About   Help   FAQ
Gene Expression Data
Assay Details
Assay
Reference: J:153498 Diez-Roux G, et al., A high-resolution anatomical atlas of the transcriptome in the mouse embryo. PLoS Biol. 2011;9(1):e1000582
Assay type: RNA in situ
MGI Accession ID: MGI:4824813
Gene symbol: Fbxo7
Gene name: F-box protein 7
Probe: MGC clone 29385
Probe preparation: Antisense labelled with digoxigenin RNA
Visualized with: Alkaline phosphatase
Assay notes: Cryosections of fresh frozen material were fixed in 4% paraformaldehyde for 20 min. before further processing. A tyramide-biotin/streptavidin amplification step was included in the in situ hybridization procedure.
Results
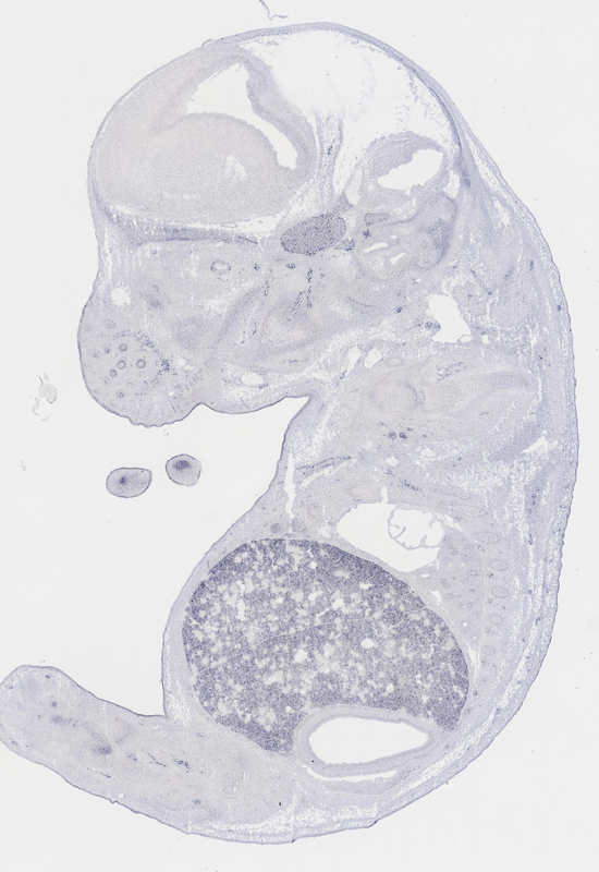
Specimen euxassay_000818_01: embryonic day 14.5 (more )
Structure Level Pattern Image Note
TS23: liver Moderate Uniform euxassay_000818_01

Specimen euxassay_000818_02: embryonic day 14.5 (more )
Structure Level Pattern Image Note
TS23: liver Moderate Uniform euxassay_000818_02

Specimen euxassay_000818_03: embryonic day 14.5 (more )
Structure Level Pattern Image Note
TS23: liver Moderate Uniform euxassay_000818_03

Specimen euxassay_000818_04: embryonic day 14.5 (more )
Structure Level Pattern Image Note
TS23: liver Moderate Uniform euxassay_000818_04
TS23: trigeminal ganglion Weak Uniform euxassay_000818_04

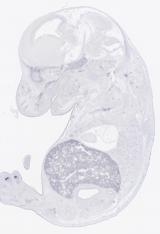
Specimen euxassay_000818_05: embryonic day 14.5 (more )
Structure Level Pattern Image Note
TS23: liver Moderate Uniform euxassay_000818_05
TS23: trigeminal ganglion Weak Uniform euxassay_000818_05

Specimen euxassay_000818_06: embryonic day 14.5 (more )
Structure Level Pattern Image Note
TS23: liver Moderate Uniform euxassay_000818_06
TS23: trigeminal ganglion Weak Uniform euxassay_000818_06

Specimen euxassay_000818_07: embryonic day 14.5 (more )
Structure Level Pattern Image Note
TS23: liver Moderate Uniform euxassay_000818_07
TS23: trigeminal ganglion Weak Uniform euxassay_000818_07

Specimen euxassay_000818_08: embryonic day 14.5 (more )
Structure Level Pattern Image Note
TS23: liver Moderate Uniform euxassay_000818_08
TS23: vagus ganglion Weak Uniform euxassay_000818_08
TS23: trigeminal ganglion Weak Uniform euxassay_000818_08

Specimen euxassay_000818_09: embryonic day 14.5 (more )
Structure Level Pattern Image Note
TS23: liver Moderate Uniform euxassay_000818_09
TS23: trigeminal ganglion Weak Uniform euxassay_000818_09
TS23: vagus ganglion Weak Uniform euxassay_000818_09
TS23: dorsal root ganglion Weak Uniform euxassay_000818_09

Specimen euxassay_000818_10: embryonic day 14.5 (more )
Structure Level Pattern Image Note
TS23: liver Moderate Uniform euxassay_000818_10

Specimen euxassay_000818_11: embryonic day 14.5 (more )
Structure Level Pattern Image Note
TS23: liver Moderate Uniform euxassay_000818_11

Specimen euxassay_000818_12: embryonic day 14.5 (more )
Structure Level Pattern Image Note
TS23: liver Moderate Uniform euxassay_000818_12

Specimen euxassay_000818_13: embryonic day 14.5 (more )
Structure Level Pattern Image Note
TS23: liver Moderate Uniform euxassay_000818_13

Specimen euxassay_000818_14: embryonic day 14.5 (more )
Structure Level Pattern Image Note
TS23: liver Moderate Uniform euxassay_000818_14

Specimen euxassay_000818_15: embryonic day 14.5 (more )
Structure Level Pattern Image Note
TS23: liver Moderate Uniform euxassay_000818_15

Specimen euxassay_000818_16: embryonic day 14.5 (more )
Structure Level Pattern Image Note
TS23: liver Moderate Uniform euxassay_000818_16

Specimen euxassay_000818_17: embryonic day 14.5 (more )
Structure Level Pattern Image Note
TS23: liver Moderate Uniform euxassay_000818_17

Specimen euxassay_000818_18: embryonic day 14.5 (more )
Structure Level Pattern Image Note
TS23: liver Moderate Uniform euxassay_000818_18

Specimen euxassay_000818_19: embryonic day 14.5 (more )
Structure Level Pattern Image Note
TS23: liver Moderate Uniform euxassay_000818_19
TS23: trigeminal ganglion Weak Uniform euxassay_000818_19
TS23: vagus ganglion Weak Uniform euxassay_000818_19

Specimen euxassay_000818_20: embryonic day 14.5 (more )
Structure Level Pattern Image Note
TS23: liver Moderate Uniform euxassay_000818_20

Specimen euxassay_000818_21: embryonic day 14.5 (more )
Structure Level Pattern Image Note
TS23: liver Weak Uniform euxassay_000818_21
TS23: gallbladder Weak Uniform euxassay_000818_21
TS23: trigeminal ganglion Weak Uniform euxassay_000818_21

Specimen euxassay_000818_22: embryonic day 14.5 (more )
Structure Level Pattern Image Note
TS23: liver Moderate Uniform euxassay_000818_22

Specimen euxassay_000818_23: embryonic day 14.5 (more )
Structure Level Pattern Image Note
TS23: liver Moderate Uniform euxassay_000818_23

Specimen euxassay_000818_24: embryonic day 14.5 (more )
Structure Level Pattern Image Note
TS23: liver Moderate Uniform euxassay_000818_24


Contributing Projects:
Mouse Genome Database (MGD), Gene Expression Database (GXD), Mouse Models of Human Cancer database (MMHCdb) (formerly Mouse Tumor Biology (MTB)), Gene Ontology (GO)
Citing These Resources
Funding Information
Warranty Disclaimer, Privacy Notice, Licensing, & Copyright
Send questions and comments to User Support.
last database update
01/20/2026
MGI 6.24
The Jackson Laboratory