About   Help   FAQ
Gene Expression Data
Assay Details
Assay
Reference: J:153498 Diez-Roux G, et al., A high-resolution anatomical atlas of the transcriptome in the mouse embryo. PLoS Biol. 2011;9(1):e1000582
Assay type: RNA in situ
MGI Accession ID: MGI:4824782
Gene symbol: Fastkd2
Gene name: FAST kinase domains 2
Probe: IMAGE clone 2648623
Probe preparation: Antisense labelled with digoxigenin RNA
Visualized with: Alkaline phosphatase
Assay notes: Cryosections of fresh frozen material were fixed in 4% paraformaldehyde for 20 min. before further processing. A tyramide-biotin/streptavidin amplification step was included in the in situ hybridization procedure.
Results
Specimen euxassay_008173_01: embryonic day 14.5 (more )
Structure Level Pattern Image Note
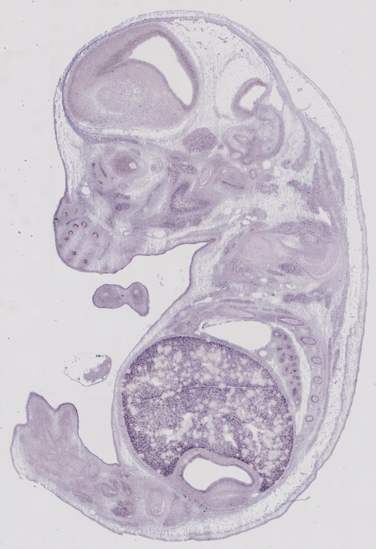
TS23: liver lobe Moderate Regionally restricted euxassay_008173_01

Specimen euxassay_008173_02: embryonic day 14.5 (more )
Structure Level Pattern Image Note
TS23: liver lobe Moderate Regionally restricted euxassay_008173_02

Specimen euxassay_008173_03: embryonic day 14.5 (more )
Structure Level Pattern Image Note
TS23: liver lobe Moderate Regionally restricted euxassay_008173_03

Specimen euxassay_008173_04: embryonic day 14.5 (more )
Structure Level Pattern Image Note
TS23: liver lobe Moderate Regionally restricted euxassay_008173_04

Specimen euxassay_008173_05: embryonic day 14.5 (more )
Structure Level Pattern Image Note
TS23: liver lobe Moderate Regionally restricted euxassay_008173_05
TS23: vibrissa Moderate Regionally restricted euxassay_008173_05
TS23: lung Weak Spotted euxassay_008173_05

Specimen euxassay_008173_06: embryonic day 14.5 (more )
Structure Level Pattern Image Note
TS23: liver lobe Moderate Regionally restricted euxassay_008173_06
TS23: vibrissa Weak Regionally restricted euxassay_008173_06
TS23: lung Weak Spotted euxassay_008173_06
TS23: midgut Moderate Regionally restricted euxassay_008173_06

Specimen euxassay_008173_07: embryonic day 14.5 (more )
Structure Level Pattern Image Note
TS23: liver lobe Moderate Regionally restricted euxassay_008173_07
TS23: vibrissa Weak Regionally restricted euxassay_008173_07
TS23: lung Moderate Regionally restricted euxassay_008173_07
TS23: testis Weak Regionally restricted euxassay_008173_07
TS23: heart ventricle Moderate Spotted euxassay_008173_07
TS23: midgut Moderate Regionally restricted euxassay_008173_07

Specimen euxassay_008173_08: embryonic day 14.5 (more )
Structure Level Pattern Image Note
TS23: liver lobe Moderate Regionally restricted euxassay_008173_08
TS23: submandibular gland primordium Moderate Regionally restricted euxassay_008173_08
TS23: lung Moderate Regionally restricted euxassay_008173_08
TS23: testis Weak Regionally restricted euxassay_008173_08
TS23: heart ventricle Moderate Spotted euxassay_008173_08
TS23: midgut Moderate Regionally restricted euxassay_008173_08

Specimen euxassay_008173_09: embryonic day 14.5 (more )
Structure Level Pattern Image Note
TS23: liver lobe Moderate Regionally restricted euxassay_008173_09
TS23: submandibular gland primordium Moderate Regionally restricted euxassay_008173_09
TS23: lung Moderate Regionally restricted euxassay_008173_09
TS23: testis Weak Regionally restricted euxassay_008173_09
TS23: heart ventricle Moderate Spotted euxassay_008173_09
TS23: renal cortex Moderate Regionally restricted euxassay_008173_09
TS23: midgut Moderate Regionally restricted euxassay_008173_09
TS23: adrenal gland Weak Regionally restricted euxassay_008173_09

Specimen euxassay_008173_10: embryonic day 14.5 (more )
Structure Level Pattern Image Note
TS23: liver lobe Moderate Regionally restricted euxassay_008173_10
TS23: submandibular gland primordium Moderate Regionally restricted euxassay_008173_10
TS23: lung Moderate Regionally restricted euxassay_008173_10
TS23: heart ventricle Moderate Spotted euxassay_008173_10
TS23: pancreas Weak Regionally restricted euxassay_008173_10
TS23: renal cortex Moderate Regionally restricted euxassay_008173_10
TS23: midgut Moderate Regionally restricted euxassay_008173_10
TS23: adrenal gland Weak Regionally restricted euxassay_008173_10

Specimen euxassay_008173_11: embryonic day 14.5 (more )
Structure Level Pattern Image Note
TS23: liver lobe Moderate Regionally restricted euxassay_008173_11
TS23: submandibular gland primordium Moderate Regionally restricted euxassay_008173_11
TS23: lung Moderate Regionally restricted euxassay_008173_11
TS23: heart ventricle Moderate Spotted euxassay_008173_11
TS23: pancreas Weak Regionally restricted euxassay_008173_11
TS23: renal cortex Moderate Regionally restricted euxassay_008173_11
TS23: midgut Moderate Regionally restricted euxassay_008173_11
TS23: adrenal gland Weak Regionally restricted euxassay_008173_11

Specimen euxassay_008173_12: embryonic day 14.5 (more )
Structure Level Pattern Image Note
TS23: liver lobe Moderate Regionally restricted euxassay_008173_12
TS23: lung Moderate Regionally restricted euxassay_008173_12
TS23: heart ventricle Moderate Spotted euxassay_008173_12
TS23: pancreas Weak Regionally restricted euxassay_008173_12
TS23: renal cortex Moderate Regionally restricted euxassay_008173_12
TS23: midgut Moderate Regionally restricted euxassay_008173_12

Specimen euxassay_008173_13: embryonic day 14.5 (more )
Structure Level Pattern Image Note
TS23: liver lobe Moderate Regionally restricted euxassay_008173_13
TS23: heart ventricle Moderate Spotted euxassay_008173_13
TS23: thymus primordium Moderate Regionally restricted euxassay_008173_13
TS23: midgut Moderate Regionally restricted euxassay_008173_13

Specimen euxassay_008173_14: embryonic day 14.5 (more )
Structure Level Pattern Image Note
TS23: liver lobe Moderate Regionally restricted euxassay_008173_14
TS23: heart ventricle Weak Spotted euxassay_008173_14
TS23: thymus primordium Weak Regionally restricted euxassay_008173_14
TS23: midgut Moderate Regionally restricted euxassay_008173_14
TS23: hindgut Moderate Regionally restricted euxassay_008173_14

Specimen euxassay_008173_15: embryonic day 14.5 (more )
Structure Level Pattern Image Note
TS23: liver lobe Moderate Regionally restricted euxassay_008173_15
TS23: heart ventricle Weak Spotted euxassay_008173_15
TS23: thymus primordium Weak Regionally restricted euxassay_008173_15
TS23: hindgut Moderate Regionally restricted euxassay_008173_15
TS23: midgut Moderate Regionally restricted euxassay_008173_15
TS23: urethra Weak Regionally restricted euxassay_008173_15 Originally this result was annotated to a male-specific term, but as the specimen was not sexed, it is likely the data annotator intended to use a non-sex specific term.

Specimen euxassay_008173_16: embryonic day 14.5 (more )
Structure Level Pattern Image Note
TS23: liver lobe Moderate Regionally restricted euxassay_008173_16
TS23: lung Weak Regionally restricted euxassay_008173_16
TS23: heart ventricle Moderate Spotted euxassay_008173_16
TS23: pancreas Weak Regionally restricted euxassay_008173_16
TS23: thymus primordium Weak Regionally restricted euxassay_008173_16
TS23: rectum Moderate Regionally restricted euxassay_008173_16
TS23: hindgut Moderate Regionally restricted euxassay_008173_16
TS23: urethra Weak Regionally restricted euxassay_008173_16 Originally this result was annotated to a male-specific term, but as the specimen was not sexed, it is likely the data annotator intended to use a non-sex specific term.

Specimen euxassay_008173_17: embryonic day 14.5 (more )
Structure Level Pattern Image Note
TS23: liver lobe Moderate Regionally restricted euxassay_008173_17
TS23: lung Weak Regionally restricted euxassay_008173_17
TS23: heart ventricle Moderate Spotted euxassay_008173_17
TS23: thymus primordium Moderate Regionally restricted euxassay_008173_17
TS23: hindgut Moderate Regionally restricted euxassay_008173_17
TS23: urethra Weak Regionally restricted euxassay_008173_17 Originally this result was annotated to a male-specific term, but as the specimen was not sexed, it is likely the data annotator intended to use a non-sex specific term.

Specimen euxassay_008173_18: embryonic day 14.5 (more )
Structure Level Pattern Image Note
TS23: liver lobe Moderate Regionally restricted euxassay_008173_18
TS23: submandibular gland primordium Moderate Regionally restricted euxassay_008173_18
TS23: lung Weak Regionally restricted euxassay_008173_18
TS23: renal cortex Moderate Regionally restricted euxassay_008173_18
TS23: hindgut Moderate Regionally restricted euxassay_008173_18
TS23: adrenal gland Weak Regionally restricted euxassay_008173_18

Specimen euxassay_008173_19: embryonic day 14.5 (more )
Structure Level Pattern Image Note
TS23: liver lobe Moderate Regionally restricted euxassay_008173_19
TS23: submandibular gland primordium Moderate Regionally restricted euxassay_008173_19
TS23: lung Weak Regionally restricted euxassay_008173_19
TS23: renal cortex Moderate Regionally restricted euxassay_008173_19
TS23: hindgut Moderate Regionally restricted euxassay_008173_19
TS23: adrenal gland Weak Regionally restricted euxassay_008173_19

Specimen euxassay_008173_20: embryonic day 14.5 (more )
Structure Level Pattern Image Note
TS23: liver lobe Moderate Regionally restricted euxassay_008173_20
TS23: submandibular gland primordium Moderate Regionally restricted euxassay_008173_20
TS23: lung Weak Regionally restricted euxassay_008173_20
TS23: testis Weak Regionally restricted euxassay_008173_20
TS23: renal cortex Weak Regionally restricted euxassay_008173_20
TS23: adrenal gland Weak Regionally restricted euxassay_008173_20

Specimen euxassay_008173_21: embryonic day 14.5 (more )
Structure Level Pattern Image Note
TS23: liver lobe Moderate Regionally restricted euxassay_008173_21
TS23: vibrissa Moderate Regionally restricted euxassay_008173_21
TS23: submandibular gland primordium Moderate Regionally restricted euxassay_008173_21
TS23: lung Weak Regionally restricted euxassay_008173_21
TS23: testis Weak Regionally restricted euxassay_008173_21
TS23: renal cortex Moderate Regionally restricted euxassay_008173_21
TS23: adrenal gland Weak Regionally restricted euxassay_008173_21

Specimen euxassay_008173_22: embryonic day 14.5 (more )
Structure Level Pattern Image Note
TS23: liver lobe Moderate Regionally restricted euxassay_008173_22
TS23: vibrissa Moderate Regionally restricted euxassay_008173_22
TS23: lung Weak Regionally restricted euxassay_008173_22
TS23: testis Weak Regionally restricted euxassay_008173_22
TS23: renal cortex Moderate Regionally restricted euxassay_008173_22

Specimen euxassay_008173_23: embryonic day 14.5 (more )
Structure Level Pattern Image Note
TS23: liver lobe Moderate Regionally restricted euxassay_008173_23
TS23: vibrissa Moderate Regionally restricted euxassay_008173_23
TS23: lung Weak Regionally restricted euxassay_008173_23
TS23: testis Weak Regionally restricted euxassay_008173_23

Specimen euxassay_008173_24: embryonic day 14.5 (more )
Structure Level Pattern Image Note
TS23: liver lobe Moderate Regionally restricted euxassay_008173_24
TS23: lung Moderate Regionally restricted euxassay_008173_24


Contributing Projects:
Mouse Genome Database (MGD), Gene Expression Database (GXD), Mouse Models of Human Cancer database (MMHCdb) (formerly Mouse Tumor Biology (MTB)), Gene Ontology (GO)
Citing These Resources
Funding Information
Warranty Disclaimer, Privacy Notice, Licensing, & Copyright
Send questions and comments to User Support.
last database update
01/20/2026
MGI 6.24
The Jackson Laboratory