| Assay |
|
||||||||||||||||||||||||||||||||||||||||||||||||||||||||||||||||||||||||||||||||||||||||||||||||||||||||||||||||||||||||||||||||||||||||||||||||||||||||||||||||||||||||||||||||||||||||||||||||||||||||||||||||||||||||||||||||||||||||||||||||||||||||||||||||||||||||||||||||||||||||||||||||||||||||||||||||||||||||||||||||||||||||||||||||||||||||||||||||||||||||||||||||||||||||||||||||||||||||||||||||||||||||||||||||||||||||||||||||||||||||||||||||||||||||||||||||||||||||||||||||
| Results |
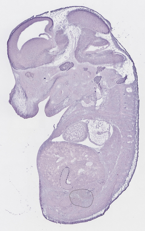
Specimen
euxassay_001126_01:
embryonic day 14.5
(more
)
Note: Additional information for this specimen was included in the Eurexpress data submission file.
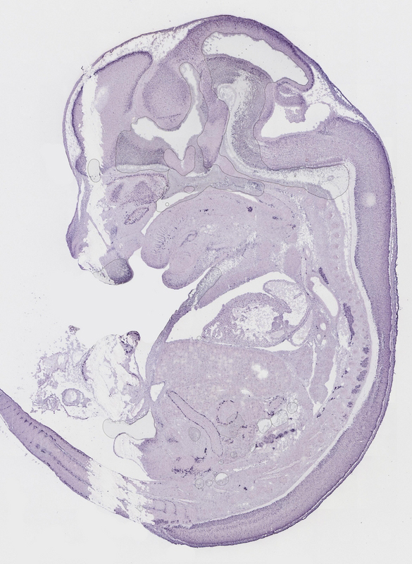
Specimen
euxassay_001126_02:
embryonic day 14.5
(more
)
Note: Additional information for this specimen was included in the Eurexpress data submission file.
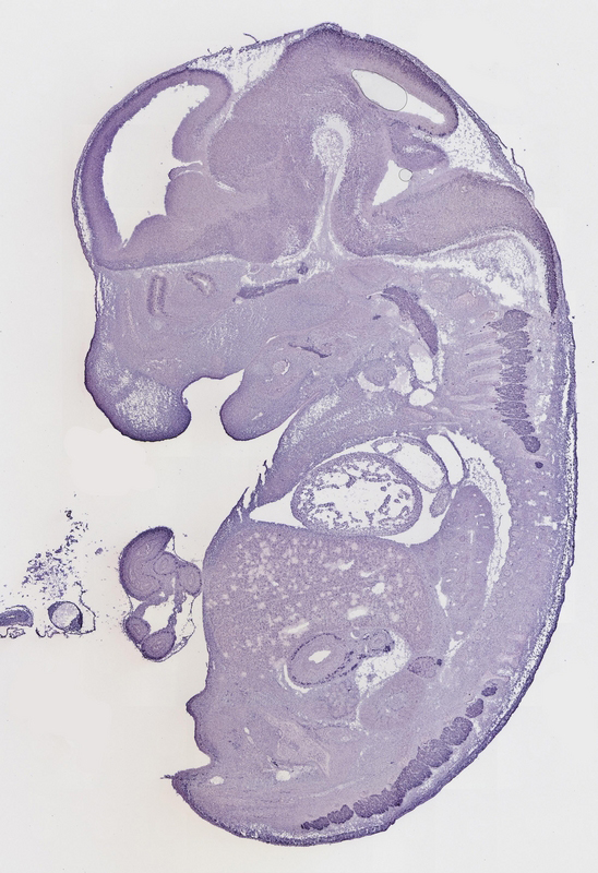
Specimen
euxassay_001126_03:
embryonic day 14.5
(more
)
Note: Additional information for this specimen was included in the Eurexpress data submission file.
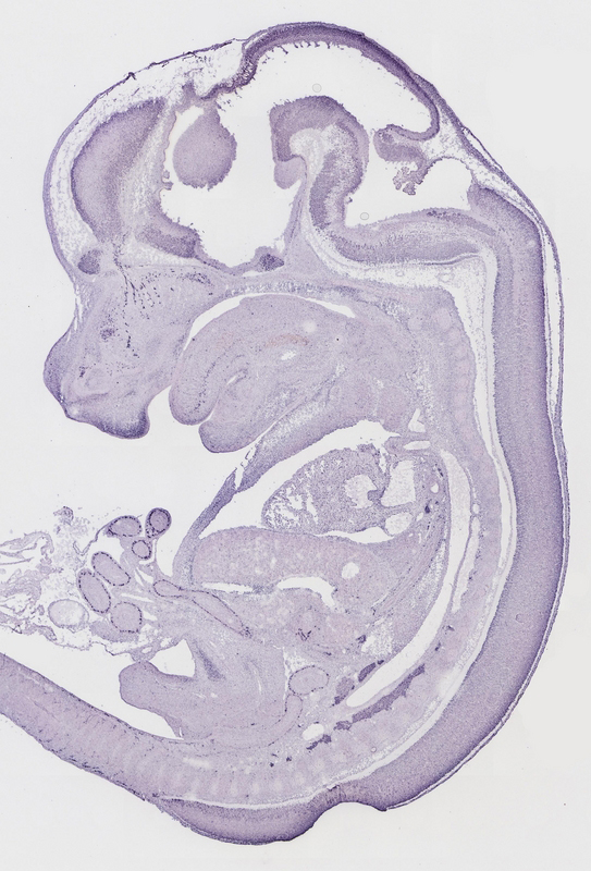
Specimen
euxassay_001126_04:
embryonic day 14.5
(more
)
Note: Additional information for this specimen was included in the Eurexpress data submission file.
Specimen
euxassay_001126_05:
embryonic day 14.5
(more
)
Note: Additional information for this specimen was included in the Eurexpress data submission file.
Specimen
euxassay_001126_06:
embryonic day 14.5
(more
)
Note: Additional information for this specimen was included in the Eurexpress data submission file.
Specimen
euxassay_001126_07:
embryonic day 14.5
(more
)
Note: Additional information for this specimen was included in the Eurexpress data submission file.
Specimen
euxassay_001126_08:
embryonic day 14.5
(more
)
Note: Additional information for this specimen was included in the Eurexpress data submission file.
Specimen
euxassay_001126_09:
embryonic day 14.5
(more
)
Note: Additional information for this specimen was included in the Eurexpress data submission file.
Specimen
euxassay_001126_10:
embryonic day 14.5
(more
)
Specimen
euxassay_001126_11:
embryonic day 14.5
(more
)
Specimen
euxassay_001126_12:
embryonic day 14.5
(more
)
Specimen
euxassay_001126_13:
embryonic day 14.5
(more
)
Specimen
euxassay_001126_14:
embryonic day 14.5
(more
)
Specimen
euxassay_001126_15:
embryonic day 14.5
(more
)
Specimen
euxassay_001126_16:
embryonic day 14.5
(more
)
Specimen
euxassay_001126_17:
embryonic day 14.5
(more
)
Specimen
euxassay_001126_18:
embryonic day 14.5
(more
)
Specimen
euxassay_001126_19:
embryonic day 14.5
(more
)
Specimen
euxassay_001126_20:
embryonic day 14.5
(more
)
Specimen
euxassay_001126_21:
embryonic day 14.5
(more
)
Specimen
euxassay_001126_22:
embryonic day 14.5
(more
)
|
Mouse Genome Database (MGD), Gene Expression Database (GXD), Mouse Models of Human Cancer database (MMHCdb) (formerly Mouse Tumor Biology (MTB)), Gene Ontology (GO) |
||
|
Citing These Resources Funding Information Warranty Disclaimer, Privacy Notice, Licensing, & Copyright Send questions and comments to User Support. |
last database update 01/20/2026 MGI 6.24 |
|
|
|
||