About   Help   FAQ
Gene Expression Data
Assay Details
Assay
Reference: J:153498 Diez-Roux G, et al., A high-resolution anatomical atlas of the transcriptome in the mouse embryo. PLoS Biol. 2011;9(1):e1000582
Assay type: RNA in situ
MGI Accession ID: MGI:4825017
Gene symbol: Gcat
Gene name: glycine C-acetyltransferase (2-amino-3-ketobutyrate-coenzyme A ligase)
Probe: MGC clone 36000
Probe preparation: Antisense labelled with digoxigenin RNA
Visualized with: Alkaline phosphatase
Assay notes: Cryosections of fresh frozen material were fixed in 4% paraformaldehyde for 20 min. before further processing. A tyramide-biotin/streptavidin amplification step was included in the in situ hybridization procedure.
Results
Specimen euxassay_005596_01: embryonic day 14.5 (more )
Structure Level Pattern Image Note
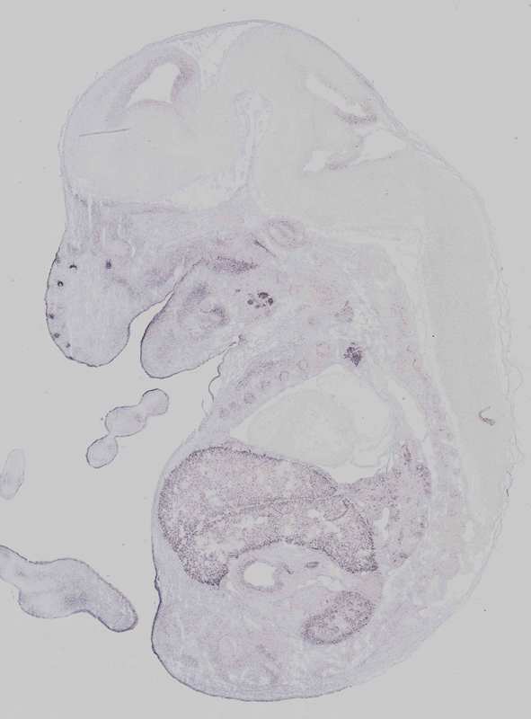
TS23: liver left lobe Moderate Regionally restricted euxassay_005596_01
TS23: epidermis Weak Regionally restricted euxassay_005596_01

Specimen euxassay_005596_02: embryonic day 14.5 (more )
Structure Level Pattern Image Note
TS23: liver left lobe Moderate Regionally restricted euxassay_005596_02
TS23: epidermis Weak Regionally restricted euxassay_005596_02

Specimen euxassay_005596_03: embryonic day 14.5 (more )
Structure Level Pattern Image Note
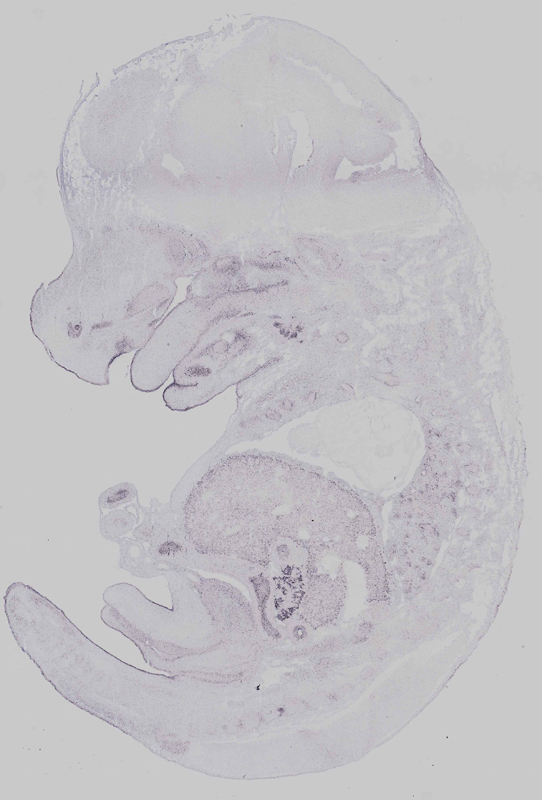
TS23: liver left lobe Moderate Regionally restricted euxassay_005596_03
TS23: epidermis Weak Regionally restricted euxassay_005596_03
TS23: stomach Moderate Regionally restricted euxassay_005596_03

Specimen euxassay_005596_04: embryonic day 14.5 (more )
Structure Level Pattern Image Note
TS23: liver left lobe Moderate Regionally restricted euxassay_005596_04
TS23: epidermis Moderate Regionally restricted euxassay_005596_04
TS23: vibrissa Moderate Regionally restricted euxassay_005596_04
TS23: submandibular gland primordium Moderate Regionally restricted euxassay_005596_04
TS23: stomach Moderate Regionally restricted euxassay_005596_04

Specimen euxassay_005596_05: embryonic day 14.5 (more )
Structure Level Pattern Image Note
TS23: liver left lobe Moderate Regionally restricted euxassay_005596_05
TS23: epidermis Moderate Regionally restricted euxassay_005596_05
TS23: vibrissa Moderate Regionally restricted euxassay_005596_05
TS23: submandibular gland primordium Moderate Regionally restricted euxassay_005596_05
TS23: stomach Weak Regionally restricted euxassay_005596_05

Specimen euxassay_005596_06: embryonic day 14.5 (more )
Structure Level Pattern Image Note
TS23: liver left lobe Moderate Regionally restricted euxassay_005596_06
TS23: epidermis Moderate Regionally restricted euxassay_005596_06
TS23: thymus primordium Moderate Regionally restricted euxassay_005596_06
TS23: vibrissa Moderate Regionally restricted euxassay_005596_06
TS23: submandibular gland primordium Moderate Regionally restricted euxassay_005596_06
TS23: stomach Weak Regionally restricted euxassay_005596_06

Specimen euxassay_005596_07: embryonic day 14.5 (more )
Structure Level Pattern Image Note
TS23: liver left lobe Moderate Regionally restricted euxassay_005596_07
TS23: epidermis Moderate Regionally restricted euxassay_005596_07
TS23: thymus primordium Strong Regionally restricted euxassay_005596_07
TS23: vibrissa Moderate Regionally restricted euxassay_005596_07
TS23: stomach Weak Regionally restricted euxassay_005596_07
TS23: pancreas Moderate Regionally restricted euxassay_005596_07
TS23: esophagus Moderate Regionally restricted euxassay_005596_07

Specimen euxassay_005596_08: embryonic day 14.5 (more )
Structure Level Pattern Image Note
TS23: liver left lobe Moderate Regionally restricted euxassay_005596_08
TS23: epidermis Moderate Regionally restricted euxassay_005596_08
TS23: thymus primordium Moderate Regionally restricted euxassay_005596_08
TS23: stomach Weak Regionally restricted euxassay_005596_08
TS23: pancreas Moderate Regionally restricted euxassay_005596_08
TS23: esophagus Moderate Regionally restricted euxassay_005596_08
TS23: reproductive system Moderate Regionally restricted euxassay_005596_08
TS23: lower jaw incisor Moderate Regionally restricted euxassay_005596_08

Specimen euxassay_005596_09: embryonic day 14.5 (more )
Structure Level Pattern Image Note
TS23: liver left lobe Moderate Regionally restricted euxassay_005596_09
TS23: epidermis Moderate Regionally restricted euxassay_005596_09
TS23: thymus primordium Moderate Regionally restricted euxassay_005596_09
TS23: pancreas Moderate Regionally restricted euxassay_005596_09
TS23: esophagus Moderate Regionally restricted euxassay_005596_09
TS23: naris Moderate Regionally restricted euxassay_005596_09
TS23: lower jaw incisor Moderate Regionally restricted euxassay_005596_09
TS23: upper jaw incisor Moderate Regionally restricted euxassay_005596_09

Specimen euxassay_005596_10: embryonic day 14.5 (more )
Structure Level Pattern Image Note
TS23: liver right lobe Moderate Regionally restricted euxassay_005596_10
TS23: epidermis Moderate Regionally restricted euxassay_005596_10
TS23: thymus primordium Moderate Regionally restricted euxassay_005596_10
TS23: pancreas Moderate Regionally restricted euxassay_005596_10
TS23: naris Moderate Regionally restricted euxassay_005596_10
TS23: lower jaw incisor Moderate Regionally restricted euxassay_005596_10
TS23: upper jaw incisor Moderate Regionally restricted euxassay_005596_10

Specimen euxassay_005596_11: embryonic day 14.5 (more )
Structure Level Pattern Image Note
TS23: liver right lobe Moderate Regionally restricted euxassay_005596_11
TS23: epidermis Moderate Regionally restricted euxassay_005596_11
TS23: submandibular gland primordium Moderate Regionally restricted euxassay_005596_11
TS23: midgut Weak Regionally restricted euxassay_005596_11
TS23: pancreas Moderate Regionally restricted euxassay_005596_11
TS23: naris Moderate Regionally restricted euxassay_005596_11
TS23: lower jaw incisor Moderate Regionally restricted euxassay_005596_11

Specimen euxassay_005596_12: embryonic day 14.5 (more )
Structure Level Pattern Image Note
TS23: liver right lobe Moderate Regionally restricted euxassay_005596_12
TS23: epidermis Moderate Regionally restricted euxassay_005596_12
TS23: submandibular gland primordium Moderate Regionally restricted euxassay_005596_12
TS23: midgut Weak Regionally restricted euxassay_005596_12
TS23: pancreas Moderate Regionally restricted euxassay_005596_12
TS23: naris Moderate Regionally restricted euxassay_005596_12
TS23: lower jaw incisor Moderate Regionally restricted euxassay_005596_12
TS23: upper jaw incisor Moderate Regionally restricted euxassay_005596_12

Specimen euxassay_005596_13: embryonic day 14.5 (more )
Structure Level Pattern Image Note
TS23: liver right lobe Moderate Regionally restricted euxassay_005596_13
TS23: epidermis Moderate Regionally restricted euxassay_005596_13
TS23: submandibular gland primordium Strong Regionally restricted euxassay_005596_13
TS23: midgut Weak Regionally restricted euxassay_005596_13
TS23: naris Moderate Regionally restricted euxassay_005596_13

Specimen euxassay_005596_14: embryonic day 14.5 (more )
Structure Level Pattern Image Note
TS23: liver right lobe Moderate Regionally restricted euxassay_005596_14
TS23: epidermis Moderate Regionally restricted euxassay_005596_14
TS23: midgut Weak Regionally restricted euxassay_005596_14

Specimen euxassay_005596_15: embryonic day 14.5 (more )
Structure Level Pattern Image Note
TS23: liver right lobe Moderate Regionally restricted euxassay_005596_15
TS23: epidermis Moderate Regionally restricted euxassay_005596_15
TS23: midgut Weak Regionally restricted euxassay_005596_15

Specimen euxassay_005596_16: embryonic day 14.5 (more )
Structure Level Pattern Image Note
TS23: liver right lobe Moderate Regionally restricted euxassay_005596_16
TS23: epidermis Moderate Regionally restricted euxassay_005596_16
TS23: vibrissa Moderate Regionally restricted euxassay_005596_16
TS23: midgut Weak Regionally restricted euxassay_005596_16

Specimen euxassay_005596_17: embryonic day 14.5 (more )
Structure Level Pattern Image Note
TS23: liver right lobe Weak Regionally restricted euxassay_005596_17
TS23: epidermis Moderate Regionally restricted euxassay_005596_17
TS23: vibrissa Moderate Regionally restricted euxassay_005596_17
TS23: midgut Weak Regionally restricted euxassay_005596_17

Specimen euxassay_005596_18: embryonic day 14.5 (more )
Structure Level Pattern Image Note
TS23: liver right lobe Weak Regionally restricted euxassay_005596_18
TS23: epidermis Moderate Regionally restricted euxassay_005596_18
TS23: vibrissa Moderate Regionally restricted euxassay_005596_18
TS23: midgut Weak Regionally restricted euxassay_005596_18

Specimen euxassay_005596_19: embryonic day 14.5 (more )
Structure Level Pattern Image Note
TS23: liver right lobe Weak Regionally restricted euxassay_005596_19
TS23: epidermis Moderate Regionally restricted euxassay_005596_19


Contributing Projects:
Mouse Genome Database (MGD), Gene Expression Database (GXD), Mouse Models of Human Cancer database (MMHCdb) (formerly Mouse Tumor Biology (MTB)), Gene Ontology (GO)
Citing These Resources
Funding Information
Warranty Disclaimer, Privacy Notice, Licensing, & Copyright
Send questions and comments to User Support.
last database update
12/30/2025
MGI 6.24
The Jackson Laboratory