About   Help   FAQ
Gene Expression Data
Assay Details
Assay
Reference: J:153498 Diez-Roux G, et al., A high-resolution anatomical atlas of the transcriptome in the mouse embryo. PLoS Biol. 2011;9(1):e1000582
Assay type: RNA in situ
MGI Accession ID: MGI:4824915
Gene symbol: Foxp2
Gene name: forkhead box P2
Probe: T6324
Probe preparation: Antisense labelled with digoxigenin RNA
Visualized with: Alkaline phosphatase
Assay notes: Cryosections of fresh frozen material were fixed in 4% paraformaldehyde for 20 min. before further processing. A tyramide-biotin/streptavidin amplification step was included in the in situ hybridization procedure.
Results
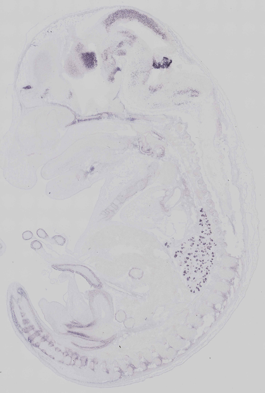
Specimen euxassay_004284_01: embryonic day 14.5 (more )
Structure Level Pattern Image Note
TS23: lung Strong Regionally restricted euxassay_004284_01
TS23: hand Moderate Regionally restricted euxassay_004284_01
TS23: leg Moderate Regionally restricted euxassay_004284_01
TS23: cranium Moderate Regionally restricted euxassay_004284_01
TS23: stomach Moderate Regionally restricted euxassay_004284_01
TS23: telencephalon mantle layer Moderate Regionally restricted euxassay_004284_01
TS23: metencephalon lateral wall Strong Regionally restricted euxassay_004284_01

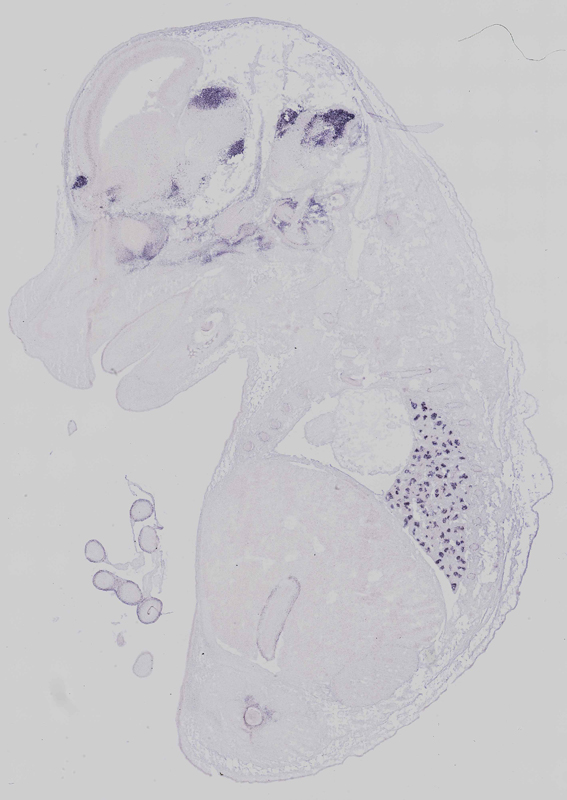
Specimen euxassay_004284_02: embryonic day 14.5 (more )
Structure Level Pattern Image Note
TS23: lung Strong Regionally restricted euxassay_004284_02
TS23: hand Moderate Regionally restricted euxassay_004284_02
TS23: leg Moderate Regionally restricted euxassay_004284_02
TS23: mandible Moderate Regionally restricted euxassay_004284_02
TS23: cranium Moderate Regionally restricted euxassay_004284_02
TS23: stomach Moderate Regionally restricted euxassay_004284_02
TS23: telencephalon mantle layer Moderate Regionally restricted euxassay_004284_02
TS23: metencephalon lateral wall Strong Regionally restricted euxassay_004284_02
TS23: midbrain mantle layer Moderate Regionally restricted euxassay_004284_02

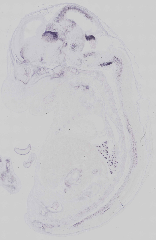
Specimen euxassay_004284_03: embryonic day 14.5 (more )
Structure Level Pattern Image Note
TS23: lung Strong Regionally restricted euxassay_004284_03
TS23: hand Moderate Regionally restricted euxassay_004284_03
TS23: foot Moderate Regionally restricted euxassay_004284_03
TS23: leg Moderate Regionally restricted euxassay_004284_03
TS23: mandible Moderate Regionally restricted euxassay_004284_03
TS23: cranium Moderate Regionally restricted euxassay_004284_03
TS23: stomach Moderate Regionally restricted euxassay_004284_03
TS23: telencephalon mantle layer Moderate Regionally restricted euxassay_004284_03
TS23: metencephalon lateral wall Strong Regionally restricted euxassay_004284_03
TS23: midbrain mantle layer Moderate Regionally restricted euxassay_004284_03

Specimen euxassay_004284_04: embryonic day 14.5 (more )
Structure Level Pattern Image Note
TS23: lung Strong Regionally restricted euxassay_004284_04
TS23: hand Moderate Regionally restricted euxassay_004284_04
TS23: foot Moderate Regionally restricted euxassay_004284_04
TS23: femur Moderate Regionally restricted euxassay_004284_04
TS23: mandible Moderate Regionally restricted euxassay_004284_04
TS23: cranium Moderate Regionally restricted euxassay_004284_04
TS23: stomach Moderate Regionally restricted euxassay_004284_04
TS23: telencephalon mantle layer Moderate Regionally restricted euxassay_004284_04
TS23: metencephalon lateral wall Strong Regionally restricted euxassay_004284_04
TS23: midbrain mantle layer Moderate Regionally restricted euxassay_004284_04

Specimen euxassay_004284_05: embryonic day 14.5 (more )
Structure Level Pattern Image Note
TS23: lung Strong Regionally restricted euxassay_004284_05
TS23: hand Moderate Regionally restricted euxassay_004284_05
TS23: foot Moderate Regionally restricted euxassay_004284_05
TS23: femur Moderate Regionally restricted euxassay_004284_05
TS23: cranium Moderate Regionally restricted euxassay_004284_05
TS23: turbinate bone primordium Moderate Regionally restricted euxassay_004284_05
TS23: stomach Moderate Regionally restricted euxassay_004284_05
TS23: telencephalon mantle layer Moderate Regionally restricted euxassay_004284_05
TS23: diencephalon lateral wall mantle layer Moderate Regionally restricted euxassay_004284_05
TS23: metencephalon lateral wall Strong Regionally restricted euxassay_004284_05
TS23: midbrain mantle layer Moderate Regionally restricted euxassay_004284_05
TS23: medulla oblongata lateral wall Moderate Regionally restricted euxassay_004284_05

Specimen euxassay_004284_06: embryonic day 14.5 (more )
Structure Level Pattern Image Note
TS23: lung Strong Regionally restricted euxassay_004284_06
TS23: hand Moderate Regionally restricted euxassay_004284_06
TS23: foot Moderate Regionally restricted euxassay_004284_06
TS23: femur Moderate Regionally restricted euxassay_004284_06
TS23: cranium Moderate Regionally restricted euxassay_004284_06
TS23: turbinate bone primordium Moderate Regionally restricted euxassay_004284_06
TS23: stomach Moderate Regionally restricted euxassay_004284_06
TS23: telencephalon mantle layer Moderate Regionally restricted euxassay_004284_06
TS23: olfactory lobe Moderate Regionally restricted euxassay_004284_06
TS23: diencephalon lateral wall mantle layer Moderate Regionally restricted euxassay_004284_06
TS23: metencephalon lateral wall Strong Regionally restricted euxassay_004284_06
TS23: medulla oblongata lateral wall Moderate Regionally restricted euxassay_004284_06
TS23: midbrain mantle layer Moderate Regionally restricted euxassay_004284_06

Specimen euxassay_004284_07: embryonic day 14.5 (more )
Structure Level Pattern Image Note
TS23: lung Strong Regionally restricted euxassay_004284_07
TS23: hand Moderate Regionally restricted euxassay_004284_07
TS23: foot Moderate Regionally restricted euxassay_004284_07
TS23: pelvic girdle skeleton Moderate Regionally restricted euxassay_004284_07
TS23: cranium Moderate Regionally restricted euxassay_004284_07
TS23: turbinate bone primordium Moderate Regionally restricted euxassay_004284_07
TS23: midgut Moderate Regionally restricted euxassay_004284_07
TS23: stomach Moderate Regionally restricted euxassay_004284_07
TS23: telencephalon mantle layer Moderate Regionally restricted euxassay_004284_07
TS23: olfactory lobe Moderate Regionally restricted euxassay_004284_07
TS23: diencephalon lateral wall mantle layer Moderate Regionally restricted euxassay_004284_07
TS23: metencephalon lateral wall Strong Regionally restricted euxassay_004284_07
TS23: medulla oblongata lateral wall Moderate Regionally restricted euxassay_004284_07
TS23: midbrain mantle layer Moderate Regionally restricted euxassay_004284_07
TS23: basal columns Moderate Regionally restricted euxassay_004284_07

Specimen euxassay_004284_08: embryonic day 14.5 (more )
Structure Level Pattern Image Note
TS23: lung Strong Regionally restricted euxassay_004284_08
TS23: foot Moderate Regionally restricted euxassay_004284_08
TS23: pelvic girdle skeleton Moderate Regionally restricted euxassay_004284_08
TS23: palatal shelf Moderate Regionally restricted euxassay_004284_08
TS23: cranium Moderate Regionally restricted euxassay_004284_08
TS23: turbinate bone primordium Moderate Regionally restricted euxassay_004284_08
TS23: midgut Moderate Regionally restricted euxassay_004284_08
TS23: telencephalon mantle layer Moderate Regionally restricted euxassay_004284_08
TS23: olfactory lobe Moderate Regionally restricted euxassay_004284_08
TS23: diencephalon lateral wall mantle layer Moderate Regionally restricted euxassay_004284_08
TS23: medulla oblongata lateral wall Moderate Regionally restricted euxassay_004284_08
TS23: metencephalon lateral wall Strong Regionally restricted euxassay_004284_08
TS23: midbrain mantle layer Moderate Regionally restricted euxassay_004284_08
TS23: basal columns Moderate Regionally restricted euxassay_004284_08

Specimen euxassay_004284_09: embryonic day 14.5 (more )
Structure Level Pattern Image Note
TS23: lung Strong Regionally restricted euxassay_004284_09
TS23: foot Moderate Regionally restricted euxassay_004284_09
TS23: palatal shelf Moderate Regionally restricted euxassay_004284_09
TS23: cranium Moderate Regionally restricted euxassay_004284_09
TS23: turbinate bone primordium Moderate Regionally restricted euxassay_004284_09
TS23: midgut Moderate Regionally restricted euxassay_004284_09
TS23: tail skeleton Moderate Regionally restricted euxassay_004284_09
TS23: olfactory lobe Moderate Regionally restricted euxassay_004284_09
TS23: telencephalon mantle layer Moderate Regionally restricted euxassay_004284_09
TS23: diencephalon lateral wall mantle layer Moderate Regionally restricted euxassay_004284_09
TS23: metencephalon lateral wall Strong Regionally restricted euxassay_004284_09
TS23: medulla oblongata lateral wall Moderate Regionally restricted euxassay_004284_09
TS23: midbrain mantle layer Moderate Regionally restricted euxassay_004284_09
TS23: basal columns Moderate Regionally restricted euxassay_004284_09

Specimen euxassay_004284_10: embryonic day 14.5 (more )
Structure Level Pattern Image Note
TS23: lung Strong Regionally restricted euxassay_004284_10
TS23: foot Moderate Regionally restricted euxassay_004284_10
TS23: palatal shelf Moderate Regionally restricted euxassay_004284_10
TS23: cranium Moderate Regionally restricted euxassay_004284_10
TS23: turbinate bone primordium Moderate Regionally restricted euxassay_004284_10
TS23: midgut Moderate Regionally restricted euxassay_004284_10
TS23: bladder Moderate Regionally restricted euxassay_004284_10
TS23: tail skeleton Moderate Regionally restricted euxassay_004284_10
TS23: telencephalon mantle layer Moderate Regionally restricted euxassay_004284_10
TS23: olfactory lobe Moderate Regionally restricted euxassay_004284_10
TS23: diencephalon lateral wall mantle layer Moderate Regionally restricted euxassay_004284_10
TS23: metencephalon lateral wall Strong Regionally restricted euxassay_004284_10
TS23: medulla oblongata lateral wall Moderate Regionally restricted euxassay_004284_10
TS23: midbrain mantle layer Moderate Regionally restricted euxassay_004284_10
TS23: basal columns Moderate Regionally restricted euxassay_004284_10

Specimen euxassay_004284_11: embryonic day 14.5 (more )
Structure Level Pattern Image Note
TS23: lung Strong Regionally restricted euxassay_004284_11
TS23: mandible Moderate Regionally restricted euxassay_004284_11
TS23: palatal shelf Moderate Regionally restricted euxassay_004284_11
TS23: cranium Moderate Regionally restricted euxassay_004284_11
TS23: turbinate bone primordium Moderate Regionally restricted euxassay_004284_11
TS23: midgut Moderate Regionally restricted euxassay_004284_11
TS23: bladder Moderate Regionally restricted euxassay_004284_11
TS23: tail skeleton Moderate Regionally restricted euxassay_004284_11
TS23: olfactory lobe Moderate Regionally restricted euxassay_004284_11
TS23: telencephalon mantle layer Moderate Regionally restricted euxassay_004284_11
TS23: diencephalon lateral wall mantle layer Moderate Regionally restricted euxassay_004284_11
TS23: metencephalon lateral wall Strong Regionally restricted euxassay_004284_11
TS23: medulla oblongata lateral wall Moderate Regionally restricted euxassay_004284_11
TS23: midbrain mantle layer Moderate Regionally restricted euxassay_004284_11
TS23: basal columns Moderate Regionally restricted euxassay_004284_11

Specimen euxassay_004284_12: embryonic day 14.5 (more )
Structure Level Pattern Image Note
TS23: lung Strong Regionally restricted euxassay_004284_12
TS23: mandible Moderate Regionally restricted euxassay_004284_12
TS23: palatal shelf Moderate Regionally restricted euxassay_004284_12
TS23: cranium Moderate Regionally restricted euxassay_004284_12
TS23: midgut Moderate Regionally restricted euxassay_004284_12
TS23: bladder Moderate Regionally restricted euxassay_004284_12
TS23: tail skeleton Moderate Regionally restricted euxassay_004284_12
TS23: olfactory lobe Moderate Regionally restricted euxassay_004284_12
TS23: telencephalon mantle layer Moderate Regionally restricted euxassay_004284_12
TS23: diencephalon lateral wall mantle layer Moderate Regionally restricted euxassay_004284_12
TS23: metencephalon lateral wall Strong Regionally restricted euxassay_004284_12
TS23: medulla oblongata lateral wall Moderate Regionally restricted euxassay_004284_12
TS23: midbrain mantle layer Moderate Regionally restricted euxassay_004284_12

Specimen euxassay_004284_13: embryonic day 14.5 (more )
Structure Level Pattern Image Note
TS23: lung Strong Regionally restricted euxassay_004284_13
TS23: mandible Moderate Regionally restricted euxassay_004284_13
TS23: palatal shelf Moderate Regionally restricted euxassay_004284_13
TS23: cranium Moderate Regionally restricted euxassay_004284_13
TS23: midgut Moderate Regionally restricted euxassay_004284_13
TS23: bladder Moderate Regionally restricted euxassay_004284_13
TS23: tail skeleton Moderate Regionally restricted euxassay_004284_13
TS23: telencephalon mantle layer Moderate Regionally restricted euxassay_004284_13
TS23: diencephalon lateral wall mantle layer Moderate Regionally restricted euxassay_004284_13
TS23: metencephalon lateral wall Strong Regionally restricted euxassay_004284_13
TS23: medulla oblongata lateral wall Moderate Regionally restricted euxassay_004284_13
TS23: midbrain mantle layer Moderate Regionally restricted euxassay_004284_13

Specimen euxassay_004284_14: embryonic day 14.5 (more )
Structure Level Pattern Image Note
TS23: lung Strong Regionally restricted euxassay_004284_14
TS23: mandible Moderate Regionally restricted euxassay_004284_14
TS23: palatal shelf Moderate Regionally restricted euxassay_004284_14
TS23: cranium Moderate Regionally restricted euxassay_004284_14
TS23: midgut Moderate Regionally restricted euxassay_004284_14
TS23: bladder Moderate Regionally restricted euxassay_004284_14
TS23: tail skeleton Moderate Regionally restricted euxassay_004284_14
TS23: telencephalon mantle layer Moderate Regionally restricted euxassay_004284_14
TS23: diencephalon lateral wall mantle layer Moderate Regionally restricted euxassay_004284_14
TS23: metencephalon lateral wall Strong Regionally restricted euxassay_004284_14
TS23: medulla oblongata lateral wall Moderate Regionally restricted euxassay_004284_14
TS23: midbrain mantle layer Moderate Regionally restricted euxassay_004284_14

Specimen euxassay_004284_15: embryonic day 14.5 (more )
Structure Level Pattern Image Note
TS23: lung Strong Regionally restricted euxassay_004284_15
TS23: palatal shelf Moderate Regionally restricted euxassay_004284_15
TS23: cranium Moderate Regionally restricted euxassay_004284_15
TS23: midgut Moderate Regionally restricted euxassay_004284_15
TS23: tail skeleton Moderate Regionally restricted euxassay_004284_15
TS23: olfactory lobe Moderate Regionally restricted euxassay_004284_15
TS23: telencephalon mantle layer Moderate Regionally restricted euxassay_004284_15
TS23: diencephalon lateral wall mantle layer Moderate Regionally restricted euxassay_004284_15
TS23: metencephalon lateral wall Strong Regionally restricted euxassay_004284_15
TS23: medulla oblongata lateral wall Moderate Regionally restricted euxassay_004284_15
TS23: midbrain mantle layer Moderate Regionally restricted euxassay_004284_15

Specimen euxassay_004284_16: embryonic day 14.5 (more )
Structure Level Pattern Image Note
TS23: lung Strong Regionally restricted euxassay_004284_16
TS23: femur Moderate Regionally restricted euxassay_004284_16
TS23: palatal shelf Moderate Regionally restricted euxassay_004284_16
TS23: cranium Moderate Regionally restricted euxassay_004284_16
TS23: midgut Moderate Regionally restricted euxassay_004284_16
TS23: tail skeleton Moderate Regionally restricted euxassay_004284_16
TS23: olfactory lobe Moderate Regionally restricted euxassay_004284_16
TS23: telencephalon mantle layer Moderate Regionally restricted euxassay_004284_16
TS23: diencephalon lateral wall mantle layer Moderate Regionally restricted euxassay_004284_16
TS23: metencephalon lateral wall Strong Regionally restricted euxassay_004284_16
TS23: midbrain mantle layer Moderate Regionally restricted euxassay_004284_16

Specimen euxassay_004284_17: embryonic day 14.5 (more )
Structure Level Pattern Image Note
TS23: lung Strong Regionally restricted euxassay_004284_17
TS23: femur Moderate Regionally restricted euxassay_004284_17
TS23: palatal shelf Moderate Regionally restricted euxassay_004284_17
TS23: cranium Moderate Regionally restricted euxassay_004284_17
TS23: turbinate bone primordium Moderate Regionally restricted euxassay_004284_17
TS23: midgut Moderate Regionally restricted euxassay_004284_17
TS23: olfactory lobe Moderate Regionally restricted euxassay_004284_17
TS23: telencephalon mantle layer Moderate Regionally restricted euxassay_004284_17
TS23: diencephalon lateral wall mantle layer Moderate Regionally restricted euxassay_004284_17
TS23: metencephalon lateral wall Strong Regionally restricted euxassay_004284_17

Specimen euxassay_004284_18: embryonic day 14.5 (more )
Structure Level Pattern Image Note
TS23: lung Strong Regionally restricted euxassay_004284_18
TS23: femur Moderate Regionally restricted euxassay_004284_18
TS23: palatal shelf Moderate Regionally restricted euxassay_004284_18
TS23: cranium Moderate Regionally restricted euxassay_004284_18
TS23: turbinate bone primordium Moderate Regionally restricted euxassay_004284_18
TS23: midgut Moderate Regionally restricted euxassay_004284_18
TS23: telencephalon mantle layer Moderate Regionally restricted euxassay_004284_18
TS23: olfactory lobe Moderate Regionally restricted euxassay_004284_18
TS23: metencephalon lateral wall Strong Regionally restricted euxassay_004284_18

Specimen euxassay_004284_19: embryonic day 14.5 (more )
Structure Level Pattern Image Note
TS23: lung Strong Regionally restricted euxassay_004284_19
TS23: femur Moderate Regionally restricted euxassay_004284_19
TS23: cranium Moderate Regionally restricted euxassay_004284_19
TS23: turbinate bone primordium Moderate Regionally restricted euxassay_004284_19
TS23: midgut Moderate Regionally restricted euxassay_004284_19
TS23: telencephalon mantle layer Moderate Regionally restricted euxassay_004284_19
TS23: olfactory lobe Moderate Regionally restricted euxassay_004284_19
TS23: metencephalon lateral wall Strong Regionally restricted euxassay_004284_19

Specimen euxassay_004284_20: embryonic day 14.5 (more )
Structure Level Pattern Image Note
TS23: lung Moderate Regionally restricted euxassay_004284_20
TS23: cranium Moderate Regionally restricted euxassay_004284_20
TS23: turbinate bone primordium Moderate Regionally restricted euxassay_004284_20
TS23: midgut Moderate Regionally restricted euxassay_004284_20
TS23: telencephalon mantle layer Moderate Regionally restricted euxassay_004284_20
TS23: olfactory lobe Moderate Regionally restricted euxassay_004284_20

Specimen euxassay_004284_21: embryonic day 14.5 (more )
Structure Level Pattern Image Note
TS23: lung Moderate Regionally restricted euxassay_004284_21
TS23: cranium Weak Regionally restricted euxassay_004284_21
TS23: midgut Moderate Regionally restricted euxassay_004284_21
TS23: ear Moderate Regionally restricted euxassay_004284_21
TS23: telencephalon mantle layer Moderate Regionally restricted euxassay_004284_21

Specimen euxassay_004284_22: embryonic day 14.5 (more )
Structure Level Pattern Image Note
TS23: foot Moderate Regionally restricted euxassay_004284_22
TS23: cranium Weak Regionally restricted euxassay_004284_22

Specimen euxassay_004284_23: embryonic day 14.5 (more )
Structure Level Pattern Image Note
TS23: foot Weak Regionally restricted euxassay_004284_23
TS23: hand Weak Regionally restricted euxassay_004284_23
TS23: cranium Weak Regionally restricted euxassay_004284_23

Specimen euxassay_004284_24: embryonic day 14.5 (more )
Structure Level Pattern Image Note
TS23: foot Moderate Regionally restricted euxassay_004284_24
TS23: hand Moderate Regionally restricted euxassay_004284_24
TS23: leg Moderate Regionally restricted euxassay_004284_24
TS23: cranium Moderate Regionally restricted euxassay_004284_24


Contributing Projects:
Mouse Genome Database (MGD), Gene Expression Database (GXD), Mouse Models of Human Cancer database (MMHCdb) (formerly Mouse Tumor Biology (MTB)), Gene Ontology (GO)
Citing These Resources
Funding Information
Warranty Disclaimer, Privacy Notice, Licensing, & Copyright
Send questions and comments to User Support.
last database update
03/24/2026
MGI 6.24
The Jackson Laboratory