About   Help   FAQ
Gene Expression Data
Assay Details
Assay
Reference: J:153498 Diez-Roux G, et al., A high-resolution anatomical atlas of the transcriptome in the mouse embryo. PLoS Biol. 2011;9(1):e1000582
Assay type: RNA in situ
MGI Accession ID: MGI:4824895
Gene symbol: Fos
Gene name: Fos proto-oncogene, AP-1 transcription factor subunit
Probe: T31617
Probe preparation: Antisense labelled with digoxigenin RNA
Visualized with: Alkaline phosphatase
Assay notes: Cryosections of fresh frozen material were fixed in 4% paraformaldehyde for 20 min. before further processing. A tyramide-biotin/streptavidin amplification step was included in the in situ hybridization procedure.
Results
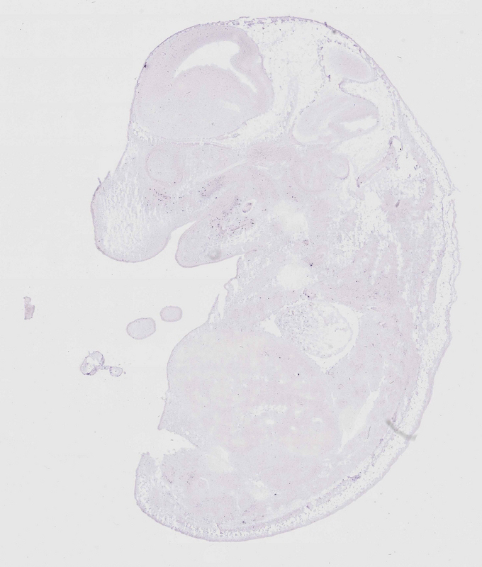
Specimen euxassay_012634_04: embryonic day 14.5 (more )
Structure Level Pattern Image Note
TS23: maxilla Moderate Single cells euxassay_012634_04
TS23: mandible Moderate Single cells euxassay_012634_04

Specimen euxassay_012634_05: embryonic day 14.5 (more )
Structure Level Pattern Image Note
TS23: mandible Moderate Single cells euxassay_012634_05
TS23: maxilla Moderate Single cells euxassay_012634_05

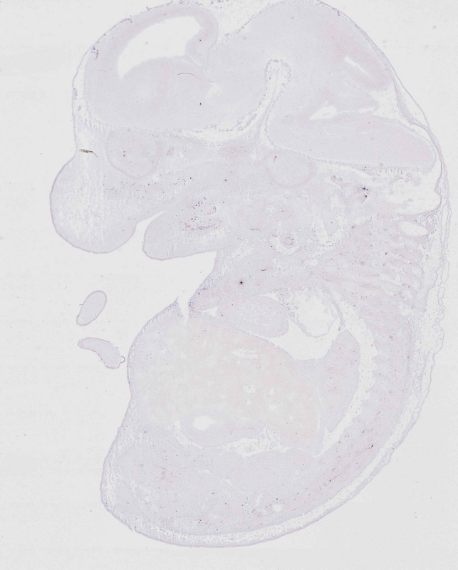
Specimen euxassay_012634_06: embryonic day 14.5 (more )
Structure Level Pattern Image Note
TS23: mandible Moderate Single cells euxassay_012634_06

Specimen euxassay_012634_07: embryonic day 14.5 (more )
Structure Level Pattern Image Note
TS23: mandible Moderate Single cells euxassay_012634_07

Specimen euxassay_012634_08: embryonic day 14.5 (more )
Structure Level Pattern Image Note
TS23: maxilla Moderate Single cells euxassay_012634_08
TS23: mandible Moderate Single cells euxassay_012634_08

Specimen euxassay_012634_09: embryonic day 14.5 (more )
Structure Level Pattern Image Note
TS23: maxilla Moderate Single cells euxassay_012634_09
TS23: mandible Moderate Single cells euxassay_012634_09

Specimen euxassay_012634_10: embryonic day 14.5 (more )
Structure Level Pattern Image Note
TS23: mandible Moderate Single cells euxassay_012634_10
TS23: maxilla Moderate Single cells euxassay_012634_10

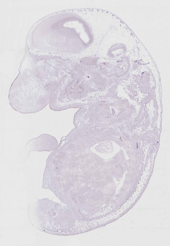
Specimen euxassay_012634_14: embryonic day 14.5 (more )
Structure Level Pattern Image Note
TS23: mandible Moderate Single cells euxassay_012634_14

Specimen euxassay_012634_15: embryonic day 14.5 (more )
Structure Level Pattern Image Note
TS23: mandible Moderate Single cells euxassay_012634_15
TS23: maxilla Moderate Single cells euxassay_012634_15

Specimen euxassay_012634_16: embryonic day 14.5 (more )
Structure Level Pattern Image Note
TS23: mandible Moderate Single cells euxassay_012634_16

Specimen euxassay_012634_17: embryonic day 14.5 (more )
Structure Level Pattern Image Note
TS23: maxilla Moderate Single cells euxassay_012634_17
TS23: mandible Moderate Single cells euxassay_012634_17

Specimen euxassay_012634_18: embryonic day 14.5 (more )
Structure Level Pattern Image Note
TS23: maxilla Moderate Single cells euxassay_012634_18
TS23: mandible Moderate Single cells euxassay_012634_18

Specimen euxassay_012634_19: embryonic day 14.5 (more )
Structure Level Pattern Image Note
TS23: mandible Moderate Single cells euxassay_012634_19
TS23: maxilla Moderate Single cells euxassay_012634_19

Specimen euxassay_012634_20: embryonic day 14.5 (more )
Structure Level Pattern Image Note
TS23: mandible Moderate Single cells euxassay_012634_20


Contributing Projects:
Mouse Genome Database (MGD), Gene Expression Database (GXD), Mouse Models of Human Cancer database (MMHCdb) (formerly Mouse Tumor Biology (MTB)), Gene Ontology (GO)
Citing These Resources
Funding Information
Warranty Disclaimer, Privacy Notice, Licensing, & Copyright
Send questions and comments to User Support.
last database update
01/20/2026
MGI 6.24
The Jackson Laboratory