12
TS23: spinal cord Moderate Uniform euxassay_003479_12
TS23: midbrain Moderate Uniform euxassay_003479_12
TS23: hindbrain Moderate Uniform euxassay_003479_12
TS23: forebrain Moderate Uniform euxassay_003479_12
TS23: olfactory epithelium Strong Regionally restricted euxassay_003479_12
TS23: thoracic ganglion Moderate Regionally restricted euxassay_003479_12

Specimen euxassay_003479_13: embryonic day 14.5 (more )
Structure Level Pattern Image Note
TS23: spinal cord Moderate Uniform euxassay_003479_13
TS23: midbrain Moderate Uniform euxassay_003479_13
TS23: hindbrain Moderate Uniform euxassay_003479_13
TS23: forebrain Moderate Uniform euxassay_003479_13
TS23: olfactory epithelium Strong Regionally restricted euxassay_003479_13
TS23: thoracic ganglion Moderate Regionally restricted euxassay_003479_13

Specimen euxassay_003479_14: embryonic day 14.5 (more )
Structure Level Pattern Image Note
TS23: spinal cord Moderate Uniform euxassay_003479_14
TS23: midbrain Moderate Uniform euxassay_003479_14
TS23: hindbrain Moderate Uniform euxassay_003479_14
TS23: forebrain Moderate Uniform euxassay_003479_14
TS23: nasal cavity respiratory epithelium Strong Regionally restricted euxassay_003479_14
TS23: thoracic ganglion Moderate Regionally restricted euxassay_003479_14

Specimen euxassay_003479_15: embryonic day 14.5 (more )
Structure Level Pattern Image Note
TS23: dorsal root ganglion Strong Regionally restricted euxassay_003479_15
TS23: spinal cord Moderate Uniform euxassay_003479_15
TS23: midbrain Moderate Uniform euxassay_003479_15
TS23: hindbrain Moderate Uniform euxassay_003479_15
TS23: forebrain Moderate Uniform euxassay_003479_15

Specimen euxassay_003479_16: embryonic day 14.5 (more )
Structure Level Pattern Image Note
TS23: dorsal root ganglion Strong Regionally restricted euxassay_003479_16
TS23: spinal cord Moderate Uniform euxassay_003479_16
TS23: midbrain Moderate Uniform euxassay_003479_16
TS23: forebrain Moderate Uniform euxassay_003479_16
TS23: hindbrain Moderate Uniform euxassay_003479_16
TS23: olfactory epithelium Strong Regionally restricted euxassay_003479_16
TS23: thoracic ganglion Moderate Regionally restricted euxassay_003479_16

Specimen euxassay_003479_17: embryonic day 14.5 (more )
Structure Level Pattern Image Note
TS23: dorsal root ganglion Strong Regionally restricted euxassay_003479_17
TS23: spinal cord Moderate Uniform euxassay_003479_17
TS23: midbrain Moderate Uniform euxassay_003479_17
TS23: hindbrain Moderate Uniform euxassay_003479_17
TS23: forebrain Moderate Uniform euxassay_003479_17
TS23: olfactory epithelium Strong Regionally restricted euxassay_003479_17
TS23: nasal cavity respiratory epithelium Strong Regionally restricted euxassay_003479_17
TS23: cervico-thoracic ganglion Moderate Regionally restricted euxassay_003479_17

Specimen euxassay_003479_18: embryonic day 14.5 (more )
Structure Level Pattern Image Note
TS23: trigeminal ganglion Strong Regionally restricted euxassay_003479_18
TS23: vestibulo-cochlear ganglion Strong Regionally restricted euxassay_003479_18
TS23: dorsal root ganglion Strong Regionally restricted euxassay_003479_18
TS23: midbrain Moderate Uniform euxassay_003479_18
TS23: hindbrain Moderate Uniform euxassay_003479_18
TS23: forebrain Moderate Uniform euxassay_003479_18
TS23: olfactory epithelium Strong Regionally restricted euxassay_003479_18
TS23: cervical ganglion Moderate Regionally restricted euxassay_003479_18
TS23: cervico-thoracic ganglion Moderate Regionally restricted euxassay_003479_18

Specimen euxassay_003479_19: embryonic day 14.5 (more )
Structure Level Pattern Image Note
TS23: trigeminal ganglion Strong Regionally restricted euxassay_003479_19
TS23: glossopharyngeal ganglion Strong Regionally restricted euxassay_003479_19
TS23: vestibulo-cochlear ganglion Strong Regionally restricted euxassay_003479_19
TS23: vagus ganglion Strong Regionally restricted euxassay_003479_19
TS23: dorsal root ganglion Strong Regionally restricted euxassay_003479_19
TS23: midbrain Moderate Uniform euxassay_003479_19
TS23: hindbrain Moderate Uniform euxassay_003479_19
TS23: forebrain Moderate Uniform euxassay_003479_19
TS23: olfactory epithelium Strong Regionally restricted euxassay_003479_19

Specimen euxassay_003479_20: embryonic day 14.5 (more )
Structure Level Pattern Image Note
TS23: glossopharyngeal ganglion Strong Regionally restricted euxassay_003479_20
TS23: trigeminal ganglion Strong Regionally restricted euxassay_003479_20
TS23: vestibulo-cochlear ganglion Strong Regionally restricted euxassay_003479_20
TS23: facial ganglion Strong Regionally restricted euxassay_003479_20
TS23: midbrain Moderate Uniform euxassay_003479_20
TS23: hindbrain Moderate Uniform euxassay_003479_20
TS23: forebrain Moderate Uniform euxassay_003479_20
TS23: olfactory epithelium Strong Regionally restricted euxassay_003479_20

Specimen euxassay_003479_21: embryonic day 14.5 (more )
Structure Level Pattern Image Note
TS23: trigeminal ganglion Strong Regionally restricted euxassay_003479_21
TS23: facial ganglion Strong Regionally restricted euxassay_003479_21
TS23: vestibulo-cochlear ganglion Strong Regionally restricted euxassay_003479_21
TS23: hindbrain Moderate Uniform euxassay_003479_21
TS23: forebrain Moderate Uniform euxassay_003479_21
TS23: olfactory epithelium Strong Regionally restricted euxassay_003479_21

Specimen euxassay_003479_22: embryonic day 14.5 (more )
Structure Level Pattern Image Note
TS23: trigeminal ganglion Strong Regionally restricted euxassay_003479_22
TS23: facial ganglion Strong Regionally restricted euxassay_003479_22
TS23: hindbrain Moderate Uniform euxassay_003479_22
TS23: forebrain Moderate Uniform euxassay_003479_22

Specimen euxassay_003479_23: embryonic day 14.5 (more )
Structure Level Pattern Image Note
TS23: trigeminal ganglion Strong Regionally restricted euxassay_003479_23
TS23: forebrain Moderate Uniform euxassay_003479_23

Specimen euxassay_003479_24: embryonic day 14.5 (more )
Structure Level Pattern Image Note
TS23: trigeminal ganglion Strong Regionally restricted euxassay_003479_24
TS23: forebrain Moderate Uniform euxassay_003479_24
TS23: neural retina Strong Regionally restricted euxassay_003479_24


Contributing Projects:
Mouse Genome Database (MGD), Gene Expression Database (GXD), Mouse Models of Human Cancer database (MMHCdb) (formerly Mouse Tumor Biology (MTB)), Gene Ontology (GO)
Citing These Resources
Funding Information
Warranty Disclaimer, Privacy Notice, Licensing, & Copyright
Send questions and comments to User Support.
last database update
01/20/2026
MGI 6.24
The Jackson Laboratory