About   Help   FAQ
Gene Expression Data
Assay Details
Assay
Reference: J:153498 Diez-Roux G, et al., A high-resolution anatomical atlas of the transcriptome in the mouse embryo. PLoS Biol. 2011;9(1):e1000582
Assay type: RNA in situ
MGI Accession ID: MGI:4824987
Gene symbol: Galnt16
Gene name: polypeptide N-acetylgalactosaminyltransferase 16
Probe: T37716
Probe preparation: Antisense labelled with digoxigenin RNA
Visualized with: Alkaline phosphatase
Assay notes: Cryosections of fresh frozen material were fixed in 4% paraformaldehyde for 20 min. before further processing. A tyramide-biotin/streptavidin amplification step was included in the in situ hybridization procedure.
Results
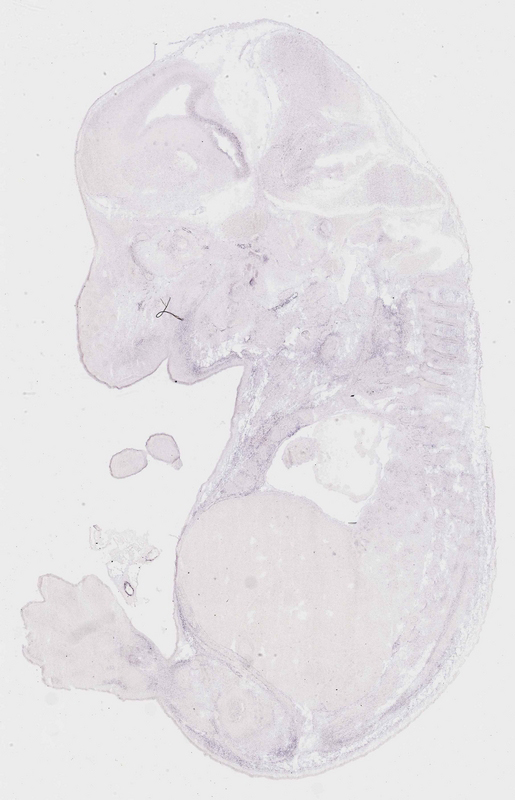
Specimen euxassay_011719_01: embryonic day 14.5 (more )
Structure Level Pattern Image Note
TS23: embryo mesenchyme Moderate Regionally restricted euxassay_011719_01

Specimen euxassay_011719_02: embryonic day 14.5 (more )
Structure Level Pattern Image Note
TS23: embryo mesenchyme Moderate Regionally restricted euxassay_011719_02
TS23: telencephalon ventricular layer Moderate Regionally restricted euxassay_011719_02

Specimen euxassay_011719_03: embryonic day 14.5 (more )
Structure Level Pattern Image Note
TS23: embryo mesenchyme Moderate Regionally restricted euxassay_011719_03
TS23: telencephalon ventricular layer Moderate Regionally restricted euxassay_011719_03

Specimen euxassay_011719_04: embryonic day 14.5 (more )
Structure Level Pattern Image Note
TS23: embryo mesenchyme Moderate Regionally restricted euxassay_011719_04
TS23: telencephalon ventricular layer Moderate Regionally restricted euxassay_011719_04

Specimen euxassay_011719_05: embryonic day 14.5 (more )
Structure Level Pattern Image Note
TS23: embryo mesenchyme Moderate Regionally restricted euxassay_011719_05
TS23: telencephalon ventricular layer Moderate Regionally restricted euxassay_011719_05
TS23: medulla oblongata basal plate mantle layer Moderate Regionally restricted euxassay_011719_05
TS23: pons mantle layer Moderate Regionally restricted euxassay_011719_05

Specimen euxassay_011719_06: embryonic day 14.5 (more )
Structure Level Pattern Image Note
TS23: embryo mesenchyme Moderate Regionally restricted euxassay_011719_06
TS23: midbrain ventricular layer Moderate Regionally restricted euxassay_011719_06
TS23: medulla oblongata basal plate mantle layer Moderate Regionally restricted euxassay_011719_06
TS23: ventral grey horn Moderate Regionally restricted euxassay_011719_06

Specimen euxassay_011719_07: embryonic day 14.5 (more )
Structure Level Pattern Image Note
TS23: embryo mesenchyme Moderate Regionally restricted euxassay_011719_07
TS23: midbrain ventricular layer Moderate Regionally restricted euxassay_011719_07
TS23: ventral grey horn Moderate Regionally restricted euxassay_011719_07

Specimen euxassay_011719_08: embryonic day 14.5 (more )
Structure Level Pattern Image Note
TS23: embryo mesenchyme Moderate Regionally restricted euxassay_011719_08
TS23: midbrain ventricular layer Moderate Regionally restricted euxassay_011719_08
TS23: diencephalon lateral wall ventricular layer Moderate Regionally restricted euxassay_011719_08
TS23: pons ventricular layer Moderate Regionally restricted euxassay_011719_08
TS23: ventral grey horn Moderate Regionally restricted euxassay_011719_08

Specimen euxassay_011719_09: embryonic day 14.5 (more )
Structure Level Pattern Image Note
TS23: embryo mesenchyme Moderate Regionally restricted euxassay_011719_09
TS23: diencephalon lateral wall ventricular layer Moderate Regionally restricted euxassay_011719_09
TS23: midbrain ventricular layer Moderate Regionally restricted euxassay_011719_09
TS23: pons ventricular layer Moderate Regionally restricted euxassay_011719_09
TS23: medulla oblongata basal plate ventricular layer Moderate Regionally restricted euxassay_011719_09
TS23: medulla oblongata alar plate ventricular layer Moderate Regionally restricted euxassay_011719_09
TS23: ventral grey horn Moderate Regionally restricted euxassay_011719_09

Specimen euxassay_011719_10: embryonic day 14.5 (more )
Structure Level Pattern Image Note
TS23: embryo mesenchyme Moderate Regionally restricted euxassay_011719_10
TS23: diencephalon lateral wall ventricular layer Moderate Regionally restricted euxassay_011719_10
TS23: midbrain ventricular layer Moderate Regionally restricted euxassay_011719_10
TS23: medulla oblongata floor plate Moderate Regionally restricted euxassay_011719_10
TS23: metencephalon floor plate Moderate Regionally restricted euxassay_011719_10
TS23: ventral grey horn Moderate Regionally restricted euxassay_011719_10

Specimen euxassay_011719_11: embryonic day 14.5 (more )
Structure Level Pattern Image Note
TS23: embryo mesenchyme Moderate Regionally restricted euxassay_011719_11
TS23: telencephalon ventricular layer Moderate Regionally restricted euxassay_011719_11
TS23: midbrain ventricular layer Moderate Regionally restricted euxassay_011719_11
TS23: metencephalon floor plate Moderate Regionally restricted euxassay_011719_11
TS23: medulla oblongata floor plate Moderate Regionally restricted euxassay_011719_11
TS23: ventral grey horn Moderate Regionally restricted euxassay_011719_11

Specimen euxassay_011719_12: embryonic day 14.5 (more )
Structure Level Pattern Image Note
TS23: embryo mesenchyme Moderate Regionally restricted euxassay_011719_12
TS23: telencephalon ventricular layer Moderate Regionally restricted euxassay_011719_12
TS23: midbrain ventricular layer Moderate Regionally restricted euxassay_011719_12
TS23: pons ventricular layer Moderate Regionally restricted euxassay_011719_12
TS23: ventral grey horn Moderate Regionally restricted euxassay_011719_12

Specimen euxassay_011719_13: embryonic day 14.5 (more )
Structure Level Pattern Image Note
TS23: embryo mesenchyme Moderate Regionally restricted euxassay_011719_13
TS23: telencephalon ventricular layer Moderate Regionally restricted euxassay_011719_13
TS23: midbrain ventricular layer Moderate Regionally restricted euxassay_011719_13
TS23: pons ventricular layer Moderate Regionally restricted euxassay_011719_13

Specimen euxassay_011719_14: embryonic day 14.5 (more )
Structure Level Pattern Image Note
TS23: embryo mesenchyme Moderate Regionally restricted euxassay_011719_14
TS23: telencephalon ventricular layer Moderate Regionally restricted euxassay_011719_14
TS23: midbrain ventricular layer Moderate Regionally restricted euxassay_011719_14

Specimen euxassay_011719_15: embryonic day 14.5 (more )
Structure Level Pattern Image Note
TS23: embryo mesenchyme Moderate Regionally restricted euxassay_011719_15
TS23: telencephalon ventricular layer Moderate Regionally restricted euxassay_011719_15
TS23: pons mantle layer Moderate Regionally restricted euxassay_011719_15
TS23: medulla oblongata basal plate mantle layer Moderate Regionally restricted euxassay_011719_15

Specimen euxassay_011719_16: embryonic day 14.5 (more )
Structure Level Pattern Image Note
TS23: embryo mesenchyme Moderate Regionally restricted euxassay_011719_16
TS23: telencephalon ventricular layer Moderate Regionally restricted euxassay_011719_16

Specimen euxassay_011719_17: embryonic day 14.5 (more )
Structure Level Pattern Image Note
TS23: embryo mesenchyme Moderate Regionally restricted euxassay_011719_17
TS23: telencephalon ventricular layer Moderate Regionally restricted euxassay_011719_17

Specimen euxassay_011719_18: embryonic day 14.5 (more )
Structure Level Pattern Image Note
TS23: embryo mesenchyme Moderate Regionally restricted euxassay_011719_18
TS23: telencephalon ventricular layer Moderate Regionally restricted euxassay_011719_18

Specimen euxassay_011719_19: embryonic day 14.5 (more )
Structure Level Pattern Image Note
TS23: embryo mesenchyme Moderate Regionally restricted euxassay_011719_19

Specimen euxassay_011719_20: embryonic day 14.5 (more )
Structure Level Pattern Image Note
TS23: embryo mesenchyme Moderate Regionally restricted euxassay_011719_20

Specimen euxassay_011719_21: embryonic day 14.5 (more )
Structure Level Pattern Image Note
TS23: embryo mesenchyme Moderate Regionally restricted euxassay_011719_21

Specimen euxassay_011719_22: embryonic day 14.5 (more )
Structure Level Pattern Image Note
TS23: embryo mesenchyme Moderate Regionally restricted euxassay_011719_22

Specimen euxassay_011719_23: embryonic day 14.5 (more )
Structure Level Pattern Image Note
TS23: embryo mesenchyme Moderate Regionally restricted euxassay_011719_23


Contributing Projects:
Mouse Genome Database (MGD), Gene Expression Database (GXD), Mouse Models of Human Cancer database (MMHCdb) (formerly Mouse Tumor Biology (MTB)), Gene Ontology (GO)
Citing These Resources
Funding Information
Warranty Disclaimer, Privacy Notice, Licensing, & Copyright
Send questions and comments to User Support.
last database update
12/30/2025
MGI 6.24
The Jackson Laboratory