About   Help   FAQ
Gene Expression Data
Assay Details
Assay
Reference: J:153498 Diez-Roux G, et al., A high-resolution anatomical atlas of the transcriptome in the mouse embryo. PLoS Biol. 2011;9(1):e1000582
Assay type: RNA in situ
MGI Accession ID: MGI:4824890
Gene symbol: Fnbp1l
Gene name: formin binding protein 1-like
Probe: IMAGE clone 1546894
Probe preparation: Antisense labelled with digoxigenin RNA
Visualized with: Alkaline phosphatase
Assay notes: Cryosections of fresh frozen material were fixed in 4% paraformaldehyde for 20 min. before further processing. A tyramide-biotin/streptavidin amplification step was included in the in situ hybridization procedure.
Results
Specimen euxassay_007867_01: embryonic day 14.5 (more )
Structure Level Pattern Image Note
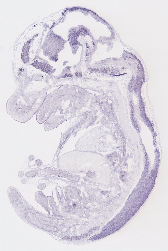
TS23: telencephalon Moderate Uniform euxassay_007867_01
TS23: neural retina Moderate Regionally restricted euxassay_007867_01

Specimen euxassay_007867_02: embryonic day 14.5 (more )
Structure Level Pattern Image Note
TS23: telencephalon Moderate Uniform euxassay_007867_02
TS23: neural retina Moderate Regionally restricted euxassay_007867_02

Specimen euxassay_007867_03: embryonic day 14.5 (more )
Structure Level Pattern Image Note
TS23: telencephalon Moderate Uniform euxassay_007867_03
TS23: hindbrain Moderate Uniform euxassay_007867_03
TS23: trigeminal ganglion Moderate Regionally restricted euxassay_007867_03
TS23: neural retina Moderate Regionally restricted euxassay_007867_03

Specimen euxassay_007867_04: embryonic day 14.5 (more )
Structure Level Pattern Image Note
TS23: telencephalon Moderate Uniform euxassay_007867_04
TS23: hindbrain Moderate Uniform euxassay_007867_04
TS23: trigeminal ganglion Moderate Regionally restricted euxassay_007867_04

Specimen euxassay_007867_05: embryonic day 14.5 (more )
Structure Level Pattern Image Note
TS23: telencephalon Moderate Uniform euxassay_007867_05
TS23: hindbrain Moderate Uniform euxassay_007867_05
TS23: midbrain Moderate Uniform euxassay_007867_05
TS23: trigeminal ganglion Moderate Regionally restricted euxassay_007867_05

Specimen euxassay_007867_06: embryonic day 14.5 (more )
Structure Level Pattern Image Note
TS23: hindbrain Moderate Uniform euxassay_007867_06
TS23: midbrain Moderate Uniform euxassay_007867_06
TS23: telencephalon Moderate Uniform euxassay_007867_06
TS23: trigeminal ganglion Moderate Regionally restricted euxassay_007867_06

Specimen euxassay_007867_07: embryonic day 14.5 (more )
Structure Level Pattern Image Note
TS23: diencephalon Moderate Uniform euxassay_007867_07
TS23: telencephalon Moderate Uniform euxassay_007867_07
TS23: hindbrain Moderate Uniform euxassay_007867_07
TS23: midbrain Moderate Uniform euxassay_007867_07
TS23: trigeminal ganglion Weak Regionally restricted euxassay_007867_07
TS23: glossopharyngeal ganglion Weak Regionally restricted euxassay_007867_07
TS23: vestibulo-cochlear ganglion Weak Regionally restricted euxassay_007867_07
TS23: dorsal root ganglion Moderate Regionally restricted euxassay_007867_07

Specimen euxassay_007867_08: embryonic day 14.5 (more )
Structure Level Pattern Image Note
TS23: diencephalon Moderate Uniform euxassay_007867_08
TS23: telencephalon Moderate Uniform euxassay_007867_08
TS23: hindbrain Moderate Uniform euxassay_007867_08
TS23: midbrain Moderate Uniform euxassay_007867_08
TS23: spinal cord Moderate Uniform euxassay_007867_08
TS23: trigeminal ganglion Weak Regionally restricted euxassay_007867_08
TS23: vagus ganglion Weak Regionally restricted euxassay_007867_08
TS23: dorsal root ganglion Moderate Regionally restricted euxassay_007867_08

Specimen euxassay_007867_09: embryonic day 14.5 (more )
Structure Level Pattern Image Note
TS23: spinal cord Moderate Uniform euxassay_007867_09
TS23: midbrain Moderate Uniform euxassay_007867_09
TS23: hindbrain Moderate Uniform euxassay_007867_09
TS23: diencephalon Moderate Uniform euxassay_007867_09
TS23: telencephalon Moderate Uniform euxassay_007867_09
TS23: dorsal root ganglion Moderate Regionally restricted euxassay_007867_09

Specimen euxassay_007867_10: embryonic day 14.5 (more )
Structure Level Pattern Image Note
TS23: spinal cord Moderate Uniform euxassay_007867_10
TS23: midbrain Moderate Uniform euxassay_007867_10
TS23: hindbrain Moderate Uniform euxassay_007867_10
TS23: telencephalon Moderate Uniform euxassay_007867_10
TS23: diencephalon Moderate Uniform euxassay_007867_10
TS23: pituitary gland Weak Regionally restricted euxassay_007867_10

Specimen euxassay_007867_11: embryonic day 14.5 (more )
Structure Level Pattern Image Note
TS23: spinal cord Moderate Uniform euxassay_007867_11
TS23: midbrain Moderate Uniform euxassay_007867_11
TS23: hindbrain Moderate Uniform euxassay_007867_11
TS23: telencephalon Moderate Uniform euxassay_007867_11
TS23: diencephalon Moderate Uniform euxassay_007867_11
TS23: pituitary gland Weak Regionally restricted euxassay_007867_11

Specimen euxassay_007867_12: embryonic day 14.5 (more )
Structure Level Pattern Image Note
TS23: spinal cord Moderate Uniform euxassay_007867_12
TS23: midbrain Moderate Uniform euxassay_007867_12
TS23: hindbrain Moderate Uniform euxassay_007867_12
TS23: telencephalon Moderate Uniform euxassay_007867_12
TS23: diencephalon Moderate Uniform euxassay_007867_12
TS23: dorsal root ganglion Weak Regionally restricted euxassay_007867_12
TS23: pituitary gland Moderate Regionally restricted euxassay_007867_12

Specimen euxassay_007867_13: embryonic day 14.5 (more )
Structure Level Pattern Image Note
TS23: spinal cord Moderate Uniform euxassay_007867_13
TS23: midbrain Moderate Uniform euxassay_007867_13
TS23: hindbrain Moderate Uniform euxassay_007867_13
TS23: telencephalon Moderate Uniform euxassay_007867_13
TS23: diencephalon Moderate Uniform euxassay_007867_13
TS23: dorsal root ganglion Weak Regionally restricted euxassay_007867_13
TS23: pituitary gland Weak Regionally restricted euxassay_007867_13

Specimen euxassay_007867_14: embryonic day 14.5 (more )
Structure Level Pattern Image Note
TS23: spinal cord Moderate Uniform euxassay_007867_14
TS23: midbrain Moderate Uniform euxassay_007867_14
TS23: hindbrain Moderate Uniform euxassay_007867_14
TS23: telencephalon Moderate Uniform euxassay_007867_14
TS23: diencephalon Moderate Uniform euxassay_007867_14
TS23: dorsal root ganglion Moderate Regionally restricted euxassay_007867_14
TS23: pituitary gland Weak Regionally restricted euxassay_007867_14

Specimen euxassay_007867_15: embryonic day 14.5 (more )
Structure Level Pattern Image Note
TS23: spinal cord Moderate Uniform euxassay_007867_15
TS23: midbrain Moderate Uniform euxassay_007867_15
TS23: hindbrain Moderate Uniform euxassay_007867_15
TS23: telencephalon Moderate Uniform euxassay_007867_15
TS23: diencephalon Moderate Uniform euxassay_007867_15
TS23: dorsal root ganglion Moderate Regionally restricted euxassay_007867_15
TS23: pituitary gland Weak Regionally restricted euxassay_007867_15

Specimen euxassay_007867_16: embryonic day 14.5 (more )
Structure Level Pattern Image Note
TS23: spinal cord Moderate Uniform euxassay_007867_16
TS23: midbrain Moderate Uniform euxassay_007867_16
TS23: hindbrain Moderate Uniform euxassay_007867_16
TS23: telencephalon Moderate Uniform euxassay_007867_16
TS23: diencephalon Moderate Uniform euxassay_007867_16
TS23: vagus ganglion Weak Regionally restricted euxassay_007867_16
TS23: trigeminal ganglion Weak Regionally restricted euxassay_007867_16
TS23: dorsal root ganglion Moderate Regionally restricted euxassay_007867_16

Specimen euxassay_007867_17: embryonic day 14.5 (more )
Structure Level Pattern Image Note
TS23: midbrain Moderate Uniform euxassay_007867_17
TS23: hindbrain Moderate Uniform euxassay_007867_17
TS23: telencephalon Moderate Uniform euxassay_007867_17
TS23: diencephalon Moderate Uniform euxassay_007867_17
TS23: glossopharyngeal ganglion Moderate Regionally restricted euxassay_007867_17
TS23: trigeminal ganglion Moderate Regionally restricted euxassay_007867_17
TS23: dorsal root ganglion Moderate Regionally restricted euxassay_007867_17

Specimen euxassay_007867_18: embryonic day 14.5 (more )
Structure Level Pattern Image Note
TS23: midbrain Moderate Uniform euxassay_007867_18
TS23: hindbrain Moderate Uniform euxassay_007867_18
TS23: telencephalon Moderate Uniform euxassay_007867_18
TS23: trigeminal ganglion Moderate Regionally restricted euxassay_007867_18
TS23: vestibulo-cochlear ganglion Moderate Regionally restricted euxassay_007867_18
TS23: glossopharyngeal ganglion Moderate Regionally restricted euxassay_007867_18
TS23: dorsal root ganglion Moderate Regionally restricted euxassay_007867_18

Specimen euxassay_007867_19: embryonic day 14.5 (more )
Structure Level Pattern Image Note
TS23: midbrain Moderate Uniform euxassay_007867_19
TS23: hindbrain Moderate Uniform euxassay_007867_19
TS23: telencephalon Moderate Uniform euxassay_007867_19
TS23: trigeminal ganglion Weak Regionally restricted euxassay_007867_19

Specimen euxassay_007867_20: embryonic day 14.5 (more )
Structure Level Pattern Image Note
TS23: hindbrain Moderate Uniform euxassay_007867_20
TS23: telencephalon Moderate Uniform euxassay_007867_20
TS23: trigeminal ganglion Moderate Regionally restricted euxassay_007867_20
TS23: neural retina Moderate Regionally restricted euxassay_007867_20

Specimen euxassay_007867_21: embryonic day 14.5 (more )
Structure Level Pattern Image Note
TS23: hindbrain Moderate Uniform euxassay_007867_21
TS23: telencephalon Moderate Uniform euxassay_007867_21
TS23: neural retina Moderate Regionally restricted euxassay_007867_21

Specimen euxassay_007867_22: embryonic day 14.5 (more )
Structure Level Pattern Image Note
TS23: telencephalon Moderate Uniform euxassay_007867_22
TS23: neural retina Moderate Regionally restricted euxassay_007867_22

Specimen euxassay_007867_23: embryonic day 14.5 (more )
Structure Level Pattern Image Note
TS23: telencephalon Moderate Uniform euxassay_007867_23


Contributing Projects:
Mouse Genome Database (MGD), Gene Expression Database (GXD), Mouse Models of Human Cancer database (MMHCdb) (formerly Mouse Tumor Biology (MTB)), Gene Ontology (GO)
Citing These Resources
Funding Information
Warranty Disclaimer, Privacy Notice, Licensing, & Copyright
Send questions and comments to User Support.
last database update
12/30/2025
MGI 6.24
The Jackson Laboratory