About   Help   FAQ
Gene Expression Data
Assay Details
Assay
Reference: J:153498 Diez-Roux G, et al., A high-resolution anatomical atlas of the transcriptome in the mouse embryo. PLoS Biol. 2011;9(1):e1000582
Assay type: RNA in situ
MGI Accession ID: MGI:4824821
Gene symbol: Fdft1
Gene name: farnesyl diphosphate farnesyl transferase 1
Probe: IMAGE clone 424562
Probe preparation: Antisense labelled with digoxigenin RNA
Visualized with: Alkaline phosphatase
Assay notes: Cryosections of fresh frozen material were fixed in 4% paraformaldehyde for 20 min. before further processing. A tyramide-biotin/streptavidin amplification step was included in the in situ hybridization procedure.
Results
Specimen euxassay_002771_02: embryonic day 14.5 (more )
Structure Level Pattern Image Note
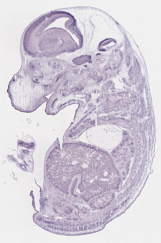
TS23: trigeminal ganglion Strong Regionally restricted euxassay_002771_02
TS23: facial ganglion Strong Regionally restricted euxassay_002771_02

Specimen euxassay_002771_03: embryonic day 14.5 (more )
Structure Level Pattern Image Note
TS23: trigeminal ganglion Strong Regionally restricted euxassay_002771_03
TS23: facial ganglion Strong Regionally restricted euxassay_002771_03

Specimen euxassay_002771_04: embryonic day 14.5 (more )
Structure Level Pattern Image Note
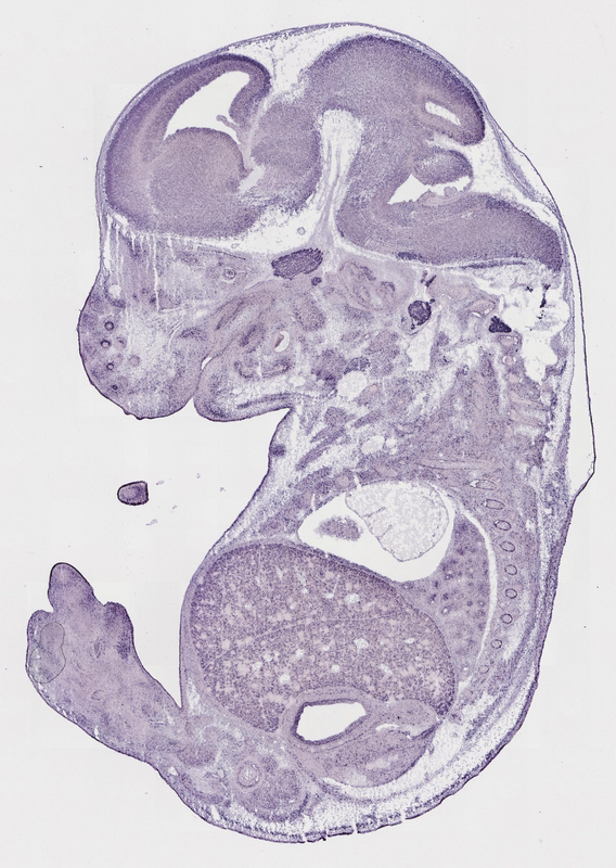
TS23: trigeminal ganglion Strong Regionally restricted euxassay_002771_04
TS23: glossopharyngeal ganglion Strong Regionally restricted euxassay_002771_04
TS23: vestibulo-cochlear ganglion Strong Regionally restricted euxassay_002771_04
TS23: dorsal root ganglion Strong Regionally restricted euxassay_002771_04

Specimen euxassay_002771_05: embryonic day 14.5 (more )
Structure Level Pattern Image Note
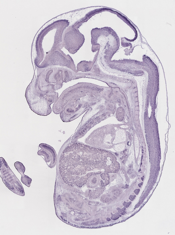
TS23: glossopharyngeal ganglion Strong Regionally restricted euxassay_002771_05
TS23: trigeminal ganglion Strong Regionally restricted euxassay_002771_05
TS23: vibrissa Strong Regionally restricted euxassay_002771_05
TS23: dorsal root ganglion Strong Regionally restricted euxassay_002771_05

Specimen euxassay_002771_06: embryonic day 14.5 (more )
Structure Level Pattern Image Note
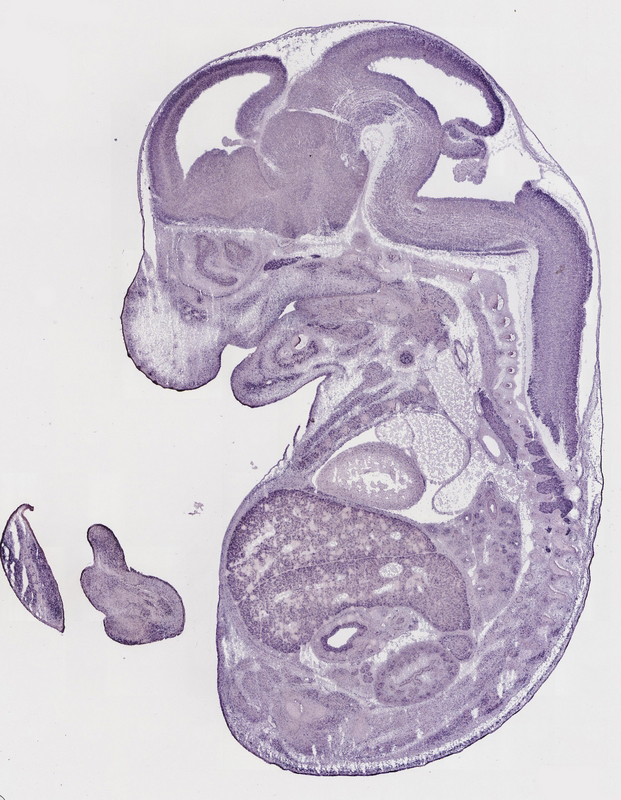
TS23: trigeminal ganglion Strong Regionally restricted euxassay_002771_06
TS23: dorsal root ganglion Strong Regionally restricted euxassay_002771_06
TS23: vibrissa Strong Regionally restricted euxassay_002771_06

Specimen euxassay_002771_07: embryonic day 14.5 (more )
Structure Level Pattern Image Note
TS23: trigeminal ganglion Strong Regionally restricted euxassay_002771_07
TS23: dorsal root ganglion Strong Regionally restricted euxassay_002771_07
TS23: vibrissa Strong Regionally restricted euxassay_002771_07
TS23: cervical ganglion Strong Regionally restricted euxassay_002771_07

Specimen euxassay_002771_08: embryonic day 14.5 (more )
Structure Level Pattern Image Note
TS23: dorsal root ganglion Strong Regionally restricted euxassay_002771_08
TS23: cervico-thoracic ganglion Strong Regionally restricted euxassay_002771_08

Specimen euxassay_002771_09: embryonic day 14.5 (more )
Structure Level Pattern Image Note
TS23: dorsal root ganglion Strong Regionally restricted euxassay_002771_09

Specimen euxassay_002771_10: embryonic day 14.5 (more )
Structure Level Pattern Image Note
TS23: dorsal root ganglion Strong Regionally restricted euxassay_002771_10

Specimen euxassay_002771_11: embryonic day 14.5 (more )
Structure Level Pattern Image Note
TS23: dorsal root ganglion Strong Regionally restricted euxassay_002771_11
TS23: nucleus pulposus Strong Regionally restricted euxassay_002771_11

Specimen euxassay_002771_12: embryonic day 14.5 (more )
Structure Level Pattern Image Note
TS23: dorsal root ganglion Strong Regionally restricted euxassay_002771_12
TS23: thoracic ganglion Strong Regionally restricted euxassay_002771_12
TS23: nucleus pulposus Strong Regionally restricted euxassay_002771_12

Specimen euxassay_002771_13: embryonic day 14.5 (more )
Structure Level Pattern Image Note
TS23: dorsal root ganglion Strong Regionally restricted euxassay_002771_13
TS23: thoracic ganglion Strong Regionally restricted euxassay_002771_13
TS23: cervico-thoracic ganglion Strong Regionally restricted euxassay_002771_13
TS23: cervical ganglion Strong Regionally restricted euxassay_002771_13
TS23: nucleus pulposus Strong Regionally restricted euxassay_002771_13

Specimen euxassay_002771_14: embryonic day 14.5 (more )
Structure Level Pattern Image Note
TS23: vestibulo-cochlear ganglion Strong Regionally restricted euxassay_002771_14
TS23: dorsal root ganglion Strong Regionally restricted euxassay_002771_14

Specimen euxassay_002771_15: embryonic day 14.5 (more )
Structure Level Pattern Image Note
TS23: vestibulo-cochlear ganglion Strong Regionally restricted euxassay_002771_15
TS23: glossopharyngeal ganglion Strong Regionally restricted euxassay_002771_15
TS23: trigeminal ganglion Strong Regionally restricted euxassay_002771_15
TS23: dorsal root ganglion Strong Regionally restricted euxassay_002771_15

Specimen euxassay_002771_16: embryonic day 14.5 (more )
Structure Level Pattern Image Note
TS23: trigeminal ganglion Strong Regionally restricted euxassay_002771_16
TS23: vestibulo-cochlear ganglion Strong Regionally restricted euxassay_002771_16
TS23: dorsal root ganglion Strong Regionally restricted euxassay_002771_16

Specimen euxassay_002771_17: embryonic day 14.5 (more )
Structure Level Pattern Image Note
TS23: trigeminal ganglion Strong Regionally restricted euxassay_002771_17
TS23: facial ganglion Strong Regionally restricted euxassay_002771_17
TS23: dorsal root ganglion Strong Regionally restricted euxassay_002771_17

Specimen euxassay_002771_18: embryonic day 14.5 (more )
Structure Level Pattern Image Note
TS23: trigeminal ganglion Strong Regionally restricted euxassay_002771_18
TS23: facial ganglion Strong Regionally restricted euxassay_002771_18

Specimen euxassay_002771_19: embryonic day 14.5 (more )
Structure Level Pattern Image Note
TS23: trigeminal ganglion Strong Regionally restricted euxassay_002771_19
TS23: vibrissa Strong Regionally restricted euxassay_002771_19

Specimen euxassay_002771_20: embryonic day 14.5 (more )
Structure Level Pattern Image Note
TS23: vibrissa Strong Regionally restricted euxassay_002771_20


Contributing Projects:
Mouse Genome Database (MGD), Gene Expression Database (GXD), Mouse Models of Human Cancer database (MMHCdb) (formerly Mouse Tumor Biology (MTB)), Gene Ontology (GO)
Citing These Resources
Funding Information
Warranty Disclaimer, Privacy Notice, Licensing, & Copyright
Send questions and comments to User Support.
last database update
12/30/2025
MGI 6.24
The Jackson Laboratory