About   Help   FAQ
Gene Expression Data
Assay Details
Assay
Reference: J:153498 Diez-Roux G, et al., A high-resolution anatomical atlas of the transcriptome in the mouse embryo. PLoS Biol. 2011;9(1):e1000582
Assay type: RNA in situ
MGI Accession ID: MGI:4824924
Gene symbol: Frmd5
Gene name: FERM domain containing 5
Probe: MGC clone 86085
Probe preparation: Antisense labelled with digoxigenin RNA
Visualized with: Alkaline phosphatase
Assay notes: Cryosections of fresh frozen material were fixed in 4% paraformaldehyde for 20 min. before further processing. A tyramide-biotin/streptavidin amplification step was included in the in situ hybridization procedure.
Results
Specimen euxassay_010946_01: embryonic day 14.5 (more )
Structure Level Pattern Image Note
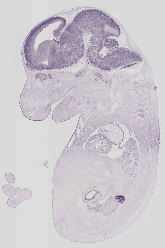
TS23: brain Strong Regionally restricted euxassay_010946_01
TS23: retina Moderate Regionally restricted euxassay_010946_01

Specimen euxassay_010946_02: embryonic day 14.5 (more )
Structure Level Pattern Image Note
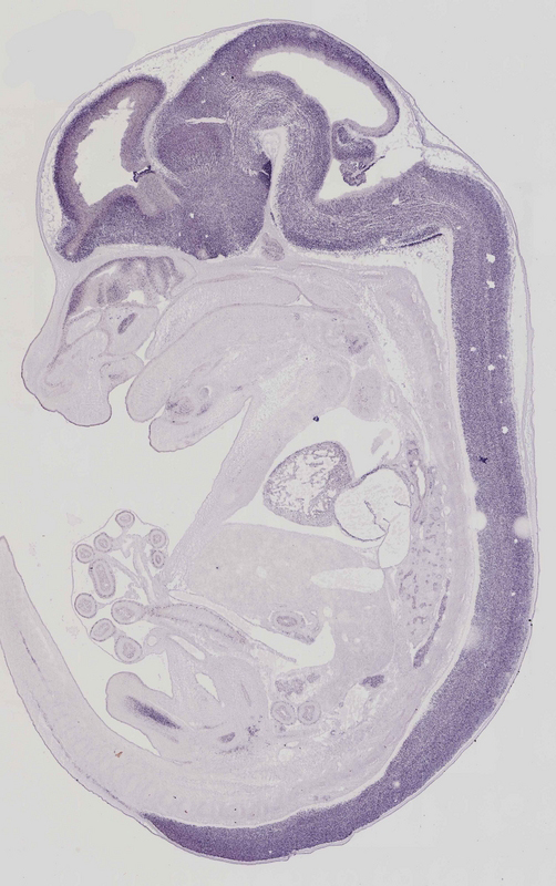
TS23: brain Strong Regionally restricted euxassay_010946_02
TS23: retina Moderate Regionally restricted euxassay_010946_02
TS23: stomach Weak Regionally restricted euxassay_010946_02
TS23: stomach mesentery Moderate Regionally restricted euxassay_010946_02

Specimen euxassay_010946_03: embryonic day 14.5 (more )
Structure Level Pattern Image Note
TS23: brain Strong Regionally restricted euxassay_010946_03
TS23: retina Moderate Regionally restricted euxassay_010946_03
TS23: stomach Moderate Regionally restricted euxassay_010946_03
TS23: peritoneum Moderate Regionally restricted euxassay_010946_03
TS23: stomach mesentery Moderate Regionally restricted euxassay_010946_03

Specimen euxassay_010946_04: embryonic day 14.5 (more )
Structure Level Pattern Image Note
TS23: brain Strong Regionally restricted euxassay_010946_04
TS23: vestibulo-cochlear ganglion Weak Regionally restricted euxassay_010946_04
TS23: retina Moderate Regionally restricted euxassay_010946_04
TS23: left lung Moderate Regionally restricted euxassay_010946_04
TS23: stomach Moderate Regionally restricted euxassay_010946_04
TS23: stomach mesentery Moderate Regionally restricted euxassay_010946_04
TS23: peritoneum Moderate Regionally restricted euxassay_010946_04

Specimen euxassay_010946_05: embryonic day 14.5 (more )
Structure Level Pattern Image Note
TS23: brain Strong Regionally restricted euxassay_010946_05
TS23: trigeminal ganglion Weak Regionally restricted euxassay_010946_05
TS23: facial ganglion Weak Regionally restricted euxassay_010946_05
TS23: vestibulo-cochlear ganglion Weak Regionally restricted euxassay_010946_05
TS23: retina Moderate Regionally restricted euxassay_010946_05
TS23: left lung Moderate Regionally restricted euxassay_010946_05
TS23: stomach Moderate Regionally restricted euxassay_010946_05
TS23: stomach mesentery Moderate Regionally restricted euxassay_010946_05
TS23: peritoneum Moderate Regionally restricted euxassay_010946_05

Specimen euxassay_010946_06: embryonic day 14.5 (more )
Structure Level Pattern Image Note
TS23: brain Strong Regionally restricted euxassay_010946_06
TS23: trigeminal ganglion Weak Regionally restricted euxassay_010946_06
TS23: facial ganglion Weak Regionally restricted euxassay_010946_06
TS23: vestibulo-cochlear ganglion Weak Regionally restricted euxassay_010946_06
TS23: left lung Moderate Regionally restricted euxassay_010946_06
TS23: stomach Moderate Regionally restricted euxassay_010946_06
TS23: stomach mesentery Moderate Regionally restricted euxassay_010946_06
TS23: peritoneum Moderate Regionally restricted euxassay_010946_06

Specimen euxassay_010946_07: embryonic day 14.5 (more )
Structure Level Pattern Image Note
TS23: brain Strong Regionally restricted euxassay_010946_07
TS23: trigeminal ganglion Weak Regionally restricted euxassay_010946_07
TS23: vestibulo-cochlear ganglion Weak Regionally restricted euxassay_010946_07
TS23: facial ganglion Weak Regionally restricted euxassay_010946_07
TS23: left lung Moderate Regionally restricted euxassay_010946_07
TS23: heart atrium Moderate Regionally restricted euxassay_010946_07
TS23: stomach Moderate Regionally restricted euxassay_010946_07
TS23: stomach mesentery Moderate Regionally restricted euxassay_010946_07
TS23: peritoneum Moderate Regionally restricted euxassay_010946_07
TS23: foot mesenchyme Moderate Regionally restricted euxassay_010946_07
TS23: vibrissa Weak Regionally restricted euxassay_010946_07

Specimen euxassay_010946_08: embryonic day 14.5 (more )
Structure Level Pattern Image Note
TS23: brain Strong Regionally restricted euxassay_010946_08
TS23: trigeminal ganglion Weak Regionally restricted euxassay_010946_08
TS23: glossopharyngeal ganglion Weak Regionally restricted euxassay_010946_08
TS23: vestibulo-cochlear ganglion Moderate Regionally restricted euxassay_010946_08
TS23: renal calyx Moderate Regionally restricted euxassay_010946_08
TS23: left lung Moderate Regionally restricted euxassay_010946_08
TS23: heart atrium Moderate Regionally restricted euxassay_010946_08
TS23: heart ventricle Moderate Regionally restricted euxassay_010946_08
TS23: stomach Moderate Regionally restricted euxassay_010946_08
TS23: stomach mesentery Moderate Regionally restricted euxassay_010946_08
TS23: peritoneum Moderate Regionally restricted euxassay_010946_08
TS23: foot mesenchyme Moderate Regionally restricted euxassay_010946_08
TS23: lower jaw molar Moderate Regionally restricted euxassay_010946_08
TS23: upper jaw molar Moderate Regionally restricted euxassay_010946_08
TS23: vibrissa Weak Regionally restricted euxassay_010946_08

Specimen euxassay_010946_09: embryonic day 14.5 (more )
Structure Level Pattern Image Note
TS23: brain Strong Regionally restricted euxassay_010946_09
TS23: vestibulo-cochlear ganglion Moderate Regionally restricted euxassay_010946_09
TS23: trigeminal ganglion Moderate Regionally restricted euxassay_010946_09
TS23: glossopharyngeal ganglion Weak Regionally restricted euxassay_010946_09
TS23: olfactory epithelium Strong Regionally restricted euxassay_010946_09
TS23: dorsal root ganglion Weak Regionally restricted euxassay_010946_09
TS23: adrenal medulla Strong Regionally restricted euxassay_010946_09
TS23: renal calyx Moderate Regionally restricted euxassay_010946_09
TS23: left lung Moderate Regionally restricted euxassay_010946_09
TS23: heart atrium Weak Regionally restricted euxassay_010946_09
TS23: heart ventricle Weak Regionally restricted euxassay_010946_09
TS23: stomach Moderate Regionally restricted euxassay_010946_09
TS23: stomach mesentery Moderate Regionally restricted euxassay_010946_09
TS23: foot mesenchyme Moderate Regionally restricted euxassay_010946_09
TS23: lower jaw molar Moderate Regionally restricted euxassay_010946_09
TS23: upper jaw molar Moderate Regionally restricted euxassay_010946_09

Specimen euxassay_010946_10: embryonic day 14.5 (more )
Structure Level Pattern Image Note
TS23: brain Strong Regionally restricted euxassay_010946_10
TS23: trigeminal ganglion Weak Regionally restricted euxassay_010946_10
TS23: vagus ganglion Weak Regionally restricted euxassay_010946_10
TS23: vestibulo-cochlear ganglion Moderate Regionally restricted euxassay_010946_10
TS23: olfactory epithelium Strong Regionally restricted euxassay_010946_10
TS23: dorsal root ganglion Weak Regionally restricted euxassay_010946_10
TS23: adrenal medulla Strong Regionally restricted euxassay_010946_10
TS23: renal calyx Moderate Regionally restricted euxassay_010946_10
TS23: left lung Moderate Regionally restricted euxassay_010946_10
TS23: heart atrium Weak Regionally restricted euxassay_010946_10
TS23: heart ventricle Weak Regionally restricted euxassay_010946_10
TS23: stomach Moderate Regionally restricted euxassay_010946_10
TS23: stomach mesentery Moderate Regionally restricted euxassay_010946_10
TS23: pancreas Moderate Regionally restricted euxassay_010946_10

Specimen euxassay_010946_11: embryonic day 14.5 (more )
Structure Level Pattern Image Note
TS23: brain Strong Regionally restricted euxassay_010946_11
TS23: trigeminal nerve Moderate Regionally restricted euxassay_010946_11
TS23: trigeminal ganglion Weak Regionally restricted euxassay_010946_11
TS23: olfactory epithelium Strong Regionally restricted euxassay_010946_11
TS23: dorsal root ganglion Moderate Regionally restricted euxassay_010946_11
TS23: cervical ganglion Strong Regionally restricted euxassay_010946_11
TS23: adrenal medulla Strong Regionally restricted euxassay_010946_11
TS23: renal calyx Moderate Regionally restricted euxassay_010946_11
TS23: left lung Moderate Regionally restricted euxassay_010946_11
TS23: heart atrium Weak Regionally restricted euxassay_010946_11
TS23: heart ventricle Weak Regionally restricted euxassay_010946_11
TS23: stomach Moderate Regionally restricted euxassay_010946_11
TS23: midgut Moderate Regionally restricted euxassay_010946_11
TS23: stomach mesentery Moderate Regionally restricted euxassay_010946_11
TS23: midgut mesentery Moderate Regionally restricted euxassay_010946_11
TS23: pancreas Moderate Regionally restricted euxassay_010946_11

Specimen euxassay_010946_12: embryonic day 14.5 (more )
Structure Level Pattern Image Note
TS23: brain Strong Regionally restricted euxassay_010946_12
TS23: spinal cord Strong Regionally restricted euxassay_010946_12
TS23: olfactory epithelium Strong Regionally restricted euxassay_010946_12
TS23: dorsal root ganglion Moderate Regionally restricted euxassay_010946_12
TS23: cervico-thoracic ganglion Strong Regionally restricted euxassay_010946_12
TS23: adrenal medulla Strong Regionally restricted euxassay_010946_12
TS23: renal calyx Moderate Regionally restricted euxassay_010946_12
TS23: collecting duct Moderate Regionally restricted euxassay_010946_12
TS23: left lung Moderate Regionally restricted euxassay_010946_12
TS23: heart atrium Weak Regionally restricted euxassay_010946_12
TS23: heart ventricle Weak Regionally restricted euxassay_010946_12
TS23: stomach Moderate Regionally restricted euxassay_010946_12
TS23: midgut Moderate Regionally restricted euxassay_010946_12
TS23: midgut mesentery Moderate Regionally restricted euxassay_010946_12
TS23: pancreas Moderate Regionally restricted euxassay_010946_12
TS23: lower jaw incisor Moderate Regionally restricted euxassay_010946_12
TS23: upper jaw incisor Moderate Regionally restricted euxassay_010946_12

Specimen euxassay_010946_13: embryonic day 14.5 (more )
Structure Level Pattern Image Note
TS23: brain Strong Regionally restricted euxassay_010946_13
TS23: spinal cord Strong Regionally restricted euxassay_010946_13
TS23: olfactory epithelium Strong Regionally restricted euxassay_010946_13
TS23: vomeronasal organ Strong Regionally restricted euxassay_010946_13
TS23: dorsal root ganglion Moderate Regionally restricted euxassay_010946_13
TS23: cervico-thoracic ganglion Strong Regionally restricted euxassay_010946_13
TS23: renal calyx Moderate Regionally restricted euxassay_010946_13
TS23: left lung Moderate Regionally restricted euxassay_010946_13
TS23: heart atrium Moderate Regionally restricted euxassay_010946_13
TS23: heart ventricle Moderate Regionally restricted euxassay_010946_13
TS23: stomach Moderate Regionally restricted euxassay_010946_13
TS23: midgut Moderate Regionally restricted euxassay_010946_13
TS23: midgut mesentery Moderate Regionally restricted euxassay_010946_13
TS23: pancreas Moderate Regionally restricted euxassay_010946_13
TS23: lower jaw incisor Moderate Regionally restricted euxassay_010946_13
TS23: upper jaw incisor Moderate Regionally restricted euxassay_010946_13

Specimen euxassay_010946_14: embryonic day 14.5 (more )
Structure Level Pattern Image Note
TS23: brain Strong Regionally restricted euxassay_010946_14
TS23: spinal cord Strong Regionally restricted euxassay_010946_14
TS23: olfactory epithelium Strong Regionally restricted euxassay_010946_14
TS23: vomeronasal organ Strong Regionally restricted euxassay_010946_14
TS23: dorsal root ganglion Moderate Regionally restricted euxassay_010946_14
TS23: thoracic ganglion Strong Regionally restricted euxassay_010946_14
TS23: right lung Moderate Regionally restricted euxassay_010946_14
TS23: heart atrium Moderate Regionally restricted euxassay_010946_14
TS23: heart ventricle Moderate Regionally restricted euxassay_010946_14
TS23: stomach Moderate Regionally restricted euxassay_010946_14
TS23: midgut Moderate Regionally restricted euxassay_010946_14
TS23: midgut mesentery Moderate Regionally restricted euxassay_010946_14
TS23: pancreas Moderate Regionally restricted euxassay_010946_14
TS23: trachea Moderate Regionally restricted euxassay_010946_14
TS23: tail paraxial mesenchyme Moderate Regionally restricted euxassay_010946_14
TS23: lower jaw incisor Moderate Regionally restricted euxassay_010946_14
TS23: upper jaw incisor Moderate Regionally restricted euxassay_010946_14

Specimen euxassay_010946_15: embryonic day 14.5 (more )
Structure Level Pattern Image Note
TS23: brain Strong Regionally restricted euxassay_010946_15
TS23: spinal cord Strong Regionally restricted euxassay_010946_15
TS23: olfactory epithelium Moderate Regionally restricted euxassay_010946_15
TS23: thoracic ganglion Strong Regionally restricted euxassay_010946_15
TS23: right lung Moderate Regionally restricted euxassay_010946_15
TS23: heart atrium Moderate Regionally restricted euxassay_010946_15
TS23: heart ventricle Moderate Regionally restricted euxassay_010946_15
TS23: stomach Moderate Regionally restricted euxassay_010946_15
TS23: midgut Moderate Regionally restricted euxassay_010946_15
TS23: midgut mesentery Moderate Regionally restricted euxassay_010946_15
TS23: trachea Moderate Regionally restricted euxassay_010946_15
TS23: esophagus Moderate Regionally restricted euxassay_010946_15
TS23: bladder Moderate Regionally restricted euxassay_010946_15
TS23: urethra Moderate Regionally restricted euxassay_010946_15 Originally this result was annotated to a male-specific term, but as the specimen was not sexed, it is likely the data annotator intended to use a non-sex specific term.
TS23: tail paraxial mesenchyme Moderate Regionally restricted euxassay_010946_15

Specimen euxassay_010946_16: embryonic day 14.5 (more )
Structure Level Pattern Image Note
TS23: brain Strong Regionally restricted euxassay_010946_16
TS23: spinal cord Strong Regionally restricted euxassay_010946_16
TS23: vomeronasal organ Strong Regionally restricted euxassay_010946_16
TS23: olfactory epithelium Strong Regionally restricted euxassay_010946_16
TS23: thoracic ganglion Strong Regionally restricted euxassay_010946_16
TS23: right lung Moderate Regionally restricted euxassay_010946_16
TS23: heart atrium Moderate Regionally restricted euxassay_010946_16
TS23: heart ventricle Moderate Regionally restricted euxassay_010946_16
TS23: stomach Moderate Regionally restricted euxassay_010946_16
TS23: midgut Moderate Regionally restricted euxassay_010946_16
TS23: rectum Moderate Regionally restricted euxassay_010946_16
TS23: midgut mesentery Moderate Regionally restricted euxassay_010946_16
TS23: trachea Moderate Regionally restricted euxassay_010946_16
TS23: bladder Moderate Regionally restricted euxassay_010946_16
TS23: urethra Moderate Regionally restricted euxassay_010946_16 Originally this result was annotated to a male-specific term, but as the specimen was not sexed, it is likely the data annotator intended to use a non-sex specific term.
TS23: tail paraxial mesenchyme Moderate Regionally restricted euxassay_010946_16

Specimen euxassay_010946_17: embryonic day 14.5 (more )
Structure Level Pattern Image Note
TS23: brain Strong Regionally restricted euxassay_010946_17
TS23: spinal cord Strong Regionally restricted euxassay_010946_17
TS23: olfactory epithelium Strong Regionally restricted euxassay_010946_17
TS23: vomeronasal organ Strong Regionally restricted euxassay_010946_17
TS23: thoracic ganglion Strong Regionally restricted euxassay_010946_17
TS23: right lung Moderate Regionally restricted euxassay_010946_17
TS23: heart atrium Moderate Regionally restricted euxassay_010946_17
TS23: heart ventricle Moderate Regionally restricted euxassay_010946_17
TS23: midgut Moderate Regionally restricted euxassay_010946_17
TS23: midgut mesentery Moderate Regionally restricted euxassay_010946_17
TS23: esophagus Moderate Regionally restricted euxassay_010946_17
TS23: urethra Moderate Regionally restricted euxassay_010946_17 Originally this result was annotated to a male-specific term, but as the specimen was not sexed, it is likely the data annotator intended to use a non-sex specific term.
TS23: tail paraxial mesenchyme Moderate Regionally restricted euxassay_010946_17
TS23: lower jaw incisor Weak Regionally restricted euxassay_010946_17
TS23: upper jaw incisor Weak Regionally restricted euxassay_010946_17

Specimen euxassay_010946_18: embryonic day 14.5 (more )
Structure Level Pattern Image Note
TS23: brain Strong Regionally restricted euxassay_010946_18
TS23: spinal cord Strong Regionally restricted euxassay_010946_18
TS23: olfactory epithelium Moderate Regionally restricted euxassay_010946_18
TS23: dorsal root ganglion Weak Regionally restricted euxassay_010946_18
TS23: cervico-thoracic ganglion Strong Regionally restricted euxassay_010946_18
TS23: thoracic ganglion Strong Regionally restricted euxassay_010946_18
TS23: right lung Moderate Regionally restricted euxassay_010946_18
TS23: heart atrium Moderate Regionally restricted euxassay_010946_18
TS23: heart ventricle Moderate Regionally restricted euxassay_010946_18
TS23: midgut Moderate Regionally restricted euxassay_010946_18
TS23: midgut mesentery Moderate Regionally restricted euxassay_010946_18
TS23: pancreas Moderate Regionally restricted euxassay_010946_18
TS23: tail paraxial mesenchyme Moderate Regionally restricted euxassay_010946_18
TS23: lower jaw incisor Weak Regionally restricted euxassay_010946_18
TS23: upper jaw incisor Weak Regionally restricted euxassay_010946_18

Specimen euxassay_010946_19: embryonic day 14.5 (more )
Structure Level Pattern Image Note
TS23: brain Strong Regionally restricted euxassay_010946_19
TS23: spinal cord Strong Regionally restricted euxassay_010946_19
TS23: trigeminal ganglion Weak Regionally restricted euxassay_010946_19
TS23: vestibulo-cochlear ganglion Weak Regionally restricted euxassay_010946_19
TS23: trigeminal nerve Moderate Regionally restricted euxassay_010946_19
TS23: olfactory epithelium Moderate Regionally restricted euxassay_010946_19
TS23: dorsal root ganglion Moderate Regionally restricted euxassay_010946_19
TS23: cervical ganglion Strong Regionally restricted euxassay_010946_19
TS23: cervico-thoracic ganglion Strong Regionally restricted euxassay_010946_19
TS23: adrenal medulla Strong Regionally restricted euxassay_010946_19
TS23: renal calyx Moderate Regionally restricted euxassay_010946_19
TS23: right lung Moderate Regionally restricted euxassay_010946_19
TS23: heart atrium Moderate Regionally restricted euxassay_010946_19
TS23: heart ventricle Moderate Regionally restricted euxassay_010946_19
TS23: midgut Moderate Regionally restricted euxassay_010946_19
TS23: midgut mesentery Moderate Regionally restricted euxassay_010946_19
TS23: pancreas Moderate Regionally restricted euxassay_010946_19
TS23: tail paraxial mesenchyme Moderate Regionally restricted euxassay_010946_19

Specimen euxassay_010946_20: embryonic day 14.5 (more )
Structure Level Pattern Image Note
TS23: brain Strong Regionally restricted euxassay_010946_20
TS23: trigeminal ganglion Weak Regionally restricted euxassay_010946_20
TS23: vestibulo-cochlear ganglion Weak Regionally restricted euxassay_010946_20
TS23: olfactory epithelium Moderate Regionally restricted euxassay_010946_20
TS23: dorsal root ganglion Weak Regionally restricted euxassay_010946_20
TS23: cervical ganglion Moderate Regionally restricted euxassay_010946_20
TS23: adrenal medulla Strong Regionally restricted euxassay_010946_20
TS23: renal calyx Moderate Regionally restricted euxassay_010946_20
TS23: right lung Moderate Regionally restricted euxassay_010946_20
TS23: heart atrium Moderate Regionally restricted euxassay_010946_20
TS23: midgut Moderate Regionally restricted euxassay_010946_20
TS23: midgut mesentery Moderate Regionally restricted euxassay_010946_20
TS23: pancreas Moderate Regionally restricted euxassay_010946_20
TS23: tail paraxial mesenchyme Moderate Regionally restricted euxassay_010946_20

Specimen euxassay_010946_21: embryonic day 14.5 (more )
Structure Level Pattern Image Note
TS23: brain Strong Regionally restricted euxassay_010946_21
TS23: trigeminal ganglion Weak Regionally restricted euxassay_010946_21
TS23: glossopharyngeal ganglion Weak Regionally restricted euxassay_010946_21
TS23: vagus ganglion Weak Regionally restricted euxassay_010946_21
TS23: vestibulo-cochlear ganglion Weak Regionally restricted euxassay_010946_21
TS23: olfactory epithelium Moderate Regionally restricted euxassay_010946_21
TS23: dorsal root ganglion Weak Regionally restricted euxassay_010946_21
TS23: adrenal medulla Strong Regionally restricted euxassay_010946_21
TS23: renal calyx Moderate Regionally restricted euxassay_010946_21
TS23: renal pelvis Moderate Regionally restricted euxassay_010946_21
TS23: right lung Moderate Regionally restricted euxassay_010946_21
TS23: heart atrium Moderate Regionally restricted euxassay_010946_21
TS23: midgut Moderate Regionally restricted euxassay_010946_21
TS23: midgut mesentery Moderate Regionally restricted euxassay_010946_21
TS23: upper jaw molar Weak Regionally restricted euxassay_010946_21
TS23: lower jaw molar Weak Regionally restricted euxassay_010946_21

Specimen euxassay_010946_22: embryonic day 14.5 (more )
Structure Level Pattern Image Note
TS23: brain Strong Regionally restricted euxassay_010946_22
TS23: trigeminal ganglion Weak Regionally restricted euxassay_010946_22
TS23: vestibulo-cochlear ganglion Weak Regionally restricted euxassay_010946_22
TS23: facial ganglion Weak Regionally restricted euxassay_010946_22
TS23: renal calyx Moderate Regionally restricted euxassay_010946_22
TS23: right lung Moderate Regionally restricted euxassay_010946_22
TS23: heart atrium Moderate Regionally restricted euxassay_010946_22
TS23: midgut Moderate Regionally restricted euxassay_010946_22
TS23: midgut mesentery Moderate Regionally restricted euxassay_010946_22
TS23: upper jaw molar Moderate Regionally restricted euxassay_010946_22
TS23: lower jaw molar Moderate Regionally restricted euxassay_010946_22

Specimen euxassay_010946_23: embryonic day 14.5 (more )
Structure Level Pattern Image Note
TS23: brain Strong Regionally restricted euxassay_010946_23
TS23: trigeminal ganglion Weak Regionally restricted euxassay_010946_23
TS23: facial ganglion Weak Regionally restricted euxassay_010946_23
TS23: vestibulo-cochlear ganglion Weak Regionally restricted euxassay_010946_23
TS23: renal calyx Moderate Regionally restricted euxassay_010946_23
TS23: right lung Moderate Regionally restricted euxassay_010946_23
TS23: heart atrium Moderate Regionally restricted euxassay_010946_23
TS23: midgut Moderate Regionally restricted euxassay_010946_23
TS23: vibrissa Weak Regionally restricted euxassay_010946_23

Specimen euxassay_010946_24: embryonic day 14.5 (more )
Structure Level Pattern Image Note
TS23: brain Strong Regionally restricted euxassay_010946_24
TS23: trigeminal ganglion Weak Regionally restricted euxassay_010946_24
TS23: facial ganglion Weak Regionally restricted euxassay_010946_24
TS23: vestibulo-cochlear ganglion Weak Regionally restricted euxassay_010946_24
TS23: right lung Moderate Regionally restricted euxassay_010946_24
TS23: heart atrium Moderate Regionally restricted euxassay_010946_24
TS23: foot mesenchyme Moderate Regionally restricted euxassay_010946_24
TS23: vibrissa Weak Regionally restricted euxassay_010946_24


Contributing Projects:
Mouse Genome Database (MGD), Gene Expression Database (GXD), Mouse Models of Human Cancer database (MMHCdb) (formerly Mouse Tumor Biology (MTB)), Gene Ontology (GO)
Citing These Resources
Funding Information
Warranty Disclaimer, Privacy Notice, Licensing, & Copyright
Send questions and comments to User Support.
last database update
01/20/2026
MGI 6.24
The Jackson Laboratory