About   Help   FAQ
Gene Expression Data
Assay Details
Assay
Reference: J:153498 Diez-Roux G, et al., A high-resolution anatomical atlas of the transcriptome in the mouse embryo. PLoS Biol. 2011;9(1):e1000582
Assay type: RNA in situ
MGI Accession ID: MGI:4824780
Gene symbol: Farsb
Gene name: phenylalanyl-tRNA synthetase, beta subunit
Probe: MGC clone 25966
Probe preparation: Antisense labelled with digoxigenin RNA
Visualized with: Alkaline phosphatase
Assay notes: Cryosections of fresh frozen material were fixed in 4% paraformaldehyde for 20 min. before further processing. A tyramide-biotin/streptavidin amplification step was included in the in situ hybridization procedure.
Results
Specimen euxassay_006146_01: embryonic day 14.5 (more )
Structure Level Pattern Image Note
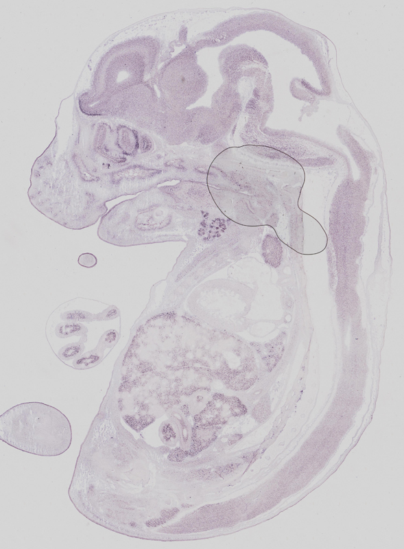
TS23: lung Moderate Regionally restricted euxassay_006146_01
TS23: liver Moderate Regionally restricted euxassay_006146_01
TS23: axial musculature Strong Regionally restricted euxassay_006146_01
TS23: cranial musculature Moderate Regionally restricted euxassay_006146_01
TS23: brain Moderate Regionally restricted euxassay_006146_01

Specimen euxassay_006146_02: embryonic day 14.5 (more )
Structure Level Pattern Image Note
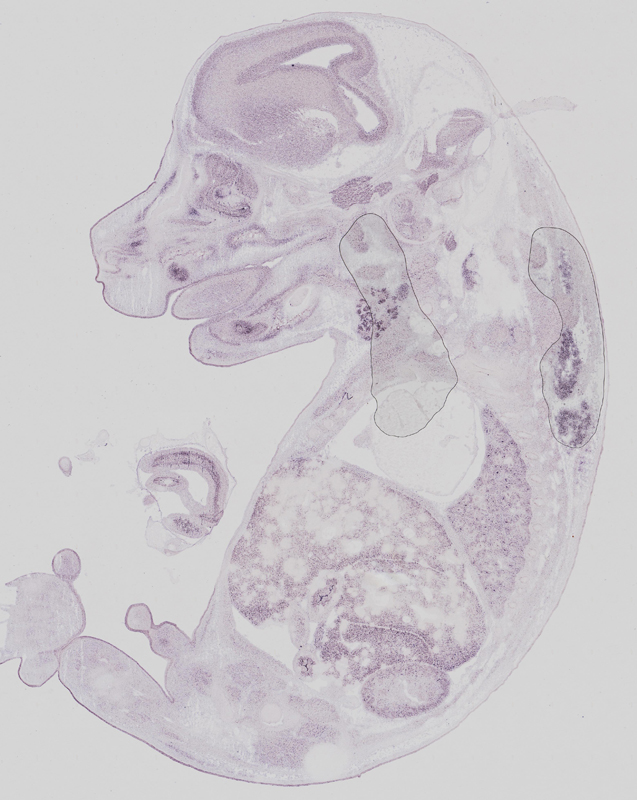
TS23: lung Moderate Regionally restricted euxassay_006146_02
TS23: liver Moderate Regionally restricted euxassay_006146_02
TS23: trigeminal ganglion Weak Uniform euxassay_006146_02
TS23: axial musculature Strong Regionally restricted euxassay_006146_02
TS23: cranial musculature Moderate Regionally restricted euxassay_006146_02
TS23: brain Moderate Regionally restricted euxassay_006146_02

Specimen euxassay_006146_03: embryonic day 14.5 (more )
Structure Level Pattern Image Note
TS23: lung Moderate Regionally restricted euxassay_006146_03
TS23: liver Moderate Regionally restricted euxassay_006146_03
TS23: trigeminal ganglion Weak Uniform euxassay_006146_03
TS23: axial musculature Strong Regionally restricted euxassay_006146_03
TS23: cranial musculature Moderate Regionally restricted euxassay_006146_03
TS23: brain Moderate Regionally restricted euxassay_006146_03

Specimen euxassay_006146_04: embryonic day 14.5 (more )
Structure Level Pattern Image Note
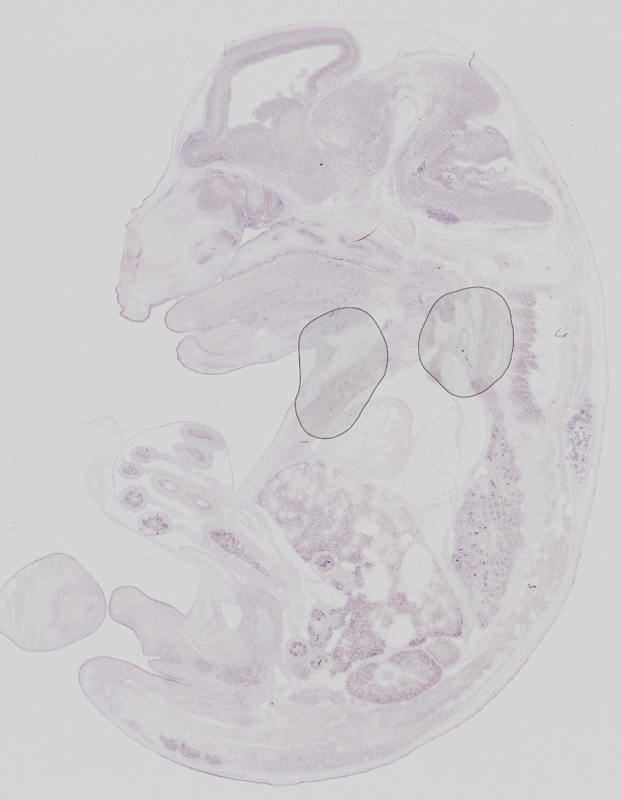
TS23: lung Moderate Regionally restricted euxassay_006146_04
TS23: liver Moderate Regionally restricted euxassay_006146_04
TS23: metanephros Moderate Regionally restricted euxassay_006146_04 There was moderate expression in the excretory component.
TS23: trigeminal ganglion Weak Uniform euxassay_006146_04
TS23: axial musculature Strong Regionally restricted euxassay_006146_04
TS23: cranial musculature Moderate Regionally restricted euxassay_006146_04
TS23: brain Moderate Regionally restricted euxassay_006146_04

Specimen euxassay_006146_05: embryonic day 14.5 (more )
Structure Level Pattern Image Note
TS23: lung Moderate Regionally restricted euxassay_006146_05
TS23: liver Moderate Regionally restricted euxassay_006146_05
TS23: metanephros Moderate Regionally restricted euxassay_006146_05 There was moderate expression in the excretory component.
TS23: trigeminal ganglion Moderate Regionally restricted euxassay_006146_05
TS23: glossopharyngeal ganglion Moderate Regionally restricted euxassay_006146_05
TS23: axial musculature Strong Regionally restricted euxassay_006146_05
TS23: cranial musculature Moderate Regionally restricted euxassay_006146_05
TS23: brain Moderate Regionally restricted euxassay_006146_05

Specimen euxassay_006146_06: embryonic day 14.5 (more )
Structure Level Pattern Image Note
TS23: renal cortex Moderate Regionally restricted euxassay_006146_06
TS23: lung Moderate Regionally restricted euxassay_006146_06
TS23: liver Moderate Regionally restricted euxassay_006146_06
TS23: submandibular gland primordium Strong Regionally restricted euxassay_006146_06
TS23: stomach Moderate Regionally restricted euxassay_006146_06
TS23: vagus ganglion Moderate Regionally restricted euxassay_006146_06
TS23: trigeminal ganglion Moderate Regionally restricted euxassay_006146_06
TS23: cranial musculature Moderate Regionally restricted euxassay_006146_06
TS23: brain Moderate Regionally restricted euxassay_006146_06
TS23: dorsal root ganglion Moderate Regionally restricted euxassay_006146_06

Specimen euxassay_006146_07: embryonic day 14.5 (more )
Structure Level Pattern Image Note
TS23: liver Moderate Regionally restricted euxassay_006146_07
TS23: renal cortex Moderate Regionally restricted euxassay_006146_07
TS23: lung Moderate Regionally restricted euxassay_006146_07
TS23: submandibular gland primordium Strong Regionally restricted euxassay_006146_07
TS23: trigeminal ganglion Moderate Regionally restricted euxassay_006146_07
TS23: cranial musculature Moderate Regionally restricted euxassay_006146_07
TS23: spinal cord Moderate Regionally restricted euxassay_006146_07
TS23: brain Moderate Regionally restricted euxassay_006146_07
TS23: dorsal root ganglion Moderate Regionally restricted euxassay_006146_07

Specimen euxassay_006146_08: embryonic day 14.5 (more )
Structure Level Pattern Image Note
TS23: liver Moderate Regionally restricted euxassay_006146_08
TS23: renal cortex Moderate Regionally restricted euxassay_006146_08
TS23: lung Moderate Regionally restricted euxassay_006146_08
TS23: submandibular gland primordium Strong Regionally restricted euxassay_006146_08
TS23: olfactory epithelium Strong Regionally restricted euxassay_006146_08
TS23: vibrissa Moderate Regionally restricted euxassay_006146_08
TS23: stomach Moderate Regionally restricted euxassay_006146_08
TS23: trigeminal ganglion Moderate Regionally restricted euxassay_006146_08
TS23: cranial musculature Moderate Regionally restricted euxassay_006146_08
TS23: brain Moderate Regionally restricted euxassay_006146_08
TS23: spinal cord Moderate Regionally restricted euxassay_006146_08
TS23: dorsal root ganglion Moderate Regionally restricted euxassay_006146_08

Specimen euxassay_006146_09: embryonic day 14.5 (more )
Structure Level Pattern Image Note
TS23: liver Moderate Regionally restricted euxassay_006146_09
TS23: lung Moderate Regionally restricted euxassay_006146_09
TS23: renal cortex Moderate Regionally restricted euxassay_006146_09
TS23: submandibular gland primordium Strong Regionally restricted euxassay_006146_09
TS23: olfactory epithelium Strong Regionally restricted euxassay_006146_09
TS23: vibrissa Moderate Regionally restricted euxassay_006146_09
TS23: midgut Moderate Regionally restricted euxassay_006146_09
TS23: trigeminal nerve Moderate Regionally restricted euxassay_006146_09
TS23: cranial musculature Moderate Regionally restricted euxassay_006146_09
TS23: brain Moderate Regionally restricted euxassay_006146_09
TS23: spinal cord Moderate Regionally restricted euxassay_006146_09
TS23: dorsal root ganglion Moderate Regionally restricted euxassay_006146_09

Specimen euxassay_006146_10: embryonic day 14.5 (more )
Structure Level Pattern Image Note
TS23: liver Moderate Regionally restricted euxassay_006146_10
TS23: lung Moderate Regionally restricted euxassay_006146_10
TS23: submandibular gland primordium Strong Regionally restricted euxassay_006146_10
TS23: thymus primordium Moderate Regionally restricted euxassay_006146_10
TS23: olfactory epithelium Strong Regionally restricted euxassay_006146_10
TS23: vibrissa Moderate Regionally restricted euxassay_006146_10
TS23: midgut Moderate Regionally restricted euxassay_006146_10
TS23: cranial musculature Moderate Regionally restricted euxassay_006146_10
TS23: brain Moderate Regionally restricted euxassay_006146_10
TS23: spinal cord Moderate Regionally restricted euxassay_006146_10
TS23: dorsal root ganglion Moderate Regionally restricted euxassay_006146_10

Specimen euxassay_006146_11: embryonic day 14.5 (more )
Structure Level Pattern Image Note
TS23: liver Moderate Regionally restricted euxassay_006146_11
TS23: lung Moderate Regionally restricted euxassay_006146_11
TS23: submandibular gland primordium Strong Regionally restricted euxassay_006146_11
TS23: thymus primordium Moderate Regionally restricted euxassay_006146_11
TS23: olfactory epithelium Moderate Regionally restricted euxassay_006146_11
TS23: vibrissa Moderate Regionally restricted euxassay_006146_11
TS23: midgut Moderate Regionally restricted euxassay_006146_11
TS23: cranial musculature Moderate Regionally restricted euxassay_006146_11
TS23: brain Moderate Regionally restricted euxassay_006146_11
TS23: spinal cord Moderate Regionally restricted euxassay_006146_11
TS23: dorsal root ganglion Moderate Regionally restricted euxassay_006146_11

Specimen euxassay_006146_12: embryonic day 14.5 (more )
Structure Level Pattern Image Note
TS23: liver Moderate Regionally restricted euxassay_006146_12
TS23: lung Moderate Regionally restricted euxassay_006146_12
TS23: thymus primordium Moderate Regionally restricted euxassay_006146_12
TS23: olfactory epithelium Strong Regionally restricted euxassay_006146_12
TS23: midgut Moderate Regionally restricted euxassay_006146_12
TS23: cranial musculature Moderate Regionally restricted euxassay_006146_12
TS23: brain Moderate Regionally restricted euxassay_006146_12
TS23: spinal cord Moderate Regionally restricted euxassay_006146_12
TS23: dorsal root ganglion Moderate Regionally restricted euxassay_006146_12

Specimen euxassay_006146_13: embryonic day 14.5 (more )
Structure Level Pattern Image Note
TS23: liver Moderate Regionally restricted euxassay_006146_13
TS23: lung Moderate Regionally restricted euxassay_006146_13
TS23: thymus primordium Moderate Regionally restricted euxassay_006146_13
TS23: olfactory epithelium Strong Regionally restricted euxassay_006146_13
TS23: midgut Moderate Regionally restricted euxassay_006146_13
TS23: cranial musculature Moderate Regionally restricted euxassay_006146_13
TS23: brain Moderate Regionally restricted euxassay_006146_13
TS23: spinal cord Moderate Regionally restricted euxassay_006146_13
TS23: dorsal root ganglion Moderate Regionally restricted euxassay_006146_13

Specimen euxassay_006146_14: embryonic day 14.5 (more )
Structure Level Pattern Image Note
TS23: liver Moderate Regionally restricted euxassay_006146_14
TS23: lung Moderate Regionally restricted euxassay_006146_14
TS23: renal cortex Moderate Regionally restricted euxassay_006146_14
TS23: thymus primordium Moderate Regionally restricted euxassay_006146_14
TS23: olfactory epithelium Moderate Regionally restricted euxassay_006146_14
TS23: midgut Moderate Regionally restricted euxassay_006146_14
TS23: cranial musculature Moderate Regionally restricted euxassay_006146_14
TS23: axial musculature Moderate Regionally restricted euxassay_006146_14
TS23: brain Moderate Regionally restricted euxassay_006146_14
TS23: spinal cord Moderate Regionally restricted euxassay_006146_14
TS23: dorsal root ganglion Moderate Regionally restricted euxassay_006146_14

Specimen euxassay_006146_15: embryonic day 14.5 (more )
Structure Level Pattern Image Note
TS23: renal cortex Moderate Regionally restricted euxassay_006146_15
TS23: lung Moderate Regionally restricted euxassay_006146_15
TS23: liver Moderate Regionally restricted euxassay_006146_15
TS23: olfactory epithelium Moderate Regionally restricted euxassay_006146_15
TS23: midgut Moderate Regionally restricted euxassay_006146_15
TS23: axial musculature Moderate Regionally restricted euxassay_006146_15
TS23: cranial musculature Moderate Regionally restricted euxassay_006146_15
TS23: brain Moderate Regionally restricted euxassay_006146_15
TS23: dorsal root ganglion Moderate Regionally restricted euxassay_006146_15

Specimen euxassay_006146_16: embryonic day 14.5 (more )
Structure Level Pattern Image Note
TS23: liver Moderate Regionally restricted euxassay_006146_16
TS23: renal cortex Moderate Regionally restricted euxassay_006146_16
TS23: lung Moderate Regionally restricted euxassay_006146_16
TS23: olfactory epithelium Moderate Regionally restricted euxassay_006146_16
TS23: midgut Moderate Regionally restricted euxassay_006146_16
TS23: trigeminal ganglion Moderate Regionally restricted euxassay_006146_16
TS23: axial musculature Moderate Regionally restricted euxassay_006146_16
TS23: cranial musculature Moderate Regionally restricted euxassay_006146_16
TS23: brain Moderate Regionally restricted euxassay_006146_16

Specimen euxassay_006146_17: embryonic day 14.5 (more )
Structure Level Pattern Image Note
TS23: liver Moderate Regionally restricted euxassay_006146_17
TS23: lung Moderate Regionally restricted euxassay_006146_17
TS23: renal cortex Moderate Regionally restricted euxassay_006146_17
TS23: submandibular gland primordium Strong Regionally restricted euxassay_006146_17
TS23: olfactory epithelium Strong Regionally restricted euxassay_006146_17
TS23: midgut Moderate Regionally restricted euxassay_006146_17
TS23: trigeminal ganglion Strong Regionally restricted euxassay_006146_17
TS23: glossopharyngeal ganglion Strong Regionally restricted euxassay_006146_17
TS23: axial musculature Strong Regionally restricted euxassay_006146_17
TS23: cranial musculature Strong Regionally restricted euxassay_006146_17
TS23: brain Moderate Regionally restricted euxassay_006146_17

Specimen euxassay_006146_18: embryonic day 14.5 (more )
Structure Level Pattern Image Note
TS23: liver Moderate Regionally restricted euxassay_006146_18
TS23: renal cortex Moderate Regionally restricted euxassay_006146_18
TS23: lung Moderate Regionally restricted euxassay_006146_18
TS23: submandibular gland primordium Strong Regionally restricted euxassay_006146_18
TS23: olfactory epithelium Strong Regionally restricted euxassay_006146_18
TS23: midgut Moderate Regionally restricted euxassay_006146_18
TS23: trigeminal ganglion Strong Regionally restricted euxassay_006146_18
TS23: vagus ganglion Strong Regionally restricted euxassay_006146_18
TS23: axial musculature Strong Regionally restricted euxassay_006146_18
TS23: cranial musculature Moderate Regionally restricted euxassay_006146_18
TS23: brain Moderate Regionally restricted euxassay_006146_18

Specimen euxassay_006146_19: embryonic day 14.5 (more )
Structure Level Pattern Image Note
TS23: liver Moderate Regionally restricted euxassay_006146_19
TS23: renal cortex Moderate Regionally restricted euxassay_006146_19
TS23: lung Moderate Regionally restricted euxassay_006146_19
TS23: submandibular gland primordium Strong Regionally restricted euxassay_006146_19
TS23: olfactory epithelium Moderate Regionally restricted euxassay_006146_19
TS23: midgut Moderate Regionally restricted euxassay_006146_19
TS23: trigeminal ganglion Moderate Regionally restricted euxassay_006146_19
TS23: cranial musculature Moderate Regionally restricted euxassay_006146_19
TS23: axial musculature Strong Regionally restricted euxassay_006146_19
TS23: brain Moderate Regionally restricted euxassay_006146_19

Specimen euxassay_006146_20: embryonic day 14.5 (more )
Structure Level Pattern Image Note
TS23: lung Moderate Regionally restricted euxassay_006146_20
TS23: liver Moderate Regionally restricted euxassay_006146_20
TS23: submandibular gland primordium Strong Regionally restricted euxassay_006146_20
TS23: olfactory epithelium Moderate Regionally restricted euxassay_006146_20
TS23: midgut Moderate Regionally restricted euxassay_006146_20
TS23: trigeminal ganglion Moderate Regionally restricted euxassay_006146_20
TS23: axial musculature Strong Regionally restricted euxassay_006146_20
TS23: cranial musculature Moderate Regionally restricted euxassay_006146_20
TS23: brain Moderate Regionally restricted euxassay_006146_20

Specimen euxassay_006146_21: embryonic day 14.5 (more )
Structure Level Pattern Image Note
TS23: liver Moderate Regionally restricted euxassay_006146_21
TS23: lung Moderate Regionally restricted euxassay_006146_21
TS23: submandibular gland primordium Strong Regionally restricted euxassay_006146_21
TS23: vibrissa Moderate Regionally restricted euxassay_006146_21
TS23: trigeminal ganglion Moderate Regionally restricted euxassay_006146_21
TS23: cranial musculature Moderate Regionally restricted euxassay_006146_21
TS23: axial musculature Strong Regionally restricted euxassay_006146_21
TS23: brain Moderate Regionally restricted euxassay_006146_21

Specimen euxassay_006146_22: embryonic day 14.5 (more )
Structure Level Pattern Image Note
TS23: liver Moderate Regionally restricted euxassay_006146_22
TS23: lung Moderate Regionally restricted euxassay_006146_22
TS23: vibrissa Moderate Regionally restricted euxassay_006146_22
TS23: cranial musculature Moderate Regionally restricted euxassay_006146_22
TS23: brain Moderate Regionally restricted euxassay_006146_22

Specimen euxassay_006146_23: embryonic day 14.5 (more )
Structure Level Pattern Image Note
TS23: liver Moderate Regionally restricted euxassay_006146_23
TS23: lung Moderate Regionally restricted euxassay_006146_23
TS23: vibrissa Moderate Regionally restricted euxassay_006146_23
TS23: cranial musculature Moderate Regionally restricted euxassay_006146_23
TS23: brain Moderate Regionally restricted euxassay_006146_23

Specimen euxassay_006146_24: embryonic day 14.5 (more )
Structure Level Pattern Image Note
TS23: liver Moderate Regionally restricted euxassay_006146_24
TS23: lung Moderate Regionally restricted euxassay_006146_24
TS23: cranial musculature Moderate Regionally restricted euxassay_006146_24
TS23: brain Moderate Regionally restricted euxassay_006146_24


Contributing Projects:
Mouse Genome Database (MGD), Gene Expression Database (GXD), Mouse Models of Human Cancer database (MMHCdb) (formerly Mouse Tumor Biology (MTB)), Gene Ontology (GO)
Citing These Resources
Funding Information
Warranty Disclaimer, Privacy Notice, Licensing, & Copyright
Send questions and comments to User Support.
last database update
01/20/2026
MGI 6.24
The Jackson Laboratory