About   Help   FAQ
Gene Expression Data
Assay Details
Assay
Reference: J:153498 Diez-Roux G, et al., A high-resolution anatomical atlas of the transcriptome in the mouse embryo. PLoS Biol. 2011;9(1):e1000582
Assay type: RNA in situ
MGI Accession ID: MGI:4824825
Gene symbol: Fech
Gene name: ferrochelatase
Probe: T36375
Probe preparation: Antisense labelled with digoxigenin RNA
Visualized with: Alkaline phosphatase
Assay notes: Cryosections of fresh frozen material were fixed in 4% paraformaldehyde for 20 min. before further processing. A tyramide-biotin/streptavidin amplification step was included in the in situ hybridization procedure.
Results
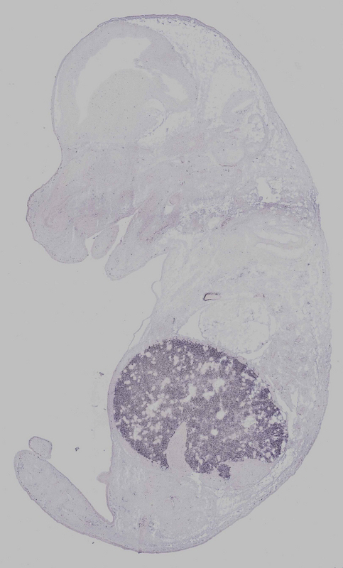
Specimen euxassay_010182_01: embryonic day 14.5 (more )
Structure Level Pattern Image Note
TS23: liver Strong Regionally restricted euxassay_010182_01
TS23: embryo mesenchyme Strong Single cells euxassay_010182_01

Specimen euxassay_010182_02: embryonic day 14.5 (more )
Structure Level Pattern Image Note
TS23: liver Strong Regionally restricted euxassay_010182_02
TS23: embryo mesenchyme Strong Single cells euxassay_010182_02

Specimen euxassay_010182_03: embryonic day 14.5 (more )
Structure Level Pattern Image Note
TS23: liver Strong Regionally restricted euxassay_010182_03
TS23: embryo mesenchyme Strong Single cells euxassay_010182_03

Specimen euxassay_010182_04: embryonic day 14.5 (more )
Structure Level Pattern Image Note
TS23: liver Strong Regionally restricted euxassay_010182_04
TS23: embryo mesenchyme Strong Single cells euxassay_010182_04

Specimen euxassay_010182_05: embryonic day 14.5 (more )
Structure Level Pattern Image Note
TS23: liver Strong Regionally restricted euxassay_010182_05
TS23: embryo mesenchyme Strong Single cells euxassay_010182_05

Specimen euxassay_010182_06: embryonic day 14.5 (more )
Structure Level Pattern Image Note
TS23: liver Strong Regionally restricted euxassay_010182_06
TS23: liver and biliary system Strong Single cells euxassay_010182_06
TS23: metencephalon part of 4th ventricle choroid plexus Strong Single cells euxassay_010182_06
TS23: embryo mesenchyme Strong Single cells euxassay_010182_06

Specimen euxassay_010182_07: embryonic day 14.5 (more )
Structure Level Pattern Image Note
TS23: liver Strong Regionally restricted euxassay_010182_07
TS23: metencephalon part of 4th ventricle choroid plexus Strong Single cells euxassay_010182_07
TS23: embryo mesenchyme Strong Single cells euxassay_010182_07

Specimen euxassay_010182_08: embryonic day 14.5 (more )
Structure Level Pattern Image Note
TS23: liver Strong Regionally restricted euxassay_010182_08
TS23: metencephalon part of 4th ventricle choroid plexus Strong Single cells euxassay_010182_08

Specimen euxassay_010182_09: embryonic day 14.5 (more )
Structure Level Pattern Image Note
TS23: liver Strong Regionally restricted euxassay_010182_09
TS23: metencephalon part of 4th ventricle choroid plexus Strong Single cells euxassay_010182_09
TS23: embryo mesenchyme Strong Single cells euxassay_010182_09

Specimen euxassay_010182_10: embryonic day 14.5 (more )
Structure Level Pattern Image Note
TS23: liver Strong Regionally restricted euxassay_010182_10
TS23: metencephalon part of 4th ventricle choroid plexus Strong Single cells euxassay_010182_10
TS23: embryo mesenchyme Strong Single cells euxassay_010182_10

Specimen euxassay_010182_11: embryonic day 14.5 (more )
Structure Level Pattern Image Note
TS23: liver Strong Regionally restricted euxassay_010182_11
TS23: embryo mesenchyme Strong Single cells euxassay_010182_11

Specimen euxassay_010182_12: embryonic day 14.5 (more )
Structure Level Pattern Image Note
TS23: liver Strong Regionally restricted euxassay_010182_12
TS23: embryo mesenchyme Strong Single cells euxassay_010182_12

Specimen euxassay_010182_13: embryonic day 14.5 (more )
Structure Level Pattern Image Note
TS23: liver Strong Regionally restricted euxassay_010182_13
TS23: embryo mesenchyme Strong Single cells euxassay_010182_13

Specimen euxassay_010182_14: embryonic day 14.5 (more )
Structure Level Pattern Image Note
TS23: liver Strong Regionally restricted euxassay_010182_14
TS23: embryo mesenchyme Strong Single cells euxassay_010182_14

Specimen euxassay_010182_15: embryonic day 14.5 (more )
Structure Level Pattern Image Note
TS23: liver Strong Regionally restricted euxassay_010182_15
TS23: embryo mesenchyme Strong Single cells euxassay_010182_15

Specimen euxassay_010182_16: embryonic day 14.5 (more )
Structure Level Pattern Image Note
TS23: liver Strong Regionally restricted euxassay_010182_16
TS23: embryo mesenchyme Strong Single cells euxassay_010182_16

Specimen euxassay_010182_17: embryonic day 14.5 (more )
Structure Level Pattern Image Note
TS23: liver Strong Regionally restricted euxassay_010182_17
TS23: embryo mesenchyme Strong Single cells euxassay_010182_17

Specimen euxassay_010182_18: embryonic day 14.5 (more )
Structure Level Pattern Image Note
TS23: liver Strong Regionally restricted euxassay_010182_18
TS23: embryo mesenchyme Strong Single cells euxassay_010182_18

Specimen euxassay_010182_19: embryonic day 14.5 (more )
Structure Level Pattern Image Note
TS23: liver Strong Regionally restricted euxassay_010182_19
TS23: embryo mesenchyme Strong Single cells euxassay_010182_19

Specimen euxassay_010182_20: embryonic day 14.5 (more )
Structure Level Pattern Image Note
TS23: liver Strong Regionally restricted euxassay_010182_20
TS23: embryo mesenchyme Strong Single cells euxassay_010182_20

Specimen euxassay_010182_21: embryonic day 14.5 (more )
Structure Level Pattern Image Note
TS23: liver Strong Regionally restricted euxassay_010182_21
TS23: embryo mesenchyme Strong Single cells euxassay_010182_21

Specimen euxassay_010182_22: embryonic day 14.5 (more )
Structure Level Pattern Image Note
TS23: liver Strong Regionally restricted euxassay_010182_22
TS23: embryo mesenchyme Strong Single cells euxassay_010182_22

Specimen euxassay_010182_23: embryonic day 14.5 (more )
Structure Level Pattern Image Note
TS23: liver Strong Regionally restricted euxassay_010182_23
TS23: embryo mesenchyme Strong Single cells euxassay_010182_23

Specimen euxassay_010182_24: embryonic day 14.5 (more )
Structure Level Pattern Image Note
TS23: liver Strong Regionally restricted euxassay_010182_24
TS23: embryo mesenchyme Strong Single cells euxassay_010182_24


Contributing Projects:
Mouse Genome Database (MGD), Gene Expression Database (GXD), Mouse Models of Human Cancer database (MMHCdb) (formerly Mouse Tumor Biology (MTB)), Gene Ontology (GO)
Citing These Resources
Funding Information
Warranty Disclaimer, Privacy Notice, Licensing, & Copyright
Send questions and comments to User Support.
last database update
01/06/2026
MGI 6.24
The Jackson Laboratory