About   Help   FAQ
Gene Expression Data
Assay Details
Assay
Reference: J:153498 Diez-Roux G, et al., A high-resolution anatomical atlas of the transcriptome in the mouse embryo. PLoS Biol. 2011;9(1):e1000582
Assay type: RNA in situ
MGI Accession ID: MGI:4824789
Gene symbol: Fbln2
Gene name: fibulin 2
Probe: T30019
Probe preparation: Antisense labelled with digoxigenin RNA
Visualized with: Alkaline phosphatase
Assay notes: Cryosections of fresh frozen material were fixed in 4% paraformaldehyde for 20 min. before further processing. A tyramide-biotin/streptavidin amplification step was included in the in situ hybridization procedure.
Results
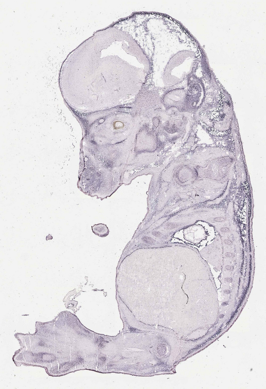
Specimen euxassay_011955_01: embryonic day 14.5 (more )
Structure Level Pattern Image Note
TS23: basioccipital bone Strong Regionally restricted euxassay_011955_01
TS23: temporal bone petrous part Strong Regionally restricted euxassay_011955_01
TS23: vault of skull Strong Regionally restricted euxassay_011955_01
TS23: orbito-sphenoid Strong Regionally restricted euxassay_011955_01
TS23: rib Moderate Regionally restricted euxassay_011955_01
TS23: upper arm mesenchyme Moderate Regionally restricted euxassay_011955_01
TS23: forearm mesenchyme Moderate Regionally restricted euxassay_011955_01
TS23: embryo mesenchyme Moderate Regionally restricted euxassay_011955_01
TS23: urogenital mesentery Moderate Regionally restricted euxassay_011955_01

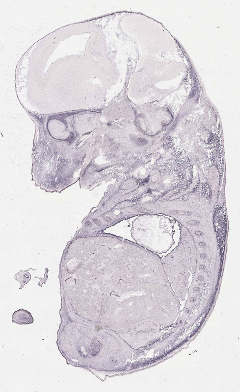
Specimen euxassay_011955_02: embryonic day 14.5 (more )
Structure Level Pattern Image Note
TS23: basioccipital bone Strong Regionally restricted euxassay_011955_02
TS23: temporal bone petrous part Strong Regionally restricted euxassay_011955_02
TS23: vault of skull Strong Regionally restricted euxassay_011955_02
TS23: orbito-sphenoid Strong Regionally restricted euxassay_011955_02
TS23: rib Moderate Regionally restricted euxassay_011955_02
TS23: upper arm mesenchyme Moderate Regionally restricted euxassay_011955_02
TS23: hand Moderate Regionally restricted euxassay_011955_02
TS23: embryo mesenchyme Moderate Regionally restricted euxassay_011955_02
TS23: urogenital mesentery Moderate Regionally restricted euxassay_011955_02
TS23: telencephalon meninges Moderate Regionally restricted euxassay_011955_02

Specimen euxassay_011955_03: embryonic day 14.5 (more )
Structure Level Pattern Image Note
TS23: basioccipital bone Strong Regionally restricted euxassay_011955_03
TS23: temporal bone petrous part Strong Regionally restricted euxassay_011955_03
TS23: vault of skull Strong Regionally restricted euxassay_011955_03
TS23: orbito-sphenoid Strong Regionally restricted euxassay_011955_03
TS23: rib Moderate Regionally restricted euxassay_011955_03
TS23: hand Moderate Regionally restricted euxassay_011955_03
TS23: upper arm mesenchyme Moderate Regionally restricted euxassay_011955_03
TS23: embryo mesenchyme Moderate Regionally restricted euxassay_011955_03
TS23: urogenital mesentery Moderate Regionally restricted euxassay_011955_03
TS23: telencephalon meninges Moderate Regionally restricted euxassay_011955_03
TS23: hindbrain meninges Moderate Regionally restricted euxassay_011955_03

Specimen euxassay_011955_04: embryonic day 14.5 (more )
Structure Level Pattern Image Note
TS23: basioccipital bone Strong Regionally restricted euxassay_011955_04
TS23: temporal bone petrous part Strong Regionally restricted euxassay_011955_04
TS23: vault of skull Strong Regionally restricted euxassay_011955_04
TS23: orbito-sphenoid Strong Regionally restricted euxassay_011955_04
TS23: rib Moderate Regionally restricted euxassay_011955_04
TS23: upper arm mesenchyme Moderate Regionally restricted euxassay_011955_04
TS23: hand Moderate Regionally restricted euxassay_011955_04
TS23: embryo mesenchyme Moderate Regionally restricted euxassay_011955_04
TS23: pericardium Moderate Regionally restricted euxassay_011955_04
TS23: pleura Moderate Regionally restricted euxassay_011955_04
TS23: diaphragm Moderate Regionally restricted euxassay_011955_04
TS23: urogenital mesentery Moderate Regionally restricted euxassay_011955_04
TS23: stomach mesentery Moderate Regionally restricted euxassay_011955_04
TS23: telencephalon meninges Moderate Regionally restricted euxassay_011955_04
TS23: hindbrain meninges Moderate Regionally restricted euxassay_011955_04

Specimen euxassay_011955_05: embryonic day 14.5 (more )
Structure Level Pattern Image Note
TS23: basioccipital bone Strong Regionally restricted euxassay_011955_05
TS23: vault of skull Strong Regionally restricted euxassay_011955_05
TS23: orbito-sphenoid Strong Regionally restricted euxassay_011955_05
TS23: otic capsule Strong Regionally restricted euxassay_011955_05
TS23: rib Strong Regionally restricted euxassay_011955_05
TS23: embryo mesenchyme Moderate Regionally restricted euxassay_011955_05
TS23: diaphragm Moderate Regionally restricted euxassay_011955_05
TS23: pericardium Moderate Regionally restricted euxassay_011955_05
TS23: pleura Moderate Regionally restricted euxassay_011955_05
TS23: urogenital mesentery Moderate Regionally restricted euxassay_011955_05
TS23: stomach mesentery Moderate Regionally restricted euxassay_011955_05
TS23: telencephalon meninges Moderate Regionally restricted euxassay_011955_05
TS23: hindbrain meninges Moderate Regionally restricted euxassay_011955_05
TS23: midbrain meninges Moderate Regionally restricted euxassay_011955_05

Specimen euxassay_011955_06: embryonic day 14.5 (more )
Structure Level Pattern Image Note
TS23: basioccipital bone Strong Regionally restricted euxassay_011955_06
TS23: vault of skull Strong Regionally restricted euxassay_011955_06
TS23: orbito-sphenoid Strong Regionally restricted euxassay_011955_06
TS23: otic capsule Strong Regionally restricted euxassay_011955_06
TS23: turbinate bone primordium Strong Regionally restricted euxassay_011955_06
TS23: rib Strong Regionally restricted euxassay_011955_06
TS23: upper leg mesenchyme Moderate Regionally restricted euxassay_011955_06
TS23: embryo mesenchyme Moderate Regionally restricted euxassay_011955_06
TS23: pleura Moderate Regionally restricted euxassay_011955_06
TS23: pericardium Moderate Regionally restricted euxassay_011955_06
TS23: diaphragm Moderate Regionally restricted euxassay_011955_06
TS23: urogenital mesentery Moderate Regionally restricted euxassay_011955_06
TS23: stomach mesentery Moderate Regionally restricted euxassay_011955_06
TS23: midbrain meninges Moderate Regionally restricted euxassay_011955_06
TS23: hindbrain meninges Moderate Regionally restricted euxassay_011955_06
TS23: telencephalon meninges Moderate Regionally restricted euxassay_011955_06
TS23: diencephalon meninges Moderate Regionally restricted euxassay_011955_06

Specimen euxassay_011955_07: embryonic day 14.5 (more )
Structure Level Pattern Image Note
TS23: basioccipital bone Strong Regionally restricted euxassay_011955_07
TS23: basisphenoid bone Strong Regionally restricted euxassay_011955_07
TS23: orbito-sphenoid Strong Regionally restricted euxassay_011955_07
TS23: otic capsule Strong Regionally restricted euxassay_011955_07
TS23: turbinate bone primordium Strong Regionally restricted euxassay_011955_07
TS23: axial skeleton Strong Regionally restricted euxassay_011955_07
TS23: upper leg mesenchyme Moderate Regionally restricted euxassay_011955_07
TS23: diaphragm Moderate Regionally restricted euxassay_011955_07
TS23: pericardium Moderate Regionally restricted euxassay_011955_07
TS23: pleura Moderate Regionally restricted euxassay_011955_07
TS23: embryo mesenchyme Moderate Regionally restricted euxassay_011955_07
TS23: urogenital mesentery Moderate Regionally restricted euxassay_011955_07
TS23: stomach mesentery Moderate Regionally restricted euxassay_011955_07
TS23: diencephalon meninges Moderate Regionally restricted euxassay_011955_07
TS23: telencephalon meninges Moderate Regionally restricted euxassay_011955_07
TS23: hindbrain meninges Moderate Regionally restricted euxassay_011955_07
TS23: midbrain meninges Moderate Regionally restricted euxassay_011955_07
TS23: spinal cord meninges Moderate Regionally restricted euxassay_011955_07
TS23: rest of cerebellum mantle layer Strong Regionally restricted euxassay_011955_07

Specimen euxassay_011955_08: embryonic day 14.5 (more )
Note: Additional information for this specimen was included in the Eurexpress data submission file.
Structure Level Pattern Image Note
TS23: basioccipital bone Strong Regionally restricted euxassay_011955_08
TS23: basisphenoid bone Strong Regionally restricted euxassay_011955_08
TS23: turbinate bone primordium Strong Regionally restricted euxassay_011955_08
TS23: axial skeleton Strong Regionally restricted euxassay_011955_08
TS23: diaphragm Moderate Regionally restricted euxassay_011955_08
TS23: pericardium Moderate Regionally restricted euxassay_011955_08
TS23: pleura Moderate Regionally restricted euxassay_011955_08
TS23: embryo mesenchyme Moderate Regionally restricted euxassay_011955_08
TS23: urogenital mesentery Moderate Regionally restricted euxassay_011955_08
TS23: midgut Moderate Regionally restricted euxassay_011955_08 mesentery
TS23: diencephalon meninges Moderate Regionally restricted euxassay_011955_08
TS23: telencephalon meninges Moderate Regionally restricted euxassay_011955_08
TS23: hindbrain meninges Moderate Regionally restricted euxassay_011955_08
TS23: midbrain meninges Moderate Regionally restricted euxassay_011955_08
TS23: spinal cord meninges Moderate Regionally restricted euxassay_011955_08
TS23: rest of cerebellum mantle layer Strong Regionally restricted euxassay_011955_08

Specimen euxassay_011955_09: embryonic day 14.5 (more )
Note: Additional information for this specimen was included in the Eurexpress data submission file.
Structure Level Pattern Image Note
TS23: basioccipital bone Strong Regionally restricted euxassay_011955_09
TS23: basisphenoid bone Strong Regionally restricted euxassay_011955_09
TS23: turbinate bone primordium Strong Regionally restricted euxassay_011955_09
TS23: naris Strong Regionally restricted euxassay_011955_09
TS23: axial skeleton Strong Regionally restricted euxassay_011955_09
TS23: diaphragm Moderate Regionally restricted euxassay_011955_09
TS23: pericardium Moderate Regionally restricted euxassay_011955_09
TS23: pleura Moderate Regionally restricted euxassay_011955_09
TS23: embryo mesenchyme Moderate Regionally restricted euxassay_011955_09
TS23: urogenital mesentery Moderate Regionally restricted euxassay_011955_09
TS23: midgut Moderate Regionally restricted euxassay_011955_09 mesentery
TS23: heart valve Strong Regionally restricted euxassay_011955_09
TS23: diencephalon meninges Moderate Regionally restricted euxassay_011955_09
TS23: telencephalon meninges Moderate Regionally restricted euxassay_011955_09
TS23: hindbrain meninges Moderate Regionally restricted euxassay_011955_09
TS23: midbrain meninges Moderate Regionally restricted euxassay_011955_09
TS23: spinal cord meninges Moderate Regionally restricted euxassay_011955_09
TS23: rest of cerebellum mantle layer Strong Regionally restricted euxassay_011955_09

Specimen euxassay_011955_10: embryonic day 14.5 (more )
Note: Additional information for this specimen was included in the Eurexpress data submission file.
Structure Level Pattern Image Note
TS23: basioccipital bone Strong Regionally restricted euxassay_011955_10
TS23: basisphenoid bone Strong Regionally restricted euxassay_011955_10
TS23: naris Strong Regionally restricted euxassay_011955_10
TS23: turbinate bone primordium Strong Regionally restricted euxassay_011955_10
TS23: axial skeleton Strong Regionally restricted euxassay_011955_10
TS23: diaphragm Moderate Regionally restricted euxassay_011955_10
TS23: pericardium Moderate Regionally restricted euxassay_011955_10
TS23: pleura Moderate Regionally restricted euxassay_011955_10
TS23: embryo mesenchyme Moderate Regionally restricted euxassay_011955_10
TS23: urogenital mesentery Moderate Regionally restricted euxassay_011955_10
TS23: midgut Moderate Regionally restricted euxassay_011955_10 mesentery
TS23: heart valve Strong Regionally restricted euxassay_011955_10
TS23: diencephalon meninges Moderate Regionally restricted euxassay_011955_10
TS23: telencephalon meninges Moderate Regionally restricted euxassay_011955_10
TS23: hindbrain meninges Moderate Regionally restricted euxassay_011955_10
TS23: midbrain meninges Moderate Regionally restricted euxassay_011955_10
TS23: spinal cord meninges Moderate Regionally restricted euxassay_011955_10
TS23: rest of cerebellum mantle layer Strong Regionally restricted euxassay_011955_10

Specimen euxassay_011955_11: embryonic day 14.5 (more )
Note: Additional information for this specimen was included in the Eurexpress data submission file.
Structure Level Pattern Image Note
TS23: basioccipital bone Strong Regionally restricted euxassay_011955_11
TS23: basisphenoid bone Strong Regionally restricted euxassay_011955_11
TS23: nasal septum Strong Regionally restricted euxassay_011955_11
TS23: axial skeleton Strong Regionally restricted euxassay_011955_11
TS23: diaphragm Moderate Regionally restricted euxassay_011955_11
TS23: pericardium Moderate Regionally restricted euxassay_011955_11
TS23: pleura Moderate Regionally restricted euxassay_011955_11
TS23: embryo mesenchyme Moderate Regionally restricted euxassay_011955_11
TS23: urogenital mesentery Moderate Regionally restricted euxassay_011955_11
TS23: midgut Moderate Regionally restricted euxassay_011955_11 mesentery
TS23: heart valve Strong Regionally restricted euxassay_011955_11
TS23: diencephalon meninges Moderate Regionally restricted euxassay_011955_11
TS23: telencephalon meninges Moderate Regionally restricted euxassay_011955_11
TS23: hindbrain meninges Moderate Regionally restricted euxassay_011955_11
TS23: midbrain meninges Moderate Regionally restricted euxassay_011955_11
TS23: spinal cord meninges Moderate Regionally restricted euxassay_011955_11
TS23: rest of cerebellum mantle layer Strong Regionally restricted euxassay_011955_11

Specimen euxassay_011955_12: embryonic day 14.5 (more )
Note: Additional information for this specimen was included in the Eurexpress data submission file.
Structure Level Pattern Image Note
TS23: basioccipital bone Strong Regionally restricted euxassay_011955_12
TS23: basisphenoid bone Strong Regionally restricted euxassay_011955_12
TS23: nasal septum Strong Regionally restricted euxassay_011955_12
TS23: rib Strong Regionally restricted euxassay_011955_12
TS23: axial skeleton Strong Regionally restricted euxassay_011955_12
TS23: diaphragm Moderate Regionally restricted euxassay_011955_12
TS23: pericardium Moderate Regionally restricted euxassay_011955_12
TS23: pleura Moderate Regionally restricted euxassay_011955_12
TS23: embryo mesenchyme Moderate Regionally restricted euxassay_011955_12
TS23: urogenital mesentery Moderate Regionally restricted euxassay_011955_12
TS23: midgut Moderate Regionally restricted euxassay_011955_12 mesentery
TS23: heart valve Strong Regionally restricted euxassay_011955_12
TS23: diencephalon meninges Moderate Regionally restricted euxassay_011955_12
TS23: telencephalon meninges Moderate Regionally restricted euxassay_011955_12
TS23: hindbrain meninges Moderate Regionally restricted euxassay_011955_12
TS23: midbrain meninges Moderate Regionally restricted euxassay_011955_12
TS23: spinal cord meninges Moderate Regionally restricted euxassay_011955_12
TS23: rest of cerebellum mantle layer Strong Regionally restricted euxassay_011955_12

Specimen euxassay_011955_13: embryonic day 14.5 (more )
Note: Additional information for this specimen was included in the Eurexpress data submission file.
Structure Level Pattern Image Note
TS23: basioccipital bone Strong Regionally restricted euxassay_011955_13
TS23: otic capsule Strong Regionally restricted euxassay_011955_13
TS23: turbinate bone primordium Strong Regionally restricted euxassay_011955_13
TS23: rib Strong Regionally restricted euxassay_011955_13
TS23: axial skeleton Strong Regionally restricted euxassay_011955_13
TS23: diaphragm Moderate Regionally restricted euxassay_011955_13
TS23: pericardium Moderate Regionally restricted euxassay_011955_13
TS23: pleura Moderate Regionally restricted euxassay_011955_13
TS23: embryo mesenchyme Moderate Regionally restricted euxassay_011955_13
TS23: midgut Moderate Regionally restricted euxassay_011955_13 mesentery
TS23: diencephalon meninges Moderate Regionally restricted euxassay_011955_13
TS23: telencephalon meninges Moderate Regionally restricted euxassay_011955_13
TS23: hindbrain meninges Moderate Regionally restricted euxassay_011955_13
TS23: midbrain meninges Moderate Regionally restricted euxassay_011955_13

Specimen euxassay_011955_14: embryonic day 14.5 (more )
Note: Additional information for this specimen was included in the Eurexpress data submission file.
Structure Level Pattern Image Note
TS23: basioccipital bone Strong Regionally restricted euxassay_011955_14
TS23: otic capsule Strong Regionally restricted euxassay_011955_14
TS23: turbinate bone primordium Strong Regionally restricted euxassay_011955_14
TS23: rib Strong Regionally restricted euxassay_011955_14
TS23: upper leg mesenchyme Moderate Regionally restricted euxassay_011955_14
TS23: diaphragm Moderate Regionally restricted euxassay_011955_14
TS23: pericardium Moderate Regionally restricted euxassay_011955_14
TS23: pleura Moderate Regionally restricted euxassay_011955_14
TS23: embryo mesenchyme Moderate Regionally restricted euxassay_011955_14
TS23: urogenital mesentery Moderate Regionally restricted euxassay_011955_14
TS23: midgut Moderate Regionally restricted euxassay_011955_14 mesentery
TS23: diencephalon meninges Moderate Regionally restricted euxassay_011955_14
TS23: telencephalon meninges Moderate Regionally restricted euxassay_011955_14
TS23: hindbrain meninges Moderate Regionally restricted euxassay_011955_14
TS23: midbrain meninges Moderate Regionally restricted euxassay_011955_14

Specimen euxassay_011955_15: embryonic day 14.5 (more )
Structure Level Pattern Image Note
TS23: basioccipital bone Strong Regionally restricted euxassay_011955_15
TS23: orbito-sphenoid Strong Regionally restricted euxassay_011955_15
TS23: otic capsule Strong Regionally restricted euxassay_011955_15
TS23: turbinate bone primordium Strong Regionally restricted euxassay_011955_15
TS23: rib Moderate Regionally restricted euxassay_011955_15
TS23: upper leg mesenchyme Moderate Regionally restricted euxassay_011955_15
TS23: pericardium Moderate Regionally restricted euxassay_011955_15
TS23: pleura Moderate Regionally restricted euxassay_011955_15
TS23: diaphragm Moderate Regionally restricted euxassay_011955_15
TS23: embryo mesenchyme Moderate Regionally restricted euxassay_011955_15
TS23: urogenital mesentery Moderate Regionally restricted euxassay_011955_15
TS23: diencephalon meninges Moderate Regionally restricted euxassay_011955_15
TS23: telencephalon meninges Moderate Regionally restricted euxassay_011955_15
TS23: hindbrain meninges Moderate Regionally restricted euxassay_011955_15
TS23: midbrain meninges Moderate Regionally restricted euxassay_011955_15

Specimen euxassay_011955_16: embryonic day 14.5 (more )
Structure Level Pattern Image Note
TS23: basioccipital bone Strong Regionally restricted euxassay_011955_16
TS23: temporal bone petrous part Strong Regionally restricted euxassay_011955_16
TS23: orbito-sphenoid Strong Regionally restricted euxassay_011955_16
TS23: turbinate bone primordium Strong Regionally restricted euxassay_011955_16
TS23: rib Moderate Regionally restricted euxassay_011955_16
TS23: upper leg mesenchyme Moderate Regionally restricted euxassay_011955_16
TS23: diaphragm Moderate Regionally restricted euxassay_011955_16
TS23: pericardium Moderate Regionally restricted euxassay_011955_16
TS23: pleura Moderate Regionally restricted euxassay_011955_16
TS23: embryo mesenchyme Moderate Regionally restricted euxassay_011955_16
TS23: urogenital mesentery Moderate Regionally restricted euxassay_011955_16
TS23: diencephalon meninges Moderate Regionally restricted euxassay_011955_16
TS23: telencephalon meninges Moderate Regionally restricted euxassay_011955_16
TS23: hindbrain meninges Moderate Regionally restricted euxassay_011955_16
TS23: midbrain meninges Moderate Regionally restricted euxassay_011955_16

Specimen euxassay_011955_17: embryonic day 14.5 (more )
Structure Level Pattern Image Note
TS23: basioccipital bone Strong Regionally restricted euxassay_011955_17
TS23: temporal bone petrous part Strong Regionally restricted euxassay_011955_17
TS23: orbito-sphenoid Strong Regionally restricted euxassay_011955_17
TS23: rib Moderate Regionally restricted euxassay_011955_17
TS23: lower leg mesenchyme Moderate Regionally restricted euxassay_011955_17
TS23: upper leg mesenchyme Moderate Regionally restricted euxassay_011955_17
TS23: pericardium Moderate Regionally restricted euxassay_011955_17
TS23: pleura Moderate Regionally restricted euxassay_011955_17
TS23: diaphragm Moderate Regionally restricted euxassay_011955_17
TS23: embryo mesenchyme Moderate Regionally restricted euxassay_011955_17
TS23: urogenital mesentery Moderate Regionally restricted euxassay_011955_17
TS23: telencephalon meninges Moderate Regionally restricted euxassay_011955_17
TS23: hindbrain meninges Moderate Regionally restricted euxassay_011955_17

Specimen euxassay_011955_18: embryonic day 14.5 (more )
Structure Level Pattern Image Note
TS23: basioccipital bone Strong Regionally restricted euxassay_011955_18
TS23: vault of skull Strong Regionally restricted euxassay_011955_18
TS23: orbito-sphenoid Strong Regionally restricted euxassay_011955_18
TS23: rib Moderate Regionally restricted euxassay_011955_18
TS23: upper arm mesenchyme Moderate Regionally restricted euxassay_011955_18
TS23: hindlimb digit 3 phalanx Moderate Regionally restricted euxassay_011955_18
TS23: hindlimb digit 2 phalanx Moderate Regionally restricted euxassay_011955_18
TS23: hindlimb digit 1 phalanx Moderate Regionally restricted euxassay_011955_18
TS23: hindlimb digit 5 phalanx Moderate Regionally restricted euxassay_011955_18
TS23: hindlimb digit 4 phalanx Moderate Regionally restricted euxassay_011955_18
TS23: lower leg mesenchyme Moderate Regionally restricted euxassay_011955_18
TS23: diaphragm Moderate Regionally restricted euxassay_011955_18
TS23: pericardium Moderate Regionally restricted euxassay_011955_18
TS23: pleura Moderate Regionally restricted euxassay_011955_18
TS23: embryo mesenchyme Moderate Regionally restricted euxassay_011955_18
TS23: urogenital mesentery Moderate Regionally restricted euxassay_011955_18
TS23: telencephalon meninges Moderate Regionally restricted euxassay_011955_18
TS23: hindbrain meninges Moderate Regionally restricted euxassay_011955_18

Specimen euxassay_011955_19: embryonic day 14.5 (more )
Structure Level Pattern Image Note
TS23: basioccipital bone Strong Regionally restricted euxassay_011955_19
TS23: temporal bone petrous part Strong Regionally restricted euxassay_011955_19
TS23: orbito-sphenoid Strong Regionally restricted euxassay_011955_19
TS23: rib Moderate Regionally restricted euxassay_011955_19
TS23: upper arm mesenchyme Moderate Regionally restricted euxassay_011955_19
TS23: hand Moderate Regionally restricted euxassay_011955_19
TS23: upper leg mesenchyme Moderate Regionally restricted euxassay_011955_19
TS23: lower leg mesenchyme Moderate Regionally restricted euxassay_011955_19
TS23: hindlimb digit 1 phalanx Moderate Regionally restricted euxassay_011955_19
TS23: hindlimb digit 2 phalanx Moderate Regionally restricted euxassay_011955_19
TS23: hindlimb digit 3 phalanx Moderate Regionally restricted euxassay_011955_19
TS23: hindlimb digit 4 phalanx Moderate Regionally restricted euxassay_011955_19
TS23: hindlimb digit 5 phalanx Moderate Regionally restricted euxassay_011955_19
TS23: pericardium Moderate Regionally restricted euxassay_011955_19
TS23: pleura Moderate Regionally restricted euxassay_011955_19
TS23: diaphragm Moderate Regionally restricted euxassay_011955_19
TS23: embryo mesenchyme Moderate Regionally restricted euxassay_011955_19
TS23: telencephalon meninges Moderate Regionally restricted euxassay_011955_19
TS23: hindbrain meninges Moderate Regionally restricted euxassay_011955_19

Specimen euxassay_011955_20: embryonic day 14.5 (more )
Structure Level Pattern Image Note
TS23: basioccipital bone Strong Regionally restricted euxassay_011955_20
TS23: temporal bone petrous part Strong Regionally restricted euxassay_011955_20
TS23: orbito-sphenoid Strong Regionally restricted euxassay_011955_20
TS23: vault of skull Strong Regionally restricted euxassay_011955_20
TS23: rib Moderate Regionally restricted euxassay_011955_20
TS23: upper arm mesenchyme Moderate Regionally restricted euxassay_011955_20
TS23: hand Moderate Regionally restricted euxassay_011955_20
TS23: upper leg mesenchyme Moderate Regionally restricted euxassay_011955_20
TS23: lower leg mesenchyme Moderate Regionally restricted euxassay_011955_20
TS23: foot Moderate Regionally restricted euxassay_011955_20
TS23: diaphragm Moderate Regionally restricted euxassay_011955_20
TS23: pericardium Moderate Regionally restricted euxassay_011955_20
TS23: pleura Moderate Regionally restricted euxassay_011955_20
TS23: embryo mesenchyme Moderate Regionally restricted euxassay_011955_20
TS23: telencephalon meninges Moderate Regionally restricted euxassay_011955_20

Specimen euxassay_011955_21: embryonic day 14.5 (more )
Structure Level Pattern Image Note
TS23: vault of skull Strong Regionally restricted euxassay_011955_21
TS23: temporal bone petrous part Strong Regionally restricted euxassay_011955_21
TS23: basioccipital bone Strong Regionally restricted euxassay_011955_21
TS23: orbito-sphenoid Strong Regionally restricted euxassay_011955_21
TS23: hand Moderate Regionally restricted euxassay_011955_21
TS23: upper leg mesenchyme Moderate Regionally restricted euxassay_011955_21
TS23: lower leg mesenchyme Moderate Regionally restricted euxassay_011955_21
TS23: diaphragm Moderate Regionally restricted euxassay_011955_21
TS23: pericardium Moderate Regionally restricted euxassay_011955_21
TS23: pleura Moderate Regionally restricted euxassay_011955_21
TS23: embryo mesenchyme Moderate Regionally restricted euxassay_011955_21
TS23: telencephalon meninges Moderate Regionally restricted euxassay_011955_21


Contributing Projects:
Mouse Genome Database (MGD), Gene Expression Database (GXD), Mouse Models of Human Cancer database (MMHCdb) (formerly Mouse Tumor Biology (MTB)), Gene Ontology (GO)
Citing These Resources
Funding Information
Warranty Disclaimer, Privacy Notice, Licensing, & Copyright
Send questions and comments to User Support.
last database update
03/24/2026
MGI 6.24
The Jackson Laboratory