About   Help   FAQ
Gene Expression Data
Assay Details
Assay
Reference: J:153498 Diez-Roux G, et al., A high-resolution anatomical atlas of the transcriptome in the mouse embryo. PLoS Biol. 2011;9(1):e1000582
Assay type: RNA in situ
MGI Accession ID: MGI:4824792
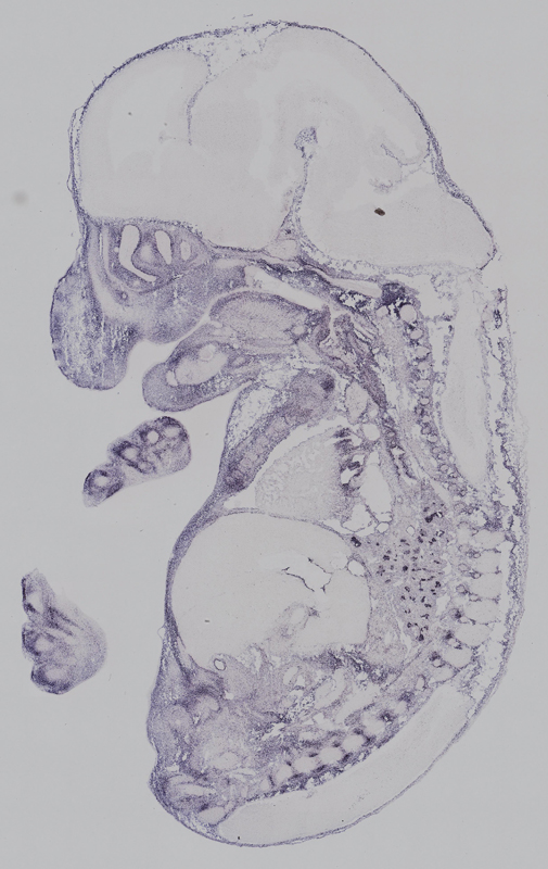
Gene symbol: Fbn2
Gene name: fibrillin 2
Probe: EG1493 probe 1523
Probe preparation: Antisense labelled with digoxigenin RNA
Visualized with: Alkaline phosphatase
Assay notes: Cryosections of fresh frozen material were fixed in 4% paraformaldehyde for 20 min. before further processing. A tyramide-biotin/streptavidin amplification step was included in the in situ hybridization procedure.
Results
Specimen euxassay_008110_01: embryonic day 14.5 (more )
Structure Level Pattern Image Note
TS23: embryo mesenchyme Strong Regionally restricted euxassay_008110_01

Specimen euxassay_008110_02: embryonic day 14.5 (more )
Structure Level Pattern Image Note
TS23: embryo mesenchyme Strong Regionally restricted euxassay_008110_02
TS23: lung Strong Regionally restricted euxassay_008110_02

Specimen euxassay_008110_03: embryonic day 14.5 (more )
Structure Level Pattern Image Note
TS23: embryo mesenchyme Strong Regionally restricted euxassay_008110_03
TS23: lung Strong Regionally restricted euxassay_008110_03

Specimen euxassay_008110_04: embryonic day 14.5 (more )
Structure Level Pattern Image Note
TS23: embryo mesenchyme Strong Regionally restricted euxassay_008110_04
TS23: lung Strong Regionally restricted euxassay_008110_04

Specimen euxassay_008110_05: embryonic day 14.5 (more )
Structure Level Pattern Image Note
TS23: embryo mesenchyme Strong Regionally restricted euxassay_008110_05
TS23: lung Strong Regionally restricted euxassay_008110_05

Specimen euxassay_008110_06: embryonic day 14.5 (more )
Structure Level Pattern Image Note
TS23: embryo mesenchyme Strong Regionally restricted euxassay_008110_06
TS23: lung Strong Regionally restricted euxassay_008110_06

Specimen euxassay_008110_07: embryonic day 14.5 (more )
Structure Level Pattern Image Note
TS23: embryo mesenchyme Strong Regionally restricted euxassay_008110_07
TS23: lung Strong Regionally restricted euxassay_008110_07

Specimen euxassay_008110_08: embryonic day 14.5 (more )
Structure Level Pattern Image Note
TS23: embryo mesenchyme Strong Regionally restricted euxassay_008110_08
TS23: lung Strong Regionally restricted euxassay_008110_08

Specimen euxassay_008110_09: embryonic day 14.5 (more )
Structure Level Pattern Image Note
TS23: embryo mesenchyme Strong Regionally restricted euxassay_008110_09
TS23: lung Strong Regionally restricted euxassay_008110_09

Specimen euxassay_008110_10: embryonic day 14.5 (more )
Structure Level Pattern Image Note
TS23: embryo mesenchyme Strong Regionally restricted euxassay_008110_10
TS23: lung Strong Regionally restricted euxassay_008110_10

Specimen euxassay_008110_11: embryonic day 14.5 (more )
Structure Level Pattern Image Note
TS23: embryo mesenchyme Strong Regionally restricted euxassay_008110_11
TS23: lung Strong Regionally restricted euxassay_008110_11

Specimen euxassay_008110_12: embryonic day 14.5 (more )
Structure Level Pattern Image Note
TS23: embryo mesenchyme Strong Regionally restricted euxassay_008110_12
TS23: lung Strong Regionally restricted euxassay_008110_12

Specimen euxassay_008110_13: embryonic day 14.5 (more )
Structure Level Pattern Image Note
TS23: embryo mesenchyme Strong Regionally restricted euxassay_008110_13
TS23: lung Strong Regionally restricted euxassay_008110_13

Specimen euxassay_008110_14: embryonic day 14.5 (more )
Structure Level Pattern Image Note
TS23: embryo mesenchyme Strong Regionally restricted euxassay_008110_14
TS23: lung Strong Regionally restricted euxassay_008110_14

Specimen euxassay_008110_15: embryonic day 14.5 (more )
Structure Level Pattern Image Note
TS23: embryo mesenchyme Strong Regionally restricted euxassay_008110_15
TS23: lung Strong Regionally restricted euxassay_008110_15

Specimen euxassay_008110_16: embryonic day 14.5 (more )
Structure Level Pattern Image Note
TS23: embryo mesenchyme Strong Regionally restricted euxassay_008110_16
TS23: lung Strong Regionally restricted euxassay_008110_16

Specimen euxassay_008110_17: embryonic day 14.5 (more )
Structure Level Pattern Image Note
TS23: embryo mesenchyme Strong Regionally restricted euxassay_008110_17
TS23: lung Strong Regionally restricted euxassay_008110_17

Specimen euxassay_008110_18: embryonic day 14.5 (more )
Structure Level Pattern Image Note
TS23: embryo mesenchyme Strong Regionally restricted euxassay_008110_18
TS23: lung Strong Regionally restricted euxassay_008110_18

Specimen euxassay_008110_19: embryonic day 14.5 (more )
Structure Level Pattern Image Note
TS23: embryo mesenchyme Strong Regionally restricted euxassay_008110_19
TS23: lung Strong Regionally restricted euxassay_008110_19

Specimen euxassay_008110_20: embryonic day 14.5 (more )
Structure Level Pattern Image Note
TS23: embryo mesenchyme Strong Regionally restricted euxassay_008110_20
TS23: lung Strong Regionally restricted euxassay_008110_20

Specimen euxassay_008110_21: embryonic day 14.5 (more )
Structure Level Pattern Image Note
TS23: embryo mesenchyme Strong Regionally restricted euxassay_008110_21

Specimen euxassay_008110_22: embryonic day 14.5 (more )
Structure Level Pattern Image Note
TS23: embryo mesenchyme Strong Regionally restricted euxassay_008110_22

Specimen euxassay_008110_23: embryonic day 14.5 (more )
Structure Level Pattern Image Note
TS23: embryo mesenchyme Strong Regionally restricted euxassay_008110_23


Contributing Projects:
Mouse Genome Database (MGD), Gene Expression Database (GXD), Mouse Models of Human Cancer database (MMHCdb) (formerly Mouse Tumor Biology (MTB)), Gene Ontology (GO)
Citing These Resources
Funding Information
Warranty Disclaimer, Privacy Notice, Licensing, & Copyright
Send questions and comments to User Support.
last database update
03/24/2026
MGI 6.24
The Jackson Laboratory