About   Help   FAQ
Gene Expression Data
Assay Details
Assay
Reference: J:153498 Diez-Roux G, et al., A high-resolution anatomical atlas of the transcriptome in the mouse embryo. PLoS Biol. 2011;9(1):e1000582
Assay type: RNA in situ
MGI Accession ID: MGI:4824732
Gene symbol: Psme3ip1
Gene name: proteasome activator subunit 3 interacting protein 1
Probe: IMAGE clone 3166520
Probe preparation: Antisense labelled with digoxigenin RNA
Visualized with: Alkaline phosphatase
Assay notes: Cryosections of fresh frozen material were fixed in 4% paraformaldehyde for 20 min. before further processing. A tyramide-biotin/streptavidin amplification step was included in the in situ hybridization procedure.
Results
Specimen euxassay_004902_01: embryonic day 14.5 (more )
Structure Level Pattern Image Note
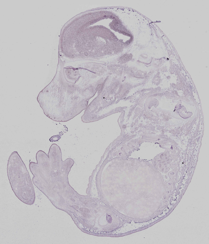
TS23: brain Moderate Regionally restricted euxassay_004902_01
TS23: lung Moderate Regionally restricted euxassay_004902_01

Specimen euxassay_004902_02: embryonic day 14.5 (more )
Structure Level Pattern Image Note
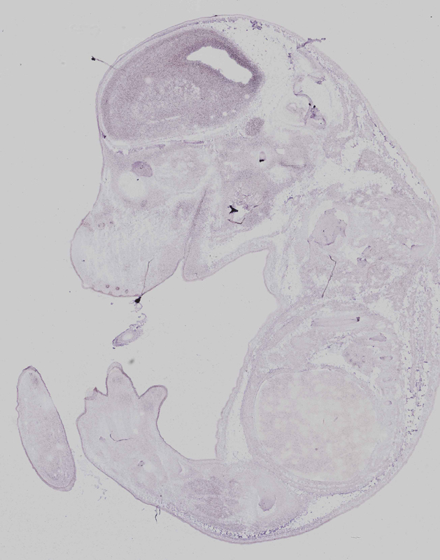
TS23: brain Moderate Regionally restricted euxassay_004902_02
TS23: trigeminal ganglion Moderate Regionally restricted euxassay_004902_02
TS23: retina Moderate Regionally restricted euxassay_004902_02
TS23: metanephros Moderate Regionally restricted euxassay_004902_02
TS23: lung Moderate Regionally restricted euxassay_004902_02

Specimen euxassay_004902_03: embryonic day 14.5 (more )
Structure Level Pattern Image Note
TS23: brain Moderate Regionally restricted euxassay_004902_03
TS23: trigeminal ganglion Moderate Regionally restricted euxassay_004902_03
TS23: retina Moderate Regionally restricted euxassay_004902_03
TS23: metanephros Moderate Regionally restricted euxassay_004902_03
TS23: lung Moderate Regionally restricted euxassay_004902_03

Specimen euxassay_004902_04: embryonic day 14.5 (more )
Structure Level Pattern Image Note
TS23: brain Moderate Regionally restricted euxassay_004902_04
TS23: spinal cord Moderate Regionally restricted euxassay_004902_04
TS23: trigeminal ganglion Moderate Regionally restricted euxassay_004902_04
TS23: retina Moderate Regionally restricted euxassay_004902_04
TS23: metanephros Moderate Regionally restricted euxassay_004902_04
TS23: lung Moderate Regionally restricted euxassay_004902_04

Specimen euxassay_004902_05: embryonic day 14.5 (more )
Structure Level Pattern Image Note
TS23: brain Moderate Regionally restricted euxassay_004902_05
TS23: spinal cord Moderate Regionally restricted euxassay_004902_05
TS23: trigeminal ganglion Moderate Regionally restricted euxassay_004902_05
TS23: vestibulo-cochlear ganglion Moderate Regionally restricted euxassay_004902_05
TS23: glossopharyngeal ganglion Moderate Regionally restricted euxassay_004902_05
TS23: metanephros Moderate Regionally restricted euxassay_004902_05
TS23: lung Moderate Regionally restricted euxassay_004902_05

Specimen euxassay_004902_06: embryonic day 14.5 (more )
Structure Level Pattern Image Note
TS23: brain Moderate Regionally restricted euxassay_004902_06
TS23: spinal cord Moderate Regionally restricted euxassay_004902_06
TS23: trigeminal ganglion Moderate Regionally restricted euxassay_004902_06
TS23: metanephros Moderate Regionally restricted euxassay_004902_06
TS23: lung Moderate Regionally restricted euxassay_004902_06
TS23: submandibular gland primordium Moderate Regionally restricted euxassay_004902_06

Specimen euxassay_004902_07: embryonic day 14.5 (more )
Structure Level Pattern Image Note
TS23: brain Moderate Regionally restricted euxassay_004902_07
TS23: spinal cord Moderate Regionally restricted euxassay_004902_07
TS23: trigeminal ganglion Moderate Regionally restricted euxassay_004902_07
TS23: vibrissa Moderate Regionally restricted euxassay_004902_07
TS23: upper jaw molar Moderate Regionally restricted euxassay_004902_07
TS23: lower jaw molar Moderate Regionally restricted euxassay_004902_07
TS23: lung Moderate Regionally restricted euxassay_004902_07
TS23: submandibular gland primordium Moderate Regionally restricted euxassay_004902_07

Specimen euxassay_004902_08: embryonic day 14.5 (more )
Structure Level Pattern Image Note
TS23: brain Moderate Regionally restricted euxassay_004902_08
TS23: spinal cord Moderate Regionally restricted euxassay_004902_08
TS23: olfactory epithelium Moderate Regionally restricted euxassay_004902_08
TS23: vibrissa Moderate Regionally restricted euxassay_004902_08
TS23: lung Moderate Regionally restricted euxassay_004902_08
TS23: thymus primordium Moderate Regionally restricted euxassay_004902_08
TS23: submandibular gland primordium Moderate Regionally restricted euxassay_004902_08

Specimen euxassay_004902_09: embryonic day 14.5 (more )
Structure Level Pattern Image Note
TS23: brain Moderate Regionally restricted euxassay_004902_09
TS23: spinal cord Moderate Regionally restricted euxassay_004902_09
TS23: olfactory epithelium Moderate Regionally restricted euxassay_004902_09
TS23: adenohypophysis Moderate Regionally restricted euxassay_004902_09
TS23: vibrissa Moderate Regionally restricted euxassay_004902_09
TS23: lung Moderate Regionally restricted euxassay_004902_09
TS23: thymus primordium Moderate Regionally restricted euxassay_004902_09

Specimen euxassay_004902_10: embryonic day 14.5 (more )
Structure Level Pattern Image Note
TS23: brain Moderate Regionally restricted euxassay_004902_10
TS23: spinal cord Moderate Regionally restricted euxassay_004902_10
TS23: olfactory epithelium Moderate Regionally restricted euxassay_004902_10
TS23: adenohypophysis Moderate Regionally restricted euxassay_004902_10
TS23: vibrissa Moderate Regionally restricted euxassay_004902_10
TS23: metanephros Moderate Regionally restricted euxassay_004902_10
TS23: lung Moderate Regionally restricted euxassay_004902_10
TS23: thymus primordium Moderate Regionally restricted euxassay_004902_10

Specimen euxassay_004902_11: embryonic day 14.5 (more )
Structure Level Pattern Image Note
TS23: brain Moderate Regionally restricted euxassay_004902_11
TS23: olfactory epithelium Moderate Regionally restricted euxassay_004902_11
TS23: adenohypophysis Moderate Regionally restricted euxassay_004902_11
TS23: upper jaw incisor Moderate Regionally restricted euxassay_004902_11
TS23: lower jaw incisor Moderate Regionally restricted euxassay_004902_11
TS23: metanephros Moderate Regionally restricted euxassay_004902_11
TS23: lung Moderate Regionally restricted euxassay_004902_11
TS23: thymus primordium Moderate Regionally restricted euxassay_004902_11

Specimen euxassay_004902_12: embryonic day 14.5 (more )
Structure Level Pattern Image Note
TS23: brain Moderate Regionally restricted euxassay_004902_12
TS23: nasal cavity respiratory epithelium Moderate Regionally restricted euxassay_004902_12
TS23: olfactory epithelium Moderate Regionally restricted euxassay_004902_12
TS23: adenohypophysis Moderate Regionally restricted euxassay_004902_12
TS23: upper jaw incisor Moderate Regionally restricted euxassay_004902_12
TS23: lower jaw incisor Moderate Regionally restricted euxassay_004902_12
TS23: metanephros Moderate Regionally restricted euxassay_004902_12
TS23: lung Moderate Regionally restricted euxassay_004902_12
TS23: thymus primordium Moderate Regionally restricted euxassay_004902_12

Specimen euxassay_004902_13: embryonic day 14.5 (more )
Structure Level Pattern Image Note
TS23: brain Moderate Regionally restricted euxassay_004902_13
TS23: nasal cavity respiratory epithelium Moderate Regionally restricted euxassay_004902_13
TS23: olfactory epithelium Moderate Regionally restricted euxassay_004902_13
TS23: adenohypophysis Moderate Regionally restricted euxassay_004902_13
TS23: lung Moderate Regionally restricted euxassay_004902_13

Specimen euxassay_004902_14: embryonic day 14.5 (more )
Structure Level Pattern Image Note
TS23: brain Moderate Regionally restricted euxassay_004902_14
TS23: nasal cavity respiratory epithelium Moderate Regionally restricted euxassay_004902_14
TS23: olfactory epithelium Moderate Regionally restricted euxassay_004902_14
TS23: vestibulo-cochlear ganglion Moderate Regionally restricted euxassay_004902_14
TS23: lower jaw incisor Moderate Regionally restricted euxassay_004902_14
TS23: upper jaw incisor Moderate Regionally restricted euxassay_004902_14
TS23: lung Moderate Regionally restricted euxassay_004902_14

Specimen euxassay_004902_15: embryonic day 14.5 (more )
Structure Level Pattern Image Note
TS23: brain Moderate Regionally restricted euxassay_004902_15
TS23: olfactory epithelium Moderate Regionally restricted euxassay_004902_15
TS23: nasal cavity respiratory epithelium Moderate Regionally restricted euxassay_004902_15
TS23: trigeminal ganglion Moderate Regionally restricted euxassay_004902_15
TS23: glossopharyngeal ganglion Moderate Regionally restricted euxassay_004902_15
TS23: vestibulo-cochlear ganglion Moderate Regionally restricted euxassay_004902_15
TS23: upper jaw incisor Moderate Regionally restricted euxassay_004902_15
TS23: lower jaw incisor Moderate Regionally restricted euxassay_004902_15
TS23: lung Moderate Regionally restricted euxassay_004902_15
TS23: submandibular gland primordium Moderate Regionally restricted euxassay_004902_15

Specimen euxassay_004902_16: embryonic day 14.5 (more )
Structure Level Pattern Image Note
TS23: brain Moderate Regionally restricted euxassay_004902_16
TS23: nasal cavity respiratory epithelium Moderate Regionally restricted euxassay_004902_16
TS23: olfactory epithelium Moderate Regionally restricted euxassay_004902_16
TS23: trigeminal ganglion Moderate Regionally restricted euxassay_004902_16
TS23: vestibulo-cochlear ganglion Moderate Regionally restricted euxassay_004902_16
TS23: lung Moderate Regionally restricted euxassay_004902_16
TS23: submandibular gland primordium Moderate Regionally restricted euxassay_004902_16

Specimen euxassay_004902_17: embryonic day 14.5 (more )
Structure Level Pattern Image Note
TS23: brain Moderate Regionally restricted euxassay_004902_17
TS23: olfactory epithelium Moderate Regionally restricted euxassay_004902_17
TS23: trigeminal ganglion Moderate Regionally restricted euxassay_004902_17
TS23: lower jaw molar Moderate Regionally restricted euxassay_004902_17
TS23: upper jaw molar Moderate Regionally restricted euxassay_004902_17
TS23: lung Moderate Regionally restricted euxassay_004902_17

Specimen euxassay_004902_18: embryonic day 14.5 (more )
Structure Level Pattern Image Note
TS23: brain Moderate Regionally restricted euxassay_004902_18
TS23: olfactory epithelium Moderate Regionally restricted euxassay_004902_18
TS23: trigeminal ganglion Moderate Regionally restricted euxassay_004902_18
TS23: lung Moderate Regionally restricted euxassay_004902_18

Specimen euxassay_004902_19: embryonic day 14.5 (more )
Structure Level Pattern Image Note
TS23: brain Moderate Regionally restricted euxassay_004902_19
TS23: trigeminal ganglion Moderate Regionally restricted euxassay_004902_19
TS23: vibrissa Moderate Regionally restricted euxassay_004902_19
TS23: lung Moderate Regionally restricted euxassay_004902_19

Specimen euxassay_004902_20: embryonic day 14.5 (more )
Structure Level Pattern Image Note
TS23: brain Moderate Regionally restricted euxassay_004902_20
TS23: retina Moderate Regionally restricted euxassay_004902_20
TS23: vibrissa Moderate Regionally restricted euxassay_004902_20

Specimen euxassay_004902_21: embryonic day 14.5 (more )
Structure Level Pattern Image Note
TS23: brain Moderate Regionally restricted euxassay_004902_21
TS23: retina Moderate Regionally restricted euxassay_004902_21
TS23: vibrissa Moderate Regionally restricted euxassay_004902_21

Specimen euxassay_004902_22: embryonic day 14.5 (more )
Structure Level Pattern Image Note
TS23: brain Moderate Regionally restricted euxassay_004902_22
TS23: retina Moderate Regionally restricted euxassay_004902_22
TS23: vibrissa Moderate Regionally restricted euxassay_004902_22


Contributing Projects:
Mouse Genome Database (MGD), Gene Expression Database (GXD), Mouse Models of Human Cancer database (MMHCdb) (formerly Mouse Tumor Biology (MTB)), Gene Ontology (GO)
Citing These Resources
Funding Information
Warranty Disclaimer, Privacy Notice, Licensing, & Copyright
Send questions and comments to User Support.
last database update
12/30/2025
MGI 6.24
The Jackson Laboratory