About   Help   FAQ
Gene Expression Data
Assay Details
Assay
Reference: J:153498 Diez-Roux G, et al., A high-resolution anatomical atlas of the transcriptome in the mouse embryo. PLoS Biol. 2011;9(1):e1000582
Assay type: RNA in situ
MGI Accession ID: MGI:4825023
Gene symbol: Gclc
Gene name: glutamate-cysteine ligase, catalytic subunit
Probe: T31032
Probe preparation: Antisense labelled with digoxigenin RNA
Visualized with: Alkaline phosphatase
Assay notes: Cryosections of fresh frozen material were fixed in 4% paraformaldehyde for 20 min. before further processing. A tyramide-biotin/streptavidin amplification step was included in the in situ hybridization procedure.
Results
Specimen euxassay_011554_01: embryonic day 14.5 (more )
Structure Level Pattern Image Note
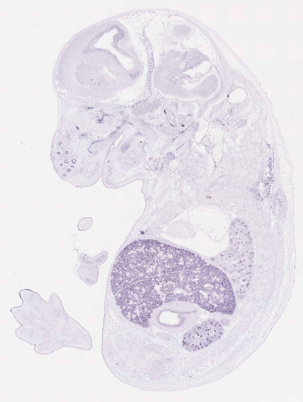
TS23: liver Strong Regionally restricted euxassay_011554_01

Specimen euxassay_011554_02: embryonic day 14.5 (more )
Structure Level Pattern Image Note
TS23: liver Strong Regionally restricted euxassay_011554_02
TS23: axial muscle Weak Regionally restricted euxassay_011554_02
TS23: stomach Moderate Regionally restricted euxassay_011554_02
TS23: endolymphatic duct Strong Regionally restricted euxassay_011554_02

Specimen euxassay_011554_03: embryonic day 14.5 (more )
Structure Level Pattern Image Note
TS23: liver Strong Regionally restricted euxassay_011554_03
TS23: axial muscle Weak Regionally restricted euxassay_011554_03
TS23: left lung Moderate Regionally restricted euxassay_011554_03
TS23: stomach Moderate Regionally restricted euxassay_011554_03
TS23: endolymphatic duct Strong Regionally restricted euxassay_011554_03

Specimen euxassay_011554_04: embryonic day 14.5 (more )
Structure Level Pattern Image Note
TS23: liver Strong Regionally restricted euxassay_011554_04
TS23: axial muscle Weak Regionally restricted euxassay_011554_04
TS23: left lung Moderate Regionally restricted euxassay_011554_04
TS23: stomach Moderate Regionally restricted euxassay_011554_04
TS23: endolymphatic duct Strong Regionally restricted euxassay_011554_04

Specimen euxassay_011554_05: embryonic day 14.5 (more )
Structure Level Pattern Image Note
TS23: liver Strong Regionally restricted euxassay_011554_05
TS23: axial muscle Strong Regionally restricted euxassay_011554_05
TS23: left lung Moderate Regionally restricted euxassay_011554_05
TS23: stomach Moderate Regionally restricted euxassay_011554_05
TS23: vibrissa Strong Regionally restricted euxassay_011554_05
TS23: utricle Strong Regionally restricted euxassay_011554_05
TS23: endolymphatic duct Strong Regionally restricted euxassay_011554_05

Specimen euxassay_011554_06: embryonic day 14.5 (more )
Structure Level Pattern Image Note
TS23: liver Strong Regionally restricted euxassay_011554_06
TS23: axial muscle Strong Regionally restricted euxassay_011554_06
TS23: left lung Moderate Regionally restricted euxassay_011554_06
TS23: renal calyx Strong Regionally restricted euxassay_011554_06
TS23: stomach Moderate Regionally restricted euxassay_011554_06
TS23: vibrissa Strong Regionally restricted euxassay_011554_06
TS23: cochlea Strong Regionally restricted euxassay_011554_06
TS23: utricle Strong Regionally restricted euxassay_011554_06
TS23: endolymphatic duct Strong Regionally restricted euxassay_011554_06

Specimen euxassay_011554_07: embryonic day 14.5 (more )
Structure Level Pattern Image Note
TS23: liver Strong Regionally restricted euxassay_011554_07
TS23: axial muscle Moderate Regionally restricted euxassay_011554_07
TS23: left lung Moderate Regionally restricted euxassay_011554_07
TS23: renal calyx Strong Regionally restricted euxassay_011554_07
TS23: stomach Moderate Regionally restricted euxassay_011554_07
TS23: midgut Moderate Regionally restricted euxassay_011554_07
TS23: vibrissa Strong Regionally restricted euxassay_011554_07
TS23: cochlea Strong Regionally restricted euxassay_011554_07
TS23: utricle Strong Regionally restricted euxassay_011554_07

Specimen euxassay_011554_08: embryonic day 14.5 (more )
Structure Level Pattern Image Note
TS23: liver Strong Regionally restricted euxassay_011554_08
TS23: left lung Moderate Regionally restricted euxassay_011554_08
TS23: renal calyx Strong Regionally restricted euxassay_011554_08
TS23: renal pelvis Strong Regionally restricted euxassay_011554_08
TS23: stomach Moderate Regionally restricted euxassay_011554_08
TS23: midgut Moderate Regionally restricted euxassay_011554_08
TS23: vibrissa Strong Regionally restricted euxassay_011554_08
TS23: cochlea Strong Regionally restricted euxassay_011554_08
TS23: utricle Strong Regionally restricted euxassay_011554_08

Specimen euxassay_011554_09: embryonic day 14.5 (more )
Structure Level Pattern Image Note
TS23: liver Strong Regionally restricted euxassay_011554_09
TS23: left lung Moderate Regionally restricted euxassay_011554_09
TS23: renal calyx Strong Regionally restricted euxassay_011554_09
TS23: stomach Moderate Regionally restricted euxassay_011554_09
TS23: midgut Moderate Regionally restricted euxassay_011554_09
TS23: olfactory epithelium Strong Regionally restricted euxassay_011554_09
TS23: vibrissa Strong Regionally restricted euxassay_011554_09
TS23: cochlea Strong Regionally restricted euxassay_011554_09
TS23: submandibular gland primordium Moderate Regionally restricted euxassay_011554_09

Specimen euxassay_011554_10: embryonic day 14.5 (more )
Structure Level Pattern Image Note
TS23: liver Strong Regionally restricted euxassay_011554_10
TS23: left lung Moderate Regionally restricted euxassay_011554_10
TS23: renal calyx Strong Regionally restricted euxassay_011554_10
TS23: stomach Moderate Regionally restricted euxassay_011554_10
TS23: midgut Moderate Regionally restricted euxassay_011554_10
TS23: olfactory epithelium Strong Regionally restricted euxassay_011554_10
TS23: vibrissa Strong Regionally restricted euxassay_011554_10
TS23: cochlea Strong Regionally restricted euxassay_011554_10
TS23: submandibular gland primordium Moderate Regionally restricted euxassay_011554_10

Specimen euxassay_011554_11: embryonic day 14.5 (more )
Structure Level Pattern Image Note
TS23: liver Strong Regionally restricted euxassay_011554_11
TS23: left lung Moderate Regionally restricted euxassay_011554_11
TS23: stomach Moderate Regionally restricted euxassay_011554_11
TS23: midgut Moderate Regionally restricted euxassay_011554_11
TS23: olfactory epithelium Strong Regionally restricted euxassay_011554_11
TS23: thymus primordium Moderate Regionally restricted euxassay_011554_11

Specimen euxassay_011554_12: embryonic day 14.5 (more )
Structure Level Pattern Image Note
TS23: liver Strong Regionally restricted euxassay_011554_12
TS23: right lung Moderate Regionally restricted euxassay_011554_12
TS23: midgut Moderate Regionally restricted euxassay_011554_12
TS23: olfactory epithelium Strong Regionally restricted euxassay_011554_12
TS23: thymus primordium Moderate Regionally restricted euxassay_011554_12

Specimen euxassay_011554_13: embryonic day 14.5 (more )
Structure Level Pattern Image Note
TS23: liver Strong Regionally restricted euxassay_011554_13
TS23: right lung Moderate Regionally restricted euxassay_011554_13
TS23: midgut Moderate Regionally restricted euxassay_011554_13
TS23: olfactory epithelium Strong Regionally restricted euxassay_011554_13
TS23: external naris epithelium Strong Regionally restricted euxassay_011554_13
TS23: thymus primordium Moderate Regionally restricted euxassay_011554_13
TS23: trachea Moderate Regionally restricted euxassay_011554_13
TS23: esophagus Moderate Regionally restricted euxassay_011554_13
TS23: larynx Moderate Regionally restricted euxassay_011554_13

Specimen euxassay_011554_14: embryonic day 14.5 (more )
Structure Level Pattern Image Note
TS23: liver Strong Regionally restricted euxassay_011554_14
TS23: right lung Moderate Regionally restricted euxassay_011554_14
TS23: midgut Moderate Regionally restricted euxassay_011554_14
TS23: anterior naris epithelium Strong Regionally restricted euxassay_011554_14
TS23: olfactory epithelium Strong Regionally restricted euxassay_011554_14
TS23: thymus primordium Moderate Regionally restricted euxassay_011554_14
TS23: trachea Moderate Regionally restricted euxassay_011554_14
TS23: esophagus Moderate Regionally restricted euxassay_011554_14
TS23: larynx Moderate Regionally restricted euxassay_011554_14

Specimen euxassay_011554_15: embryonic day 14.5 (more )
Structure Level Pattern Image Note
TS23: liver Strong Regionally restricted euxassay_011554_15
TS23: right lung Moderate Regionally restricted euxassay_011554_15
TS23: midgut Moderate Regionally restricted euxassay_011554_15
TS23: anterior naris epithelium Strong Regionally restricted euxassay_011554_15
TS23: thymus primordium Moderate Regionally restricted euxassay_011554_15

Specimen euxassay_011554_16: embryonic day 14.5 (more )
Structure Level Pattern Image Note
TS23: liver Strong Regionally restricted euxassay_011554_16
TS23: right lung Moderate Regionally restricted euxassay_011554_16
TS23: renal calyx Strong Regionally restricted euxassay_011554_16
TS23: midgut Moderate Regionally restricted euxassay_011554_16
TS23: anterior naris epithelium Strong Regionally restricted euxassay_011554_16
TS23: olfactory epithelium Strong Regionally restricted euxassay_011554_16
TS23: cochlea Strong Regionally restricted euxassay_011554_16

Specimen euxassay_011554_17: embryonic day 14.5 (more )
Structure Level Pattern Image Note
TS23: liver Strong Regionally restricted euxassay_011554_17
TS23: axial muscle Moderate Regionally restricted euxassay_011554_17
TS23: right lung Moderate Regionally restricted euxassay_011554_17
TS23: renal calyx Strong Regionally restricted euxassay_011554_17
TS23: midgut Moderate Regionally restricted euxassay_011554_17
TS23: olfactory epithelium Strong Regionally restricted euxassay_011554_17
TS23: anterior naris epithelium Strong Regionally restricted euxassay_011554_17
TS23: cochlea Strong Regionally restricted euxassay_011554_17
TS23: submandibular gland primordium Weak Regionally restricted euxassay_011554_17

Specimen euxassay_011554_18: embryonic day 14.5 (more )
Structure Level Pattern Image Note
TS23: liver Strong Regionally restricted euxassay_011554_18
TS23: axial muscle Moderate Regionally restricted euxassay_011554_18
TS23: right lung Moderate Regionally restricted euxassay_011554_18
TS23: renal calyx Strong Regionally restricted euxassay_011554_18
TS23: midgut Moderate Regionally restricted euxassay_011554_18
TS23: olfactory epithelium Strong Regionally restricted euxassay_011554_18
TS23: utricle Strong Regionally restricted euxassay_011554_18
TS23: cochlea Strong Regionally restricted euxassay_011554_18
TS23: submandibular gland primordium Moderate Regionally restricted euxassay_011554_18

Specimen euxassay_011554_19: embryonic day 14.5 (more )
Structure Level Pattern Image Note
TS23: liver Strong Regionally restricted euxassay_011554_19
TS23: axial muscle Moderate Regionally restricted euxassay_011554_19
TS23: right lung Moderate Regionally restricted euxassay_011554_19
TS23: renal calyx Strong Regionally restricted euxassay_011554_19
TS23: midgut Moderate Regionally restricted euxassay_011554_19
TS23: olfactory epithelium Strong Regionally restricted euxassay_011554_19
TS23: cochlea Strong Regionally restricted euxassay_011554_19
TS23: utricle Strong Regionally restricted euxassay_011554_19

Specimen euxassay_011554_20: embryonic day 14.5 (more )
Structure Level Pattern Image Note
TS23: liver Strong Regionally restricted euxassay_011554_20
TS23: axial muscle Moderate Regionally restricted euxassay_011554_20
TS23: right lung Moderate Regionally restricted euxassay_011554_20
TS23: renal calyx Strong Regionally restricted euxassay_011554_20
TS23: olfactory epithelium Strong Regionally restricted euxassay_011554_20
TS23: utricle Strong Regionally restricted euxassay_011554_20
TS23: cochlea Strong Regionally restricted euxassay_011554_20

Specimen euxassay_011554_21: embryonic day 14.5 (more )
Structure Level Pattern Image Note
TS23: liver Strong Regionally restricted euxassay_011554_21
TS23: axial muscle Moderate Regionally restricted euxassay_011554_21
TS23: right lung Moderate Regionally restricted euxassay_011554_21
TS23: vibrissa Strong Regionally restricted euxassay_011554_21

Specimen euxassay_011554_22: embryonic day 14.5 (more )
Structure Level Pattern Image Note
TS23: liver Strong Regionally restricted euxassay_011554_22
TS23: axial muscle Strong Regionally restricted euxassay_011554_22
TS23: right lung Moderate Regionally restricted euxassay_011554_22
TS23: vibrissa Strong Regionally restricted euxassay_011554_22

Specimen euxassay_011554_23: embryonic day 14.5 (more )
Structure Level Pattern Image Note
TS23: liver Strong Regionally restricted euxassay_011554_23
TS23: right lung Moderate Regionally restricted euxassay_011554_23
TS23: vibrissa Strong Regionally restricted euxassay_011554_23


Contributing Projects:
Mouse Genome Database (MGD), Gene Expression Database (GXD), Mouse Models of Human Cancer database (MMHCdb) (formerly Mouse Tumor Biology (MTB)), Gene Ontology (GO)
Citing These Resources
Funding Information
Warranty Disclaimer, Privacy Notice, Licensing, & Copyright
Send questions and comments to User Support.
last database update
01/20/2026
MGI 6.24
The Jackson Laboratory