About   Help   FAQ
Gene Expression Data
Assay Details
Assay
Reference: J:153498 Diez-Roux G, et al., A high-resolution anatomical atlas of the transcriptome in the mouse embryo. PLoS Biol. 2011;9(1):e1000582
Assay type: RNA in situ
MGI Accession ID: MGI:4824931
Gene symbol: Fry
Gene name: FRY microtubule binding protein
Probe: T39694
Probe preparation: Antisense labelled with digoxigenin RNA
Visualized with: Alkaline phosphatase
Assay notes: Cryosections of fresh frozen material were fixed in 4% paraformaldehyde for 20 min. before further processing. A tyramide-biotin/streptavidin amplification step was included in the in situ hybridization procedure.
Results
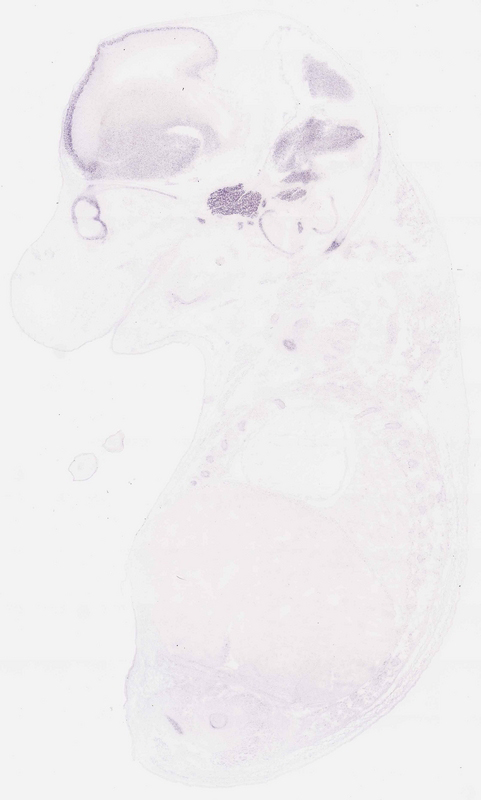
Specimen euxassay_016041_01: embryonic day 14.5 (more )
Structure Level Pattern Image Note
TS23: neural retina Weak Regionally restricted euxassay_016041_01
TS23: orbito-sphenoid Weak Regionally restricted euxassay_016041_01
TS23: temporal bone Weak Regionally restricted euxassay_016041_01
TS23: exoccipital bone Weak Regionally restricted euxassay_016041_01
TS23: upper leg rest of mesenchyme Weak Regionally restricted euxassay_016041_01
TS23: telencephalon mantle layer Moderate Regionally restricted euxassay_016041_01

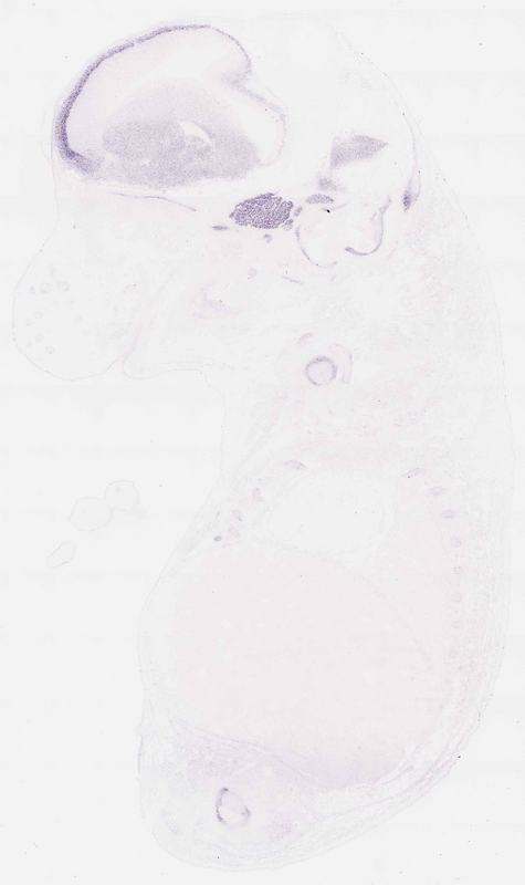
Specimen euxassay_016041_02: embryonic day 14.5 (more )
Structure Level Pattern Image Note
TS23: neural retina Weak Regionally restricted euxassay_016041_02
TS23: temporal bone Weak Regionally restricted euxassay_016041_02
TS23: exoccipital bone Weak Regionally restricted euxassay_016041_02
TS23: fibula Weak Regionally restricted euxassay_016041_02
TS23: tibia Weak Regionally restricted euxassay_016041_02
TS23: telencephalon mantle layer Strong Regionally restricted euxassay_016041_02

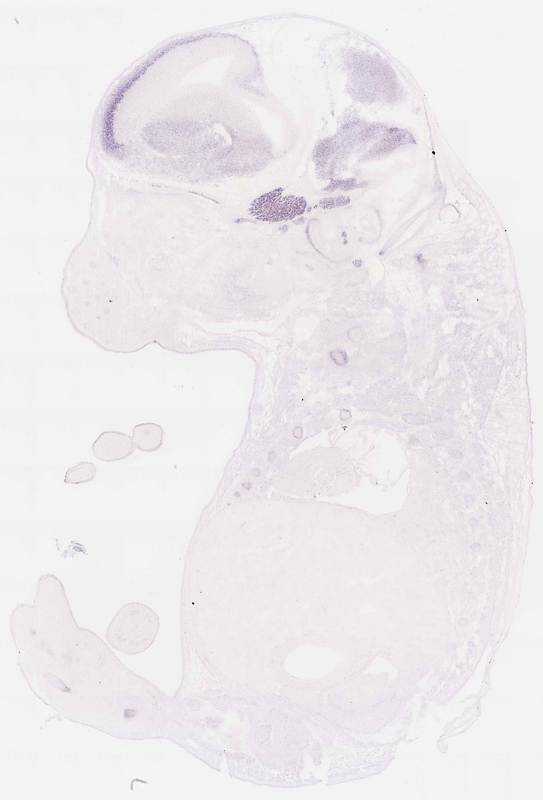
Specimen euxassay_016041_03: embryonic day 14.5 (more )
Structure Level Pattern Image Note
TS23: trigeminal ganglion Strong Regionally restricted euxassay_016041_03
TS23: neural retina Weak Regionally restricted euxassay_016041_03
TS23: exoccipital bone Weak Regionally restricted euxassay_016041_03
TS23: temporal bone Weak Regionally restricted euxassay_016041_03
TS23: hindlimb digit 1 metatarsal Weak Regionally restricted euxassay_016041_03
TS23: hindlimb digit 2 phalanx Weak Regionally restricted euxassay_016041_03
TS23: hindlimb digit 2 metatarsal Weak Regionally restricted euxassay_016041_03
TS23: hindlimb digit 3 phalanx Weak Regionally restricted euxassay_016041_03
TS23: telencephalon mantle layer Strong Regionally restricted euxassay_016041_03
TS23: rest of cerebellum mantle layer Moderate Regionally restricted euxassay_016041_03

Specimen euxassay_016041_04: embryonic day 14.5 (more )
Structure Level Pattern Image Note
TS23: trigeminal ganglion Strong Regionally restricted euxassay_016041_04
TS23: facial ganglion Strong Regionally restricted euxassay_016041_04
TS23: temporal bone Weak Regionally restricted euxassay_016041_04
TS23: exoccipital bone Weak Regionally restricted euxassay_016041_04
TS23: hindlimb digit 4 metatarsal Weak Regionally restricted euxassay_016041_04
TS23: hindlimb digit 4 phalanx Weak Regionally restricted euxassay_016041_04
TS23: telencephalon mantle layer Strong Regionally restricted euxassay_016041_04
TS23: rest of cerebellum mantle layer Moderate Regionally restricted euxassay_016041_04

Specimen euxassay_016041_05: embryonic day 14.5 (more )
Structure Level Pattern Image Note
TS23: trigeminal ganglion Strong Regionally restricted euxassay_016041_05
TS23: facial ganglion Strong Regionally restricted euxassay_016041_05
TS23: temporal bone Weak Regionally restricted euxassay_016041_05
TS23: orbito-sphenoid Weak Regionally restricted euxassay_016041_05
TS23: midbrain mantle layer Moderate Regionally restricted euxassay_016041_05
TS23: telencephalon mantle layer Moderate Regionally restricted euxassay_016041_05
TS23: pons mantle layer Moderate Regionally restricted euxassay_016041_05
TS23: rest of cerebellum mantle layer Moderate Regionally restricted euxassay_016041_05
TS23: vibrissa Weak Regionally restricted euxassay_016041_05

Specimen euxassay_016041_06: embryonic day 14.5 (more )
Structure Level Pattern Image Note
TS23: trigeminal ganglion Strong Regionally restricted euxassay_016041_06
TS23: vestibulo-cochlear ganglion Strong Regionally restricted euxassay_016041_06
TS23: glossopharyngeal ganglion Strong Regionally restricted euxassay_016041_06
TS23: otic capsule Weak Regionally restricted euxassay_016041_06
TS23: telencephalon mantle layer Moderate Regionally restricted euxassay_016041_06
TS23: midbrain mantle layer Moderate Regionally restricted euxassay_016041_06
TS23: pons mantle layer Moderate Regionally restricted euxassay_016041_06
TS23: rest of cerebellum mantle layer Moderate Regionally restricted euxassay_016041_06
TS23: medulla oblongata alar plate mantle layer Moderate Regionally restricted euxassay_016041_06
TS23: vibrissa Weak Regionally restricted euxassay_016041_06

Specimen euxassay_016041_07: embryonic day 14.5 (more )
Structure Level Pattern Image Note
TS23: vagus ganglion Strong Regionally restricted euxassay_016041_07
TS23: trigeminal ganglion Strong Regionally restricted euxassay_016041_07
TS23: turbinate bone primordium Weak Regionally restricted euxassay_016041_07
TS23: orbito-sphenoid Weak Regionally restricted euxassay_016041_07
TS23: otic capsule Weak Regionally restricted euxassay_016041_07
TS23: rib Weak Regionally restricted euxassay_016041_07
TS23: telencephalon mantle layer Moderate Regionally restricted euxassay_016041_07
TS23: diencephalon lateral wall mantle layer Moderate Regionally restricted euxassay_016041_07
TS23: midbrain mantle layer Moderate Regionally restricted euxassay_016041_07
TS23: pons mantle layer Moderate Regionally restricted euxassay_016041_07
TS23: rest of cerebellum mantle layer Moderate Regionally restricted euxassay_016041_07
TS23: medulla oblongata basal plate mantle layer Moderate Regionally restricted euxassay_016041_07
TS23: medulla oblongata alar plate mantle layer Moderate Regionally restricted euxassay_016041_07
TS23: vibrissa Weak Regionally restricted euxassay_016041_07

Specimen euxassay_016041_08: embryonic day 14.5 (more )
Structure Level Pattern Image Note
TS23: trigeminal ganglion Strong Regionally restricted euxassay_016041_08
TS23: dorsal root ganglion Strong Regionally restricted euxassay_016041_08
TS23: orbito-sphenoid Weak Regionally restricted euxassay_016041_08
TS23: turbinate bone primordium Weak Regionally restricted euxassay_016041_08
TS23: otic capsule Weak Regionally restricted euxassay_016041_08
TS23: cervical ganglion Weak Regionally restricted euxassay_016041_08
TS23: rib Weak Regionally restricted euxassay_016041_08
TS23: midbrain mantle layer Moderate Regionally restricted euxassay_016041_08
TS23: telencephalon mantle layer Moderate Regionally restricted euxassay_016041_08
TS23: diencephalon lateral wall mantle layer Moderate Regionally restricted euxassay_016041_08
TS23: pons mantle layer Moderate Regionally restricted euxassay_016041_08
TS23: rest of cerebellum mantle layer Moderate Regionally restricted euxassay_016041_08
TS23: medulla oblongata basal plate mantle layer Moderate Regionally restricted euxassay_016041_08
TS23: medulla oblongata alar plate mantle layer Moderate Regionally restricted euxassay_016041_08
TS23: spinal cord mantle layer Weak Regionally restricted euxassay_016041_08

Specimen euxassay_016041_09: embryonic day 14.5 (more )
Structure Level Pattern Image Note
TS23: dorsal root ganglion Strong Regionally restricted euxassay_016041_09
TS23: turbinate bone primordium Weak Regionally restricted euxassay_016041_09
TS23: clavicle Moderate Regionally restricted euxassay_016041_09
TS23: otic capsule Weak Regionally restricted euxassay_016041_09
TS23: pelvic girdle skeleton Moderate Regionally restricted euxassay_016041_09
TS23: cervico-thoracic ganglion Weak Regionally restricted euxassay_016041_09
TS23: rib Weak Regionally restricted euxassay_016041_09
TS23: midbrain mantle layer Moderate Regionally restricted euxassay_016041_09
TS23: telencephalon mantle layer Moderate Regionally restricted euxassay_016041_09
TS23: diencephalon lateral wall mantle layer Moderate Regionally restricted euxassay_016041_09
TS23: pons mantle layer Moderate Regionally restricted euxassay_016041_09
TS23: rest of cerebellum mantle layer Moderate Regionally restricted euxassay_016041_09
TS23: medulla oblongata basal plate mantle layer Moderate Regionally restricted euxassay_016041_09
TS23: medulla oblongata alar plate mantle layer Moderate Regionally restricted euxassay_016041_09
TS23: spinal cord mantle layer Moderate Regionally restricted euxassay_016041_09

Specimen euxassay_016041_10: embryonic day 14.5 (more )
Structure Level Pattern Image Note
TS23: dorsal root ganglion Strong Regionally restricted euxassay_016041_10
TS23: turbinate bone primordium Weak Regionally restricted euxassay_016041_10
TS23: thyroid cartilage Weak Regionally restricted euxassay_016041_10
TS23: midbrain mantle layer Moderate Regionally restricted euxassay_016041_10
TS23: telencephalon mantle layer Moderate Regionally restricted euxassay_016041_10
TS23: diencephalon lateral wall mantle layer Moderate Regionally restricted euxassay_016041_10
TS23: olfactory cortex mantle layer Moderate Regionally restricted euxassay_016041_10
TS23: pons mantle layer Moderate Regionally restricted euxassay_016041_10
TS23: rest of cerebellum mantle layer Moderate Regionally restricted euxassay_016041_10
TS23: medulla oblongata basal plate mantle layer Moderate Regionally restricted euxassay_016041_10
TS23: medulla oblongata alar plate mantle layer Moderate Regionally restricted euxassay_016041_10
TS23: spinal cord mantle layer Moderate Regionally restricted euxassay_016041_10

Specimen euxassay_016041_11: embryonic day 14.5 (more )
Structure Level Pattern Image Note
TS23: dorsal root ganglion Strong Regionally restricted euxassay_016041_11
TS23: thyroid cartilage Weak Regionally restricted euxassay_016041_11
TS23: cricoid cartilage Weak Regionally restricted euxassay_016041_11
TS23: rib Weak Regionally restricted euxassay_016041_11
TS23: midbrain mantle layer Moderate Regionally restricted euxassay_016041_11
TS23: telencephalon mantle layer Moderate Regionally restricted euxassay_016041_11
TS23: olfactory cortex mantle layer Moderate Regionally restricted euxassay_016041_11
TS23: diencephalon lateral wall mantle layer Moderate Regionally restricted euxassay_016041_11
TS23: pons mantle layer Moderate Regionally restricted euxassay_016041_11
TS23: rest of cerebellum mantle layer Moderate Regionally restricted euxassay_016041_11
TS23: medulla oblongata basal plate mantle layer Moderate Regionally restricted euxassay_016041_11
TS23: medulla oblongata alar plate mantle layer Moderate Regionally restricted euxassay_016041_11
TS23: spinal cord mantle layer Moderate Regionally restricted euxassay_016041_11

Specimen euxassay_016041_12: embryonic day 14.5 (more )
Structure Level Pattern Image Note
TS23: dorsal root ganglion Strong Regionally restricted euxassay_016041_12
TS23: sternum Moderate Regionally restricted euxassay_016041_12
TS23: thyroid cartilage Weak Regionally restricted euxassay_016041_12
TS23: nasal septum Weak Regionally restricted euxassay_016041_12
TS23: axial skeleton Weak Regionally restricted euxassay_016041_12
TS23: midbrain mantle layer Moderate Regionally restricted euxassay_016041_12
TS23: olfactory cortex mantle layer Moderate Regionally restricted euxassay_016041_12
TS23: telencephalon mantle layer Moderate Regionally restricted euxassay_016041_12
TS23: diencephalon lateral wall mantle layer Moderate Regionally restricted euxassay_016041_12
TS23: pons mantle layer Moderate Regionally restricted euxassay_016041_12
TS23: rest of cerebellum mantle layer Moderate Regionally restricted euxassay_016041_12
TS23: medulla oblongata basal plate mantle layer Moderate Regionally restricted euxassay_016041_12
TS23: medulla oblongata alar plate mantle layer Moderate Regionally restricted euxassay_016041_12
TS23: spinal cord mantle layer Weak Regionally restricted euxassay_016041_12

Specimen euxassay_016041_13: embryonic day 14.5 (more )
Structure Level Pattern Image Note
TS23: sternum Moderate Regionally restricted euxassay_016041_13
TS23: thyroid cartilage Weak Regionally restricted euxassay_016041_13
TS23: cricoid cartilage Weak Regionally restricted euxassay_016041_13
TS23: nasal septum Weak Regionally restricted euxassay_016041_13
TS23: thoracic ganglion Weak Regionally restricted euxassay_016041_13
TS23: axial skeleton tail region Weak Regionally restricted euxassay_016041_13
TS23: axial skeleton Weak Regionally restricted euxassay_016041_13
TS23: midbrain mantle layer Moderate Regionally restricted euxassay_016041_13
TS23: telencephalon mantle layer Moderate Regionally restricted euxassay_016041_13
TS23: diencephalon lateral wall mantle layer Moderate Regionally restricted euxassay_016041_13
TS23: pons mantle layer Moderate Regionally restricted euxassay_016041_13
TS23: rest of cerebellum mantle layer Moderate Regionally restricted euxassay_016041_13
TS23: medulla oblongata basal plate mantle layer Moderate Regionally restricted euxassay_016041_13
TS23: medulla oblongata alar plate mantle layer Moderate Regionally restricted euxassay_016041_13
TS23: spinal cord mantle layer Moderate Regionally restricted euxassay_016041_13

Specimen euxassay_016041_14: embryonic day 14.5 (more )
Structure Level Pattern Image Note
TS23: nasal septum Weak Regionally restricted euxassay_016041_14
TS23: rib Weak Regionally restricted euxassay_016041_14
TS23: axial skeleton tail region Weak Regionally restricted euxassay_016041_14
TS23: midbrain mantle layer Moderate Regionally restricted euxassay_016041_14
TS23: olfactory cortex mantle layer Moderate Regionally restricted euxassay_016041_14
TS23: telencephalon mantle layer Moderate Regionally restricted euxassay_016041_14
TS23: diencephalon lateral wall mantle layer Moderate Regionally restricted euxassay_016041_14
TS23: pons mantle layer Moderate Regionally restricted euxassay_016041_14
TS23: rest of cerebellum mantle layer Moderate Regionally restricted euxassay_016041_14
TS23: medulla oblongata basal plate mantle layer Moderate Regionally restricted euxassay_016041_14
TS23: medulla oblongata alar plate mantle layer Moderate Regionally restricted euxassay_016041_14
TS23: spinal cord mantle layer Moderate Regionally restricted euxassay_016041_14

Specimen euxassay_016041_15: embryonic day 14.5 (more )
Structure Level Pattern Image Note
TS23: dorsal root ganglion Strong Regionally restricted euxassay_016041_15
TS23: clavicle Moderate Regionally restricted euxassay_016041_15
TS23: otic capsule Weak Regionally restricted euxassay_016041_15
TS23: nasal septum Weak Regionally restricted euxassay_016041_15
TS23: cervico-thoracic ganglion Weak Regionally restricted euxassay_016041_15
TS23: rib Weak Regionally restricted euxassay_016041_15
TS23: axial skeleton tail region Weak Regionally restricted euxassay_016041_15
TS23: olfactory cortex mantle layer Moderate Regionally restricted euxassay_016041_15
TS23: midbrain mantle layer Moderate Regionally restricted euxassay_016041_15
TS23: diencephalon lateral wall mantle layer Moderate Regionally restricted euxassay_016041_15
TS23: telencephalon mantle layer Moderate Regionally restricted euxassay_016041_15
TS23: pons mantle layer Moderate Regionally restricted euxassay_016041_15
TS23: rest of cerebellum mantle layer Moderate Regionally restricted euxassay_016041_15
TS23: medulla oblongata basal plate mantle layer Moderate Regionally restricted euxassay_016041_15
TS23: medulla oblongata alar plate mantle layer Moderate Regionally restricted euxassay_016041_15
TS23: spinal cord mantle layer Moderate Regionally restricted euxassay_016041_15

Specimen euxassay_016041_16: embryonic day 14.5 (more )
Structure Level Pattern Image Note
TS23: trigeminal ganglion Strong Regionally restricted euxassay_016041_16
TS23: dorsal root ganglion Strong Regionally restricted euxassay_016041_16
TS23: turbinate bone primordium Weak Regionally restricted euxassay_016041_16
TS23: clavicle Moderate Regionally restricted euxassay_016041_16
TS23: otic capsule Weak Regionally restricted euxassay_016041_16
TS23: cervical ganglion Weak Regionally restricted euxassay_016041_16
TS23: rib Weak Regionally restricted euxassay_016041_16
TS23: midbrain mantle layer Moderate Regionally restricted euxassay_016041_16
TS23: olfactory cortex mantle layer Moderate Regionally restricted euxassay_016041_16
TS23: diencephalon lateral wall mantle layer Moderate Regionally restricted euxassay_016041_16
TS23: telencephalon mantle layer Moderate Regionally restricted euxassay_016041_16
TS23: pons mantle layer Moderate Regionally restricted euxassay_016041_16
TS23: rest of cerebellum mantle layer Moderate Regionally restricted euxassay_016041_16
TS23: medulla oblongata basal plate mantle layer Moderate Regionally restricted euxassay_016041_16
TS23: medulla oblongata alar plate mantle layer Moderate Regionally restricted euxassay_016041_16

Specimen euxassay_016041_17: embryonic day 14.5 (more )
Structure Level Pattern Image Note
TS23: trigeminal ganglion Strong Regionally restricted euxassay_016041_17
TS23: glossopharyngeal ganglion Strong Regionally restricted euxassay_016041_17
TS23: dorsal root ganglion Strong Regionally restricted euxassay_016041_17
TS23: orbito-sphenoid Weak Regionally restricted euxassay_016041_17
TS23: turbinate bone primordium Weak Regionally restricted euxassay_016041_17
TS23: temporal bone Weak Regionally restricted euxassay_016041_17
TS23: otic capsule Weak Regionally restricted euxassay_016041_17
TS23: midbrain mantle layer Moderate Regionally restricted euxassay_016041_17
TS23: olfactory cortex mantle layer Moderate Regionally restricted euxassay_016041_17
TS23: diencephalon lateral wall mantle layer Moderate Regionally restricted euxassay_016041_17
TS23: telencephalon mantle layer Moderate Regionally restricted euxassay_016041_17
TS23: pons mantle layer Moderate Regionally restricted euxassay_016041_17
TS23: rest of cerebellum mantle layer Moderate Regionally restricted euxassay_016041_17
TS23: medulla oblongata alar plate mantle layer Moderate Regionally restricted euxassay_016041_17
TS23: medulla oblongata basal plate mantle layer Moderate Regionally restricted euxassay_016041_17

Specimen euxassay_016041_18: embryonic day 14.5 (more )
Structure Level Pattern Image Note
TS23: glossopharyngeal ganglion Strong Regionally restricted euxassay_016041_18
TS23: trigeminal ganglion Strong Regionally restricted euxassay_016041_18
TS23: vestibulo-cochlear ganglion Weak Regionally restricted euxassay_016041_18
TS23: temporal bone Weak Regionally restricted euxassay_016041_18
TS23: turbinate bone primordium Weak Regionally restricted euxassay_016041_18
TS23: orbito-sphenoid Weak Regionally restricted euxassay_016041_18
TS23: otic capsule Weak Regionally restricted euxassay_016041_18
TS23: pelvic girdle skeleton Moderate Regionally restricted euxassay_016041_18
TS23: midbrain mantle layer Moderate Regionally restricted euxassay_016041_18
TS23: telencephalon mantle layer Moderate Regionally restricted euxassay_016041_18
TS23: diencephalon lateral wall mantle layer Moderate Regionally restricted euxassay_016041_18
TS23: rest of cerebellum mantle layer Moderate Regionally restricted euxassay_016041_18
TS23: pons mantle layer Moderate Regionally restricted euxassay_016041_18

Specimen euxassay_016041_19: embryonic day 14.5 (more )
Structure Level Pattern Image Note
TS23: trigeminal ganglion Strong Regionally restricted euxassay_016041_19
TS23: facial ganglion Strong Regionally restricted euxassay_016041_19
TS23: turbinate bone primordium Weak Regionally restricted euxassay_016041_19
TS23: orbito-sphenoid Weak Regionally restricted euxassay_016041_19
TS23: temporal bone Weak Regionally restricted euxassay_016041_19
TS23: exoccipital bone Weak Regionally restricted euxassay_016041_19
TS23: midbrain mantle layer Moderate Regionally restricted euxassay_016041_19
TS23: telencephalon mantle layer Moderate Regionally restricted euxassay_016041_19
TS23: rest of cerebellum mantle layer Moderate Regionally restricted euxassay_016041_19
TS23: pons mantle layer Moderate Regionally restricted euxassay_016041_19

Specimen euxassay_016041_20: embryonic day 14.5 (more )
Structure Level Pattern Image Note
TS23: trigeminal ganglion Strong Regionally restricted euxassay_016041_20
TS23: exoccipital bone Weak Regionally restricted euxassay_016041_20
TS23: temporal bone Weak Regionally restricted euxassay_016041_20
TS23: orbito-sphenoid Weak Regionally restricted euxassay_016041_20
TS23: telencephalon mantle layer Moderate Regionally restricted euxassay_016041_20
TS23: rest of cerebellum mantle layer Moderate Regionally restricted euxassay_016041_20

Specimen euxassay_016041_21: embryonic day 14.5 (more )
Structure Level Pattern Image Note
TS23: trigeminal ganglion Strong Regionally restricted euxassay_016041_21
TS23: facial ganglion Strong Regionally restricted euxassay_016041_21
TS23: temporal bone Weak Regionally restricted euxassay_016041_21
TS23: telencephalon mantle layer Moderate Regionally restricted euxassay_016041_21
TS23: cerebral cortex mantle layer Strong Regionally restricted euxassay_016041_21

Specimen euxassay_016041_22: embryonic day 14.5 (more )
Structure Level Pattern Image Note
TS23: trigeminal ganglion Strong Regionally restricted euxassay_016041_22
TS23: neural retina Weak Regionally restricted euxassay_016041_22
TS23: temporal bone Weak Regionally restricted euxassay_016041_22
TS23: cerebral cortex mantle layer Strong Regionally restricted euxassay_016041_22
TS23: telencephalon mantle layer Moderate Regionally restricted euxassay_016041_22
TS23: vibrissa Weak Regionally restricted euxassay_016041_22

Specimen euxassay_016041_23: embryonic day 14.5 (more )
Structure Level Pattern Image Note
TS23: neural retina Weak Regionally restricted euxassay_016041_23
TS23: temporal bone Weak Regionally restricted euxassay_016041_23
TS23: orbito-sphenoid Weak Regionally restricted euxassay_016041_23
TS23: telencephalon mantle layer Moderate Regionally restricted euxassay_016041_23
TS23: cerebral cortex mantle layer Strong Regionally restricted euxassay_016041_23

Specimen euxassay_016041_24: embryonic day 14.5 (more )
Structure Level Pattern Image Note
TS23: neural retina Weak Regionally restricted euxassay_016041_24
TS23: orbito-sphenoid Weak Regionally restricted euxassay_016041_24
TS23: exoccipital bone Weak Regionally restricted euxassay_016041_24
TS23: hindlimb digit 1 phalanx Weak Regionally restricted euxassay_016041_24
TS23: hindlimb digit 2 phalanx Weak Regionally restricted euxassay_016041_24
TS23: hindlimb digit 3 phalanx Weak Regionally restricted euxassay_016041_24
TS23: hindlimb digit 4 phalanx Weak Regionally restricted euxassay_016041_24
TS23: hindlimb digit 5 phalanx Weak Regionally restricted euxassay_016041_24
TS23: hindlimb digit 1 metatarsal Weak Regionally restricted euxassay_016041_24
TS23: hindlimb digit 3 metatarsal Weak Regionally restricted euxassay_016041_24
TS23: cerebral cortex mantle layer Strong Regionally restricted euxassay_016041_24


Contributing Projects:
Mouse Genome Database (MGD), Gene Expression Database (GXD), Mouse Models of Human Cancer database (MMHCdb) (formerly Mouse Tumor Biology (MTB)), Gene Ontology (GO)
Citing These Resources
Funding Information
Warranty Disclaimer, Privacy Notice, Licensing, & Copyright
Send questions and comments to User Support.
last database update
12/30/2025
MGI 6.24
The Jackson Laboratory