About   Help   FAQ
Gene Expression Data
Assay Details
Assay
Reference: J:153498 Diez-Roux G, et al., A high-resolution anatomical atlas of the transcriptome in the mouse embryo. PLoS Biol. 2011;9(1):e1000582
Assay type: RNA in situ
MGI Accession ID: MGI:4824927
Gene symbol: Frmd8
Gene name: FERM domain containing 8
Probe: MGC clone 7037
Probe preparation: Antisense labelled with digoxigenin RNA
Visualized with: Alkaline phosphatase
Assay notes: Cryosections of fresh frozen material were fixed in 4% paraformaldehyde for 20 min. before further processing. A tyramide-biotin/streptavidin amplification step was included in the in situ hybridization procedure.
Results
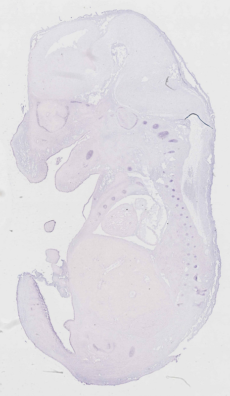
Specimen euxassay_012085_01: embryonic day 14.5 (more )
Structure Level Pattern Image Note
TS23: humerus Strong Regionally restricted euxassay_012085_01
TS23: tibia Moderate Regionally restricted euxassay_012085_01
TS23: fibula Moderate Regionally restricted euxassay_012085_01
TS23: temporal bone Strong Regionally restricted euxassay_012085_01
TS23: orbito-sphenoid Strong Regionally restricted euxassay_012085_01
TS23: exoccipital bone Strong Regionally restricted euxassay_012085_01
TS23: rib Moderate Regionally restricted euxassay_012085_01

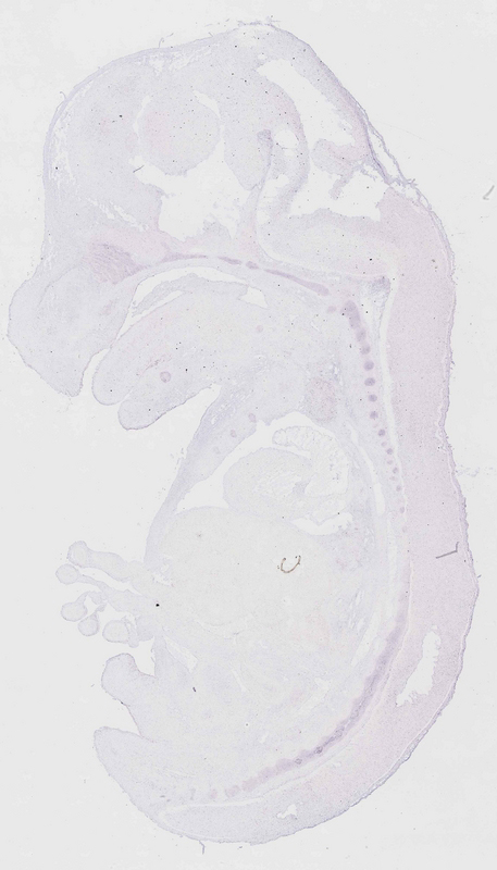
Specimen euxassay_012085_02: embryonic day 14.5 (more )
Structure Level Pattern Image Note
TS23: humerus Moderate Regionally restricted euxassay_012085_02
TS23: tibia Moderate Regionally restricted euxassay_012085_02
TS23: femur Moderate Regionally restricted euxassay_012085_02
TS23: temporal bone Strong Regionally restricted euxassay_012085_02
TS23: exoccipital bone Strong Regionally restricted euxassay_012085_02
TS23: orbito-sphenoid Strong Regionally restricted euxassay_012085_02
TS23: rib Moderate Regionally restricted euxassay_012085_02

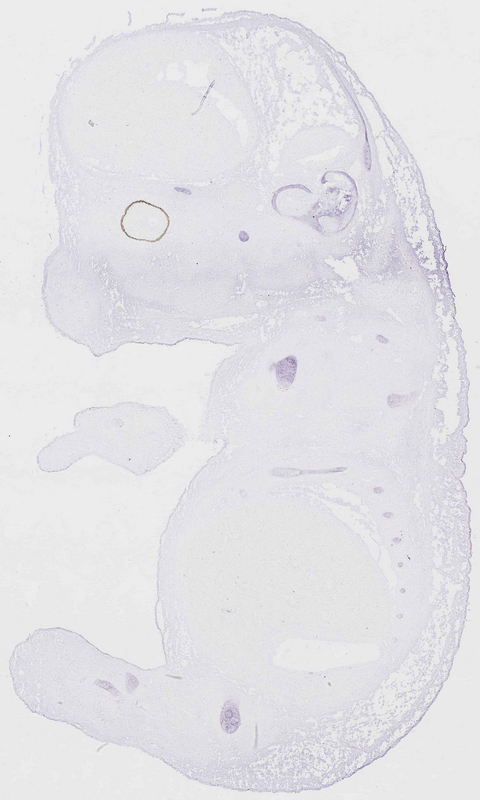
Specimen euxassay_012085_03: embryonic day 14.5 (more )
Structure Level Pattern Image Note
TS23: humerus Moderate Regionally restricted euxassay_012085_03
TS23: femur Moderate Regionally restricted euxassay_012085_03
TS23: temporal bone Weak Regionally restricted euxassay_012085_03
TS23: exoccipital bone Weak Regionally restricted euxassay_012085_03
TS23: rib Weak Regionally restricted euxassay_012085_03

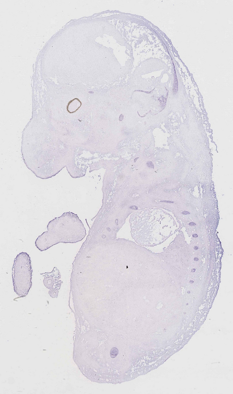
Specimen euxassay_012085_04: embryonic day 14.5 (more )
Structure Level Pattern Image Note
TS23: humerus Moderate Regionally restricted euxassay_012085_04
TS23: scapula Weak Regionally restricted euxassay_012085_04
TS23: femur Weak Regionally restricted euxassay_012085_04
TS23: exoccipital bone Weak Regionally restricted euxassay_012085_04
TS23: temporal bone Weak Regionally restricted euxassay_012085_04
TS23: rib Weak Regionally restricted euxassay_012085_04

Specimen euxassay_012085_05: embryonic day 14.5 (more )
Structure Level Pattern Image Note
TS23: humerus Moderate Regionally restricted euxassay_012085_05
TS23: scapula Strong Regionally restricted euxassay_012085_05
TS23: femur Strong Regionally restricted euxassay_012085_05
TS23: temporal bone Moderate Regionally restricted euxassay_012085_05
TS23: exoccipital bone Moderate Regionally restricted euxassay_012085_05
TS23: orbito-sphenoid Moderate Regionally restricted euxassay_012085_05
TS23: rib Moderate Regionally restricted euxassay_012085_05

Specimen euxassay_012085_06: embryonic day 14.5 (more )
Structure Level Pattern Image Note
TS23: femur Strong Regionally restricted euxassay_012085_06
TS23: orbito-sphenoid Moderate Regionally restricted euxassay_012085_06
TS23: turbinate bone primordium Moderate Regionally restricted euxassay_012085_06
TS23: exoccipital bone Moderate Regionally restricted euxassay_012085_06
TS23: rib Moderate Regionally restricted euxassay_012085_06
TS23: clavicle Moderate Regionally restricted euxassay_012085_06

Specimen euxassay_012085_07: embryonic day 14.5 (more )
Structure Level Pattern Image Note
TS23: femur Moderate Regionally restricted euxassay_012085_07
TS23: exoccipital bone Weak Regionally restricted euxassay_012085_07
TS23: rib Weak Regionally restricted euxassay_012085_07

Specimen euxassay_012085_08: embryonic day 14.5 (more )
Structure Level Pattern Image Note
TS23: turbinate bone primordium Weak Regionally restricted euxassay_012085_08
TS23: rib Weak Regionally restricted euxassay_012085_08
TS23: clavicle Weak Regionally restricted euxassay_012085_08

Specimen euxassay_012085_09: embryonic day 14.5 (more )
Structure Level Pattern Image Note
TS23: pelvic girdle skeleton Weak Regionally restricted euxassay_012085_09
TS23: basioccipital bone Weak Regionally restricted euxassay_012085_09
TS23: rib Weak Regionally restricted euxassay_012085_09
TS23: axial skeleton Weak Regionally restricted euxassay_012085_09
TS23: otic capsule Weak Regionally restricted euxassay_012085_09

Specimen euxassay_012085_10: embryonic day 14.5 (more )
Structure Level Pattern Image Note
TS23: basioccipital bone Weak Regionally restricted euxassay_012085_10
TS23: axial skeleton Weak Regionally restricted euxassay_012085_10
TS23: rib Weak Regionally restricted euxassay_012085_10

Specimen euxassay_012085_11: embryonic day 14.5 (more )
Structure Level Pattern Image Note
TS23: basisphenoid bone Weak Regionally restricted euxassay_012085_11
TS23: basioccipital bone Weak Regionally restricted euxassay_012085_11
TS23: rib Weak Regionally restricted euxassay_012085_11
TS23: axial skeleton Weak Regionally restricted euxassay_012085_11

Specimen euxassay_012085_12: embryonic day 14.5 (more )
Structure Level Pattern Image Note
TS23: basisphenoid bone Weak Regionally restricted euxassay_012085_12
TS23: basioccipital bone Weak Regionally restricted euxassay_012085_12
TS23: axial skeleton Weak Regionally restricted euxassay_012085_12

Specimen euxassay_012085_13: embryonic day 14.5 (more )
Structure Level Pattern Image Note
TS23: basioccipital bone Weak Regionally restricted euxassay_012085_13
TS23: basisphenoid bone Weak Regionally restricted euxassay_012085_13
TS23: axial skeleton Weak Regionally restricted euxassay_012085_13

Specimen euxassay_012085_14: embryonic day 14.5 (more )
Structure Level Pattern Image Note
TS23: basisphenoid bone Weak Regionally restricted euxassay_012085_14
TS23: basioccipital bone Weak Regionally restricted euxassay_012085_14
TS23: axial skeleton Weak Regionally restricted euxassay_012085_14

Specimen euxassay_012085_15: embryonic day 14.5 (more )
Structure Level Pattern Image Note
TS23: basioccipital bone Weak Regionally restricted euxassay_012085_15
TS23: axial skeleton Weak Regionally restricted euxassay_012085_15

Specimen euxassay_012085_16: embryonic day 14.5 (more )
Structure Level Pattern Image Note
TS23: pelvic girdle skeleton Weak Regionally restricted euxassay_012085_16
TS23: basioccipital bone Weak Regionally restricted euxassay_012085_16
TS23: axial skeleton Weak Regionally restricted euxassay_012085_16
TS23: rib Weak Regionally restricted euxassay_012085_16

Specimen euxassay_012085_17: embryonic day 14.5 (more )
Structure Level Pattern Image Note
TS23: turbinate bone primordium Weak Regionally restricted euxassay_012085_17
TS23: axial skeleton Weak Regionally restricted euxassay_012085_17
TS23: rib Weak Regionally restricted euxassay_012085_17
TS23: clavicle Weak Regionally restricted euxassay_012085_17
TS23: otic capsule Weak Regionally restricted euxassay_012085_17

Specimen euxassay_012085_18: embryonic day 14.5 (more )
Structure Level Pattern Image Note
TS23: femur Weak Regionally restricted euxassay_012085_18
TS23: orbito-sphenoid Moderate Regionally restricted euxassay_012085_18
TS23: turbinate bone primordium Moderate Regionally restricted euxassay_012085_18
TS23: axial skeleton Moderate Regionally restricted euxassay_012085_18
TS23: rib Moderate Regionally restricted euxassay_012085_18
TS23: otic capsule Weak Regionally restricted euxassay_012085_18

Specimen euxassay_012085_19: embryonic day 14.5 (more )
Structure Level Pattern Image Note
TS23: femur Moderate Regionally restricted euxassay_012085_19
TS23: exoccipital bone Moderate Regionally restricted euxassay_012085_19
TS23: orbito-sphenoid Moderate Regionally restricted euxassay_012085_19
TS23: axial skeleton Weak Regionally restricted euxassay_012085_19
TS23: rib Weak Regionally restricted euxassay_012085_19

Specimen euxassay_012085_20: embryonic day 14.5 (more )
Structure Level Pattern Image Note
TS23: femur Moderate Regionally restricted euxassay_012085_20
TS23: exoccipital bone Moderate Regionally restricted euxassay_012085_20
TS23: temporal bone Moderate Regionally restricted euxassay_012085_20
TS23: rib Weak Regionally restricted euxassay_012085_20
TS23: clavicle Weak Regionally restricted euxassay_012085_20

Specimen euxassay_012085_21: embryonic day 14.5 (more )
Structure Level Pattern Image Note
TS23: femur Moderate Regionally restricted euxassay_012085_21
TS23: orbito-sphenoid Moderate Regionally restricted euxassay_012085_21
TS23: exoccipital bone Moderate Regionally restricted euxassay_012085_21
TS23: rib Weak Regionally restricted euxassay_012085_21
TS23: clavicle Weak Regionally restricted euxassay_012085_21

Specimen euxassay_012085_22: embryonic day 14.5 (more )
Structure Level Pattern Image Note
TS23: humerus Moderate Regionally restricted euxassay_012085_22
TS23: scapula Moderate Regionally restricted euxassay_012085_22
TS23: femur Moderate Regionally restricted euxassay_012085_22
TS23: temporal bone Moderate Regionally restricted euxassay_012085_22
TS23: exoccipital bone Moderate Regionally restricted euxassay_012085_22
TS23: orbito-sphenoid Moderate Regionally restricted euxassay_012085_22
TS23: rib Weak Regionally restricted euxassay_012085_22

Specimen euxassay_012085_23: embryonic day 14.5 (more )
Structure Level Pattern Image Note
TS23: humerus Moderate Regionally restricted euxassay_012085_23
TS23: scapula Weak Regionally restricted euxassay_012085_23
TS23: temporal bone Weak Regionally restricted euxassay_012085_23
TS23: rib Weak Regionally restricted euxassay_012085_23

Specimen euxassay_012085_24: embryonic day 14.5 (more )
Structure Level Pattern Image Note
TS23: humerus Moderate Regionally restricted euxassay_012085_24
TS23: scapula Weak Regionally restricted euxassay_012085_24
TS23: temporal bone Weak Regionally restricted euxassay_012085_24
TS23: exoccipital bone Weak Regionally restricted euxassay_012085_24
TS23: orbito-sphenoid Weak Regionally restricted euxassay_012085_24


Contributing Projects:
Mouse Genome Database (MGD), Gene Expression Database (GXD), Mouse Models of Human Cancer database (MMHCdb) (formerly Mouse Tumor Biology (MTB)), Gene Ontology (GO)
Citing These Resources
Funding Information
Warranty Disclaimer, Privacy Notice, Licensing, & Copyright
Send questions and comments to User Support.
last database update
01/28/2026
MGI 6.24
The Jackson Laboratory