About   Help   FAQ
Gene Expression Data
Assay Details
Assay
Reference: J:153498 Diez-Roux G, et al., A high-resolution anatomical atlas of the transcriptome in the mouse embryo. PLoS Biol. 2011;9(1):e1000582
Assay type: RNA in situ
MGI Accession ID: MGI:4824811
Gene symbol: Fbxo48
Gene name: F-box protein 48
Probe: T37525
Probe preparation: Antisense labelled with digoxigenin RNA
Visualized with: Alkaline phosphatase
Assay notes: Cryosections of fresh frozen material were fixed in 4% paraformaldehyde for 20 min. before further processing. A tyramide-biotin/streptavidin amplification step was included in the in situ hybridization procedure.
Results
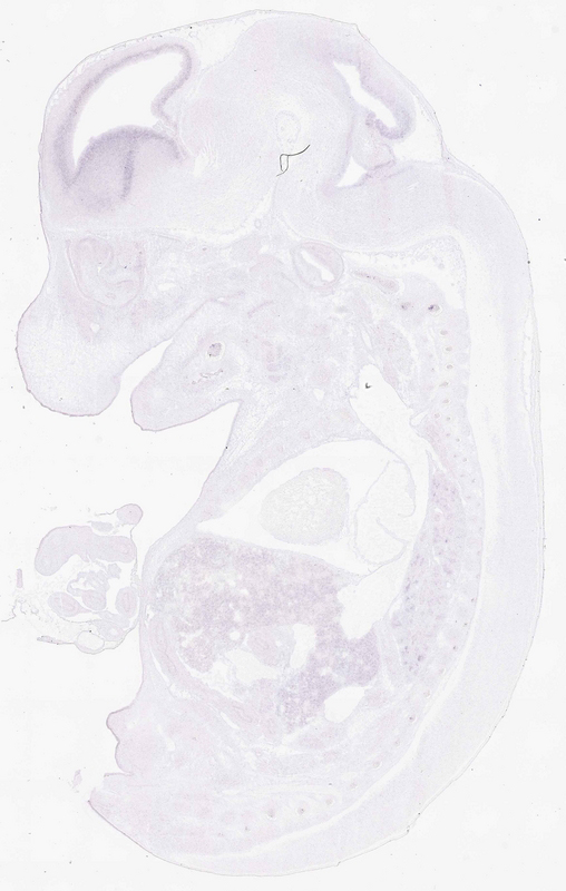
Specimen euxassay_011346_01: embryonic day 14.5 (more )
Structure Level Pattern Image Note
TS23: liver Weak Regionally restricted euxassay_011346_01

Specimen euxassay_011346_02: embryonic day 14.5 (more )
Structure Level Pattern Image Note
TS23: liver Weak Regionally restricted euxassay_011346_02
TS23: telencephalon ventricular layer Weak Regionally restricted euxassay_011346_02

Specimen euxassay_011346_03: embryonic day 14.5 (more )
Structure Level Pattern Image Note
TS23: liver Weak Regionally restricted euxassay_011346_03
TS23: telencephalon ventricular layer Weak Regionally restricted euxassay_011346_03

Specimen euxassay_011346_04: embryonic day 14.5 (more )
Structure Level Pattern Image Note
TS23: liver Weak Regionally restricted euxassay_011346_04
TS23: telencephalon ventricular layer Weak Regionally restricted euxassay_011346_04

Specimen euxassay_011346_05: embryonic day 14.5 (more )
Structure Level Pattern Image Note
TS23: liver Weak Regionally restricted euxassay_011346_05
TS23: telencephalon ventricular layer Weak Regionally restricted euxassay_011346_05

Specimen euxassay_011346_06: embryonic day 14.5 (more )
Structure Level Pattern Image Note
TS23: liver Weak Regionally restricted euxassay_011346_06
TS23: telencephalon ventricular layer Weak Regionally restricted euxassay_011346_06

Specimen euxassay_011346_07: embryonic day 14.5 (more )
Structure Level Pattern Image Note
TS23: liver Weak Regionally restricted euxassay_011346_07
TS23: telencephalon ventricular layer Weak Regionally restricted euxassay_011346_07

Specimen euxassay_011346_08: embryonic day 14.5 (more )
Structure Level Pattern Image Note
TS23: liver Weak Regionally restricted euxassay_011346_08
TS23: telencephalon ventricular layer Weak Regionally restricted euxassay_011346_08

Specimen euxassay_011346_09: embryonic day 14.5 (more )
Structure Level Pattern Image Note
TS23: liver Weak Regionally restricted euxassay_011346_09
TS23: telencephalon ventricular layer Weak Regionally restricted euxassay_011346_09

Specimen euxassay_011346_10: embryonic day 14.5 (more )
Structure Level Pattern Image Note
TS23: liver Weak Regionally restricted euxassay_011346_10
TS23: telencephalon ventricular layer Weak Regionally restricted euxassay_011346_10

Specimen euxassay_011346_11: embryonic day 14.5 (more )
Structure Level Pattern Image Note
TS23: liver Weak Regionally restricted euxassay_011346_11
TS23: telencephalon ventricular layer Weak Regionally restricted euxassay_011346_11

Specimen euxassay_011346_12: embryonic day 14.5 (more )
Structure Level Pattern Image Note
TS23: liver Weak Regionally restricted euxassay_011346_12
TS23: telencephalon ventricular layer Weak Regionally restricted euxassay_011346_12
TS23: midbrain ventricular layer Weak Regionally restricted euxassay_011346_12

Specimen euxassay_011346_13: embryonic day 14.5 (more )
Structure Level Pattern Image Note
TS23: liver Weak Regionally restricted euxassay_011346_13
TS23: telencephalon ventricular layer Weak Regionally restricted euxassay_011346_13
TS23: midbrain ventricular layer Weak Regionally restricted euxassay_011346_13

Specimen euxassay_011346_14: embryonic day 14.5 (more )
Structure Level Pattern Image Note
TS23: liver Weak Regionally restricted euxassay_011346_14
TS23: telencephalon ventricular layer Weak Regionally restricted euxassay_011346_14
TS23: midbrain ventricular layer Weak Regionally restricted euxassay_011346_14

Specimen euxassay_011346_15: embryonic day 14.5 (more )
Structure Level Pattern Image Note
TS23: liver Weak Regionally restricted euxassay_011346_15
TS23: telencephalon ventricular layer Weak Regionally restricted euxassay_011346_15
TS23: midbrain ventricular layer Weak Regionally restricted euxassay_011346_15

Specimen euxassay_011346_16: embryonic day 14.5 (more )
Structure Level Pattern Image Note
TS23: liver Weak Regionally restricted euxassay_011346_16
TS23: axial skeleton Moderate Regionally restricted euxassay_011346_16
TS23: telencephalon ventricular layer Weak Regionally restricted euxassay_011346_16
TS23: midbrain ventricular layer Weak Regionally restricted euxassay_011346_16

Specimen euxassay_011346_17: embryonic day 14.5 (more )
Structure Level Pattern Image Note
TS23: liver Weak Regionally restricted euxassay_011346_17
TS23: axial skeleton Moderate Regionally restricted euxassay_011346_17
TS23: telencephalon ventricular layer Weak Regionally restricted euxassay_011346_17
TS23: midbrain ventricular layer Weak Regionally restricted euxassay_011346_17

Specimen euxassay_011346_18: embryonic day 14.5 (more )
Structure Level Pattern Image Note
TS23: liver Weak Regionally restricted euxassay_011346_18
TS23: telencephalon ventricular layer Weak Regionally restricted euxassay_011346_18
TS23: midbrain ventricular layer Weak Regionally restricted euxassay_011346_18

Specimen euxassay_011346_19: embryonic day 14.5 (more )
Structure Level Pattern Image Note
TS23: liver Weak Regionally restricted euxassay_011346_19
TS23: telencephalon ventricular layer Weak Regionally restricted euxassay_011346_19
TS23: midbrain ventricular layer Weak Regionally restricted euxassay_011346_19

Specimen euxassay_011346_20: embryonic day 14.5 (more )
Structure Level Pattern Image Note
TS23: liver Weak Regionally restricted euxassay_011346_20
TS23: telencephalon ventricular layer Weak Regionally restricted euxassay_011346_20

Specimen euxassay_011346_21: embryonic day 14.5 (more )
Structure Level Pattern Image Note
TS23: liver Weak Regionally restricted euxassay_011346_21
TS23: telencephalon ventricular layer Weak Regionally restricted euxassay_011346_21

Specimen euxassay_011346_22: embryonic day 14.5 (more )
Structure Level Pattern Image Note
TS23: liver Weak Regionally restricted euxassay_011346_22
TS23: telencephalon ventricular layer Weak Regionally restricted euxassay_011346_22

Specimen euxassay_011346_23: embryonic day 14.5 (more )
Structure Level Pattern Image Note
TS23: liver Weak Regionally restricted euxassay_011346_23
TS23: telencephalon ventricular layer Weak Regionally restricted euxassay_011346_23


Contributing Projects:
Mouse Genome Database (MGD), Gene Expression Database (GXD), Mouse Models of Human Cancer database (MMHCdb) (formerly Mouse Tumor Biology (MTB)), Gene Ontology (GO)
Citing These Resources
Funding Information
Warranty Disclaimer, Privacy Notice, Licensing, & Copyright
Send questions and comments to User Support.
last database update
12/30/2025
MGI 6.24
The Jackson Laboratory