About   Help   FAQ
Gene Expression Data
Assay Details
Assay
Reference: J:153498 Diez-Roux G, et al., A high-resolution anatomical atlas of the transcriptome in the mouse embryo. PLoS Biol. 2011;9(1):e1000582
Assay type: RNA in situ
MGI Accession ID: MGI:4824868
Gene symbol: Fkbp11
Gene name: FK506 binding protein 11
Probe: IMAGE clone 1527946
Probe preparation: Antisense labelled with digoxigenin RNA
Visualized with: Alkaline phosphatase
Assay notes: Cryosections of fresh frozen material were fixed in 4% paraformaldehyde for 20 min. before further processing. A tyramide-biotin/streptavidin amplification step was included in the in situ hybridization procedure.
Results
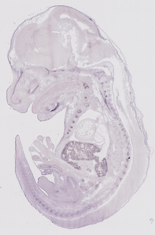
Specimen euxassay_008734_01: embryonic day 14.5 (more )
Structure Level Pattern Image Note
TS23: liver left lobe Moderate Regionally restricted euxassay_008734_01
TS23: rib Strong Regionally restricted euxassay_008734_01
TS23: orbito-sphenoid Moderate Regionally restricted euxassay_008734_01
TS23: temporo-mandibular joint primordium Moderate Regionally restricted euxassay_008734_01
TS23: exoccipital bone Moderate Regionally restricted euxassay_008734_01

Specimen euxassay_008734_02: embryonic day 14.5 (more )
Structure Level Pattern Image Note
TS23: liver left lobe Moderate Regionally restricted euxassay_008734_02
TS23: rib Strong Regionally restricted euxassay_008734_02
TS23: orbito-sphenoid Strong Regionally restricted euxassay_008734_02
TS23: temporal bone petrous part Moderate Regionally restricted euxassay_008734_02
TS23: mandible Strong Regionally restricted euxassay_008734_02

Specimen euxassay_008734_03: embryonic day 14.5 (more )
Structure Level Pattern Image Note
TS23: liver left lobe Moderate Regionally restricted euxassay_008734_03
TS23: rib Strong Regionally restricted euxassay_008734_03
TS23: temporal bone Moderate Regionally restricted euxassay_008734_03
TS23: exoccipital bone Moderate Regionally restricted euxassay_008734_03
TS23: orbito-sphenoid Strong Regionally restricted euxassay_008734_03
TS23: mandible Strong Regionally restricted euxassay_008734_03

Specimen euxassay_008734_04: embryonic day 14.5 (more )
Structure Level Pattern Image Note
TS23: liver left lobe Moderate Regionally restricted euxassay_008734_04
TS23: rib Strong Regionally restricted euxassay_008734_04
TS23: orbito-sphenoid Strong Regionally restricted euxassay_008734_04
TS23: temporal bone petrous part Moderate Regionally restricted euxassay_008734_04
TS23: exoccipital bone Moderate Regionally restricted euxassay_008734_04
TS23: mandible Strong Regionally restricted euxassay_008734_04
TS23: maxilla Strong Regionally restricted euxassay_008734_04

Specimen euxassay_008734_05: embryonic day 14.5 (more )
Structure Level Pattern Image Note
TS23: liver left lobe Moderate Regionally restricted euxassay_008734_05
TS23: rib Strong Regionally restricted euxassay_008734_05
TS23: temporal bone petrous part Weak Regionally restricted euxassay_008734_05
TS23: exoccipital bone Weak Regionally restricted euxassay_008734_05
TS23: orbito-sphenoid Strong Regionally restricted euxassay_008734_05
TS23: mandible Strong Regionally restricted euxassay_008734_05
TS23: maxilla Strong Regionally restricted euxassay_008734_05

Specimen euxassay_008734_06: embryonic day 14.5 (more )
Structure Level Pattern Image Note
TS23: liver left lobe Moderate Regionally restricted euxassay_008734_06
TS23: rib Strong Regionally restricted euxassay_008734_06
TS23: orbito-sphenoid Moderate Regionally restricted euxassay_008734_06
TS23: mandible Strong Regionally restricted euxassay_008734_06
TS23: maxilla Strong Regionally restricted euxassay_008734_06
TS23: clavicle Moderate Regionally restricted euxassay_008734_06
TS23: otic capsule Weak Regionally restricted euxassay_008734_06

Specimen euxassay_008734_07: embryonic day 14.5 (more )
Structure Level Pattern Image Note
TS23: liver left lobe Moderate Regionally restricted euxassay_008734_07
TS23: rib Moderate Regionally restricted euxassay_008734_07
TS23: orbito-sphenoid Moderate Regionally restricted euxassay_008734_07
TS23: turbinate bone primordium Moderate Regionally restricted euxassay_008734_07
TS23: mandible Strong Regionally restricted euxassay_008734_07
TS23: maxilla Strong Regionally restricted euxassay_008734_07
TS23: clavicle Moderate Regionally restricted euxassay_008734_07
TS23: otic capsule Weak Regionally restricted euxassay_008734_07

Specimen euxassay_008734_08: embryonic day 14.5 (more )
Structure Level Pattern Image Note
TS23: liver left lobe Moderate Regionally restricted euxassay_008734_08
TS23: rib Weak Regionally restricted euxassay_008734_08
TS23: turbinate bone primordium Moderate Regionally restricted euxassay_008734_08
TS23: orbito-sphenoid Moderate Regionally restricted euxassay_008734_08
TS23: mandible Strong Regionally restricted euxassay_008734_08
TS23: maxilla Strong Regionally restricted euxassay_008734_08
TS23: clavicle Strong Regionally restricted euxassay_008734_08
TS23: otic capsule Weak Regionally restricted euxassay_008734_08

Specimen euxassay_008734_09: embryonic day 14.5 (more )
Structure Level Pattern Image Note
TS23: liver left lobe Moderate Regionally restricted euxassay_008734_09
TS23: rib Weak Regionally restricted euxassay_008734_09
TS23: turbinate bone primordium Moderate Regionally restricted euxassay_008734_09
TS23: upper jaw incisor Strong Regionally restricted euxassay_008734_09
TS23: maxilla Strong Regionally restricted euxassay_008734_09
TS23: lower jaw incisor Strong Regionally restricted euxassay_008734_09
TS23: otic capsule Weak Regionally restricted euxassay_008734_09

Specimen euxassay_008734_10: embryonic day 14.5 (more )
Structure Level Pattern Image Note
TS23: liver left lobe Moderate Regionally restricted euxassay_008734_10
TS23: rib Weak Regionally restricted euxassay_008734_10
TS23: turbinate bone primordium Moderate Regionally restricted euxassay_008734_10
TS23: upper jaw incisor Strong Regionally restricted euxassay_008734_10
TS23: lower jaw incisor Strong Regionally restricted euxassay_008734_10

Specimen euxassay_008734_11: embryonic day 14.5 (more )
Structure Level Pattern Image Note
TS23: liver left lobe Moderate Regionally restricted euxassay_008734_11
TS23: rib Weak Regionally restricted euxassay_008734_11
TS23: upper jaw incisor Moderate Regionally restricted euxassay_008734_11
TS23: lower jaw incisor Moderate Regionally restricted euxassay_008734_11

Specimen euxassay_008734_12: embryonic day 14.5 (more )
Structure Level Pattern Image Note
TS23: liver left lobe Moderate Regionally restricted euxassay_008734_12
TS23: rib Moderate Regionally restricted euxassay_008734_12
TS23: upper jaw incisor Moderate Regionally restricted euxassay_008734_12
TS23: lower jaw incisor Moderate Regionally restricted euxassay_008734_12

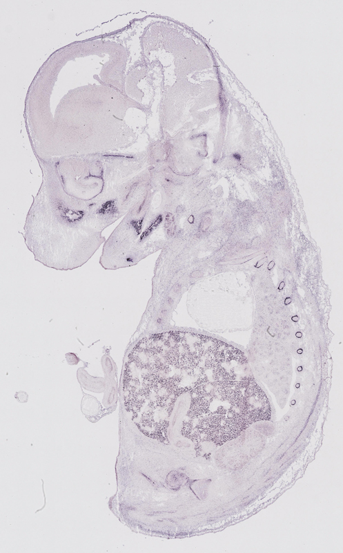
Specimen euxassay_008734_13: embryonic day 14.5 (more )
Structure Level Pattern Image Note
TS23: liver right lobe Moderate Regionally restricted euxassay_008734_13
TS23: rib Moderate Regionally restricted euxassay_008734_13

Specimen euxassay_008734_14: embryonic day 14.5 (more )
Structure Level Pattern Image Note
TS23: liver right lobe Moderate Regionally restricted euxassay_008734_14
TS23: rib Moderate Regionally restricted euxassay_008734_14
TS23: lower jaw incisor Strong Regionally restricted euxassay_008734_14
TS23: clavicle Moderate Regionally restricted euxassay_008734_14

Specimen euxassay_008734_15: embryonic day 14.5 (more )
Structure Level Pattern Image Note
TS23: liver right lobe Moderate Regionally restricted euxassay_008734_15
TS23: lower jaw incisor Strong Regionally restricted euxassay_008734_15
TS23: upper jaw incisor Strong Regionally restricted euxassay_008734_15
TS23: clavicle Strong Regionally restricted euxassay_008734_15
TS23: otic capsule Weak Regionally restricted euxassay_008734_15

Specimen euxassay_008734_16: embryonic day 14.5 (more )
Structure Level Pattern Image Note
TS23: liver right lobe Moderate Regionally restricted euxassay_008734_16
TS23: maxilla Strong Regionally restricted euxassay_008734_16
TS23: mandible Strong Regionally restricted euxassay_008734_16
TS23: clavicle Moderate Regionally restricted euxassay_008734_16
TS23: otic capsule Weak Regionally restricted euxassay_008734_16

Specimen euxassay_008734_17: embryonic day 14.5 (more )
Structure Level Pattern Image Note
TS23: liver right lobe Moderate Regionally restricted euxassay_008734_17
TS23: orbito-sphenoid Moderate Regionally restricted euxassay_008734_17
TS23: maxilla Strong Regionally restricted euxassay_008734_17
TS23: mandible Strong Regionally restricted euxassay_008734_17
TS23: otic capsule Weak Regionally restricted euxassay_008734_17

Specimen euxassay_008734_18: embryonic day 14.5 (more )
Structure Level Pattern Image Note
TS23: liver right lobe Moderate Regionally restricted euxassay_008734_18
TS23: rib Strong Regionally restricted euxassay_008734_18
TS23: turbinate bone primordium Moderate Regionally restricted euxassay_008734_18
TS23: orbito-sphenoid Moderate Regionally restricted euxassay_008734_18
TS23: exoccipital bone Moderate Regionally restricted euxassay_008734_18
TS23: maxilla Strong Regionally restricted euxassay_008734_18
TS23: mandible Strong Regionally restricted euxassay_008734_18

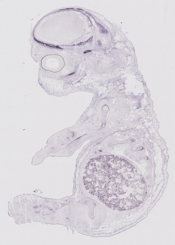
Specimen euxassay_008734_19: embryonic day 14.5 (more )
Structure Level Pattern Image Note
TS23: liver right lobe Moderate Regionally restricted euxassay_008734_19
TS23: rib Strong Regionally restricted euxassay_008734_19
TS23: turbinate bone primordium Moderate Regionally restricted euxassay_008734_19
TS23: orbito-sphenoid Moderate Regionally restricted euxassay_008734_19
TS23: exoccipital bone Moderate Regionally restricted euxassay_008734_19
TS23: maxilla Strong Regionally restricted euxassay_008734_19
TS23: mandible Strong Regionally restricted euxassay_008734_19

Specimen euxassay_008734_20: embryonic day 14.5 (more )
Structure Level Pattern Image Note
TS23: liver right lobe Moderate Regionally restricted euxassay_008734_20
TS23: rib Strong Regionally restricted euxassay_008734_20
TS23: exoccipital bone Moderate Regionally restricted euxassay_008734_20
TS23: orbito-sphenoid Moderate Regionally restricted euxassay_008734_20
TS23: temporal bone petrous part Moderate Regionally restricted euxassay_008734_20
TS23: maxilla Strong Regionally restricted euxassay_008734_20
TS23: mandible Strong Regionally restricted euxassay_008734_20

Specimen euxassay_008734_21: embryonic day 14.5 (more )
Structure Level Pattern Image Note
TS23: liver right lobe Moderate Regionally restricted euxassay_008734_21
TS23: rib Strong Regionally restricted euxassay_008734_21
TS23: orbito-sphenoid Strong Regionally restricted euxassay_008734_21
TS23: temporal bone petrous part Moderate Regionally restricted euxassay_008734_21
TS23: exoccipital bone Moderate Regionally restricted euxassay_008734_21
TS23: mandible Strong Regionally restricted euxassay_008734_21
TS23: maxilla Strong Regionally restricted euxassay_008734_21

Specimen euxassay_008734_22: embryonic day 14.5 (more )
Structure Level Pattern Image Note
TS23: liver right lobe Moderate Regionally restricted euxassay_008734_22
TS23: rib Strong Regionally restricted euxassay_008734_22
TS23: temporal bone petrous part Moderate Regionally restricted euxassay_008734_22
TS23: exoccipital bone Moderate Regionally restricted euxassay_008734_22
TS23: orbito-sphenoid Strong Regionally restricted euxassay_008734_22
TS23: mandible Strong Regionally restricted euxassay_008734_22
TS23: maxilla Strong Regionally restricted euxassay_008734_22

Specimen euxassay_008734_23: embryonic day 14.5 (more )
Structure Level Pattern Image Note
TS23: liver right lobe Moderate Regionally restricted euxassay_008734_23
TS23: rib Moderate Regionally restricted euxassay_008734_23
TS23: orbito-sphenoid Strong Regionally restricted euxassay_008734_23
TS23: exoccipital bone Moderate Regionally restricted euxassay_008734_23
TS23: basioccipital bone Moderate Regionally restricted euxassay_008734_23
TS23: temporal bone petrous part Moderate Regionally restricted euxassay_008734_23

Specimen euxassay_008734_24: embryonic day 14.5 (more )
Structure Level Pattern Image Note
TS23: liver right lobe Moderate Regionally restricted euxassay_008734_24
TS23: rib Moderate Regionally restricted euxassay_008734_24
TS23: exoccipital bone Moderate Regionally restricted euxassay_008734_24
TS23: basioccipital bone Moderate Regionally restricted euxassay_008734_24
TS23: orbito-sphenoid Strong Regionally restricted euxassay_008734_24


Contributing Projects:
Mouse Genome Database (MGD), Gene Expression Database (GXD), Mouse Models of Human Cancer database (MMHCdb) (formerly Mouse Tumor Biology (MTB)), Gene Ontology (GO)
Citing These Resources
Funding Information
Warranty Disclaimer, Privacy Notice, Licensing, & Copyright
Send questions and comments to User Support.
last database update
03/24/2026
MGI 6.24
The Jackson Laboratory