About   Help   FAQ
Gene Expression Data
Assay Details
Assay
Reference: J:153498 Diez-Roux G, et al., A high-resolution anatomical atlas of the transcriptome in the mouse embryo. PLoS Biol. 2011;9(1):e1000582
Assay type: RNA in situ
MGI Accession ID: MGI:4824786
Gene symbol: Fat3
Gene name: FAT atypical cadherin 3
Probe: T39633
Probe preparation: Antisense labelled with digoxigenin RNA
Visualized with: Alkaline phosphatase
Assay notes: Cryosections of fresh frozen material were fixed in 4% paraformaldehyde for 20 min. before further processing. A tyramide-biotin/streptavidin amplification step was included in the in situ hybridization procedure.
Results
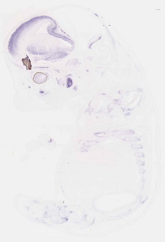
Specimen euxassay_015982_01: embryonic day 14.5 (more )
Structure Level Pattern Image Note
TS23: rib Moderate Regionally restricted euxassay_015982_01
TS23: orbito-sphenoid Moderate Regionally restricted euxassay_015982_01
TS23: vault of skull Moderate Regionally restricted euxassay_015982_01
TS23: exoccipital bone Moderate Regionally restricted euxassay_015982_01
TS23: telencephalon mantle layer Strong Regionally restricted euxassay_015982_01

Specimen euxassay_015982_02: embryonic day 14.5 (more )
Structure Level Pattern Image Note
TS23: rib Weak Regionally restricted euxassay_015982_02
TS23: orbito-sphenoid Moderate Regionally restricted euxassay_015982_02
TS23: exoccipital bone Moderate Regionally restricted euxassay_015982_02
TS23: axial musculature Weak Regionally restricted euxassay_015982_02
TS23: telencephalon mantle layer Strong Regionally restricted euxassay_015982_02

Specimen euxassay_015982_03: embryonic day 14.5 (more )
Structure Level Pattern Image Note
TS23: rib Weak Regionally restricted euxassay_015982_03
TS23: axial musculature Moderate Regionally restricted euxassay_015982_03
TS23: telencephalon mantle layer Strong Regionally restricted euxassay_015982_03
TS23: cerebral cortex mantle layer Strong Regionally restricted euxassay_015982_03

Specimen euxassay_015982_04: embryonic day 14.5 (more )
Structure Level Pattern Image Note
TS23: rib Weak Regionally restricted euxassay_015982_04
TS23: orbito-sphenoid Moderate Regionally restricted euxassay_015982_04
TS23: mandible Strong Regionally restricted euxassay_015982_04
TS23: maxilla Strong Regionally restricted euxassay_015982_04
TS23: trigeminal ganglion Weak Regionally restricted euxassay_015982_04
TS23: axial musculature Weak Regionally restricted euxassay_015982_04
TS23: telencephalon mantle layer Strong Regionally restricted euxassay_015982_04
TS23: cerebral cortex mantle layer Strong Regionally restricted euxassay_015982_04
TS23: rest of cerebellum ventricular layer Strong Regionally restricted euxassay_015982_04

Specimen euxassay_015982_05: embryonic day 14.5 (more )
Structure Level Pattern Image Note
TS23: rib Weak Regionally restricted euxassay_015982_05
TS23: orbito-sphenoid Strong Regionally restricted euxassay_015982_05
TS23: maxilla Strong Regionally restricted euxassay_015982_05
TS23: mandible Strong Regionally restricted euxassay_015982_05
TS23: trigeminal ganglion Weak Regionally restricted euxassay_015982_05
TS23: facial ganglion Weak Regionally restricted euxassay_015982_05
TS23: vibrissa Moderate Regionally restricted euxassay_015982_05
TS23: axial musculature Weak Regionally restricted euxassay_015982_05
TS23: telencephalon mantle layer Strong Regionally restricted euxassay_015982_05
TS23: cerebral cortex mantle layer Strong Regionally restricted euxassay_015982_05
TS23: rest of cerebellum ventricular layer Strong Regionally restricted euxassay_015982_05

Specimen euxassay_015982_06: embryonic day 14.5 (more )
Structure Level Pattern Image Note
TS23: rib Weak Regionally restricted euxassay_015982_06
TS23: maxilla Strong Regionally restricted euxassay_015982_06
TS23: mandible Strong Regionally restricted euxassay_015982_06
TS23: trigeminal ganglion Weak Regionally restricted euxassay_015982_06
TS23: vibrissa Weak Regionally restricted euxassay_015982_06
TS23: axial musculature Weak Regionally restricted euxassay_015982_06
TS23: femur Weak Regionally restricted euxassay_015982_06
TS23: telencephalon mantle layer Strong Regionally restricted euxassay_015982_06
TS23: cerebral cortex mantle layer Strong Regionally restricted euxassay_015982_06
TS23: midbrain mantle layer Strong Regionally restricted euxassay_015982_06
TS23: rest of cerebellum mantle layer Strong Regionally restricted euxassay_015982_06

Specimen euxassay_015982_07: embryonic day 14.5 (more )
Structure Level Pattern Image Note
TS23: rib Weak Regionally restricted euxassay_015982_07
TS23: maxilla Strong Regionally restricted euxassay_015982_07
TS23: mandible Strong Regionally restricted euxassay_015982_07
TS23: trigeminal ganglion Weak Regionally restricted euxassay_015982_07
TS23: axial musculature Weak Regionally restricted euxassay_015982_07
TS23: femur Weak Regionally restricted euxassay_015982_07
TS23: hindlimb digit 2 metatarsal Moderate Regionally restricted euxassay_015982_07
TS23: hindlimb digit 3 metatarsal Moderate Regionally restricted euxassay_015982_07
TS23: hindlimb digit 4 metatarsal Moderate Regionally restricted euxassay_015982_07
TS23: midbrain mantle layer Strong Regionally restricted euxassay_015982_07
TS23: telencephalon mantle layer Strong Regionally restricted euxassay_015982_07
TS23: cerebral cortex mantle layer Strong Regionally restricted euxassay_015982_07
TS23: diencephalon lateral wall mantle layer Strong Regionally restricted euxassay_015982_07
TS23: pons mantle layer Strong Regionally restricted euxassay_015982_07
TS23: rest of cerebellum mantle layer Moderate Regionally restricted euxassay_015982_07

Specimen euxassay_015982_08: embryonic day 14.5 (more )
Structure Level Pattern Image Note
TS23: rib Weak Regionally restricted euxassay_015982_08
TS23: maxilla Strong Regionally restricted euxassay_015982_08
TS23: mandible Strong Regionally restricted euxassay_015982_08
TS23: trigeminal ganglion Weak Regionally restricted euxassay_015982_08
TS23: saccule Moderate Regionally restricted euxassay_015982_08
TS23: renal cortex Weak Regionally restricted euxassay_015982_08
TS23: femur Moderate Regionally restricted euxassay_015982_08
TS23: hindlimb digit 1 metatarsal Weak Regionally restricted euxassay_015982_08
TS23: hindlimb digit 2 metatarsal Weak Regionally restricted euxassay_015982_08
TS23: hindlimb digit 3 metatarsal Weak Regionally restricted euxassay_015982_08
TS23: hindlimb digit 4 metatarsal Weak Regionally restricted euxassay_015982_08
TS23: hindlimb digit 4 phalanx Weak Regionally restricted euxassay_015982_08
TS23: hindlimb digit 3 phalanx Weak Regionally restricted euxassay_015982_08
TS23: diencephalon lateral wall mantle layer Strong Regionally restricted euxassay_015982_08
TS23: cerebral cortex mantle layer Strong Regionally restricted euxassay_015982_08
TS23: telencephalon mantle layer Strong Regionally restricted euxassay_015982_08
TS23: midbrain mantle layer Strong Regionally restricted euxassay_015982_08
TS23: midbrain ventricular layer Strong Regionally restricted euxassay_015982_08
TS23: pons mantle layer Strong Regionally restricted euxassay_015982_08
TS23: medulla oblongata alar plate mantle layer Strong Regionally restricted euxassay_015982_08

Specimen euxassay_015982_09: embryonic day 14.5 (more )
Structure Level Pattern Image Note
TS23: rib Weak Regionally restricted euxassay_015982_09
TS23: diaphragm Weak Regionally restricted euxassay_015982_09
TS23: maxilla Strong Regionally restricted euxassay_015982_09
TS23: mandible Strong Regionally restricted euxassay_015982_09
TS23: trigeminal ganglion Weak Regionally restricted euxassay_015982_09
TS23: saccule Moderate Regionally restricted euxassay_015982_09
TS23: renal cortex Weak Regionally restricted euxassay_015982_09
TS23: femur Moderate Regionally restricted euxassay_015982_09
TS23: hindlimb digit 1 metatarsal Moderate Regionally restricted euxassay_015982_09
TS23: hindlimb digit 2 metatarsal Moderate Regionally restricted euxassay_015982_09
TS23: midbrain mantle layer Strong Regionally restricted euxassay_015982_09
TS23: telencephalon mantle layer Strong Regionally restricted euxassay_015982_09
TS23: cerebral cortex mantle layer Strong Regionally restricted euxassay_015982_09
TS23: diencephalon lateral wall mantle layer Strong Regionally restricted euxassay_015982_09
TS23: midbrain ventricular layer Strong Regionally restricted euxassay_015982_09
TS23: olfactory cortex mantle layer Strong Regionally restricted euxassay_015982_09
TS23: medulla oblongata alar plate mantle layer Strong Regionally restricted euxassay_015982_09
TS23: pons mantle layer Strong Regionally restricted euxassay_015982_09

Specimen euxassay_015982_10: embryonic day 14.5 (more )
Structure Level Pattern Image Note
TS23: rib Weak Regionally restricted euxassay_015982_10
TS23: clavicle Weak Regionally restricted euxassay_015982_10
TS23: diaphragm Weak Regionally restricted euxassay_015982_10
TS23: maxilla Strong Regionally restricted euxassay_015982_10
TS23: mandible Strong Regionally restricted euxassay_015982_10
TS23: saccule Moderate Regionally restricted euxassay_015982_10
TS23: dorsal root ganglion Strong Single cells euxassay_015982_10
TS23: renal cortex Weak Regionally restricted euxassay_015982_10
TS23: pelvic girdle skeleton Moderate Regionally restricted euxassay_015982_10
TS23: foot mesenchyme Moderate Regionally restricted euxassay_015982_10
TS23: midbrain mantle layer Strong Regionally restricted euxassay_015982_10
TS23: telencephalon mantle layer Strong Regionally restricted euxassay_015982_10
TS23: cerebral cortex mantle layer Strong Regionally restricted euxassay_015982_10
TS23: diencephalon lateral wall mantle layer Strong Regionally restricted euxassay_015982_10
TS23: midbrain ventricular layer Strong Regionally restricted euxassay_015982_10
TS23: olfactory cortex mantle layer Strong Regionally restricted euxassay_015982_10
TS23: medulla oblongata alar plate mantle layer Strong Regionally restricted euxassay_015982_10
TS23: pons mantle layer Moderate Regionally restricted euxassay_015982_10
TS23: medulla oblongata alar plate ventricular layer Moderate Regionally restricted euxassay_015982_10
TS23: pons ventricular layer Moderate Regionally restricted euxassay_015982_10

Specimen euxassay_015982_11: embryonic day 14.5 (more )
Structure Level Pattern Image Note
TS23: rib Weak Regionally restricted euxassay_015982_11
TS23: clavicle Moderate Regionally restricted euxassay_015982_11
TS23: diaphragm Weak Regionally restricted euxassay_015982_11
TS23: maxilla Strong Regionally restricted euxassay_015982_11
TS23: mandible Strong Regionally restricted euxassay_015982_11
TS23: dorsal root ganglion Strong Single cells euxassay_015982_11
TS23: tongue muscle Weak Regionally restricted euxassay_015982_11
TS23: renal cortex Weak Regionally restricted euxassay_015982_11
TS23: pelvic girdle skeleton Moderate Regionally restricted euxassay_015982_11
TS23: midbrain mantle layer Strong Regionally restricted euxassay_015982_11
TS23: telencephalon mantle layer Strong Regionally restricted euxassay_015982_11
TS23: cerebral cortex mantle layer Strong Regionally restricted euxassay_015982_11
TS23: diencephalon lateral wall mantle layer Strong Regionally restricted euxassay_015982_11
TS23: midbrain ventricular layer Strong Regionally restricted euxassay_015982_11
TS23: olfactory cortex mantle layer Strong Regionally restricted euxassay_015982_11
TS23: medulla oblongata basal plate mantle layer Strong Regionally restricted euxassay_015982_11
TS23: pons mantle layer Strong Regionally restricted euxassay_015982_11
TS23: pons ventricular layer Strong Regionally restricted euxassay_015982_11
TS23: medulla oblongata alar plate mantle layer Strong Regionally restricted euxassay_015982_11

Specimen euxassay_015982_12: embryonic day 14.5 (more )
Structure Level Pattern Image Note
TS23: rib Weak Regionally restricted euxassay_015982_12
TS23: diaphragm Weak Regionally restricted euxassay_015982_12
TS23: mandible Strong Regionally restricted euxassay_015982_12
TS23: maxilla Strong Regionally restricted euxassay_015982_12
TS23: dorsal root ganglion Strong Single cells euxassay_015982_12
TS23: thymus primordium Weak Regionally restricted euxassay_015982_12
TS23: tongue muscle Weak Regionally restricted euxassay_015982_12
TS23: pelvic girdle skeleton Moderate Regionally restricted euxassay_015982_12
TS23: midbrain mantle layer Strong Regionally restricted euxassay_015982_12
TS23: telencephalon mantle layer Strong Regionally restricted euxassay_015982_12
TS23: diencephalon lateral wall mantle layer Strong Regionally restricted euxassay_015982_12
TS23: cerebral cortex mantle layer Strong Regionally restricted euxassay_015982_12
TS23: diencephalon lateral wall ventricular layer Strong Regionally restricted euxassay_015982_12
TS23: olfactory cortex mantle layer Strong Regionally restricted euxassay_015982_12
TS23: pons ventricular layer Moderate Regionally restricted euxassay_015982_12
TS23: pons mantle layer Moderate Regionally restricted euxassay_015982_12
TS23: medulla oblongata basal plate mantle layer Moderate Regionally restricted euxassay_015982_12
TS23: spinal cord mantle layer Strong Regionally restricted euxassay_015982_12

Specimen euxassay_015982_13: embryonic day 14.5 (more )
Structure Level Pattern Image Note
TS23: diaphragm Weak Regionally restricted euxassay_015982_13
TS23: thymus primordium Weak Regionally restricted euxassay_015982_13
TS23: tongue muscle Weak Regionally restricted euxassay_015982_13
TS23: midbrain mantle layer Moderate Regionally restricted euxassay_015982_13
TS23: cerebral cortex mantle layer Moderate Regionally restricted euxassay_015982_13
TS23: diencephalon lateral wall mantle layer Moderate Regionally restricted euxassay_015982_13
TS23: diencephalon lateral wall ventricular layer Moderate Regionally restricted euxassay_015982_13
TS23: midbrain ventricular layer Moderate Regionally restricted euxassay_015982_13
TS23: pons ventricular layer Strong Regionally restricted euxassay_015982_13
TS23: medulla oblongata basal plate mantle layer Moderate Regionally restricted euxassay_015982_13
TS23: pons mantle layer Moderate Regionally restricted euxassay_015982_13
TS23: spinal cord mantle layer Strong Regionally restricted euxassay_015982_13
TS23: tail mesenchyme Weak Regionally restricted euxassay_015982_13

Specimen euxassay_015982_14: embryonic day 14.5 (more )
Structure Level Pattern Image Note
TS23: diaphragm Weak Regionally restricted euxassay_015982_14
TS23: upper lip Moderate Regionally restricted euxassay_015982_14
TS23: thymus primordium Weak Regionally restricted euxassay_015982_14
TS23: tongue muscle Weak Regionally restricted euxassay_015982_14
TS23: urethra Moderate Regionally restricted euxassay_015982_14 Originally this result was annotated to a male-specific term, but as the specimen was not sexed, it is likely the data annotator intended to use a non-sex specific term.
TS23: midbrain ventricular layer Moderate Regionally restricted euxassay_015982_14
TS23: midbrain mantle layer Moderate Regionally restricted euxassay_015982_14
TS23: telencephalon mantle layer Moderate Regionally restricted euxassay_015982_14
TS23: diencephalon lateral wall ventricular layer Moderate Regionally restricted euxassay_015982_14
TS23: diencephalon lateral wall mantle layer Moderate Regionally restricted euxassay_015982_14
TS23: olfactory cortex mantle layer Strong Regionally restricted euxassay_015982_14
TS23: pons ventricular layer Strong Regionally restricted euxassay_015982_14
TS23: medulla oblongata basal plate ventricular layer Strong Regionally restricted euxassay_015982_14
TS23: medulla oblongata alar plate ventricular layer Strong Regionally restricted euxassay_015982_14
TS23: spinal cord mantle layer Strong Regionally restricted euxassay_015982_14
TS23: tail mesenchyme Weak Regionally restricted euxassay_015982_14

Specimen euxassay_015982_15: embryonic day 14.5 (more )
Structure Level Pattern Image Note
TS23: sternum Weak Regionally restricted euxassay_015982_15
TS23: diaphragm Weak Regionally restricted euxassay_015982_15
TS23: upper lip Moderate Regionally restricted euxassay_015982_15
TS23: thymus primordium Weak Regionally restricted euxassay_015982_15
TS23: tongue muscle Weak Regionally restricted euxassay_015982_15
TS23: urethra Moderate Regionally restricted euxassay_015982_15 Originally this result was annotated to a male-specific term, but as the specimen was not sexed, it is likely the data annotator intended to use a non-sex specific term.
TS23: olfactory cortex mantle layer Strong Regionally restricted euxassay_015982_15
TS23: cerebral cortex mantle layer Strong Regionally restricted euxassay_015982_15
TS23: diencephalon lateral wall mantle layer Strong Regionally restricted euxassay_015982_15
TS23: midbrain ventricular layer Strong Regionally restricted euxassay_015982_15
TS23: midbrain mantle layer Strong Regionally restricted euxassay_015982_15
TS23: pons mantle layer Moderate Regionally restricted euxassay_015982_15
TS23: medulla oblongata alar plate mantle layer Moderate Regionally restricted euxassay_015982_15
TS23: medulla oblongata basal plate mantle layer Moderate Regionally restricted euxassay_015982_15
TS23: spinal cord mantle layer Strong Regionally restricted euxassay_015982_15
TS23: tail mesenchyme Weak Regionally restricted euxassay_015982_15

Specimen euxassay_015982_16: embryonic day 14.5 (more )
Structure Level Pattern Image Note
TS23: sternum Weak Regionally restricted euxassay_015982_16
TS23: diaphragm Weak Regionally restricted euxassay_015982_16
TS23: thymus primordium Weak Regionally restricted euxassay_015982_16
TS23: tongue muscle Weak Regionally restricted euxassay_015982_16
TS23: urethra Moderate Regionally restricted euxassay_015982_16 Originally this result was annotated to a male-specific term, but as the specimen was not sexed, it is likely the data annotator intended to use a non-sex specific term.
TS23: olfactory cortex mantle layer Strong Regionally restricted euxassay_015982_16
TS23: telencephalon mantle layer Strong Regionally restricted euxassay_015982_16
TS23: cerebral cortex mantle layer Strong Regionally restricted euxassay_015982_16
TS23: diencephalon lateral wall mantle layer Strong Regionally restricted euxassay_015982_16
TS23: midbrain mantle layer Strong Regionally restricted euxassay_015982_16
TS23: midbrain ventricular layer Strong Regionally restricted euxassay_015982_16
TS23: medulla oblongata alar plate mantle layer Moderate Regionally restricted euxassay_015982_16
TS23: pons mantle layer Moderate Regionally restricted euxassay_015982_16
TS23: medulla oblongata basal plate mantle layer Moderate Regionally restricted euxassay_015982_16
TS23: spinal cord mantle layer Strong Regionally restricted euxassay_015982_16
TS23: tail mesenchyme Weak Regionally restricted euxassay_015982_16

Specimen euxassay_015982_17: embryonic day 14.5 (more )
Structure Level Pattern Image Note
TS23: rib Weak Regionally restricted euxassay_015982_17
TS23: diaphragm Weak Regionally restricted euxassay_015982_17
TS23: maxilla Strong Regionally restricted euxassay_015982_17
TS23: mandible Strong Regionally restricted euxassay_015982_17
TS23: dorsal root ganglion Strong Single cells euxassay_015982_17
TS23: thymus primordium Weak Regionally restricted euxassay_015982_17
TS23: tongue muscle Weak Regionally restricted euxassay_015982_17
TS23: cerebral cortex mantle layer Strong Regionally restricted euxassay_015982_17
TS23: olfactory cortex mantle layer Strong Regionally restricted euxassay_015982_17
TS23: diencephalon lateral wall mantle layer Strong Regionally restricted euxassay_015982_17
TS23: midbrain mantle layer Strong Regionally restricted euxassay_015982_17
TS23: midbrain ventricular layer Strong Regionally restricted euxassay_015982_17
TS23: rest of cerebellum mantle layer Strong Regionally restricted euxassay_015982_17
TS23: medulla oblongata alar plate mantle layer Strong Regionally restricted euxassay_015982_17
TS23: spinal cord mantle layer Strong Regionally restricted euxassay_015982_17
TS23: tail mesenchyme Weak Regionally restricted euxassay_015982_17

Specimen euxassay_015982_18: embryonic day 14.5 (more )
Structure Level Pattern Image Note
TS23: rib Weak Regionally restricted euxassay_015982_18
TS23: clavicle Weak Regionally restricted euxassay_015982_18
TS23: diaphragm Weak Regionally restricted euxassay_015982_18
TS23: maxilla Strong Regionally restricted euxassay_015982_18
TS23: mandible Strong Regionally restricted euxassay_015982_18
TS23: trigeminal ganglion Weak Regionally restricted euxassay_015982_18
TS23: saccule Moderate Regionally restricted euxassay_015982_18
TS23: dorsal root ganglion Strong Single cells euxassay_015982_18
TS23: renal cortex Weak Regionally restricted euxassay_015982_18
TS23: pelvic girdle skeleton Moderate Regionally restricted euxassay_015982_18
TS23: midbrain mantle layer Strong Regionally restricted euxassay_015982_18
TS23: cerebral cortex mantle layer Strong Regionally restricted euxassay_015982_18
TS23: diencephalon lateral wall mantle layer Strong Regionally restricted euxassay_015982_18
TS23: medulla oblongata alar plate mantle layer Strong Regionally restricted euxassay_015982_18
TS23: pons mantle layer Strong Regionally restricted euxassay_015982_18
TS23: rest of cerebellum mantle layer Strong Regionally restricted euxassay_015982_18
TS23: spinal cord mantle layer Strong Regionally restricted euxassay_015982_18
TS23: tail mesenchyme Weak Regionally restricted euxassay_015982_18

Specimen euxassay_015982_19: embryonic day 14.5 (more )
Structure Level Pattern Image Note
TS23: rib Weak Regionally restricted euxassay_015982_19
TS23: clavicle Weak Regionally restricted euxassay_015982_19
TS23: maxilla Strong Regionally restricted euxassay_015982_19
TS23: mandible Strong Regionally restricted euxassay_015982_19
TS23: trigeminal ganglion Weak Regionally restricted euxassay_015982_19
TS23: saccule Moderate Regionally restricted euxassay_015982_19
TS23: dorsal root ganglion Strong Single cells euxassay_015982_19
TS23: renal cortex Weak Regionally restricted euxassay_015982_19
TS23: pelvic girdle skeleton Moderate Regionally restricted euxassay_015982_19
TS23: cerebral cortex mantle layer Strong Regionally restricted euxassay_015982_19
TS23: telencephalon mantle layer Strong Regionally restricted euxassay_015982_19
TS23: midbrain mantle layer Strong Regionally restricted euxassay_015982_19
TS23: rest of cerebellum mantle layer Moderate Regionally restricted euxassay_015982_19
TS23: pons mantle layer Moderate Regionally restricted euxassay_015982_19
TS23: medulla oblongata alar plate mantle layer Strong Regionally restricted euxassay_015982_19

Specimen euxassay_015982_20: embryonic day 14.5 (more )
Structure Level Pattern Image Note
TS23: rib Weak Regionally restricted euxassay_015982_20
TS23: clavicle Weak Regionally restricted euxassay_015982_20
TS23: maxilla Strong Regionally restricted euxassay_015982_20
TS23: mandible Strong Regionally restricted euxassay_015982_20
TS23: trigeminal ganglion Weak Regionally restricted euxassay_015982_20
TS23: saccule Moderate Regionally restricted euxassay_015982_20
TS23: renal cortex Weak Regionally restricted euxassay_015982_20
TS23: pelvic girdle skeleton Moderate Regionally restricted euxassay_015982_20
TS23: telencephalon mantle layer Strong Regionally restricted euxassay_015982_20
TS23: cerebral cortex mantle layer Strong Regionally restricted euxassay_015982_20
TS23: midbrain mantle layer Strong Regionally restricted euxassay_015982_20
TS23: rest of cerebellum mantle layer Moderate Regionally restricted euxassay_015982_20
TS23: pons mantle layer Moderate Regionally restricted euxassay_015982_20

Specimen euxassay_015982_21: embryonic day 14.5 (more )
Structure Level Pattern Image Note
TS23: rib Weak Regionally restricted euxassay_015982_21
TS23: orbito-sphenoid Strong Regionally restricted euxassay_015982_21
TS23: maxilla Strong Regionally restricted euxassay_015982_21
TS23: mandible Strong Regionally restricted euxassay_015982_21
TS23: trigeminal ganglion Weak Regionally restricted euxassay_015982_21
TS23: saccule Moderate Regionally restricted euxassay_015982_21
TS23: renal cortex Weak Regionally restricted euxassay_015982_21
TS23: vibrissa Weak Regionally restricted euxassay_015982_21
TS23: femur Moderate Regionally restricted euxassay_015982_21
TS23: telencephalon mantle layer Strong Regionally restricted euxassay_015982_21
TS23: cerebral cortex mantle layer Strong Regionally restricted euxassay_015982_21
TS23: rest of cerebellum ventricular layer Moderate Regionally restricted euxassay_015982_21

Specimen euxassay_015982_22: embryonic day 14.5 (more )
Structure Level Pattern Image Note
TS23: rib Weak Regionally restricted euxassay_015982_22
TS23: orbito-sphenoid Moderate Regionally restricted euxassay_015982_22
TS23: mandible Strong Regionally restricted euxassay_015982_22
TS23: maxilla Strong Regionally restricted euxassay_015982_22
TS23: trigeminal ganglion Weak Regionally restricted euxassay_015982_22
TS23: vibrissa Weak Regionally restricted euxassay_015982_22
TS23: axial musculature Weak Regionally restricted euxassay_015982_22
TS23: femur Weak Regionally restricted euxassay_015982_22
TS23: hindlimb digit 1 metatarsal Moderate Regionally restricted euxassay_015982_22
TS23: hindlimb digit 2 metatarsal Moderate Regionally restricted euxassay_015982_22
TS23: hindlimb digit 3 metatarsal Moderate Regionally restricted euxassay_015982_22
TS23: hindlimb digit 4 metatarsal Moderate Regionally restricted euxassay_015982_22
TS23: hindlimb digit 5 metatarsal Moderate Regionally restricted euxassay_015982_22
TS23: cerebral cortex mantle layer Strong Regionally restricted euxassay_015982_22
TS23: telencephalon mantle layer Strong Regionally restricted euxassay_015982_22
TS23: rest of cerebellum ventricular layer Strong Regionally restricted euxassay_015982_22

Specimen euxassay_015982_23: embryonic day 14.5 (more )
Structure Level Pattern Image Note
TS23: rib Weak Regionally restricted euxassay_015982_23
TS23: orbito-sphenoid Moderate Regionally restricted euxassay_015982_23
TS23: vault of skull Moderate Regionally restricted euxassay_015982_23
TS23: mandible Strong Regionally restricted euxassay_015982_23
TS23: trigeminal ganglion Weak Regionally restricted euxassay_015982_23
TS23: vibrissa Moderate Regionally restricted euxassay_015982_23
TS23: axial musculature Moderate Regionally restricted euxassay_015982_23
TS23: femur Weak Regionally restricted euxassay_015982_23
TS23: foot mesenchyme Moderate Regionally restricted euxassay_015982_23
TS23: cerebral cortex mantle layer Strong Regionally restricted euxassay_015982_23
TS23: telencephalon mantle layer Strong Regionally restricted euxassay_015982_23

Specimen euxassay_015982_24: embryonic day 14.5 (more )
Structure Level Pattern Image Note
TS23: rib Weak Regionally restricted euxassay_015982_24
TS23: vault of skull Moderate Regionally restricted euxassay_015982_24
TS23: orbito-sphenoid Moderate Regionally restricted euxassay_015982_24
TS23: mandible Strong Regionally restricted euxassay_015982_24
TS23: axial musculature Weak Regionally restricted euxassay_015982_24
TS23: cerebral cortex mantle layer Moderate Regionally restricted euxassay_015982_24

Specimen euxassay_015982_25: embryonic day 14.5 (more )
Structure Level Pattern Image Note
TS23: vault of skull Moderate Regionally restricted euxassay_015982_25
TS23: orbito-sphenoid Moderate Regionally restricted euxassay_015982_25
TS23: axial musculature Moderate Regionally restricted euxassay_015982_25
TS23: hindlimb digit 2 phalanx Strong Regionally restricted euxassay_015982_25
TS23: hindlimb digit 3 phalanx Strong Regionally restricted euxassay_015982_25
TS23: hindlimb digit 4 phalanx Strong Regionally restricted euxassay_015982_25
TS23: hindlimb digit 5 phalanx Strong Regionally restricted euxassay_015982_25
TS23: cerebral cortex mantle layer Moderate Regionally restricted euxassay_015982_25

Specimen euxassay_015982_26: embryonic day 14.5 (more )
Structure Level Pattern Image Note
TS23: orbito-sphenoid Strong Regionally restricted euxassay_015982_26
TS23: vault of skull Strong Regionally restricted euxassay_015982_26
TS23: exoccipital bone Moderate Regionally restricted euxassay_015982_26
TS23: axial musculature Moderate Regionally restricted euxassay_015982_26


Contributing Projects:
Mouse Genome Database (MGD), Gene Expression Database (GXD), Mouse Models of Human Cancer database (MMHCdb) (formerly Mouse Tumor Biology (MTB)), Gene Ontology (GO)
Citing These Resources
Funding Information
Warranty Disclaimer, Privacy Notice, Licensing, & Copyright
Send questions and comments to User Support.
last database update
12/30/2025
MGI 6.24
The Jackson Laboratory